brunch

히포크라테스 선서: 첫 번째 맹세

태양과 의술의 신 아폴론

by Iatros

이번에는 '의사' 본업에 좀 더 가까운(?) 이야기를 써보고자 합니다ㅎㅎ.

그리스-로마 신화 속에서 의술과 관련된 신들의 이야기입니다.




의사라는 직업은 신화의 시대인 고대부터 존재해왔습니다. 고대에도 사람들의 건강을 위협하는 수많은 질병이 있었으며, 현대보다 잦은 전투 및 전쟁 등이 수많은 부상과 죽음의 원인이 되었기 때문입니다. 이로 인해, 아프고 다친 사람들을 치료하는 의사라는 직업은 필수불가결한 것이었습니다.

고대로마의사.jpg 환자를 치료 중인 고대 로마 시대 의사의 모습.


현대에도 의사라는 개념을 이야기할 때 가장 먼저 떠올리는 사람은 ‘히포크라테스(Hippocrates, Ἱπποκράτης)’일 것입니다.


에게해(海)에 있는 코스(Kos, Κως)섬 출신의 히포크라테스는 고대의 종교적이고 주술적인 성격의 의술을 학문적인 개념으로 분리해내 ‘의학의 아버지(Father of Medicine)’로 불리고 있으며, 현대에도 그가 만든 ‘히포크라테스 선서’가 전해지고 있습니다(각주 1). 그러나 히포크라테스가 의술의 학문적 개념 정립에 이바지했다 하여도 그는 어디까지나 고대의 사람이었으며, 그렇기에 히포크라테스 선서에도 고대 그리스 신화의 모습이 녹아 들어 있습니다.

히포크라테스와 그의 선서문.jpeg 히포크라테스의 흉상(좌)과 그의 선서문(우).


히포크라테스 선서의 첫 구절을 보면 다음과 같습니다.


“나는 의술의 신 아폴론(Apollon, Απόλλων)과 아스클레피오스(Asclepius, Ἀσκληπιός), 히게아(Hygeia, Ὑγιεία), 파나케아(Panacea, Πανάκεια), 그리고 모든 남신과 여신의 이름으로 나의 능력과 판단에 따라 이 선서와 계약을 이행할 것을 맹세합니다”


이 선서 안에는 4명의 신의 이름이 언급되며, 이들은 모두 고대 그리스에서 의술과 연관된 권능을 가진 것으로 여겨진 대표적인 신들입니다. 이 선서의 의미를 좀 더 잘 이해해보기 위해 각각의 신들에 대해서 알아보도록 하겠습니다.



첫 번 째로 언급된 신인 아폴론은 올림포스의 12 주신 중 하나로, ‘태양의 신’으로 알려져 있는 신입니다. 신들의 제왕인 제우스(Zeus, Ζεύς)와 레토(Leto, Λητώ; 하늘의 신 우라노스의 손녀 뻘인 티탄 신족 중 하나) 여신 사이에 태어난 쌍둥이 신 중 한 명으로(각주 2), 금발의 청년이자 균형 잡힌 체격을 지닌 미남의 모습으로 숭배되고 있습니다.

아폴론과 아르테미스.jpeg 아폴론(좌)과 아르테미스(우) 남매의 조각상.


아폴론은 음악의 신으로서도 유명하여 '리라'를 든 모습으로 묘사되기도 합니다. 숲과 달의 여신이자 처녀의 맹세를 한 것으로 잘 알려진 아르테미스는 사냥을 하는 모습으로 그려질 때가 많아 위의 조각상에서도 화살을 뽑아드는 동작을 취하고 있습니다.

아폴로와 무사.jpeg 무사 여신들과 어울릴 때의 아폴론은 '예술의 신'으로서의 정체성이 강조됩니다. 그림 가운데에서 리라를 든 채 그의 음악성(?)을 뽐내고 있습니다.


아폴론은 ‘태양의 신’의 이미지가 가장 유명하지만, 그 외에도 위에 언급된 바와 같이 리라를 연주하는 음악의 신, 뛰어난 활솜씨를 가진 궁술의 신, 델포이의 신탁을 주관하는 예언의 신, 승리와 영광의 신 등의 다양한 역할을 가지고 있었습니다.

아폴론의 활약들.jpeg (1) 왼쪽 그림은 피에르토 벤베누티의 1813년 작품인 '아폴론'. (2) 오른쪽 그림은 조반니 바티스타 티에폴로에 의해 1740년에 그려진 '태양의 궁전'

위의 왼쪽 그림에서도 리라가 보이지만, 그 외에도 궁술의 신으로서의 모습을 나타내기 위한 활과 화살통, 그리고 승리의 신으로서의 면모를 보여주는 월계관이 보입니다. 그리고 아폴론의 발 밑에는 그가 정복한 것으로 알려져 있는 거대한 뱀 괴물인 '퓌톤'이 깔려 있습니다. 그리고 오른쪽 그림에서는 태양의 신으로서의 면모가 강조되어 있는데, 신화에 따르면 아폴론은 아침마다 자신의 궁전에서 태양의 전차를 끌고 출발하여 세상에 빛을 가져다 주는 역할을 하고 있습니다.



아폴론은 워낙 다재다능한 신이었지만 신화 속 일화들을 좀 더 자세히 살펴보면 치유 및 전염병과 관련된 이야기가 많아 의술의 신으로도 숭배를 받은 이유를 알 수 있습니다.


가장 대표적인 일화는 포세이돈의 아들인 거인 ‘오리온(Orion, Ωρίων)’의 시력을 되찾게 해준 일입니다. 오리온은 키오스(Chios) 섬의 공주인 메로페(Merope, Μερόπη)를 강제로 취하려고 하다가 그녀의 아버지인 오이노피온(Oenopion, Οἰνοπίων)에 의해 두 눈을 뽑혀 장님이 된 적이 있는데, 이렇게 잃어버린 눈을 태양신의 광휘에 의해 되찾았다고 합니다(각주 3).

현대 의학으로는 적출된 안구를 되살릴 수 없으나, 신화 속에서는 이런 기적과도 같은 일이 가능했습니다. 고대 그리스 사람들에게는 태양신이 치유의 힘을 가진 것으로 믿어졌다는 근거가 되겠습니다.

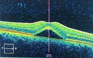
중심장액성망막증.jpeg 중심장액성망막증(central serous retinopathy, CSR).

안구 적출 상태와는 다르지만, 위 그림에 나오는 중심장액성망막증의 경우는 '레이저 치료'를 시행하기도 합니다. 혹시 오리온이 가진 질환이 이와 같은 것이었다면, 아폴론의 빛이 '레이저'와 같은 역할을 했을 가능성도 있지 않을까요?



또 다른 일화로는 영웅 헤라클레스가 헤라 여신의 저주로 광기에 빠져 자신의 가족들을 몰살했을 때, 그 광기에서 빠져나올 방법을 구하자(각주 4), 아폴론의 신전인 델포이에서 신탁을 받아서 그 문제를 해결했다는 이야기도 있습니다. 현대 의학적으로 보면 정신 질환까지 치료하는 권능을 보인 것입니다.



트로이 전쟁에 대한 서사시인 일리아스(Iliad)에서는 아폴론에 의해 그리스 진영에 전염병이 돌게 된 사건에 대해서도 다루고 있는데, 이 이야기에서 아폴론은 ‘역병의 신’이자 ‘쥐의 신’으로의 힘을 보여주었습니다.

아폴론은 쥐를 통해 전염병을 퍼뜨리는 힘도 가지고 있었다고 전해집니다. 중세 시대의 흑사병도 쥐에 기생하는 벼룩을 매개로 퍼졌다는 가설이 있는데, 고대 사람들도 쥐에 의해 전염병이 퍼질 수 있다고 생각했던 것 같습니다.


이렇듯 아폴론이 전염병을 퍼뜨리고 또한 거두는 힘이 있다는 점에서 의술과 밀접한 관련이 있다고 믿어진 게 아닌가 싶습니다. 한 편으로는 전염병이 돌기 쉬운 환경인 덥고 습한 여름의 날씨는, 태양신의 힘이 가장 강한 시기이기에 전염병과 태양신을 연관 지었을 가능성도 있겠습니다.

아폴론신전.jpeg 아폴론 신전에 있는 쥐 모양의 장식품들.


이러한 아폴론은 '의술의 신'으로 불리우게 될 아들을 얻게 됩니다.


다음 이야기는 아폴론의 아들인 아스클레피오스에 대해 다뤄보겠습니다.






*각주

1. 현대 의사들은 히포크라테스 선서를 바탕으로 1948년에 만들어진 제네바 선언을 낭송합니다.

2. 쌍둥이 중 나머지 한 명이 달의 여신인 아르테미스 여신입니다. 숲과 사냥의 신이기도 하며, 영원히 처녀로 살기로 맹세한 여신이기도 합니다.

3. 이 이야기 속에 나오는 태양신은 아폴론이라는 설도 있지만, 아폴론 이전의 태양신이자 티탄 신족인 헬리오스(Helios, Ἥλιος)가 주인공이라는 설도 있습니다.

4. 혹은 아내와 자식들을 살해한 잘못을 속죄할 방법을 구했다고도 합니다.


keyword
매거진의 이전글귀 안에 들어있는 놀라운 미로(labyrinth)