실제 증례로 쉽고 재미있게 공부하는 수의 영상 의학⑷

고양이 흉부 질환 - 일산동물의료원 정주현 원장

by 일산동물의료원

.본 칼럼 시리즈는 '대한수의사회' 월간지에 기고된 일산동물의료원 정주현 원장님의 칼럼입니다.


정원장님.jpg

일산동물의료원 정주현 원장


· 서울대학교 수의과대학 수의학과 졸업

· 서울대학교 수의과대학 수의영상의학과 석사 졸업

· 서울대학교 수의과대학 수의영상의학과 박사 졸업


[대한수의사회 기고 칼럼] 실제 증례로 쉽고 재미있게 공부하는 수의 영상 의학


[연재계획]

❶ 개 상부 호흡기 질환
❷ 고양이 상부 호흡기 질환
❸ 개 하부 호흡기 질환
❹ 고양이 흉부 질환
❺ 개 심장/심낭막 질환
❻ 고양이 심장 질환
❼ 개 간담도췌장 질환
❽ 고양이 간담도췌장 질환
❾ 개, 고양이의 비뇨생식기계 질환
❿ 개, 고양이의 위장관 질환
⓫ 개, 고양이의 림프절
⓬ 조직 검사 또는 임상 결과가 영상학적 소견과 달랐던 증례들 모음



실제 증례로 쉽고 재미있게 공부하는 수의 영상 의학

❹ 고양이 흉부 질환


고양이의 흉부 질환은 흔한 편이나, 증상을 숨기는 고양이의 특성상 병원에 늦게 내원하게 되고, 2가지 이상의 병변을 동반한 복합적인 상태가 많습니다. 고양이 흉부 질환을 평가하기 위한 consensus definition도 아직 정확하지 않아, 임상 수의사로서 여전히 clinical challenge 영역입니다. 흉부 청진과 함께 호흡 패턴과 특성을 평가하여, 병변의 해부학적 위치가 흉부로 생각되면, 일단 흉부 방사선 검사를 먼저 진행하게 됩니다. 흉부 방사선 검사는 lower respiratory tract(기관, 기관지, 폐)뿐만 아니라, 흉벽, 늑골, 횡격막, 흉막, 종격(mediastinum), 심혈관 등 흉부를 구성하는 모든 구조물을 일차적으로 평가할 수 있으며, 이를 바탕으로 다음 procedure에 대한 계획(예를 들어 흉부 초음파, CT 검사, Bronchoalveolar lavage, 세포조직학적 검사, PCR, 배양 검사 등)을 세웁니다. 이번에는 호흡기 증상으로 내원한 고양이 환자에서 영상학적 진단이 쉽지 않았던 흉부 증례들을 중심으로 함께 생각해보는 시간을 갖도록 하겠습니다.






<※증례 ①>


[대한수의사회지 24.png

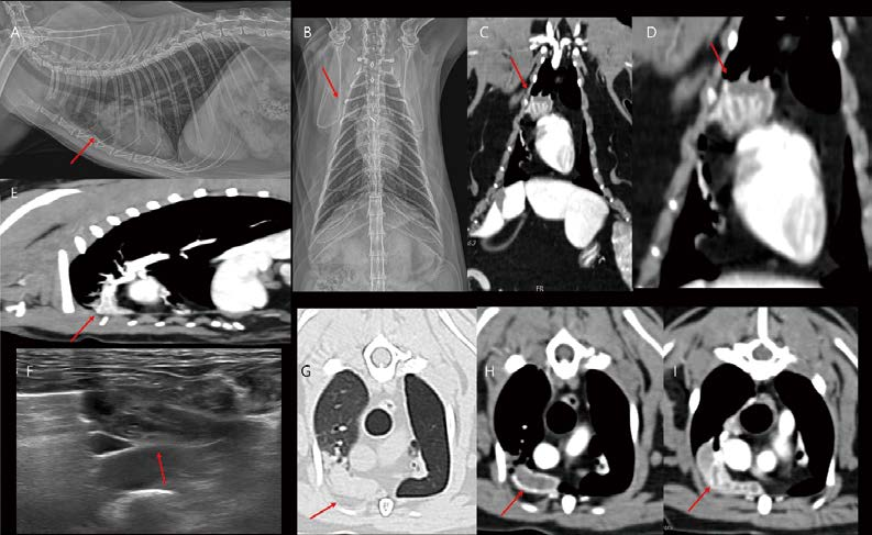
14살 중성화 암컷 4.93kg DSH cat이 식욕부진, 기침 증상으로 내원하였습니다. 흉부방사선 검사 외측상에서 심장의 cranioventral part, 복배상에서 우측 전엽에서 focal하게 기관지, 간질, 폐포의 혼합 침윤 소견이 관찰됩니다(A, B). 흉부 초음파에서 focal consolidation 영역이 관찰되는데, 확장된 기관지로 생각되는 tubular 구조물 내부로 hypoechoic fluid or materials이 채워져 관찰됩니다. 유의적인 혈관 이상 소견은 관찰되지 않습니다(F). CT 검사에서 우측 전엽의 일부에서 bronchial wall thickening, focal한 bronchiectasis, tubular dilated bronchi 내부로 homogeneous hypoattenuating mucoid impaction(mucus plugging) 소견이 관찰됩니다. 사람 asthma 환자에서 잘 관찰되는 finger in glove sign과 유사하게 관찰됩니다(C, D, E, G, H, I). 이 저감쇠 영역은 조영 증강 없이 30~60 HU number로 관찰됩니다. 지방 밀도는 아니어서 exogenous/ endogenous lipoid pneumonia 가능성은 낮게 생각됩니다. Pulmonary hyperinflation, air- trapping, bronchial luminal narrowing 등은 관찰되지 않습니다.

[대한수의사회지 24.png

Feline chronic asthmatic bronchitis 가능성, 종양 가능성, 또는 다른 감염성 질환 배제를 위해 bronchoalveolar lavage를 실시하였습니다. 세포학적 검사에서 호중구, 호산구 모두 주로 관찰되며, 종양성 변화는 관찰되지 않았습니다. PCR, 배양 검사 모두 음성으로 확인되었습니다. 흔히 하부 호흡기 질환을 크게 2개의 카테고리로 분류하는데, 고양이 asthma는 spontaneous reversible bronchoconstriction, airway remodeling, eosinophilic airway inflammation을 보이고, 고양이 chronic bronchitis는 airway thickening, excessive mucus production, neutrophilic inflammation을 보입니다. 그러나 이 환자처럼 세포학적으로도 eosinophilic, neutrophilic inflammation 둘 다 관찰되고, 영상학적으로도 소견이 overlapping되는 chronic asthmatic bronchitis 증례가 많습니다. 따라서 feline chronic asthmatic bronchitis에 준해서 스테로이드 포함 대증 치료를 진행하였습니다. 환자는 내과적 치료에 잘 반응하여 기침, 식욕, 활력 모두 개선되었으며, 흉부 방사선 검사에서 병변의 범위와 밀도가 약간 감소(병변이 아직 남아 있음) 하였습니다. 그러나 6개월 후, 기침이 다시 증가하고, 호흡하는데 불편함을 호소하였습니다. 흉부 방사선에서 우측 전엽 침윤의 범위와 밀도 모두 유의적으로 증가하여 종괴 양상으로 관찰됩니다(A, E. 사진 C는 6개월 전 초진 시, 사진 D는 스테로이드 처치 후, 사진 A, E는 초진 6개월 후). 병변은 폐초음파 검사에서 예전보다 크기가 크고 균질한 저감쇠 종괴 양상으로, bronchial wall, 혈관 구조 모두 소실되어 관찰됩니다(G). CT를 재촬영했을 때 석회화된 기관지벽의 right lateral, ventral로 다소 저감쇠의 종괴가 bulging되어 관찰됩니다(B, F, H, I). 초음파 가이드 FNA에서 pulmonary lymphoma가 고려되었고, 종괴를 포함한 우측 전엽절제술을 실시하였습니다. 조직병리학 검사에서 폐종괴는 괴사, histiocytic inflammation, multifocal bronchiectasis with mucus impaction and osseous metaplasia를 동반한 poorly differentiated round to polyhedral cell neoplasm로 나왔습니다. 추가 면역 염색(CD3, Pax-5, Iba-1, E-cadherin)이 추천되어 진행하였고 diffuse large B cell lymphoma로 확진하였습니다.

[대한수의사회지 24.png

폐엽 절제술 이후 환자의 상태가 양호하여 보호자님은 항암 치료를 일단 보류하셨는데, 수술 1년 후 흉부 방사선 검사에서 좌측 후엽의 작은 결절성 음영이 관찰되었습니다(A, B). CT 검사에서 이전 우측 전엽 lymphoma와 유사한 소견이 좌측 후엽에서 관찰되었습니다(C, D, E). CHOP 항암 치료를 시작하였고, 4개월 뒤 CT 검사에서 폐 병변은 모두 개선되었습니다. CHOP 항암 치료 종료 후 잘 지내다가, 초진(우측 전엽 병변 발견) 2년 10개월 뒤 식욕부진 빈혈로 내원하였습니다. 복부초음파 검사에서 hepatomegaly, splenomegaly with honeycomb pattern이 관찰되었습니다. 간, 비장 FNA에서 Multicentric lymphoma 상태로 확인되었습니다. 다시 CHOP 항암치료 시작하였으나, 2개월 뒤 사망하였습니다.



<여기서 잠깐 비교 증례!>

증례 1과 비교해서 다음 환자는 간헐적으로 숨을 몰아서 쉬는 증상 이외에 식욕, 활력 모두 양호한 고양이입니다. 초진(2년 전) 시 흉부 방사선 검사와 2년 후 촬영된 CT 검사가 거의 유사한 침윤 범위와 밀도를 보입니다. CT에서 multifocal bronchiectasis with mucoid impaction and tiny calcification 양상으로 관찰됩니다(A, B, C, D, E, F). 임상적 경과와 세포학적 검사에서 양성의 폐 질환이 우선 고려되어 모니터링하기로 하였습니다. 이 후 3년째에도 큰 변화(악화/개선) 없이 유사한 흉부 방사선 상태를 보였으나, 결국 pulmonary adenocarcinoma였습니다.

[대한수의사회지 24.png

누가 봐도 둥글고 큰 종괴 양상은 폐 종양으로 진단하기가 쉬우나, 실제 임상에서 염증성 변화와 종양성 변화를 감별하기 어려운 경우가 많으며, 시기적으로 다른 염증, 감염, 종양성 변화가 모두 동반된 환자도 많은 것 같습니다. 폐 종양성 변화에 의해 airway obstruction이 발생하면 이차적인 pneumocyte degeneration 때문에 endogenous lipid pneumonia의 원인이 될 수 있다고 알려져 있습니다. 실제 고양이에서 endogenous lipid pneumonia가 bronchogenic carcinoma 또는 intra-lesional infection과 관련된 증례 보고들이 있습니다. 환자의 상태가 양호한 편이고, 영상학적으로 큰 변화 소견이 없을 때, 환자를 긴 시간 동안 모니터링하기 어려운 경우도 많기 때문에 결과를 잘 모르는 상태에서, 환자의 상태는 지속적으로 변화하고 복합적일 수 있는데, 그 동안 수많은 환자를 feline chronic asthmatic bronchitis 또는 lipid pneumonia 등 만성 양성의 하부 호흡기 질환이라고 단순 진단하지 않았나 반성하게 됩니다.





<※증례 ②>

9살 중성화 수컷 5.6kg DSH cat이 3주 전부터 좌측 전지 부종으로 내원하였습니다. 좌측 전지 방사선 검사에서 3rd, 4th digits 주변으로 심한 연조직 밀도 부종이 관찰됩니다(I). 고양이에서 전지, 특히 3rd, 4th digits의 병변은 feline lung digit syndrome(원발성 폐종양, 주로 bronchogenic adenocarcinoma에서 호흡기 관련 증상은 없다고 하더라도, 하나 이상의 digit로 전이가 진행된 임상적 상태)이 고려됩니다. 흉부 방사선 검사 외측상에서 심장과 횡격막 사이 다소 밀도가 높은 tubular bronchiectasis with mucoid impaction? tubular mass? 음영이 관찰됩니다. 또한 위식도연접부 앞쪽으로 연조직 밀도 종괴? 음영이 횡격막을 배경으로 관찰됩니다. VD view, DV view 모두 위식도연접부 앞쪽으로 연조직 밀도의 둥근 음영이 횡격막을 배경으로 한계 불명확하게 관찰됩니다(A, D, E, 붉은 화살표). 일반적인 흉부 초음파 view로는 병변이 잘 관찰되지 않아, 복강을 통해 위식도연접부 내측을 스캔하니 이질적 저감쇠 종괴가 관찰됩니다(H). CT 검사를 진행하였고, 심장과 횡격막 사이 관찰되었던 영역은 atelectasis, bronchiectasis with mucoid impaction 양상으로 관찰됩니다(C). 위식도연접부 앞쪽으로 작은 석회화 음영 동반한 커다란 종괴가 관찰됩니다(B, F, G). 보호자님께서 전지 digit 절제를 원하셔서 진행하였고, 세포조직학적 검사에서 margin은 complete하였고, adenocarcinoma로 확인되었습니다. 수술 후 palladia로 관리하던 중, 내원하지 않으셨으나, 4개월 뒤 수술한 좌측 전지의 다른 digits, 반대편 전지 digits, 전신적으로 multifocal muscles의 전이성 병소가 확인된 상태로 사망하였다고 전달받았습니다.

[대한수의사회지 24.png

고양이 원발 폐종양 인접은 림프절 또는 흉강내 전이 외에도 extrapulmonary metastasis(e.g., digits) 등 다양한 부위로 전이가 발생할 수 있습니다. 그리고 extrapulmonary metastasis 발생률과 원발 폐종양 크기는 연관성이 있어서, 즉 원발 폐종양이 어느 정도 크기가 커질 경우 extrapulmonary metastasis가 발생합니다. 이 환자의 경우 흉부 방사선 검사에서 심장과 우측 횡격막 사이 accessory lung lobe으로 생각되는 영역의 비정상 소견은 CT에서 크기가 크지 않은 atelectasis 영역으로 관찰됩니다. 위식도연접부 앞쪽 종괴는 CT에서 크기가 어느 정도 있음에도 불구하고, 흉부방사선에서는 횡격막에 가려 쉽게 놓치기 쉽습니다. 폐야는 횡격막을 지나 간엽과 어느 정도 overlapping된다는 점을 잊지 않아야 합니다. 특히 고양이에서 폐종양은 들키지 않게 잘 숨어 있는 것 같습니다.


<여기서 잠깐 비교 증례!>

[대한수의사회지 24.png

잘 숨어 있는 다른 폐종양 환자를 비교해 보면, 이 환자는 accessory lung lobe의 adenocarcinoma로 인해 CdVC의 부분적 협착이 발생했고, 이로 인해 흉복수가 생기기 시작한 환자입니다. 흉부에서 midline에 인접한 병변 역시 종격 구조물에 의해 잘 숨어 있기 때문에 흉부방사선 검사 판독에 있어 좀 더 세심하게 판독하려고 노력해야 할 것 같습니다.

[대한수의사회지 24.png

개와 비교 시, 고양이 원발 폐종양의 digits로의 전이가 좀 더 잘 관찰되어서 Lung digit syndrome 이라는 용어를 일반적으로 쓰고 있지만, 고양이에서 폐종양은 digit 뿐만 아니라, 전신 여러 군데로 전이가 잘 된다고 알려져 있습니다. MODAL syndrome(Muscle/ocular/digit/aorta/lung) 용어가 좀 더 임상적으로 활용되면 좋을 것 같습니다. 다음 고양이는 pulmonary adenocarcinoma가 전지, 후지 근육으로 전이된 MODAL syndrome 환자입니다.





<※증례 ③>


[대한수의사회지 24.png

8개월 중성화 수컷 6.62kg DSH 고양이가 호흡곤란으로 내원하였습니다. 양쪽 흉강 내 다량의 흉수가 관찰됩니다. 좌측에 비해 우측 폐후엽의 contour가 조금 더 round하게 관찰되며, 우측 흉수량이 조금 더 많은 것으로 관찰됩니다(A, B). 흉부 초음파에서 매우 고에코성의 swirling 흉수 및 흉수 내 hyperechoic thickened mobile strands가 다수 관찰되어, exudate로 생각할 수 있습니다. 이로 인해 양쪽 폐전엽은 atelectasis 상태로 관찰됩니다(C, D). 흉수는 최대한 많이 천자하여 배양을 의뢰하였고, stenotrophomonas maltophilia 감염으로 확인되었습니다. 어린 고양이의 감염성 pyothorax에 준해서 항생제 감수성 검사를 바탕으로 치료를 진행하였고, 임상 증상, 혈액 검사, 흉부 방사선 모두 정상으로 개선되어 치료 종료했습니다. 그런데 1년 9개월 뒤 같은 임상 증상으로 재 내원하였고, 흉부 방사선 검사에서 소량의 흉수가 관찰되었습니다(E, F). 또한, 흉부 초음파에서 소량의 흉수와 lung periphery의 focal hypoechoic small nodular region이 관찰됩니다(H). 다시 기록을 뒤져 1년 9개월 전 치료 종료할 때쯤 흉부 초음파 영상을 보니, 농흉은 거의 개선되었으나, 폐 말초 부위에 염증성 결절성 음영이 남아 있었습니다(G). 환자는 흉수 천자, 배양, 항생제 감수성 검사를 통해 농흉 재발 상태로 확인되었고, 다시 흉부 초음파 상 변화가 사라질 때까지 치료를 진행하였습니다. Pyothorax 또는 purulent pleuritis에서 임상 증상이 개선되었다고 하더라도 remnant pleural empyema or lung abscess가 있을 수 있어 주의가 필요합니다.


<여기서 잠깐 비교 증례!>

이 환자 역시 어린 고양이 농흉 환자입니다. 일반적인 free pleural effusion 상태와 달리 midline ventral에 집중 저류되어 있는 양상으로 관찰됩니다(복배상에서 흉수량이 적은 것처럼 관찰됨) (A, B). 흉부 초음파 검사에서 매우 고에코성 흉수가 다량 관찰되는데, 세밀한 multiseptation pattern을 보입니다. Septated effusion은 fibrinolytic therapy 또는 surgical intervention(chest tube drainage) 등이 필요할 수 있습니다. 이 환자는 16G needle로도 샘플링이 잘 되지 않아, 따뜻한 saline으로 여러 번 flushing하면서 흉수 천자를 실시하였습니다. 포기해야 하나 싶을 정도로 환자가 critically ill 상태였는데, 다행히 정상으로 잘 회복하였습니다.

[대한수의사회지 24.png

흉부 초음파는 pleura 및 pleural fluid complexity, complications(pleural or lung empyema 등)을 평가하는 데 있어, CT 검사보다 더 쉽고, 더 세밀하게 평가할 수도 있습니다.





<※증례 ④>


[대한수의사회지 24.png

11살, 중성화 수컷, 5.1kg, Persian cat이 호흡곤란으로 내원했습니다. 흉부 방사선 검사에서 다량의 흉수가 관찰됩니다. 모든 폐엽은 round contour를 보입니다(A, B). 흉수 천자 시 감염 없는 유미흉으로 확인되었습니다. 유미흉의 원인을 알기 위해 추가 검사(e.g., CT lymphangiography and angiography)가 필요하나, 보호자님은 일시적인 초음파 가이드 흉수 천자만을 원하셨습니다. 흉수 천자 이후 환자는 호흡이 일시적으로 개선되었습니다(C, D). 그러나, 흉수량은 점점 더 증가하고 폐엽은 더 irregular하게 둥글게 collapse되어 관찰됩니다(E, F). 이번 흉수 천자는 기흉 발생 위험이 충분히 고려되는 상황이었으나, 보호자님의 요청에 의해 진행하였고, 흉수 천자 시작한지 얼마되지 않아, 환자는 기흉 발생으로 호흡 곤란이 더 심해졌습니다(G, H, 붉은 화살표). 이제 흉수와 기흉(spontaneous pneumothorax)이 혼재되어 호흡 곤란의 임상 증상이 조절되지 않는 상태가 되었고(G, H), 일주일 이내 사망하였습니다.

[대한수의사회지 24.png

다음 환자도 idiopathic chylothorax(A, CT lymphangiography)로 진단된 고양이입니다. 안정적인 마취를 위해 흉수 천자를 소량 진행하고 촬영한 흉부 방사선 검사에서 소량의 기흉이 고려됩니다(C, E). CT 검사에서 폐엽 말단 부위에서 small parenchymal consolidation 영역 및 visceral pleural thickening이 관찰됩니다(노란 화살표). 이 주변으로 소량 기흉이 관찰됩니다(붉은 화살표). Idiopathic chylothorax + Fibrosing pleuritis + Spontaneous pneumothorax 상태라 할 수 있겠습니다. 보호자님이 Idiopathic chylothorax 수술적 교정은 원치 않으셨고, spontaneous pneumothorax 정도가 미약하여, 의뢰 병원에서 어느 정도 관리 중이라고 하였습니다. 고양이 흉수에서 폐엽의 irregular 정도, round contour 정도 평가는 환자의 예후에 매우 중요한 정보이며, 흉부 방사선에서도 어느 정도 평가가 가능하므로, 세밀한 판독이 추천됩니다.




글을 마치며

오늘은 호흡기 증상으로 내원한 고양이 환자에서 영상학적 진단이 쉽지 않았던, 그래서 더 많이 배웠었던 증례를 중심으로 준비하였습니다. 그나마 위의 환자들처럼 종양, large airway 감염성 또는 염증성 폐질환, 흉수 질환 등은 어느 정도 진단과 예후 판단이 되는 환자들입니다만, 영상학적으로도 복합적인 패턴을 보여, 진단적으로 분류되지 않은 고양이 환자들이 많은 것 같습니다. 다른 분야보다 특히 같이 공부하고 논의하고 싶은 고양이 호흡기 증례가 너무 많지만, 저에게 할애된 지면이 제한적이라, 고양이 호흡기 질환의 진단과 치료가 좀 더 임상적으로, 세부적으로, 체계화되기를 기대하며, 다음 디스커션 기회를 기다려 보겠습니다(^^!).

keyword
작가의 이전글실제 증례로 쉽고 재미있게 공부하는 수의 영상 의학⑶