아내는 수박귀신이다

7주 차

by 당케맨

아내는 수박귀신이다. 요즘 그녀는 음식을 생각하면 속이 안 좋아지니 계속 과일을 찾는다. 원래도 수박을 좋아했다. 산딸기도 좋아하고 오디도 좋아한다. 이 시기에 임신을 해서 얼마나 다행인지 모르겠다. 집 근처 농산물 도매시장에 가서 과일을 잔뜩 사 왔다. 마트에 가도 과일 코너만 본다. 아! 그리고 요즘 아이스크림도 자주 먹는다. 아! 그리고 요즘 밀면도 자주 먹는다. 시원한 육수가 당기는 것 같다. 우리 아이는 아주 시원하고 상큼한 성격일 것 같다.


아내는 아주 야무지다. 연애할 때부터 느끼긴 했는데, 같이 살다 보니 더 확실하게 알겠다. 나는 좀 우유부단한 편인데, 아내는 아주 손과 발이 빠르다. 그녀는 종종 나에게 자기가 왜 좋냐고 물어보는데, 그럴 때마다 나랑 정반대라서 좋다고 한다. 나는 좀 정적인데, 같이 있으면 늘 새롭다고. 아 그렇다고 그녀가 감정기복이 심하거나 그런 건 아니다. 항상 긍정적이고 밝은 모습이 좋다. 나는 보통 어떤 일이 생기면 안 좋은 쪽으로 먼저 생각하는 경향이 있는 것 같다. 그걸 아내가 잘 잡아준다.


아내 칭찬을 한 이유가 있다. 저출산 문제가 세계적(특히 우리나라)으로 이슈인 만큼 요즘 임산부 지원 정책이 되게 다양하다. 그런데 이게 떠먹여 주는 시스템이 아니라 챙겨 먹어야 하는 경우가 대부분이다. 보건소 방문부터 임신 바우처 만들기, 태아보험 가입하기 등 공통적으로 준비하는 것들도 각 종 사이트와 후기, 사은품, 혜택 등을 비교해서 좋은 걸 찾아낸다. 또, 지자체에서 임산부 택시비도 지원해 준다며 의기양양하게 보여주는데, 나는 옆에서 한없이 작아지는 중이다. 그래서 열심히 집안일을 하고 있다. 별거 아닌 이런 소소함이 참 재미있다.


아내가 기침을 한다. 이렇게 까지 한 적이 없는데, 그녀는 조금이라도 아프면 1초 만에 병원에 가서 주사를 맞거나 약을 타오는 성격인데, 임산부는 아파도 참아야 하니 옆에서 지켜보는 나도 아프다. 아픈 걸 세상에서 제일 싫어하는 아내가 참고 있는 걸 보니 마음이 짠하다. 기침을 너무 해서 갈비뼈가 아프다며 태아에게 영향은 없는지 의사 선생님에게 물어보기도 했다. 자기 말로는 기침을 너무 해서 아기가 출렁출렁 어디 부딪혀서 힘들 것 같다나.. 나는 옆에서 열만 안 나면 괜찮아하면서도 그런 생각을 하고 있다는 게 너무 귀엽다는 생각을 했다.

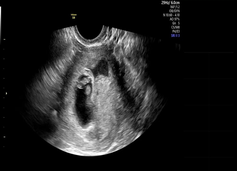
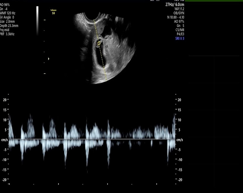
그새 아기집도 많이 커졌다. 아내 앞에서 우리 아기가 뚝딱뚝딱하며 집을 넓히고 있지 않을까 하며 망치질하는 시늉을 하며 같이 웃곤 했다. 튼튼하게 집을 지어줘. 바람이 불어도 날아가지 않게.


keyword
화요일 연재
이전 02화심장소리를 들었다