"숨이 차요."

심초음파 검사와 폐동맥 색전증

by 하일우


77세 할머니. 내원 전날 아침부터 구토가 시작되셨다. 이어 복통이 찾아왔고, 숨이 가빠지셨다. 기본 검사를 쭉 진행하고 심초음파 영상까지 체크.


우심실 압력 증가로 좌심실 눌려 D-shaped LV.


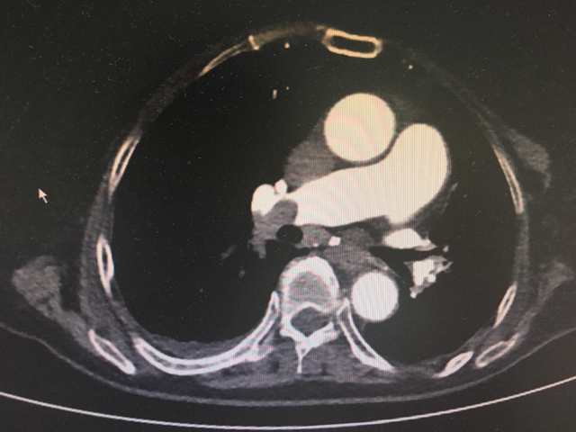
앗, 심장 뛰는 게 심상치 않다. 심증에 힘 실어줄 단서를 기대하며 흉부 CT까지 살핀다. 역시나 PTE (pulmonary thromboembolism, 폐동맥 색전증).


흉부 CT 상 PTE. 페동맥 색전증이 자명하다.


환자를 병실로 보내며 다시금 다짐한다. 의심하고 또 의심하리라. 의심해야 찾아본다. 의심해야 찾아낸다. 일상에 의심이 있어야 인생도 의미가 있지 않던가.


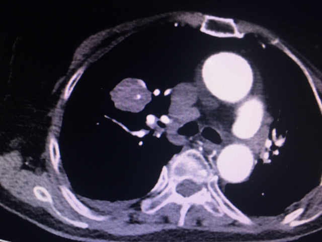
허파 우상엽에 mass. 종양에 의한 PTE로구나.
keyword
작가의 이전글발분망식