[보험금 지급 사례]손가락 끝 골절

골절 후 붙지 않는 뼛조각

by 저축유발자


진짜 오랜만에 보험금 지급에 관련된 글을 써 보는 것 같습니다. ^^


오늘 제가 쓰는 내용을 아는 분들이 많지 않습니다. 그래서 아마 이 글을 읽고 무릎을 탁 치는 분들이 계실 수도 있을 것입니다. 지금 당장은 해당이 안 되더라도 언젠가는 해당이 될 수도 있으니 가볍게 읽어 보셨으면 합니다.


보험금_청구_손가락_발가락_끝_골절_뼈조각_골절_수술_재해_후유장해_상해 7.jpeg



오늘 청구 사례는 "골절" 입니다. 골절이라고 하면 완전히 부러지는 것도 있지만 실금이 살짝 가는 경우도 있습니다. 그래서 어딘가 부러지거나 뼈에 실금이라도 가면, 가입한 보험을 확인해서 "골절 진단비"가 있으면 몇 십만원 정도 보험금을 받을 수 있습니다.


그런데 가끔은 손가락 끝 또는 발가락 끝이 부러지고, 그 조각이 안 붙고 그냥 평생 남아있는 경우가 있습니다.


이런 경우에는 제가 알기로는 의사들도 손가락 운동에 특별한 문제도 없고, 살아가는데 특별한 불편함도 없고 하니 그냥 두라고 이야기 하는 것으로 알고 있습니다.(저는 의사가 아니기 때문에 정확한 내용은 아닐 수 있습니다.)


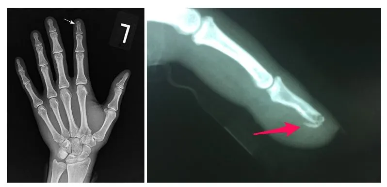
캡처.JPG < 손가락 끝이 골절이 된 엑스레이 사진 >


위의 사진처럼 치료를 하고 나서도 뼈조각이 계속 떨어져 있는 경우가 있습니다. 저도 중학교 때 농구를 하다 다친 손가락 마디 끝에도 조각이 떨어져 있습니다. 진짜 오래 전 기억이지만 그 당시 선생님이 이 조각은 붙일 수 없고 그렇다고 살아가는데 지장이 있는 것이 아니다라고 말씀하신 것이 기억이 납니다.


이런 경우에 우리들이 가입한 보험에서 "골절 진단금" 뿐만 아니라 재해 또는 상해 후유장해 보험금을 신청할 수 있습니다.


보험금_청구_손가락_발가락_끝_골절_뼈조각_골절_수술_재해_후유장해_상해 3.png < 재해상해특약 1억이 가입된 보험 >



사람들 마다 계약 내용이 다 다르기 때문에 직접 확인을 해 보셔야 겠지만, 위의 사진처럼 재해상해특약이랑 비슷한 이름의 특약이 있다면 보험금을 받을 확률이 매우 높습니다.


보험금_청구_손가락_발가락_끝_골절_뼈조각_골절_수술_재해_후유장해_상해 4.jpg < 장해분류표 중 손가락장해에 대한 부분 >


보험금 지급의 근거는 위의 사진에 나와있는 것처럼 뼛조각이 떨어져 나간 것이 명백한 경우 입니다.


이때 위의 사진에서 보다시피 5%를 지급한다고 되어 있습니다.


다시 말해서 아까 보여드린 사진처럼 재해상해특약에 1억이 가입된 분이 망치질을 하거나 넘어지거나 어떤 이유에서든 손가락 끝의 뼛조각이 떨어져서 붙지 않는다면, 1억의 5%인 500만원을 보험금으로 받게 되는 것입니다.


따라서 혹시 손가락 끝 뼛조각이 저렇게 떨어져 있는 상태로 지내고 계신 분이라면, 가입된 보험의 내용을 보고 보험금을 한번 청구해 보시면 어떨까 합니다.


물론 보험을 가입 한 이후에 다쳤을 때에 청구가 가능한 것입니다. ^^ 자꾸 옛날에 다친걸 새로 가입한 보험에서 청구가 가능하냐고 묻는 분들이 계셔서요.


보험금_청구_손가락_발가락_끝_골절_뼈조각_골절_수술_재해_후유장해_상해 5.jpg < 2018년 4월 1일에 개정된 약관의 내용 >


그런데 이런 청구가 너무 많이 들어왔는지 보험사들은 2018년 4월 1일자로 약관을 변경하였습니다. 그래서 위의 사진처럼 분쟁을 없애기 위해서 "골편만 떨어진 상태는 해당하지 않는다."라고 아예 지급을 안 하도록 못을 밖아 두었습니다.


혹시 2018년 4월 1일에 보험을 가입한 분들이라도 혹시 해당이 되면 약관은 한번 들여다 보셨으면 합니다. 모든 보험사가 다 약관을 변경했는지는 제가 확인을 안 해 봤기 때문에, 직접 확인해 보는 것이 중요할 것 같습니다.


여기서 또 말씀을 드립니다. ^^


이전에 가입한 보험은 이후에 약관이 변경되어도, 기존 가입 당시 약관 내용을 적용 받습니다. 이전에 가입한 보험인데 그럼 이제 보장이 안 되냐는 질문은 안 해 주셨으면 합니다. 항상 가입 당시 약관을 따르는 것이니, 예전에 가입한 분들은 예전 내용 그대로 보장이 됩니다. ^^


마지막으로 발가락 끝에 뼛조각이 남는 경우도 해당이 될 수 있습니다. 하지만 약관의 내용이 손가락보다는 모호하기 때문에 일단 보험사는 거절하는 경우가 많습니다. 이 때에는 몇 가지 내용을 더 첨부해서 보험금을 청구하면 나오는 경우가 상당히 많으니, 발가락의 경우에는 좀 더 노련하고 세련되게 청구를 하셨으면 합니다.



블로그 / 더 많은 정보 및 상담신청 : https://celldna.blog.me


keyword
작가의 이전글떨어지는 환율을 가지고 여러분은 무엇을 하고 계십니까?