#3 임신 일기 - 스위스에서의 산부인과 체험기.

임신 7주 0일 병원 나들이.

by 최선경


한국에서는 내가 보수적이었나 싶을 정도로 산부인과를 간 적이 없다. 많은 병원들을 다녔지만 30년 넘도록 가지 않았던 곳.


하지만 스위스 오기 전, 해외에서는 병원 가기가 힘든 것을 알았고 미리 이것저것 검사를 했다 그중에서 하나가 자궁경부암 검사.

자궁경부암 검사는 30세 이상이 되면 2년에 한 번씩 저렴하게 검진을 할 수 있었고 결혼을 위해 스위스로 떠났기 때문에 미리 검사를 받아 두면 좋을 거라 생각했다.



처음으로 받은 산부인과 검사는 생각보다 덜 불편(?) 했다.

물론 조금 민망하긴 했지만 병원에서 일하는 친구의 배려로 여자 선생님에게 진료를 받을 수도 있었고, 민망하지 않게 치마도 입을 수 있었다.

이 정도가 내가 기억하고 있는 처음이자 마지막 산부인과 경험



그리고 2년 정도가 지난 후 오늘 스위스에서 처음으로 산부인과를 다녀왔다


임신 테스트기로 임신을 확인하고 병원에 예약 전화를 하니 7주 차 되는 오늘 검사 예약이 되어 다녀왔다.

이번에도 여자 선생님으로 예약은 했지만 마침 그분이 휴가를 가 다른 선생님과 검진을 했는데...


스위스의 산부인과 검진은... 날 것



그 이상이었다.



와우.



인터넷에서 본 것처럼 혹시나 몰라 입고 벗기 편한 원피스로 입었고 병원에서는 처음으로 오줌 검사와 피검사를 하고 의사와 대면했다.

다행히 의사는 영어를 잘하는 편이어서 의사소통을 편하게 할 수 있었고 간단한 대화 후에 초음파 검사실로 들어가게 되었다.


한국에서의 내 기억은 탈의실이 있어 옷을 갈아 입고 일회용 치마? 같은 것을 걸칠 수 있었는데 스위스는.. 탈의실이라기엔 애매한?

문이 없는 작은 공간에서 속옷을 탈의해야 했다. 물론 일회용 치마도 없었고..

만일 내가 원피스를 입고 가지 않았다면 헐벗은 채로 진료실을 돌아다녀야 한다는..... 상상을 할 수밖에 없었다. ㅋㅋㅋㅋ


초음파실에 신랑도 같이 들어갔는데 진짜 민망하더라


초음파를 하기 전 의사는 내 마지막 부인과 진료가 언제인지 물었고 거의 2년이 다되어 간다고 하자 간단한 검사를 먼저 해야겠다며 검사를 먼저 했는데..


ㅋㅋㅋㅋㅋㅋㅋㅋㅋㅋㅋ


진짜ㅋㅋㅋ 그 흰색 led조명 아래 그 의자. ㅋㅋㅋㅋㅋ 한국은 이 정도는 아니었던 것 같던데 라는 생각이 너무 많이 들었다.

분명 의사는 의사의 일을 하는 것이었겠지만....



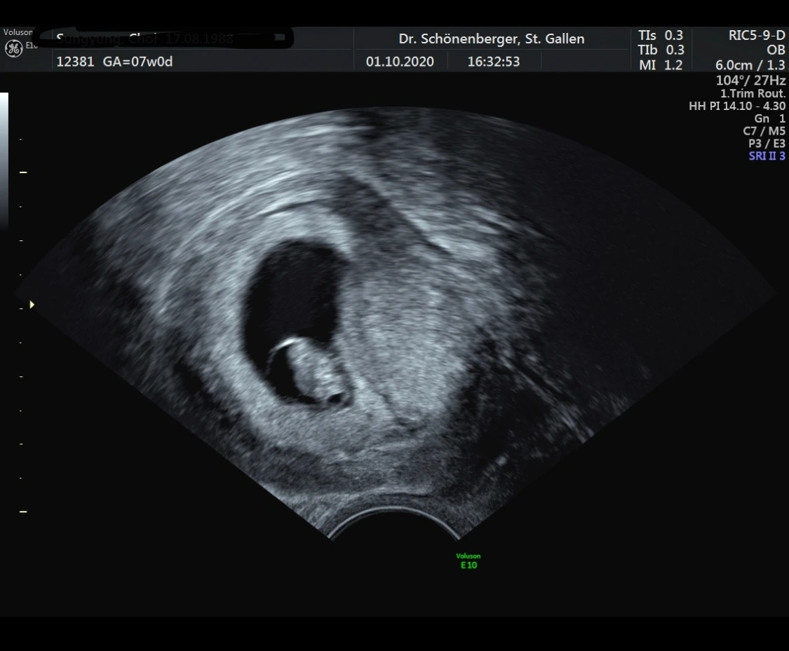
그리고 대망의 초음파.

그냥 긴 침대에 누워있고 신랑은 침대 밑에서 나를 내려다보고 있고, 너무 민망해서 차라리 신랑 보고 밖에 나가 있으라고 했다.

의사와 둘만 있는 게 차라리 덜 민망한 거 같아서..

그러고 나서 초음파 검사를 했고 아기의 심장이 뛰는 것과 아기집을 확인할 수 있었는데 한국에서 처럼 소리를 들을 수는 없었다.

첫 번째 검사에 후 피가 조금 났고 두 번째 초음파 후엔 피가 진짜 흐르던데,, 일단 의사는 첫 번째 검사 때문에 나는 거라 걱정할 필요가 전혀 없다고 했다.

피가 난 상태로 그대로 일어나서 가야 해서 그것도 진짜 민망? 하고 어떻게 해야 할지도 모르겠더라ㅋㅋ 일단 옷 갈아입는 곳에 휴지와 생리대 등이 비치되어 있어 응급처치는 어치 저치 완료하고 의사와 이야기를 더 했다.



처음이고 민망한 마음이 앞서 물어보고 싶은 것들이 생각나지도 않았지만 의사 말로는 나와 아기 모두 건강하니 평소대로 지내면 된다고 했다.

운동과 일 모두 평소대로 하면 되고 대신 치즈와 고기를 먹을 때 기생충 때문에 위험할 수 있으니 골라서 먹으라는 정도의 이야기를 듣고 4주 후 예약을 마치고

모든 진료를 끝냈다.



생각보다 더 민망했던 진료라 다음은 어떨지 모르겠지만 일단 한번 경험한 후라 다음번엔 조금 마음의 안정을 얻지 않을까 하고...

조심 스래? 생각해 본다.






keyword
작가의 이전글임신 일기 #2