brunch

임신 11주차

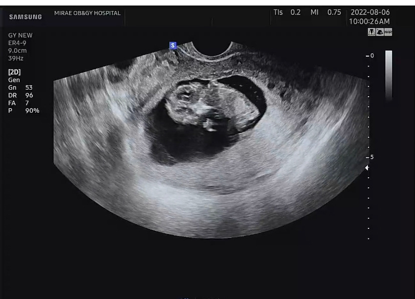
아기크기 4.8cm, 심박수 165bpm

by 나무




임신 40주의 사분의 일, 10주를 무사히 보냈다.


이제 병원 검진의 간격을 1주에서 2주로 변경했다. 아직 눈에 보이지도 손에 만져지지도 않지만 초음파만으로 확인할 수 있는 나와 아기의 상태는 매우 양호했기 때문에 일반적인 검진 간격을 유지해보기로 했다. 여느 평범한 산모들처럼. 이성적이고 날카로운 난임 병원 원장님 입에서 "이제 아기에게도 산모에게도 아무런 특이사항이 없어 대학병원이 아닌 일반 분만병원으로 전원해도 괜찮아요."라는 말을 듣고 나니 자신감이 생겼다. 이번엔 아기를 믿고 끝까지 갈 수 있을 것 같다는 자신감. 그저 나는 아기를 지키고, 또 나를 믿으며 이 시간을 보내면 된다. 다만 태동도 없는 임신 초기를 입덧 증상만 믿고 보내는 건 생각보다 참 어려운 일이긴 했다.


10주가 지나고 지난 여러 소식들을 가까이서 기뻐하고 슬퍼해주던 지인들에게 다시금 임신 소식을 알렸다. 점심 먹고 돌아오는 길에 내가 덤덤하게 전한 소식에 왈칵 울어버린 동료 덕에 나도 같이 울음이 터지고 말았다. 이렇게 순수한 축하는 오랜만이라서.


얼마 지나지 않아 손바닥에 고스란히 올라가는 아주 작은 양말과 태교 동화, 그리고 아기를 위한 동화책을 선물 받기도 했다. 책을 받자마자 눈물이 또 왈칵 나왔다. 아기를 위한 책이지만 동시에 나를 위한 아주 큰 위로의 선물.


10주를 넘어가면서 가장 컸던 몸의 변화는 상반신 이곳저곳의 통증이었다. 가슴은 닿기만 해도 아팠고, 잠을 자면서 누르기만 해도 욱신거렸다. 육안으로도 체감으로도 1.5배 이상 부어있어 튼살크림을 배보다 가슴에 먼저 바르기 시작했다. 원래 입던 속옷은 당연히 맞지 않고 오래된 홑겹 브라렛을 꺼내 입고 천국을 맛봤다. 옷태가 무너지는 건 대수롭지 않았다. 그 길로 순면 브라렛 두 종류를 구입했다. 속옷을 바꿨을 뿐인데 엄청난 해방감과 소화불량도 해소됐다. 할렐루야.


가슴에 이어 아랫배에서도 매일 다른 통증이 느껴졌다. 자궁이 커지는 통증이라고 하지만 팬티라인이 하루가 멀다 하고 좌우 쑤셨다. 어떤 날은 재채기를 하고 나면 아랫배가 단단하게 뭉치는 기분이 들 정도로 찌릿했고, 양치를 하다가 주저앉기도 했다. 통증의 세기가 약하지 않아 자궁수축일까 봐 걱정이 되기도 했다. 이전 임신을 종결하면서 자궁수축제를 사용했었는데 그때 느꼈던 자궁수축과 차원이 다른, 그러니까 한참 다른 통증이었음에도 불구하고, 그래서 이성적으로 머리로는 알고 있지만 괜한 걱정이 들었다. (자궁수축의 진정한 통증은 쥐어짜는 것과, 1~2분 간격의 오싹함, 식은땀이었다.)


마침내 11주 2일, 병원 검진 날.


2주 만에 병원에 가니 아기는 2cm에서 4cm로 커있었다. 그리고 잔뜩 커버린 닭다리 모양이 되어 있었다. 그 사이 주수가 지나 이제 배 초음파를 볼 줄 알았는데 여전히 아래로 보는 초음파여서 조금 놀랐다. 오랜만에 본 아기는 발도 구르고 손도 좌우로 저어서 그 덕에 손가락과 손바닥 모두 구경했다. 달에 착륙한 우주인처럼 사뿐사뿐 폴짝폴짝 뛰기도 했다.


한 달 정도면 난임 병원 졸업이라 처음으로 일반병원에서 진료를 받았다. 난임 병원의 경우, 아기의 상태와 산모의 상태가 이성적으로 괜찮은지에 대한 빠른 확인과 내가 지켜야 할 것, 보충해야 할 영양, 조심해야 하는 것에 대한 끊임없는 조언과 처방이 전부였는데(사실 이 부분이 내가 가장 좋아하고 신뢰하는 부분이긴 했다), 일반병원에서의 진료는 사뭇 달랐다. 아기의 심박수를 10초 이내로 보던 난임 병원과 다르게 2배 이상의 시간을 들여 심박수를 봐주기도 하고, 초음파도 이리저리 돌려가며 꼼꼼히 봐주셨다.


"아기가 잘 노네요"라던가 "아주 활발하네", "아기 각선미가 아주 예쁘네", "아기가 엄마한테 손도 흔드네!"


아주 감정적이고 감성적인 피드백을 듣고 솔직히 말하면 그렇게 맘에 들진 않았지만 혼이 쏙 빠지면서 하려던 질문의 절반도 다 못하고 진료실을 나왔다. 세이베베라는 앱을 사용해 초음파 사진과 동영상을 저장해주고, 초음파 사진도 아기의 형태가 가장 잘 보이는 각도에서 무려 6장이나 찍어서 뽑아주셨다. 별 것 아닌 것 같은, 사실은 조금 번거로웠던 감성적인 스토리텔링이 이후 일주일을 버티게 해 주었다. 임신은 이렇게 호들갑스럽고 기쁨의 연속이 되는 과정인데 그동안 충분히 즐기지 못했던 건 아닌지 조금은 반성하기도 했다.


11주 후반엔 컨디션이 올라와 남편과 오랜만에 백화점에 들러 저녁 외식을 했다. 튀김옷이 잔뜩 올라가고 계란이 몽글몽글 쌓여있는 텐동을 먹었다. 이대로 입덧이 끝나는 건가 싶어 조금 설렜다. 집으로 돌아오는 길, 그 설렘이 우습다는 듯 뒤늦게 입덧이 올라와 괴로웠다. 입덧이 없는 날보다 있는 날 덜 괴로운건 맞지만 그래도 입덧 약을 슬슬 끊어보려던 나의 가상한 용기는 한 풀 꺾였다. 입덧 약을 하루 안 먹고 잠들었는데 그다음 날 컨디션이 너무 좋아 신이 났던 나, 맘 카페에 정말 이렇게 한 번에 끊는 게 맞는지 물었고 20개가 넘는 댓글은 '절대 속지 마라.'와 비슷한 뉘앙스라 사실은 반신반의였는데 맞았다. 절대 속지 마라. 입덧 약이 필요 없는 밤이 오더라, 진짜로, 시간이 지나고 나니.


*임신 10주차/11주차 증상

- 아기 크기 4.8cm

- 입덧 약 끊으려다 실패했고요

- 아랫배 통증(쿡쿡)

- 가슴 통증(부어오르고 스치기만 해도 아파요)

- 속옷을 바꿨다(순면 브라렛으로)

- 원래 입던 바지의 80%가 맞지 않는다

- 넉넉한 통자 원피스를 몇 개 주문했다


11주차 초음파 사진 / 아기 양말
온 우주가 너를 사랑해 / 달을 지키는 곰 / 성경태교동화



keyword