brunch

뇌MRI 뇌MRA 차이점은?

by 건강한 생활습관

뇌MRI 뇌MRA 차이점은?


MR검사는 자기장과 고주파의 상호작용을 이용하여 인체의 해부학적, 병리학적인 정보를 얻을 수 있는 검사입니다. 뇌 MRI는 치매, 뇌종양 등 뇌의 구조적, 기능적 이상소견 여부를 확인하고자 하는 목적이 있으며 뇌MRA는 동맥류, 혈관기형, 혈관형태 등 뇌 혈관 이상을 확인하기 위해 혈관만을 영상화하는 검사입니다.


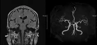
MRI(magnetic resonance imaging) : 뇌를 보는 검사 (구조)

MRA(magnetic resonance angiography) : 뇌혈관을 확인하는 검사 (혈관)


MRI(magnetic resonance imaging)는 뇌를 보는 검사이고, MRA(magnetic resonance angiography)는 뇌혈관을 확인하는 검사입니다. 상황에 따라 조영제 활용 여부가 결정됩니다.


조영제를 사용하면 MRI에선 뇌종양‧감염‧혈관염 등의 감별이 용이합니다. 반면 MRA는 대동맥궁 등 심장 바로 위쪽의 경동맥과 척추동맥의 혈관을 확인할 수 있습니다.


MRI와 MRA에서 뇌혈관 병변이 발견됐어도 모든 환자가 매년 또는 수년에 한 번씩 다시 검사 받을 필요는 없습니다. 추적검사 여부는 환자의 혈관 상태에 따라 다르며 열공경색‧백색질변성‧미세뇌출혈 등 소혈관질환만 있는 경우 대부분 추적 검사가 무의미합니다.


반면 모야모야병 중등도 이상의 뇌혈관 협착 뇌동맥류가 있으면 반드시 추적관찰이 필요합니다. 혈관 협착이 있으면 위치에 따라 비용이 저렴한 CTA(CT angiography), 초음파 검사를 하는 것이 더 도움이 될 수 있습니다.




악명 높은 간병비 부담 해결방법이 궁금하다면?

복주회복병원.png

(간호간병통합서비스 + 본인부담상한제 적용 TIP)

한달 50만원 호텔식 재활치료 받는 법 [클릭]

keyword
매거진의 이전글뇌전증(간질)이란? 노인성질병