brunch

임신 13주차

아기 크기 7.49cm

by 나무

태아 기형아 검사는 크게 '선별검사'와 '진단검사'로 나뉜다.


선별검사의 경우 산모의 혈액을 채취해서 주요 염색체 기형을 확인하는 검사. 일반적인 통합 선별검사(11~13주 1차, 15주~22주 2차)와 DNA선별검사인 NIPT(12주 이후)로 나뉜다. 진단검사의 경우 융모막 혹은 양수를 통해 기형아를 진단, 정확히 확진하는 검사로 선별검사에서 고위험군이 나오는 경우 선택하거나, 혹은 그 외 여러 가지 산모와 태아의 상황에 따라 선택한다.


각각의 검사들은 검사 주수, 비용, 다운증후군 검출율이 각각 다른데 일반 통합 선별검사는 94%, NIPT는 98-99%, 양수검사는 99.9%의 확률로 태아 염색체 이상을 '확진' 받을 수 있다. 나 같은 경우는 일반 통합 선별검사를 선택해 12주에 1차, 16주에 2차로 각각 혈액 채취를 진행했다.


검사에서 나오는 건 21번 염색체 이상(다운 증후군), 18번 염색체 이상(에드워드 증후군), 13번 염색체 이상(파타우 증후군)인데 각각의 증후군이 산모 나이 만 35세가 넘어가면 그때부터 예측도가 높아지기 때문에 비교적 산모의 나이가 높은 난임 병원에서는 NIPT를 먼저 권하기도 했다.


기형아 검사 흐름도 (출처: 힐팁 / healtip.co.kr)


사실 오래 고민했는데, 6%의 확률은 아기를 믿고 가자는 심산으로 통합 선별검사로 최종 결정. 그러다 고위험군이 나오면 언제든 다시 태아 DNA 선별검사인 NIPT를 하거나 추가적인 진단검사를 할 수 있기 때문에 12주가 들어서고 바로 1차 기형아 검사를 마쳤다. 11주 검진에서 이미 태아 목덜미 투명대(NT)를 얼추 측정했었기 때문에 큰 걱정은 없었지만 그래도 긴장된 이유는 검사 이름부터 어쩐지 유쾌하지 않은 까닭이 아닐까.


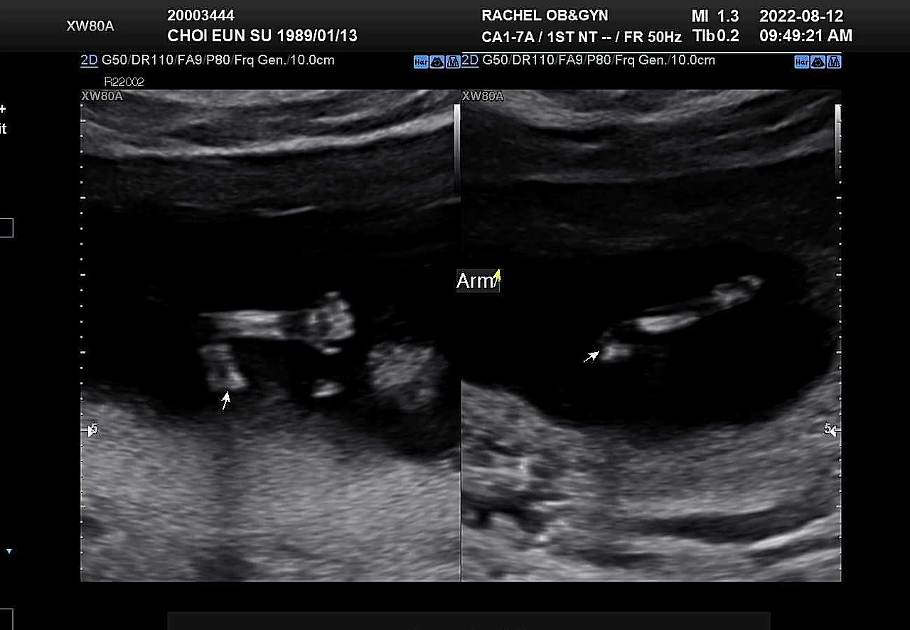
13주 1일. 1차 기형아 검사 결과를 들으러 병원에 갔다. 이제는 꽤 자란 모습이 눈에 보여서 심박수는 따로 재지 않고 열심히 뛰는 심장만 보여주셨다. 초음파를 대자마자 발도 구르고 손도 휘젓는 아기. 일주일 사이에 금세 자라 손가락 발가락도 더 잘 보이고, 코부터 턱까지 얼굴 옆 라인도 꽤 사람답게 보여서 기특했다.


난임 병원은 '졸업'이라는 단어를 쓰며 진료를 종료한다. 원장님과 약속했던 16주 2차 기형아 검사를 마치면 임신의 중후반을 보낼 분만병원으로 전원해야 해서 난임 병원에서 추천한 대학병원 한 곳과 주말에도 진료를 볼 수 있는 일반병원 한 곳을 병행하기로 했다.


태아는 건강하지만 나의 지난 유산 이력만으로도 고위험 산모로 분류된 모양이었다. 대학병원으로 가면 무조건 하루는 풀로 비워야 진료를 볼 수 있는데, 근로기준법상 보장되는 태아검진휴가를 쓰기 조금 빡빡한 회사에 속해있어 겨우 배려를 받아 반차로 사용하는 나로서는 대학병원 진료마저 너무 사치인 기분이 들었다.


그럼에도 일반병원에서 분만을 하게 될 가능성이 높으니 8주차부터 고르고 골라 미래와 희망 진료를 예약해두었다. 그리고 13주차에 처음 뵌 원장님. 먹고 있는 약이나 수술 이력을 꼼꼼하게 물어봐주셨고 아기는 아주 건강하고, 유산 확률도 매우 희박하며, 운동 여행 목욕 수영 등 모든 활동을 재개해도 되는 완벽한 안정기라고 말씀해주셨다. 안정기라니. 처음 뵙는 자리에서 "혹시 오늘 장거리 운전으로 여행을 가도 될까요?"라고 묻는 철없는 우리에게 "그럼요."라는 호탕한 답변을 주신 덕에 진료를 보고 나오자마자 바로 고민하던 남동생 집으로의 휴가, 부산까지의 여행을 감행했다.


편도 5시간의 자차 여정, 2시간에 한 번씩 의도적으로 일어나 걷고 물도 마시고 자세도 고쳐가며 잘 다녀왔다. 안정기라는 말을 듣자마자 많은 고민과 걱정이 사라졌다.


출산을 임박해 사산한 이야기에 너무 속이 상해 조금 울기도 했던 주간. 좋은 이들에게 말도 안 되는 나쁜 일들이 생기기 마련이고, 안정기라도 해도 언제든 내가 모르는 어떤 이유로 아기와 내가 한순간에 불안정해질 수 있다는 것을 안다. 그럼에도 임신의 기쁨과 약간의 긴장감만 유지할 수 있기를.


*임신 12주차/13주차 증상

- 아기 크기 5.5cm~7.49cm

- 매주 검진에서 찍어온 영상 보느라고 기쁨이 배가 된다

- 두통이 심해졌다

- 입덧 약발이 꽤 유지돼서 낮은 행복, 밤은 널부러진다

- 입덧에 좋은 음식: 얼음, 방울토마토


*13주차 초음파 사진


keyword
매거진의 이전글임신 11주차