같은 이름 아래, 다른 아이가 있었다

같은 ADHD라도 아이들 안의 작동 방식은 다를 수 있다

by 전의혁

같은 말을 몇 번이나 듣게 되는 날이 있다.


학교 가방을 소파에 던져두고 방 안을 서성이는 아이가 있다.
연필을 쥔 채 창밖으로 시선이 흘러가고, 대답은 늦게 돌아온다.
또 어떤 아이는 의자 끝에 걸터앉아 발을 계속 떨고, 질문이 끝나기 전에 먼저 말을 꺼낸다.


그건 버릇이 아니다.
안에서 작동하는 방식이 다른 쪽에 가깝다.


같은 ADHD라는 말 아래 아이들의 모습이 너무 다를 때, 나도 멈춘 적이 있다.
누구는 집중이 안 되고, 누구는 가만히 있지 못하고, 누구는 거기에 폭발적인 감정까지 겹친다.
혹시 당신도 "왜 같은 진단인데 이렇게 다르지" 하고 멈춘 적이 있나?


이번 연구는 그 오래된 물음을 조금 다르게 들여다본다.


20260311 _ 드디어 밝혀진 ADHD 3가지 유형 _ 2.png


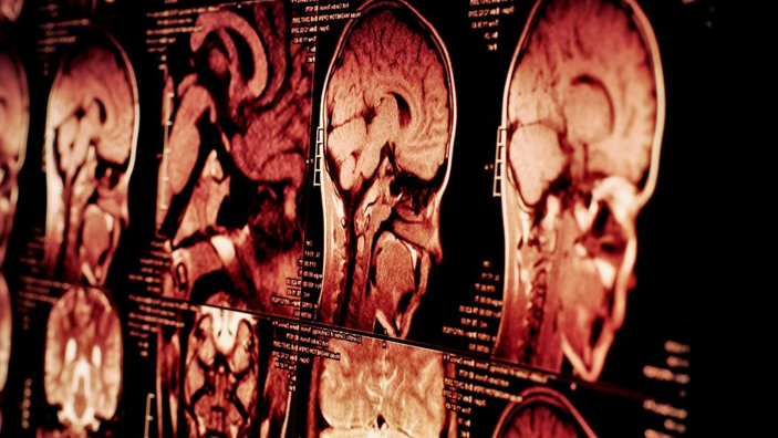
중국·미국·호주 연구진이 ADHD 아동 446명의 뇌 스캔을 분석했다.
정보를 처리하고 전달하는 신경세포가 밀집한 뇌 조직을 살펴본 결과,
서로 다른 3가지 뚜렷한 유형을 확인했다.
ADHD는 하나의 장애가 여러 얼굴로 나타나는 것만은 아닐 수 있다.
서로 다른 뇌 특성을 가진 상태들을 하나의 이름으로 묶어온 것일 수도 있다.


그래서 치료가 자꾸 시행착오처럼 느껴졌는지도 모른다.


연구에 참여한 소아정신과 의사는 이번 결과가 진료실에서 이미 해오던 일과 닮아 있다고 말했다.
증상을 보고 치료를 맞춰보던 임상 경험이,
이번에는 뇌 데이터로도 뒷받침됐다는 뜻이다.


20260311 _ 드디어 밝혀진 ADHD 3가지 유형 _ 2-1.png


첫 번째는 감정까지 함께 흔들리는 중증 혼합형이었다


이 유형은 생각을 정리하고 충동을 억제하는 '뇌의 통제 센터'가 과부하된 상태에 가깝다.
부주의와 과잉행동이 함께 두드러지고,
감정 조절의 어려움도 더 뚜렷하다.
심한 기분 변동, 공격성, 감정 폭발이 나타날 수 있다.


이 유형은 우울·불안 같은 추가적인 정신건강 문제로 이어질 가능성이 가장 크다.
그래서 연구진은 세 유형 중 가장 빠른 개입이 필요하다고 봤다.


20260311 _ 드디어 밝혀진 ADHD 3가지 유형 _ 2-2.png


두 번째는 '멈춤'이 더 어려운 과잉행동·충동성 중심 유형이었다


이 유형은 집중이 안 되는 문제라기보다,
멈추기가 어려운 문제에 더 가깝다.
가속 페달은 강한데 브레이크 타이밍이 어긋난 상태와 비슷하다.


질문이 끝나기 전에 답을 말하거나,
자주 끼어들거나,
생각하기 전에 행동이 먼저 나간다.
이것이 단순한 버릇이 아니라 뇌의 충동 억제 시스템과 연결된 문제일 수 있다.


20260311 _ 드디어 밝혀진 ADHD 3가지 유형 _ 2-3.png


세 번째는 조용해서 더 늦게 보이기 쉬운 부주의 중심 유형이었다


이 유형은 다른 기능은 잘 돌아가는 것처럼 보이는데,
집중만 자꾸 흘러내리는 상태다.
과잉행동 없이 조용하기 때문에 교실에서 눈에 덜 띈다.


문제는 바로 그 점이다.
소란이 없다는 이유로 어려움이 작다고 오해되기 쉽다.
특히 여자아이에서 이런 양상이 더 자주 나타나며,
수년간 학업 어려움이 쌓인 뒤에야 뒤늦게 발견되는 경우가 있다.


20260311 _ 드디어 밝혀진 ADHD 3가지 유형 _ 2-4.png


물론 이 연구가 곧바로 새로운 진단 기준을 만드는 것은 아니다.


연구진도 이번 유형 분류가 공식 진단 범주가 아니라고 강조했다.
결과는 추가 검증이 필요하고, ADHD는 여전히 뇌 스캔이 아니라 행동 관찰에 기반한 임상 진단이다.


그래도 이 연구가 남긴 방향은 선명하다.
언젠가 이런 패턴이 더 단단하게 확인된다면, 아이에게 더 맞는 치료를 더 빨리 찾을 수 있을지 모른다.
많은 가족이 겪는 시행착오와 지침도 조금은 줄어들 수 있다.


20260311 _ 드디어 밝혀진 ADHD 3가지 유형 _ 2-6.png


같은 이름으로 다 설명되지 않는 날이 있다.


ADHD라는 말이 너무 넓게 느껴졌다면, 그건 당신이 예민해서가 아니다.
실제로 그 안에 서로 다른 결이 들어 있었기 때문일 수 있다.
같은 이름 아래서도 아이마다 다른 결이 있다는 사실을,
이제는 조금 더 천천히 보게 된다.

작가의 이전글유방암 항암치료의 한가운데서, 몸을 움직이는 이유