brunch

손을 잘라내고 싶은 날

- 높은 눈, 따라가지 못하는 내 몸 -

by 점빵 뿅원장
그림 묶음.png < 이전에 다른 치과에서 치료했던 부위를 포함해서 아주 얇고 넓게 깨진 치아를 치료한 것이다 >


전치부(앞니 부위) 레진 수복 치료는 매우 까다롭고 손이 많이 가는 작업이다. 치아의 형태가 환자와 내 마음에 들어야 하고, 치아의 색조도 치료하는 치아와 인접한 치아, 맞물리는 치아와 조화를 이루어야 한다. 간혹 다른 치과에서 예전에 치료를 했는데 마음에 안 든다며 오는 분들도 있어서 더욱 힘들고 신경 쓰이는 치료이다. 그래서 이 치료를 하는 동안은 온전히 한 환자에게만 집중하게 된다. 비용도 비용이지만 조금만 색이 이상하거나 모양이 이상하면 환자의 불만이 나올 수 있고, 그럴 경우 재치료를 해야 할 수 있기 때문이다. (재치료를 하게 되면 환자와의 관계, 비용, 시간 모두가 손해이다.) 그래서 수련의 시절부터 다시 치료하는 경우를 만들지 않기 위해 애썼다. 치료 전후 사진을 보며 잘못한 점을 찾아가며 수정했고, 다른 치과에는 없는 (일 년에 몇 번 쓰지도 않는) 다양한 색조의 레진도 준비해서 치료했다.


앞니 부위 레진 치료를 할 때는 가로, 세로 길이가 5mm가 안 되는 작은 부위에 다양한 색조의 레진을 코딱지만큼씩 떼어 붙여 전체적인 형태와 색깔의 조화를 이루어야 한다. 0.1mm만 커져도 양쪽 치아의 크기가 많이 달라 보이거나 반대편에 있는 치아보다 도드라져 보일 수 있다. 치아의 색조도 다 거기서 거기인 베이지색, 상아색 같지만, 어떤 치아는 노란색이 강한 상아색, 어떤 치아는 회색이 강한 상아색, 어떤 치아는 하얗다 못해 투명하게 비치는 경우도 있다. 간혹 치열이 가지런하지 않은 환자의 경우 자연치아가 있었던 것보다 조금이라도 가지런해 보이게, 더 예쁘게 보이길 원한다.


문제는 세월이 흐르고 케이스가 쌓이면서 까다로워질 대로 까다로워진 나의 치료 기준과 점점 더 따라주지 않는 몸의 부조화이다. 어깨, 팔, 목은 아프고 눈은 침침해져서 치료 시간은 길어지는데, 치료에 대한 나의 기준은 높을 대로 높아져서 만족이 안되니 조금만 마음에 안 들어도 긁어내고 다시 하거나 계속 수정을 하게 된다. 길어지는 시간에 환자도, 직원도, 나도 점점 지쳐간다. 진심인지는 모르겠지만 직원들은 괜찮다고 하고, 환자도 이만하면 좋다고 하는데 정작 나는 도무지 마음에 들지 않는다. 나중에 환자가 다시 해달라며 올 것 같아서 내가 마음에 들 때까지 수정하게 된다.

간혹 예전에 다른 치과에서 했던 치료를 다시 하는 경우도 있는데, 이럴 때 가장 흔한 문제는 잇몸 가까운 부위에 레진이 울퉁불퉁하게 붙어 있어서 지속적으로 잇몸에 염증이 생기는 것이다. 다 긁어내고 매끈하게 만들어 잇몸이 건강해지는 것을 보려고 하니 시간도 더 걸리고 힘도 많이 든다. 분명히 옳은 진료라고 믿고 있지만 내가 그렇게 한다고 해서 환자가 돈을 더 내는 것도 아니다 보니, 까다로운 나 때문에 직원들은 눈치 보고, 힘들어하는 것이 보인다.


오늘도 그런 케이스였다. 부정교합이 심한 데다 예전에 치료한 레진이 잇몸 가까운 부위에 치아 형태에 맞지 않게 붙어있어서 제거하고 보니 잇몸에서 피가 난다(피가 나면 레진이 잘 안 붙는다). 색조도 얼룩덜룩하다 보니 치아의 색깔, 모양, 크기 어느 것 하나도 쉽게 맞는 게 없었다. 치료 시간은 길어지고, 환자는 힘이 들어하고 있는데, 옆에 있는 직원은 버벅거리기 시작한다. 그 덕에 나의 짜증수치는 점점 상승하고 있었다. 일차적으로 마무리를 해봤지만 아무리 봐도 마음에 들지 않는다. 결국 마음에 안 드는 부분을 갈아내고 다시 했다. 완전히 마음에 드는 것은 아니지만 어깨, 팔, 목이 아프고 눈이 침침해서 여기까지 하는 것으로 타협해야 했다.(예전에 아는 원장님은 말발로 다 해결하셨었는데... 도저히 그건 안된다.) 환자는 예전보다 훨씬 자연스럽고 예쁘다며 웃지만 나는 웃을 수가 없다. 쩝. 결국 일주일 후에 다시 체크하고 필요하면 수정하기로 했다.


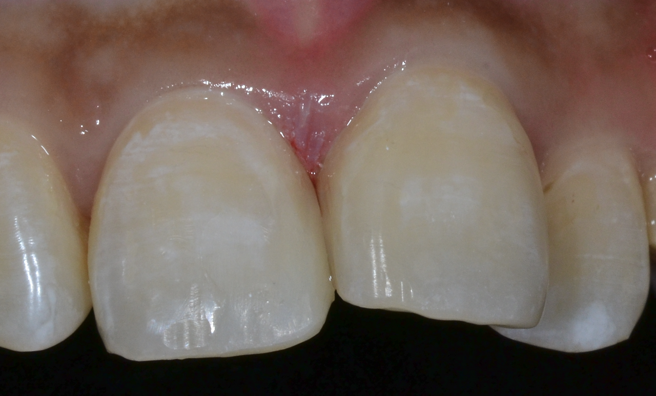
스크린샷 2023-09-08 154928.png <오늘 치료한 두 개의 앞니. 도무지 마음에 들지 않는다.>


속 터지는 마음에 점심시간보다 30분 일찍 나왔다. 마음 같아서는 국밥에 소주라도 한 잔 하면 좋겠다. 국밥만 먹고 앞에 있는 카페에 앉아 차가운 커피를 마시며 마음을 가라앉혔다. 내가 생각해도 지랄도 이런 지랄이 없다. 때가 되면 마음을 좀 내려놓아야 한다는데 언제까지 이럴지 모르겠다. 정말 오늘은 손을 잘라내고 싶은 날이다.

keyword
작가의 이전글유도 9단 아버님의 인사.