brunch
브런치북 병중일기 09화

병중일기 8

by KIDAE 기대

**수술부위 사진이 포함되어 있습니다.**


철제 외고정기를 다리에 박는 수술을 한지도 2주가 지났다. 그동안 1주에 한 번씩 아버지가 나를 병원에 데리고 가 소독과 재활을 받도록 해주셨다. 말 그대로 철사 보형물이 정강이와 발에 박혀있었기 때문에 이 부분의 살이 짓무르지 않도록 주기적으로 소독을 하며 잘 관리해 주어야 했다. 남양주와 압구정은 가까운 거리가 아님에도 불구하고 아버지는 병원 가는 날을 빠트리는 법이 없었다.


외고정기를 찬 발은 씻을 수가 없어서 각질과 수술할 때 묻었던 피로 범벅이 된 채 철제 보형물이 박혀있는 부분만 소독을 했다. 병원에 방문할 때마다 장갑을 끼고 외고정기를 차고있는 발을 마사지해 주었던 물리치료사에게 미안한 마음이 들었다. 마사지를 받고 나면 좀 편안했긴 했지만 많이 효과가 있는 것 같지는 않았다.


IMG_0191.HEIC


절제 외고정기를 차고 2주 차 되는 날 의사 선생님이 외고정기를 제거하는 수술 날짜를 잡아주셨다. 예전에는 발목의 뼈가 이상이 있으면 고정해 안정적으로 붙을 때까지 최대한 움직이지 않게 했다고 한다. 하지만 최근 수술 트렌드는 발목을 오래 못 움직이게 하면 후유증으로 발목의 움직임 각도가 잘 안 나오는 경우가 많기 때문에 뼈가 붙는 시기를 잘 계산해서 발목을 고정해 놓는다고 한다.


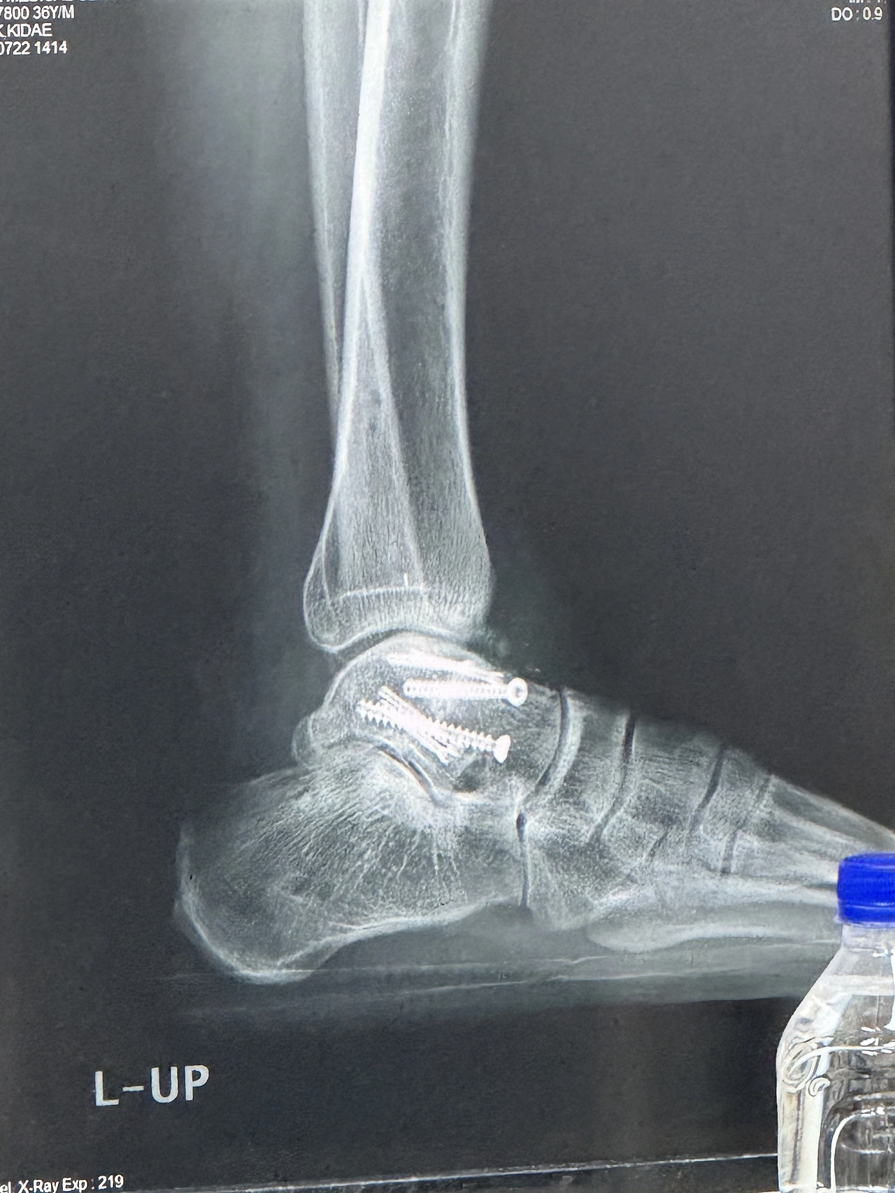
나는 거골이 완전히 박살 났기 때문에 이런 최신 수술트렌드는 나에게 적용하기 어려웠다. 뼈에 금이 가거나 경미한 부상은 1~2주 정도 깁스를 하는 반면 나는 4 동안 발목을 움직이지 않게 고정해야 했다. 거골의 특성상 뼈가 붙지 않아 함몰이 될 가능성이 있고, 이것은 최악의 상황이기 때문에 의사 선생님의 처방인 제일 탄탄하게 고정할 수 있는 철제 외고정기를 4주간 착용하는 것은 최선이었을 것이다. 하지만 모든 수술이 끝나고 어떤 후유증이 있을지는 누구도 예측하지 못했다. 의사 선생님도 수술 후 발을 디뎌 봐야 알 수 있을 것이라고 했다.


IMG_0301.HEIC
IMG_0300.HEIC


의사 선생님은 외고정기 제거 수술은 이전 수술보다 간단한 수술이라고 했다. 이전의 뼈에 나사를 박고 인공뼈와 나의 골반에서 추출한 뼈를 이식해서 원래뼈의 모양을 구현하는 수술은 6시간 정도 걸렸다. 반면 이번 수술은 1시간 내외로 수술시간도 짧았다.


수술 전날 병원에 입원하여 여러 가지 검사를 했다. 병원에 있는 동안 수없이 바늘에 찔렸지만 검사하는 동안 찔린 바늘은 아직도 적응할 수 없었다. 다음날 수술실에 들어가기 전 긴장되는 것은 첫 수술 할 때와 마찬가지였다. 간단한 수술이라고 했지만 척추마취와 수면 마취를 해야 했다. 수술 후 철제 보형물이 박혀있던 자리의 살들이 아물 때까지 씻지는 못했다.


수술 후에도 아버지는 일주일에 1번 병원에 데려다주셨다. 발목을 거이 움직일 수 없었다. 물리치료사가 내 발을 보고 시체 같다고 했다. 나는 그 말을 듣고 마사지나 더 시원하게 해줬으면 하고 속으로 생각했다. 종아리 근육이 많이 수축된걸 육안으로 확인할 수 있다. 누워있는 동안 허벅지는 다른 부위보다 운동도 많이 했고, 육안으로도 다른 쪽과 비교하여 크게 차이가 안나 걱정을 많이 안 했었다. 물리치료사님의 말로는 허벅지는 지방이 많아서 별로 티가 안 나지만 근 육은 많이 빠졌을 거라고 하셨다. 수술한 쪽의 허벅지에 힘을 주어도 근육이 만저지지 않았다. 앞으로 발목에 박혀있는 핀을 빼는 수술을 하기 전까지 운동을 열심히 해서 근육량을 많이 늘려놔야겠다고 다짐했다.


IMG_4962.HEIC
94A54F3D-51FA-4D33-98F1-534F6450140D.heic



keyword
이전 08화병중일기 7