임신 34주 차, 막달 정기검진과 백일해 접종

준비된 스마트 할부지 28, 작은 태아를 크게 키우려면 단백질 섭취

임신 34주가 되니 딸애의 배가 제법 커지면서, 행동도 굼떠지고 조금만 움직여도 힘들어합니다. 딸애는 비록 몸은 힘들지만, 그래도 태아 '팡팡이'가 잘 움직이고 있으니 다행이라고 생각한다네요. 예나 지금이나 모든 부모의 심정은 똑같지 않을까 합니다.

임신 34주의 태아는 대략 2.26㎏ 정도의 몸무게이고, 머리부터 엉덩이까지는 31㎝ 정도로 자란다고 합니다. 태아의 뼈도 계속해서 단단하고 강해지지만 머리뼈는 예외적으로 말랑말랑하고 분리된 상태로 유지되는데, 그 이유는 출산 시 태아가 안전하게 압박에 적응하고 이동하기 위해서라고 하네요. 이제 예정일이 가까워지고 있으므로 출산 가방을 싸놓는 것이 좋다고 하는데, 아기 중 단 5%만이 예정일에 맞춰 태어난다고 하니 미리 준비하는 것은 꼭 필요하겠습니다.


정기검진과 백일해 접종

이번 금요일 오후에 신랑이랑 함께 산부인과에 가서 정기검진도 받고, 동시에 백일해 주사도 맞는다고 합니다. 그런데 이번 정기검진은 '임신 막달 정기검진'이라고 해서 '출산이 임박한 임산부들이 받는 검진'이라고 하네요. 그래서 출산 전 혈액검사, 심전도 검사, 소변 검사, 그리고 태아에 피해를 주지 않도록 납으로 만든 보호대를 배에 두르고 흉부 X-ary도 찍었다고 합니다. 막달이 되면서부터는 2주 뒤에 한번 더 이루어진다고 하네요.


저와 아내 그리고 아들도 다음 주에는 백일해 주사를 맞으러 병원에 갈 예정입니다. 그래야 '팡팡이'가 나온 후 잠시나마 얼굴이라도 볼 수 있을 테고, 덕분에 10년 간은 백일해에 대한 면역은 생기겠네요.

백일해는 100일 동안 기침을 한다는 의미로 붙여진 이름이라고 합니다. 법정감염병 2급으로 분류될 만큼 전파 가능성이 높아 주의가 필요한데, 특히 영유아가 잘 걸리고 사망률도 높은 질환이라고 합니다. 갈수록 성인 환자도 증가하는 추세를 보이고 있기 때문에, 접종 후 10년이 지난 성인도 감염될 수 있다고 합니다. 특히 고령 환자의 경우 격렬한 기침으로 인해 호흡곤란, 폐렴, 축농증, 늑골 골절 등의 합병증이 따라올 수 있는 위험한 질환이라고 하네요.

그런데 초음파 검사를 하신 담당 의사분은 '팡팡이'의 상태는 아무런 문제는 없는데, 평균보다 좀 작다고 했답니다. 그래서 단백질을 좀 더 많이 먹어서 태아를 키우라고 했다며, 저녁때 또 고기를 먹으러 간다고 하네요. 저도 지난번에 설마 하는 심정으로 인터넷에서 찾아봤더니, 단백질인 고기를 많이 먹었더니 태아가 커졌다는 내용을 본 기억이 납니다.

단백질은 태아의 뼈, 피부, 근육, 뇌 조직과 같은 신체 구성 요소의 주요 구성 요소이기 때문에 태아의 성장을 돕는데 필수적이라고 합니다. 임신 중에는 태아의 빠른 성장, 태반, 자궁, 유방과 같은 조직의 성장, 혈액량 증가 등으로 인해 단백질 섭취가 더 많이 필요합니다. 임신 중기와 후기에 각 15g, 30g을 추가 섭취하는데 완전 단백질의 급원식품은 육류, 가금류, 생선, 달걀, 우유 및 유제품 등 대부분 동물성 식품이라고 하네요.


34주 '팡팡이' 초음파 사진 분석

딸애가 보내온 초음파 사진을 캡처한 후 살펴본 내용인데, 다른 것은 이상이 없어서인지 태아의 발육상태만 간단하게 확인을 한 것 같습니다.

1. 심장박동수(Fetal Heart Rate)는 이번에도 146 bpm입니다. 이 시기의 태아의 정상적인 심장박동수는 120~160 bpm이라고 하네요.

FHR.png [태아 심장박동수 FHR]

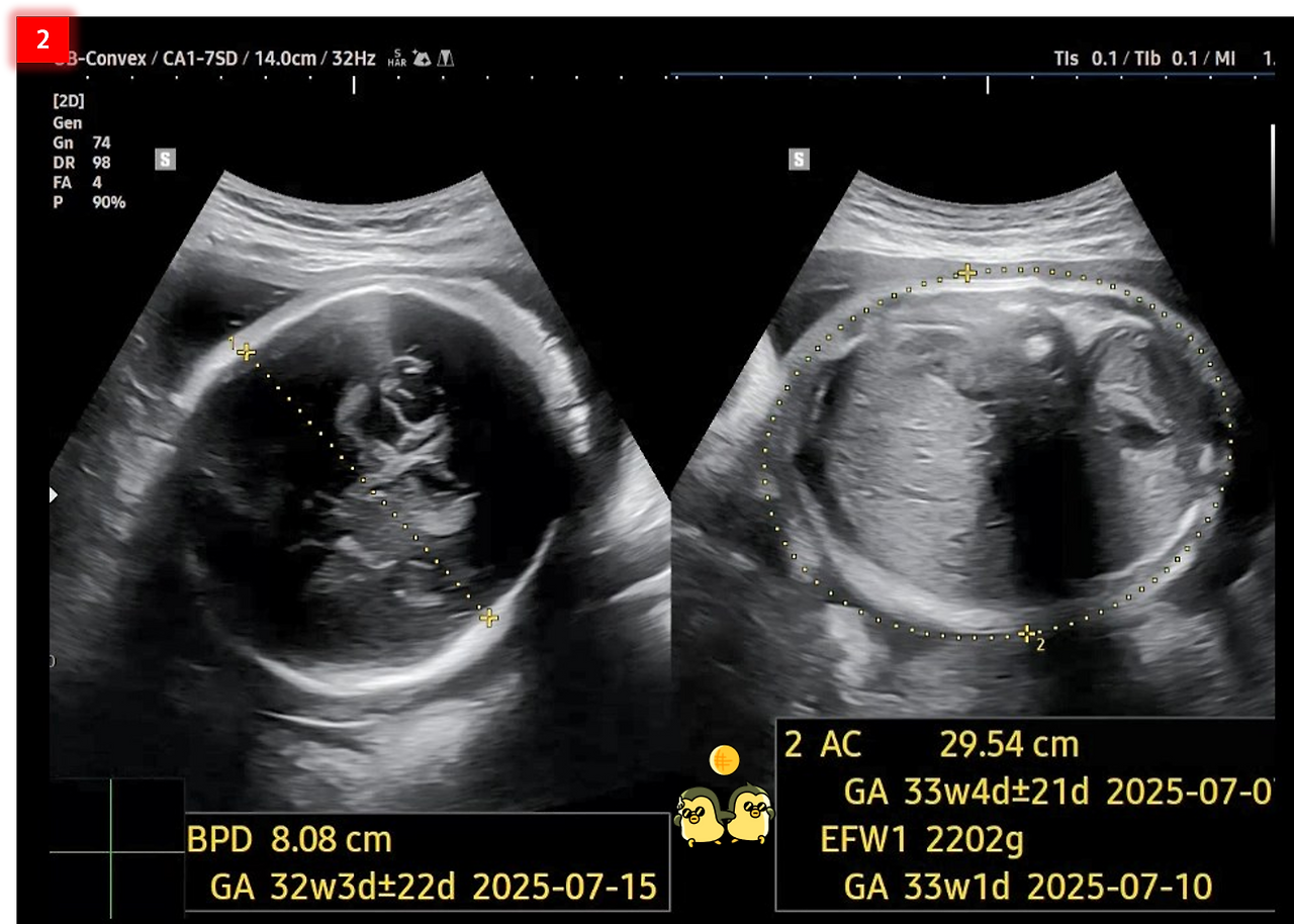
2. 태아 머리직경(BPD: Biparietal Diameter)은 8.08㎝이고, 태아 복부 둘레(AC: Abdominal Circumference)는 29.54㎝이네요. 머리직경이 평균(8.5~9㎝)보다 좀 작은 편이고, 복부둘레는 평균(27.5~30㎝)에 드네요.

BPD&AC.png [태아 머리직경과 복부 둘레]

3. 허벅지 뼈의 길이(FL: Femur Length)는 6.61㎝로 나옵니다. 평균을 보면 약 6.2㎝라고 하니 좀 큰 편입니다. 머리는 작고 다리는 긴 편이라 모델형 태아인 것 같다고 아내는 이야기하네요.

[임신 주 수별 태아 몸무게, 출처 - 차병원]

그리고 태야 추정 체중(EFW: Estimated Fetal Weight)은 약 2.2㎏로 나옵니다. 차병원에서 제공하는 임신 주 수별 태아 몸무게 표를 보니, 평균에 속한다고 나오네요. 초음파 검사 시 태아의 머리직경과 복부 둘레의 길이를 재면, 기계에서 계산하여 보여준다고 합니다. 그런데 태아의 배나 머리의 길이를 정확하게 재는 것이 어려울 때가 많아서, 태아 몸무게도 오차가 크다고 합니다. 평균 200~300g의 오차가 나기는 하는데, 때로는 500g 이상 차이가 나는 경우도 있다고 하네요.

사위는 스마트폰 앱에 태아의 신체 자료를 넣으면 발육상태를 확인할 수 있는 방법도 있다고 보여주는데, 아마 입력하는 태아들의 데이터를 기준으로 분석해 주는 것 같습니다. 거기에서도 '팡팡이'가 좀 작은 편에 속하는 것으로 나온다고 하니, 남은 기간 단백질 섭취를 잘해서 태아를 키워야 하겠네요.

FL&EFW.png

초음파 영상은 총 2분 40초 정도인데, 제가 48초 분량으로 편집하여 등재하였습니다.


정리하고 준비할 것이 많네요

출산예정일이 약 30일 정도 남았으니 아기 용품도 준비하고, 필요한 것은 미리 깨끗하게 빨아놓고, 집안도 청소하고 정리해야 할 때라고 합니다. 딸애는 출산 준비에 대한 이야기를 하면서 아기침대를 놓을 공간과 잡다한 아기용품을 정리하려고 하는데, 집이 좁아서 엄두가 안 난다고 걱정을 하더군요. 집이 좁은 것인지 정리가 안 된 것인지 모르겠지만, 출산 전에 시간을 내서 정리는 해야 할 것 같다는 생각은 듭니다. 지난번 어버이날 딸 내 집에 가봤더니 도무지 정신이 없기는 했습니다.


딸애로부터 집안 정리에 대한 도움 요청 연락을 받았습니다. 딸애의 구상은 아기 침대를 안방에 놓기 위해서는 안방에 있는 서랍장을 거실로, 거실의 작은 서랍장을 작은 방으로, 마치 도미노 같이 연쇄적으로 이동을 해야 한다고 하네요. 이러다 보니 거실의 대형 TV와 TV 장식장도 조금의 이동이 필요한데, 사위 혼자서 옮기는 것은 무리라는 것이지요.


일요일 오전에 아내와 아들과 같이 딸 내 집에 가서 보니, 일부는 사위가 혼자서 움직인 모양입니다. 제법 크고 무거운 가구는 헌 옷을 가구 밑에 깔아서 밀고 끌고 하니 쉽게 옮겨지더군요. 처음 생각한 것보다는 훨씬 쉽고 빠르게 가구의 재배치가 완료되었습니다. 이제 잡다한 것은 딸애와 사위가 처리할 것이니 놓아두고, 이사(?) 후에 반드시 필요한 행사인 '중국음식 맛있게 먹기'를 한 후 돌아왔습니다.



딸과 사위가 외식할 때 만나는 할머니나 아주머니들이 이구동성으로 하시는 말씀이 "배가 많이 내려왔네. 곧 아기가 나오겠어"라고 했답니다. 경험이 있으신 분들에게는 한눈에 딸애의 배가 많이 내려온 것이 보이는 모양입니다. 아내도 일요일에 딸 내 집에 갔을 때도 똑같은 말을 했으니까요. 그래서 은근히 조기 출산이 우려되기는 합니다만, 이번 정기검진에서 아무런 이야기가 없었다고 하니 걱정은 좀 덜하고 있습니다.


이제 임신 말기로 접어들면서 '팡팡이'가 나온 후, 필요한 것을 계속 준비하고 있습니다. 아마 시간이 되면 한번 더 가서 마무리 정리를 도와줘야 할 것 같기는 합니다. 임신 초반에 입덧으로 고생한 것이 엊그제 같은데 벌써 막달이 되어 갑니다. 딸애와 팡팡이 모두 건강하게 출산하는 날만 손꼽아 기다리고 있네요.


※ 내용은 딸아이의 임신 정보를 기반으로 작성하였으나, 일부 의학 관련 사항은 인터넷을 참고하였습니다.


오늘도 펭귄의 짧디 짧은 다리로 달리고 달리고 ~

6QpC82z3in_OkRkih5Itloihtjo.png


keyword
월요일 연재
이전 27화임신 33주 차, 베이비 페어에서 득탬했다고 하네요