정밀 초음파, 그날의 기억

(6) 첫째와 둘째 사이_아빠

by Dr Zorba

아내가 첫째를 임신했을 때의 기억이다. 임신한 엄마들이 산부인과에서 받는 검진의 프로세스가 으레 그러하듯, 아내도 20주 경에 산부인과를 방문하였고, 인상 좋으신 주치의 여선생님은 정밀 초음파를 한번 해 보도록 권유를 했다. 부끄러운 일이지만, 남편이 의사라고 해서 아내의 임신 경과와 검사 항목들을 다 챙기는 것은 아니다. 특히 정신건강의학과와 산부인과는 의학이라는 한 울타리에 있지만 서로가 잘 보이지 않는 양쪽 끝에 위치한 느낌이 들 정도로 조금은 거리감이 있는 과목이기에(라고 조심스레 변명하고 싶다). 하지만 누구나 거쳐 가는 과정이려니, 하고 큰 의미를 두지 않고 초음파 검사에 응했다.


나에겐 사람들의 표정을 읽어내려는 ‘몹쓸’ 습관이 있다. 늘 진료실에 들어오는 이들의 경과와 반응, 그리고 오늘의 기분 상태 등을 표정이나 몸짓, 말투와 같은 ‘비언어적 표현’으로 파악하는 데 익숙해져 있기 때문이다. 그래서, 문을 열고 들어오는 이들의 표정을 짐작해서, 표정이 그럭저럭 밝은 이에게는 ‘날씨가 춥네요. 식사는 하고 오셨어요?’라는 식의 신변잡기에 관한 이야기를 건네거나 가벼운 농을 덧붙이기도 한다. 혹은 미간을 찌푸리고 들어오는 이들에게는, 자세를 고쳐 앉으며 ‘요즘 좀 힘드셨나 보네요.’라는 말로 위로를 선수 치는 식이다. 그렇게 상대의 표정을 짐작하는 직업병에 가까운 습관이 생겨버렸다.


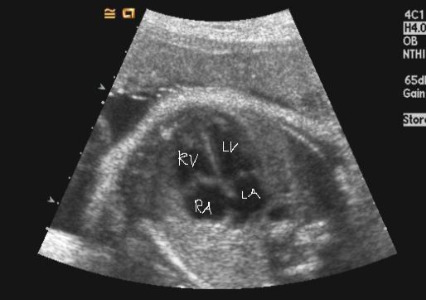
제목없음.jpg


아내의 배에 차가운 젤을 바른 정밀 초음파 기구를 대고 이리저리 문지르며 손가락이며, 발가락, 얼굴의 모습 등에 대해서 자신 있게 이야기하던 주치의의 표정이 약간 이상했다. 설마? 끊이지 않고 말을 하던 그녀는 잠시 헛기침을 하며 말을 멈춘다. 순간 나의 직업병이 발동했다. 앙다문 입술에 입꼬리가 살짝 내려가 있다. 미간도 살풋 찌푸린 듯하다. 무거워진 공기 속에서 다시금 혈류의 속도와 흐름을 체크하는, 불과 몇십초의 짧은 순간은 참으로 길고 혼란스러웠다. ‘내가 상상했던 것이 사실이 아니기를’ 바라는 정도의 구체적인 생각도 안 날 정도로. 한참을 아내의 배에 초음파 기구를 문질러대던 의사가 마스크를 벗고 약간은 억지로 웃으면서 (억지로라는 것도 역시 직업병일 수도) 갈라지는 목소리로 이야기한다.


아유, 여기 심장에 작은 구멍이 하나 있네요.

철렁. 그리고 나선 가슴이 콩닥콩닥 뛴다. 공기는 더 무거워진다. 아내도 순간 내 얼굴을 잠깐 바라봤다, 의사가 한 말을 다시 듣고 싶기라도 한 듯 다시 의사의 얼굴에 집중한다. 정적의 순간.


“심장에 작은 구멍이 있는데, VSD(심실중격결손)예요. 아빠도 잘 알겠지만 금방 메워지고 하는 거니까, 걱정하지 말아요. 그래도 혹시 모르니까 대학병원에 가서 심장 초음파는 한 번 받아 보시고요.”


늘 밝고 유머러스하게 설명을 하던 의사가, 모니터를 보면서 책을 읽듯이 설명을 한다. 정리되지 않은 산발적인 생각의 꼬리를 물고, 뜬금없이 대학에서 배웠던 ‘나쁜 소식 전하기’가 떠올랐다. 큰 병을 진단한 후, 환자에게 어떻게 말해야 했더라? 이 사람이 그걸 나에게 하고 있는 건가?


“구멍 크기가 크지도, 작지도 않은데, 일단은 그래도 혹시 모르니까.”


덧붙여 설명하는 말이 더는 귀에 들어오지 않았다. 미리 당겨서 걱정하고 대책을 세우고, 나중에 실망할 가능성까지도 염두에 두는 것이 습관이 된, 피곤할 정도로 분주한 나의 머릿속이 복잡하게 돌아가고 있었다. 아내에게 어떻게 잘 설명해야 하나. 초음파를 서울에 있는 큰 병원에서 받아보아야 하나. 내 표정은 지금 어떻지? 아, VSD로 끝나지 않고, 다른 기형이나 지적 장애가 함께 온다면. 태어날 때부터 건강하지 못하다면, 다른 아이가 겪고 누리는 많은 것들을 함께 하지 못한다면?


depression-2912424_1280.jpg
OO씨, 사실 공황이 생기는 제일 큰 이유는, 작은 신체의 느낌을 두고 엄청 크고 끔찍한 결과를 가져올 거라 해석하기 때문이에요. 그걸 재앙화(catastrophizing)라고 하거든요. 이런 왜곡된 생각을 하는 걸 늘 경계해야 돼요.


내가 공황장애 환자들을 치료할 때면, 작은 신체 증상들을 공황발작이라는 큰 결과로 오인하고, 더 나아가 사회적인 고립, 삶의 황폐화와 같은 파국적인 결말을 예상하는 생각의 패턴을 경계하라고 이야기하곤 한다. 중이 제 머리 못 깎는다고 했던가. 머릿속에서 오늘의 결과가 빚을 최악의 상황들이 필름처럼 흐르다가, 이내 줄달음치기 시작했다. 그야말로 재앙화(catastrophizing) 중이다. 생각을 잠시 붙든 것은, 병원을 나서면서 아내가 한 말이었다.


"...무섭다. 어떡하지?"


나도 무서웠다. 하지만 아내는 더 무서울 것이다. 나는 대충의 윤곽이나, 예상되는 결말 (비록 나쁜 쪽으로 예상하고 있지만)을 짐작하고 있지만, 윤곽조차 잡히지 않은 채로 그저 배 안의 아이가 건강이 좋지 않다는 메시지만 받은 직후였으니 아내는 오죽했을까. 애써 담담하게 ‘검사받으러 가야지 뭐.’라고 이야기했다.


그 날 오후는 무척 힘들었던 것 같다. 머리 속에서 맴도는 생각을 외면하고 싶지만, 모든 생각이 뒤죽박죽되고, 어느 과목 교과서의 사진에서 보았던 것 같은 온갖 질병들이 다 연결되었다. 얼마 전 읽었던 오에 겐자부로의 <개인적인 경험>의 장면들이 떠올랐다. 기형을 안고 태어난 아이를 본 아버지의 처절한 현실도피가, 일견 이해되는 듯 했다. 가슴에는 불이 붙은 듯 화끈거리는 느낌이 들고, 목덜미가 뻐근해지기 시작했다. 그리고 불현듯, 이런 생각이 머리를 때렸다.


‘ 말... 아이와 이야기 할 수 없으면 어떡하지?’


태어난 아이와 소통할 수 없다면, 대화할 수 없다면 어떻게 하나. 구체적으로 아이에게 어떤 말을 들려주고 싶다는 욕심이 있었던 것은 아니었다. 아니, 사실은 아내가 임신 한 순간에도 ‘내 아이’가 아내의 뱃속에서 자라고 있다는 것에 대한 현실감각은 없었다. 마치 <OOO 임신 했음>이라는 무미건조한 기사를 신문 귀퉁이 어딘가에서 발견한 느낌이었달까.


그러나, 아이와 이야기 할 수 없을 것 같다는 생각이 잠시 머리에 떠오르자, 이내 굉장히, 정말 ‘눈물이 날 정도로’ 절박해졌다. 내가 우리 아이를 이렇게 기다리고 있었구나. 어떤 것보다도, 내 아이와 눈을 마주치고, 감정을 공유하며, 이야기 할 수 있기를 이렇게나 기다렸구나. 한 편 굉장히 낯선 느낌이었다. 돌이켜 보면, 비로소 아이의 존재가 내 마음 한켠에 작은 보금자리를 트는 순간이었다. 강렬한 느낌은 쉽게 사그라들지 않았고, 꽤 긴 여운으로 남았다.


기다림의 시간은 무척 길었다. 대학병원에 진료 예약을 잡고, 일상으로 다시 돌아갔지만 불길한 생각은 문득문득 나를 괴롭혔다. 그렇게 간 병원에서는, 너무도 허무하게 (아내의 말로는 진료를 본 교수가 ‘피식’ 웃었다고 한다) ‘없는 것’으로 진단내렸다. 나를 괴롭혔던 강렬한 느낌이 싱거운 에피소드로 다시 포장되었다. 그리고, 그렇게 아이는 건강하게 태어났다.


pexels-photo-236220.jpeg


돌이 갓 지난 첫째는 이제 겨우 ‘아빠’ ‘엄마’ ‘까꿍’ 을 혀짧게 발음한다. 아이와의 대화는 아직 시간이 걸릴 듯하다. 아이가 졸음에 눈이 감길때면, 당시의 마음을 떠올리며 나지막이 이야기한다.


“빨리 커서, 아빠랑 이야기하고 놀자.”


아이에겐 눈을 맞추고 이야기하는 것이 뽀로로 영상을 보는 것 보다 훨씬 재미없겠지만, 지금은 아이의 그 어떤 재롱보다도 기다려진다. 자칫 가지지 못했을지도 모르는 무척 소중하고도 ‘평범한 행복’ 이니까.





브런치 인기글로 올라갔네요. ^^ 관심있게 읽어주셔서 감사합니다. 꾸벅~


Screenshot_20180115-191145.png


keyword