어지러워요

뇌동정맥 기형

by 하일우

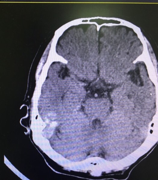
어지럼증 호소하는 60세 남성.
CT 상 우측 측두엽이 이상하다.


우측 측두엽이 하얗다.

MRI까지 살폈더니 AVM이 포착된다.
뇌동정맥 기형은 선천적 발달 이상으로
동맥이 모세혈관을 거치지 않고 바로
정맥으로 연결되는 혈관의 기형이다.


뇌동정맥 기형(AVM : arteriovenous malformation)

혈관이 풍부한 폐, 간, 비장 등의
장기에서도 생길 수 있으나
주로 뇌에서 문제를 일으킨다.
뇌출혈이나 간질 발작의
원인이 되기도 한다.

keyword
작가의 이전글흡족한 디저트