실제 증례로 쉽고 재미있게 공부하는 수의 영상 의학 ⑸

개 심장/심낭막 질환- 일산동물의료원 정주현 원장

by 일산동물의료원

개 심장/심낭막 질환개 심장/심낭막 질환

개에서 가장 대표적인 후천적 심장 질환은 MMVD(myxomatous mitral valve disease), 선천적 심장 질환은 pulmonic stenosis, PDA(patent ductus arteriosus), subaortic stenosis, 흔하지 않지만 심장 종양은 hemangiosarcoma, chemodectoma가 있으며, 기타 심낭막 질환이 있습니다. 진단, staging, 내과적 또는 수술적 플랜, 예후 평가 등을 위해 흉부방사선 검사, 경흉부심초음파(transthoracic echocardiography) 검사, cardiac marker 등이 필요하며, 보다 정확한 평가를 위해 경식도심초음파(transesophageal echocardiography), CT(Computed tomography), angiography 등이 추천될 수 있습니다. 이번 시간은 수의임상에서 흔히 만날 수 있는 대표적인 증례를 통해 조금 더 깊이 고찰하는 시간을 갖도록 하겠습니다.





본 칼럼 시리즈는 '대한수의사회' 월간지에 기고된 일산동물의료원 정주현 원장님의 칼럼입니다.


정원장님.jpg


일산동물의료원 정주현 원장


· 서울대학교 수의과대학 수의학과 졸업

· 서울대학교 수의과대학 수의영상의학과 석사 졸업

· 서울대학교 수의과대학 수의영상의학과 박사 졸업



[대한수의사회 기고 칼럼] 실제 증례로 쉽고 재미있게 공부하는 수의 영상 의학


[연재계획]

❶ 개 상부 호흡기 질환
❷ 고양이 상부 호흡기 질환
❸ 개 하부 호흡기 질환
❹ 고양이 하부 호흡기 질환
❺ 개 심장/심낭막 질환
❻ 고양이 심장 질환
❼ 개 간담도췌장 질환
❽ 고양이 간담도췌장 질환
❾ 개, 고양이의 비뇨생식기계 질환
❿ 개, 고양이의 위장관 질환
⓫ 개, 고양이의 림프절
⓬ 조직 검사 또는 임상 결과가 영상학적 소견과 달랐던 증례들 모음




실제 증례로 쉽고 재미있게 공부하는 수의 영상 의학

개 심장/심낭막 질환

개에서 가장 대표적인 후천적 심장 질환은 MMVD(myxomatous mitral valve disease), 선천적 심장 질환은 pulmonic stenosis, PDA(patent ductus arteriosus), subaortic stenosis, 흔하지 않지만 심장 종양은 hemangiosarcoma, chemodectoma가 있으며, 기타 심낭막 질환이 있습니다. 진단, staging, 내과적 또는 수술적 플랜, 예후 평가 등을 위해 흉부방사선 검사, 경흉부심초음파(transthoracic echocardiography) 검사, cardiac marker 등이 필요하며, 보다 정확한 평가를 위해 경식도심초음파(transesophageal echocardiography), CT(Computed tomography), angiography 등이 추천될 수 있습니다. 이번 시간은 수의임상에서 흔히 만날 수 있는 대표적인 증례를 통해 조금 더 깊이 고찰하는 시간을 갖도록 하겠습니다.




<※증례 ①>

%EB%8C%80%ED%95%9C%EC%88%98%EC%9D%98%EC%82%AC%ED%9A%8C%EC%A7%80_24.png?type=w3840

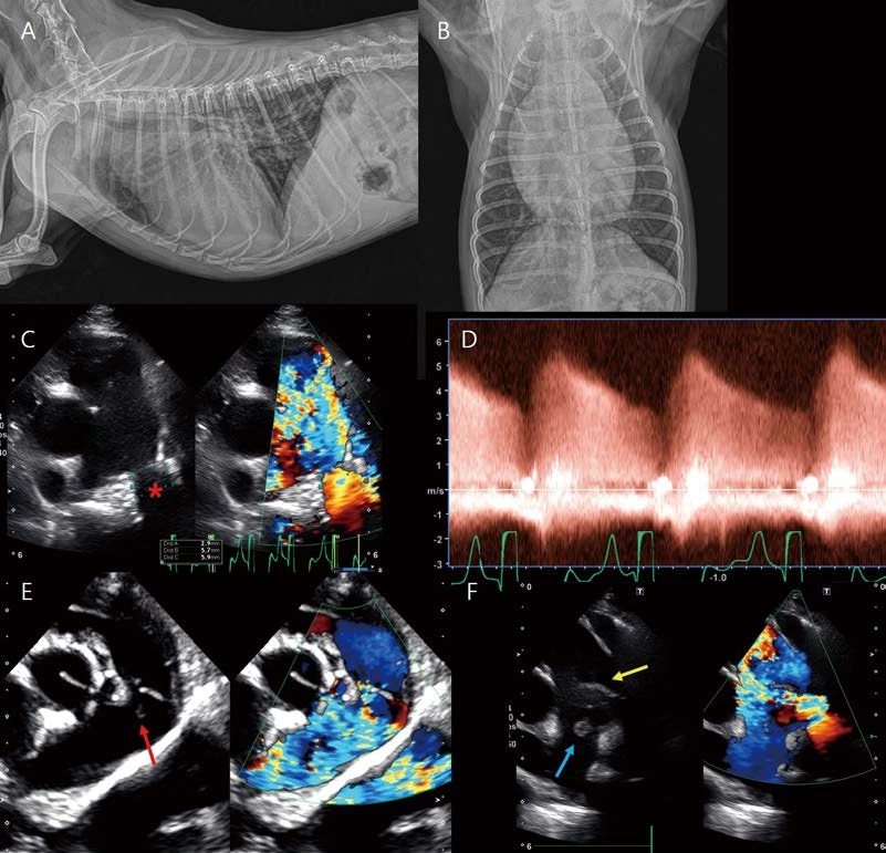
14살 중성화 수컷 3.1kg Poodle 환자가 호흡곤란으로 응급 내원하였습니다. SpO₂는 w/o O₂ 76%, w/ O₂ 99%였고, 심청진에서 grade 4 이상의 left apical systolic heart murmur가 crackle lung sound와 함께 확인되었습니다. 흉부방사선 검사에서 cardiomegaly with pulmonary congestion이 관찰됩니다. 또한 perihilar region과 양쪽 후엽에서 폐포성 침윤이 관찰됩니다(A, B). 심초음파에서 MMVD(ACVIM stage C; LAD index 1.97, LA/AO ratio 2.73, MV e peak velocity 1.29m/s, 약간 감소된 MR peak velocity, asymmetric pointed MR flow profiles)(C, D), 폐초음파에서 confluent B lines(B profile, pulmonary edema)가 관찰됩니다(E). 환자는 MMVD로 인한 cardiogenicpulmonary edema로 진단되었고, 응급중환자실에서 입원치료 후 잘 퇴원하였습니다. 약 1년 6개월 후 다시 호흡곤란, 졸도, 기력저하로 응급 내원하였습니다. 이전 흉부방사선 검사와 비교 시, globoid cardiomegaly with sharp contour 소견이 관찰되며, 폐혈관은 오히려 직경이 작게 측정됩니다(F, G). 심청진에서 muffled sound, 노력성 호흡, 혈압 80mmHg로 측정됩니다. 심초음파에서 심낭수가 관찰되며, 이로 인해 RA, RV 뿐만 아니라 좌심까지 collapse되어 관찰됩니다.(H *) Cardiactamponade 상태로 확인되었고, 바로 수액을 공급하면서, 낮은 속도로 조심스럽게 심낭수 천자(약 20ml의 혈액성 심낭수)를 진행하였습니다. 심초음파에서 tumor, 혈전 등의 소견은 관찰되지 않았고, 심낭수의 세포학적 검사 및 배양에서도 이상 소견은 확인되지 않았습니다. 환자는 다행히 cardiac tamponade 상태를 잘 회복하였고(I, 심낭수 천자 직후), 다시 MMVD 심장 내복약으로 관리 받다가 약 2개월 후 집에서 급사하였다고 합니다.


MMVD는 소형견에서 가장 흔한 후천적 심장 질환입니다. MMVD 환자가 응급으로 내원하는 경우는 left ventricular systolic and/or diastolic dysfunction 또는 건삭 인대 파열로 인한 cardiogenic pulmonary edema(CPE), left atrial tear로 인한 심낭수(혈액성), 심한 양쪽 울혈성 심부전에 의한 심낭수(주로 transudate), 혈전 등이 있습니다. MMVD의 high velocity MR jets가 LA wall의 caudodorsal or caudolateral part에서 지속적인 injury, tear를 유발하여 심낭수가 발생할 수 있습니다. MMVD의 septal wall tear로 인한 acquired atrial septal defect 증례도 있습니다.


<여기서 잠깐 비교증례!>
%EB%8C%80%ED%95%9C%EC%88%98%EC%9D%98%EC%82%AC%ED%9A%8C%EC%A7%80_24.png?type=w3840

이 환자 역시 급성 기력저하로 응급 내원하였습니다. 흉부방사선 검사에서 심비대(좌심방 및 좌심이 확장)가 관찰되는데, 심한 심비대에 비해 폐혈관이 얇게 관찰됩니다(A, B). 심초음파에서 심낭수가 ACVIM stage C 이상의 MMVD 소견이 관찰되고, 종괴 또는 혈전 등은 관찰되지 않았습니다(C). MMVD에 의한 left atrial tear, pericardial effusion 상태로 생각되었습니다. 심낭수는 관찰되나, cardiac tamponade 소견은 아직 유의적이지 않았기 때문에, 보호자님의 선택에 따라 응급 입원 모니터링하였는데, 다행히 12시간 정도의 시간 뒤에 심낭수 천자 없이도 심낭수 및 환자의 전반적인 상태가 개선되었습니다. 이 후 흉부방사선 검사(D, perihilar region의 소량의 CPE 상태)와 비교해 보면(특히 폐전엽 및 perihilar region의 폐혈관 직경을 평가해 보면), 심낭수 발생 시에는 lung vessels의 직경이 얇아 보이는 상태, 즉 pulmonary hypoperfusion 상태임을 알 수 있습니다. 심장 질환 평가 시, 폐혈관도 함께 해석하면 환자의 현재 상태 평가에 큰 도움이 됩니다.


심낭수(pericardial effusion)와 cardiac tamponade는 같은 용어가 아닙니다. MMVD 환자에서 심낭수가 발생하더라도, 심각한 cardiac tamponade(diastolic RV collapse, systolic RA collapse, plethoric CVC, pulsus paradoxus, clinical hypotension 등)로 진행하지 않고, 12-24시간 critical care를 통해 spontaneous resolution되는 경우도 있고, cardiac tamponade로 급격히 진행하여 급사의 원인이 될 수도 있으므로, 보다 세밀한 영상학적 평가가 추천됩니다.


<MMVD 비교 증례 퀴즈!>


Q1. 이 환자는 어떤 환자일까요?

%EB%8C%80%ED%95%9C%EC%88%98%EC%9D%98%EC%82%AC%ED%9A%8C%EC%A7%80_24.png?type=w3840

A. 12살 중성화 수컷 7.7kg Miniature Schnauzer이며, 기력저하, fever로 내원하였습니다. Escherichia coli로 인한 infectious cholecystitis and concurrent endocarditis로 진단되었고, 배양 및 항생제 감수성 검사 등의 내과적 치료로 잘 회복되었습니다. MMVD의 valvular degeneration과 달리, mitral valves와 aortic valves의 vegetation 소견을 잘 보여주고 있습니다.



Q2. 이 환자는 어떤 환자일까요?

%EB%8C%80%ED%95%9C%EC%88%98%EC%9D%98%EC%82%AC%ED%9A%8C%EC%A7%80_24.png?type=w1

A2. 11살 중성화 수컷 3.25kg Poodle이 호흡곤란으로 내원하였습니다. 흉부방사선 검사에서 왼쪽 폐 전반적으로 침윤 밀도가 관찰됩니다(A, B). 폐초음파에서 shred sign을 포함한 광범위 폐침윤 영역 (C, 폐렴 고려)과 wedge 모양의 작은 저에코 영역(D, lung infarction 고려)이 관찰됩니다. 심초음파에서 septal mitral valve 후방으로 pedunculated 양상으로 움직이는 혈전 음영이 관찰됩니다. 혈액 검사에서 CRP 206 D-dimer 5.5로 매우 높았고, NT proBNP는 500으로 정상 범위로 측정되었습니다. 환자는 폐렴으로 인한 thromboembolism 발생 상태로 생각됩니다. Mitral valve에 부착된 혈전은 폐렴 치료 6일째 해소되었습니다(F). Systemic disorders 환자의 심초음파에서 intracardiac thrombi, valvular thrombic vegetation이 관찰되는 경우가 있습니다. 노령의 소형견에서 MMVD는 흔합니다. 준임상적 단계일 수 있고, 중증의 MMVD라고 하더라도, Valvular changes가 발생할 수 있는 다른 질환이 동반되어 있을 수 있으므로, 종합적인 전신 평가가 추천됩니다.




<※증례 ②>

%EB%8C%80%ED%95%9C%EC%88%98%EC%9D%98%EC%82%AC%ED%9A%8C%EC%A7%80_24.png?type=w1
%EB%8C%80%ED%95%9C%EC%88%98%EC%9D%98%EC%82%AC%ED%9A%8C%EC%A7%80_24.png?type=w1

1살 수컷 3.8kg Pomeranian이 잠복고환 중성화수술로 의뢰되어 내원하였습니다. 특별한 임상 증상 없이 건강 상태, 혈액 검사 모두 정상이었으나, 좌측 심장 앞쪽에서 continuous machinery murmur가 청진 되었습니다. 흉부방사선 검사에서 경등도의 둥근 심비대 및 pulmonary overcirculation(외측상에서 cranial lobar vessels, 복배상에서 basal lobar vessels의 확장 소견)이 관찰됩니다(A, B). 복배상에서 대동맥과 폐동맥 사이 정상적으로 관찰되어야 하는 valley가 filling되어 관찰되고, 전형적인 PDA(Patent ductus arteriosus)의 특징, 즉 3 bumps(Aortic aneurysmal bulging, MPA bulging, Lau bulging)가 확인됩니다(B, 노란 화살표). 또한 외측상에서 심음영의 caudoventral contour와 횡격막 사이에서 연조직 밀도의 작고 둥근 결절성 음영이 관찰됩니다(A, 붉은 화살표). 심초음파에서 대동맥과 폐동맥 사이 PDA region이 관찰됩니다(C, 별표). Color Doppler와 CW에서 Duct를 통한 continuous positive flow가 주폐동맥의 anterior wall 따라 Coanda effect를 보이며 관찰됩니다. Peak velocity는 4.5m/s 이상으로 유의적인 pulmonary hypertension 없는 Lto R shunt 상태로 확인됩니다(C, D). Minimal ductal diameter가 대략 2 3mm-로 측정됩니다(C). 이 외 다른 선천적 심장 기형 소견은 관찰되지 않습니다. 심장과 횡격막 사이 작은 연조직밀도의 음영은 심막 내 간엽의 일부로 생각됩니다. PPDH(Pericardioperitoneal diaphragmatic hernia)가 고려되어, PDA와 함께 정확한 진단 평가를 위해 CT 검사를 진행하였습니다. CT 검사에서 간엽 일부가 심막 내로 herniation되어 관찰됩니다(E, F). PDA 지점도 잘 관찰되며, canine angiographic classification 기준으로 type 2A(ductus의 proximal portion의 직경이 지속적으로 유지되다가, pulmonary artery로 진입하는 지점에서 급격히 좁아지는 형태)로 확인됩니다(G, H). 보호자님의 선택에 따라 임상증상이 없는 PPDH는 교정하지 않고, PDA 중재적 시술과 잠복고환 수술만 진행하였습니다. 혈관조영술은 PDA 위치까지 카테터를 삽입하고, selective하게 조영제를 주입하기 때문에 CT보다 훨씬 정확하고 세심하게 minimal ductal diameter(or pulmonary ostium diameter), ampulla diameter에 대한 정보를 얻을 수 있습니다(I). 환자는 PDA plug를 삽입하고 시술을 종료하였습니다. 시술 후 경흉부심초음파에서 PDA plug 주변으로 미약한 residual flow가 남아 있었지만(L), 서서히 개선되어 치료 종료하였습니다. 흉부 방사선 검사에서 PDA plug는 잘 위치해 있고, 심비대, pulmonary overcirculation이 개선되어 관찰됩니다(J, K).



PDA는 개에서 가장 흔한 선천적 심질환입니다. Isolated PDA 단독으로 내원하는 환자들이 일반적이지만, 다른 선천적 심질환(aortic stenosis, pulmonic stenosis 등)이 동반되거나, portosystemic shunt, PPDH, 기타 다른 선천적 질환 동반 증례들이 있습니다. 임상 증상이 없다고 하더라도, 한 환자에서 한 개 이상의 질병이 있을 수 있음을 항상 고려하여 진단 치료 관리하면 좋을 것 같습니다. 특히 이 환자처럼 임상 증상 없이 작은 크기의 PPDH가 우연히 발견되는 증례들이 있어, 흉부방사선 또는 복부초음파 검사 시 세밀한 횡격막 평가가 추천됩니다.


PDA 치료에 있어, 개흉 수술만 가능했던 과거와 달리 현재는 중재적 시술을 통해 보다 안전하고 쉽게 치료하고 있습니다. 다만, 다음과 같은 환자들처럼 중요한 고려 사항들이 있습니다.




< 다른 PDA 환자와 비교 1 >

%EB%8C%80%ED%95%9C%EC%88%98%EC%9D%98%EC%82%AC%ED%9A%8C%EC%A7%80_24.png?type=w1

이 환자 역시 PDA, L to R 환자입니다. 경흉부심초음파에서는 canine PDA angiographic classification 을 바탕으로 type 2A로 생각되었으나, 실제 경식도심초음파(A, B)와 혈관조영술 모두에서 Type 3(ductus 직경의 실질적인 감소(<20%)가 없는 tubular 형태)로 확인되었습니다. PDA occluder failure 위험도가 높아 surgical ligation을 실시하였고, any complications 없이 치료를 종료하였습니다.


한 논문에 의하면(Kelley R. Doocy, Ashley B. Saunders, Sonya G. Gordon, Nicholas Jeffery, Comparative, multidimensional imaging of patent ductus arteriosus and a proposed update to the morphology classification system for dogs, J Vet Intern Med. 2018 Mar-Apr; 32(2): 648–657.) 대부분의 canine PDA는 원형보다는 oval shape이며, cardiac cycle에 따라 모양이 변하기 때문에 imaging modalities에 따라 직경 측정이 다를 수 있습니다. Catheter based occlusion 또는 surgical ligation을 결정하고, 또 device sizing 하는데 있어서, 혈관조영술, 경식도심초음파 모두 추천되며, 앞으로 더 세분화된 classification이 필요할 것으로 생각됩니다.




< 또 다른 PDA 환자와 비교 2 >

%EB%8C%80%ED%95%9C%EC%88%98%EC%9D%98%EC%82%AC%ED%9A%8C%EC%A7%80_24.png?type=w1

Catheter based occlusion 시술에서 반드시 필요한 것은 아니지만, 경식도심초음파를 이용하게 되면, 보다 세밀한 정보를 실시간으로 얻을 수 있습니다. 다음 환자에서도 경식도심초음파를 통해 PDA type및 직경 평가(A), 카테터 진입 및 적절한 위치 평가(B, 붉은 화살표), 실시간 혈류 평가(A, 시술 전, C duct , occluder 장착 후), duct occluder의 정확한 위치 및 안정성 평가(D, E 파란 화살표) 등의 세밀한 정보를 catheter based occlusion 시술과 동시에 실시간으로 얻을 수 있었습니다.




< 또 또 다른 PDA 환자와 비교 3 >

%EB%8C%80%ED%95%9C%EC%88%98%EC%9D%98%EC%82%AC%ED%9A%8C%EC%A7%80_24.png?type=w1

이 환자는 surgical ligation을 진행한 환자입니다. 흉부방사선 검사에서 cardiomegaly, 3 bumps, pulmonary overcirculation이 관찰되었고(A, B), 심초음파, bubble study에서 isolated L to R PDA(C, D)가 확인되었습니다. 또한 폐동맥 판막 후방에서 Duct를 통한 continuous positive flow가 주폐동맥벽을 따라 심한 와류를 보이는 지점에서 flap(E, 붉은 화살표, 동영상으로 보면 pulmonic valves와 별도로 펄럭이는 flap이 명확히 관찰)이 관찰됩니다. Pulmonary arterial dissection(폐동맥 박리) 상태로 생각됩니다. Pulmonary regurgitation, tricuspid regurgitation의 peak velocity는 subclinical하였고, 우심 확장 비후 소견은 관찰되지 않으므로, Pulmonary hypertension 보다는 PDA에 의한 pulmonary aneurysmal dilation이 원인일 것으로 생각되었습니다. Surgical ligation 또는 중재적 시술 교정 방법에 있어서 보호자님의 선택으로 수술적 교정을 실시하였습니다. 다행히 출혈없이 수술은 매우 조심스럽게 마무리되었고, 수술 후 심초음파에서 폐동맥 판막 후방 dissection 소견은 지속적으로 관찰되지만 PDA는 잘 교정된 것으로 확인되었으며, 환자도 continuous machinery murmur 없이 양호한 상태로 잘 지냈습니다. 그러나, 2주 후 급성 기력 저하로 응급 내원하였고, 심초음파에서 PDA 수술 부위 인접한 폐동맥벽에서 dissection이 추가적으로 확인되었습니다(F, 노란 화살표). Pedunculated하게 움직이는 혈전 음영(F, 파란 화살표)도 관찰되었습니다. 이 위치에서 심한 와류 flow가 다시 관찰되었습니다. 안타깝게도 환자는 한 달 뒤 폐렴으로 사망하였습니다.




< 또 또 또 다른 PDA 환자와 비교 4 >

%EB%8C%80%ED%95%9C%EC%88%98%EC%9D%98%EC%82%AC%ED%9A%8C%EC%A7%80_24.png?type=w1

이 환자 역시 흉부방사선 검사에서 cardiomegaly, pulmonary overcirculation, 3 bumps(A, B), 심초음파, bubble study에서 isolated L to R PDA (C, D)로 확인되었습니다. 심초음파에서 pulmonary arterial dissection(E) 소견이 함께 관찰되어, 그렇지 않은 환자에 비해 수술/시술의 위험 가능성에 대해 고지하였더니, 보호자님이 내과적 모니터링을 선택하셨습니다. 약 1년 뒤 졸도 증상으로 응급 내원하였고, 흉부방사선에서 심비대 with 3 bumps는 여전히 관찰되나, 1년 전과 비교 시 pulmonary overcirculation은 관찰되지 않습니다(F, G). Pulmonary overcirculation 여부는 환자 상태를 평가하는데 중요한 포인트가 될 수 있습니다. L to R PDA와 달리 Reverse PDA에서는 pulmonary hypoperfusion 상태를 보여줍니다. 심초음파에서 우심방, 우심실, 주폐동맥의 확장, 우심실벽 비후, ductal continuous positive flow의 소실, Severe TR, PR이 관찰됩니다(H, I, J). 환자는 Reverse PDA 상태로 진단되었고, 단기간에 다량의 복수를 비롯한 우심부전이 진행되어 내과적 management에도 불구하고 3개월 내로 사망하였습니다.


Pulmonary arterial dissection은 흔하지 않으나, PDA 환자에서 관찰될 수 있는데, surgical ligation 또는 중재적 시술 교정의 contraindication은 아닙니다. 비교 증례 3 환자는 드물게 안타까운 경우이지만, 예전 surgical ligation 증례의 심초음파 검사를 remind해 보면, 술 전에 pulmonary arterial dissection이 있었을 것으로 고려되는 환자들도 수술 예후는 좋았습니다. 또한 비교 증례 4 환자처럼 교정을 하지 않으면, 수술 자체가 불가능해지는 reverse PDA로 진행하는 등 예후가 좋지 않을 수 있습니다. 다만, 폐동맥 박리 동반 환자에서 수술/시술 두 가지 치료에 있어서 정확한 선택 기준과 예후에 대한 증례 자료는 아직 부족합니다. 또한 수술 전후 폐동맥벽 여러 위치에서 dissection이 추가로 발생한 세번째 비교 증례처럼 dissection 발생 부위의 위험도, 치료 방법, 예후 정도도 정확히 알려져 있지 않습니다. 앞으로 더 많은 증례들을 공유하여 PDA 교정 방법 indication, 전후 complications 등의 기준이 세부적으로 만들어지면 좋을 것 같습니다.





<※증례 ③>

%EB%8C%80%ED%95%9C%EC%88%98%EC%9D%98%EC%82%AC%ED%9A%8C%EC%A7%80_24.png?type=w1

13살 수컷 26.5kg Golden retriever가 급성 기력저하로 내원하였습니다. 심한 노력성 호흡 상태에 혈압은 80mmHG였습니다. 흉부방사선 검사에서 폐야 전반에 걸친 작은 연조직 밀도 결절성 음영이 관찰됩니다(A, B). 심장은 globoid cardiomegaly with sharp contour를 보입니다(A, B). 폐초음파에서 폐전이가 고려되는 결절성 음영이 관찰됩니다(C). 심초음파에서 다량의 심낭수가 관찰되며(D, *), 이로 인한 cardiac tamponade(우심실, 우심방 collapse, CVC plethora, 소량의 복수)가 관찰됩니다. 일반적으로 스캔하는 Right parasternal four chamber long axis view, short axis view에서는 종괴 음영이 관찰되지 않으나, oblique로 right auricle을 스캔하면 right auricular wall 내외로 bulging된 결절성 종괴 음영을 찾을 수 있습니다(E, F). 이 환자는 심낭수 천자 및 세포학적 검사에서 primary cardiac hemangiosarcoma로 확인되었습니다. Hemangiosarcoma는 우심방, 우심이에서 잘 발생하는데, 심초음파에서 right auricle 병변은 놓치기가 쉽습니다. 심낭수가 있을 경우에는 스캔이 잘 되는 편이나, 심낭수가 없을 경우 right auricle 또는 left auricle 병변을 간과하기 쉬우므로 심초음파 스캔 시 주의가 필요합니다.





<※증례 ④>

%EB%8C%80%ED%95%9C%EC%88%98%EC%9D%98%EC%82%AC%ED%9A%8C%EC%A7%80_24.png?type=w1

16살 중성화 암컷 10.5kg Beagle의 건강검진에서 심장 종양이 관찰되어 의뢰되었습니다. 흉부방사선 검사에서 right side cardiomegaly 및 heartbase 또는 aortic body 위치에서 둥근 밀도 증가 영역이 관찰됩니다(A, B). 심초음파에서 소량의 심낭수 및 heartbase 위치의 커다란 종괴가 관찰됩니다. CT 검사에서 우심방과 전대정맥을 압박하는 커다란 이질적 heartbase tumor가 관찰됩니다(C, D E, F, G). 또한 , heartbase tumor와 관련하여 폐혈관 내 혈전(G), left bronchoesophageal arterial hypertrophy 소견(D)도 추가로 관찰됩니다. Heartbase tumor에는 chemodectoma가 주로 보고되어 있습니다. Brachycephalic dogs에서 incidental findings으로 관찰되는 경우가 많으며, Non brachycephalic dogs에서도 은근히 관찰됩니다. 종괴의 정확한 진단을 위해서는 조직 검사가 필요하나, 현실적으로 조직 검사가 어려운 경우가 많기 때문에 모니터링을 통해 가진단을 내리게 됩니다. Chemodectoma는 일반적으로 benign하나, RA, CrVC 등 주변 구조물을 심하게 압박하는 경우(C)에 cranial vena cava syndrome의 증상을 보일 수 있습니다. 또한 left bronchoesophageal arterial hypertrophy(D), esophageal varices, 혈전(G) 등의 complications이 발생할 수 있습니다. 환자 경과에 대한 면밀한 모니터링이 필요합니다. CT에서 Incidental finding으로 heartbase tumor가 관찰되었던 환자들의 흉부방사선 검사를 다시 평가하면, 안 보이던 종괴 음영이 잘 보이게 되는 ‘아차!’ 경험을 하게 됩니다. 다양한 이로 CT 촬영을 하는 환자들을 기존 방사선 검사 또는 초음파 검사와 비교하다 보면 많이 배우게 되는 것 같습니다.




<※증례 ⑤>

%EB%8C%80%ED%95%9C%EC%88%98%EC%9D%98%EC%82%AC%ED%9A%8C%EC%A7%80_24.png?type=w1

15살 중성화 암컷 2.71kg Maltese 환자가 호흡곤란으로 응급 내원하였습니다. 1년 전에 유선 종양 수술 병력이 있었습니다. 호흡수 108, 혈압 80, 심청진 시 muffled sound가 확인되었습니다. 흉부방사선 검사에서 폐엽 전반에 걸친 다수의 결절성 음영이 관찰됩니다. 또한 globoid cardiomegaly가 관찰됩니다. 심비대에 비해 폐혈관은 얇게 관찰되어 pulmonary hypoperfusion 상태가 고려됩니다(A, B). 폐초음파에서 다수의 폐 전이(균질한 저감쇠, 한계가 명료한 둥근 결절성 음영) 소견이 관찰됩니다(E, 화살표). 심초음파 검사에서 다량의 심낭수가 관찰됩니다(C, D, *). 심낭수로 인해 우심실, 우심방의 심한 collapse가 관찰됩니다. 심낭막에서는 부분적으로 불규칙한 결절성 비후 영역이 관찰됩니다(C, D, 노란 화살표). CVC plethora(F), splenic mass(G)가 관찰됩니다. 이미 유선 종양에 의한 전신 전이 상태로 생각되었으나, 심한 cardiac tamponade로 응급 상태였으므로, 수액을 공급하면서, 매우 낮은 속도로 조심스럽게 심낭수 천자를 실시하였습니다. 약 100ml의 혈액성 심낭수 천자를 진행하면서 환자는 호흡이 편해지는 듯하였으나, 갑자기 CPA 가 발생하였습니다. Atropine, epinephrine에 심박, 자발 호흡이 돌아왔으나, 혈압은 40mmHg였고, Dobutamine CRI, 수액 shock dose로 유지하는데, 혈압 30mmHg이 떨어지면서 다시 CPA 가 발생하였습니다. 삽관 이후 벤틸레이터를 유지하면서 응급 약물 처치하였으나, 반응이 없었고, 안타깝게도 심낭수 천자 이후 약 1시간 후 사망하였습니다.


Pericardial decompression syndrome은 post-pericardial drainage low cardiac output syndrome이라고도 합니다. 흔하지 않지만, pericardiocentesis 또는 pericardiostomy 이후에, 시술자가 iatrogenic trauma(cardiac puncture, pneumothorax, diaphragmatic injury 등)를 유발하지 않았음에도, 치명적으로 발생할 수 있는 complication입니다. 사람에서 다량의 종양성 심낭수 증례는 발생률이 더 높은 것으로 알려져 있습니다. 심낭수 천자 직후부터 약 48시간에서 shock with left ventricular failure, pulmonary edema without shock, shock associated with biventricular failure, shock associated with RV failure and non-cardiogenic pulmonary edema 등으로 나타날 수 있습니다 (Yougeesh Prabhakar, Amandeep Goyal, Nauman Khalid, Nitish Sharma, Raj Nayyar, David H Spodick, and Lovely Chhabra, Pericardial decompression syndrome: A comprehensive review, World J Cardiol. 2019 Dec 26; 11(12): 282–291). Hemodynamic, ischemic, autonomic 가설 등이 있으나, Pericardial decompression syndrome은 수의학, 인의학 모두에서 underreported 상태로 생각됩니다. 이 환자처럼, 특히 다량의 종양성 심낭수 환자에서 주의가 필요할 것으로 생각되며(그럼에도 불구하고, cardiac tamponade 환자는 pericardiocentesis를 반드시 실시해야 함), 증례와 경험을 공유하여, pericardial decompression syndrome의 병태생리학 및 예방 방법을 함께 찾아 나가면 좋을 것 같습니다.





글을 마치며

이번 시간은 개의 심장/심낭막과 관련한 실제 몇몇 증례를 나누어 보았습니다. 이러한 공간을 통해 좀 더 세밀하고 구체적인 영상학적 진단 및 분류를 함께 만들어 나갈 수 있기를 기대해 봅니다. 좋은 증례가 있다면 언제든지 저에게도 가르침 부탁드립니다:)

keyword
작가의 이전글실제 증례로 쉽고 재미있게 공부하는 수의 영상 의학⑷