임신 8주 차, 초음파로 태아 모습 보기

준비된 스마트 할부지 6

오늘은 요 근래 들어 가장 추운 날이라고 합니다. 아침 기온이 영하권으로 떨어지며 어제에 비해 10도 이상 내려갔으니, 갑작스러운 추위에 몸 건강에 유의해야 할 것 같습니다. 하필 이렇게 추운 날에 딸아이가 초음파 검사를 받으러 병원에 간다고 합니다. 그래도 사위가 오전 반차를 내고 같이 간다고 하니 한결 마음의 부담이 적기는 합니다.


'팡팡이' 초음파 사진

오전 10시쯤 되니 딸아이로부터 카톡을 통해, 우리 '팡팡이의 8주 0일 초음파' 동영상이 날아왔습니다.

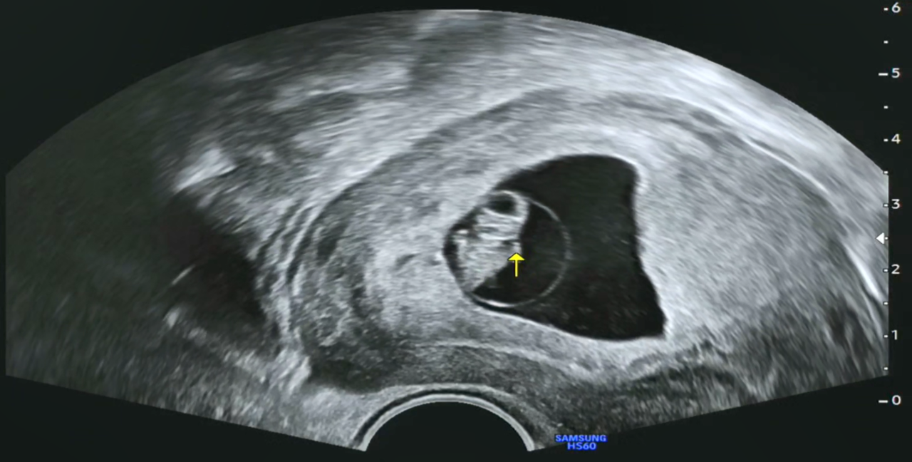
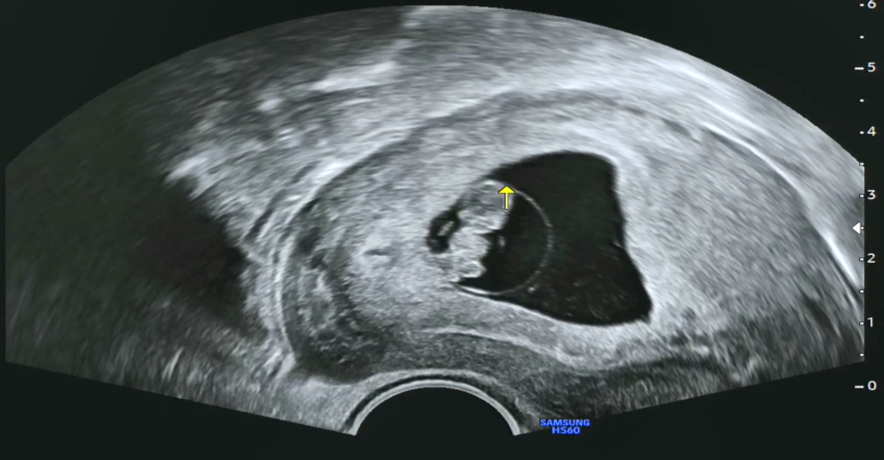
임신 7~8주쯤 되면 기관의 형성기라고 해서 아기의 뇌와 몸의 기초가 만들어진다고 하고, 심장이 형성되면서 혈액이 몸으로 보내지기 때문에 심장을 확인할 수 있다고도 하네요.

임신 8주 차 아기의 크기가 1.5~1.6cm 정도로 성장한다고 하는데, 우리 '팡팡이'는 1.67cm라 딱 주수에 맞게 크고 있다고 하네요. 그리고 심장박동수도 점차 증가하여 9주까지는 160~180 bpm 정도라고 하는데, 현재 171 bpm이니 정상이라고 합니다(인터넷에서 검색해 보니 조금씩 다르게 수치가 나오기는 하더라고요).


그리고 이때쯤 되면 머리와 몸의 크기가 같은 2등신이 되고 손발이 구별된다고 해서, 영상을 한번 캡처해 보았습니다. 제가 딸보고 머리가 크다고 했더니 '하리○ 젤리곰' 같다고 하네요. 언듯 보면 '겨울왕국의 올라프' 같이 보이기도 합니다. 태명이 '울라프'도 괜찮아 보이네요.

7주0일 머리.png
7주0일 팔.png
[왼쪽-머리, 오른쪽-팔]
7주0일 다리.png
7주0일 심장.png
[왼쪽-다리, 오른쪽-심장]
7주0일 심박수.png
7주0일 몸길이.png
[왼쪽-태아 심장박동수(171 bpm), 오른쪽-태아 크기(1.67 cm)]

오늘도 병원에서는 태아에게 무리가 된다고 심장박동음은 안 들려주었다고 합니다. 그래도 초음파 동영상을 보면 심장이 잘 뛰는 모습을 볼 수 있어서 마음은 놓입니다. 아마 다음 주 목 또는 금요일에 초음파를 통해 심장박동음을 듣고, 문제가 없으면 시험관시술을 한 병원에서 졸업(?)한다고 합니다. 그렇게 되면 집에서 가까운 산부인과 병원으로 전원 하여 출산까지 그 병원으로 다닌다고 하네요.

[팡팡이 8주 차 초음파 영상]

처음에 먹었던 입덧약이 효과가 없어서 인지 지난주 토요일에는 구토 증상이 밤새 있었던 모양입니다. 신랑이랑 밤을 꼬박 새운 후 병원에 가서 다른 입덧약을 처방을 받았는데, 입덧약을 바꾸고 나서 그런지 어느 정도 진정은 되었다고 합니다. 그래서 병원에서 초음파 검사를 마치고 신랑하고 점심을 인근에 있는 패밀리레스토랑에서 먹었다고 하네요. 산모가 골고루 잘 먹어야 태아가 잘 자랄 테니까 먹는 것도 고맙습니다.



무럭무럭 자라는 태아를 보면서도 아직도 할아버지가 되는 게 긴가민가합니다. 하루하루 딸아이의 상태도 궁금하고 태아의 성장도 궁금합니다.


※ 내용은 딸아이의 임신 정보를 기반으로 작성하였으나, 일부 의학 관련 사항은 인터넷을 참고하였습니다.


오늘도 펭귄의 짧디 짧은 다리로 달리고 달리고 ~

keyword
월요일 연재
이전 05화임신 7주 차, 딸아이 입덧과 입덧 약