brunch
브런치북 병중일기 14화

병중일기13

12월 1일

by KIDAE 기대

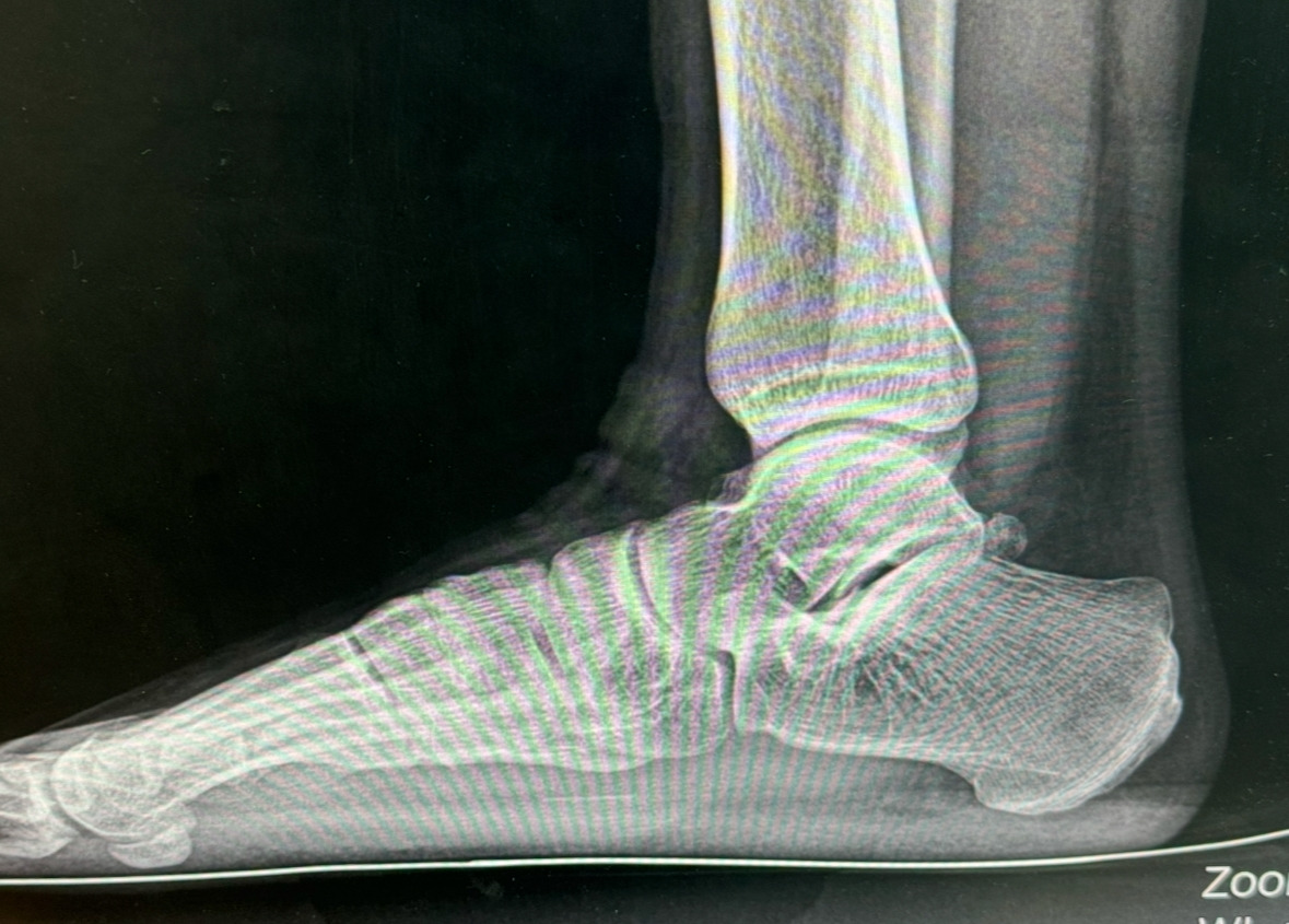
낙엽이 떨어지고 눈이 많이 내렸다. 첫 사고 날로부터 1년 2개월이나 흘렀다. 마지막 수술을 끝내고 줄기세포를 넣었기 때문에 의사 선생님께서 1달 동안 발을 딛지 말라고 하셨다. 발을 딛기 전 확실히 이전보다 훨씬 나아진 느낌이 들었다. 하지만 의사 선생님은 발을 딛고 걷기 전 까진 모른다고 하셨다.

IMG_9079.jpg


마지막 수술 후 1달이 지나고 발을 딛고 걷는 연습을 시작했다. 양옆 복숭아뼈의 통증은 좀 있었지만 오래 걸으니 조금씩 사라졌다. 병원에서 배운 헬스기구를 이용한 재활도 열심히 했다. 점점 똑바로 걸어지기 시작했다. 빨리 보통의 삶으로 돌아가고 싶어서 재활하는 시간을 늘리고 열심히 하였다. 그리고 한 달 후 의사 선생님과 약속한 검진날 병원을 방문했다. 나는 의사 선생님께 이전보다 확실히 나아졌고 뒷꿈치과 복숭아뼈에 좀 통증이 있다고 하였다. 의사 선생님은 통증은 많이 걸으면 사라질거라고 하셨다.

IMG_9077.jpg

검진 후 재활을 더욱 열심히 하였다. 올해가 한 달 밖에 안 남았기 때문에 올해가 가기 전 절뚝거리는 것을 없애고 싶었다. 하지만, 어느 순간부터 아킬레스건 양옆이 부어오르기 시작하면서 뒤꿈치까지 통증이 심해졌다. 수술할 때 아킬레스건을 늘리는 수술도 같이 했다는 의사 선생님의 말이 떠올랐다. 인터넷에 검색해 보니 아킬레스건 파열 수술을 한 환자들이 수술 후 아킬래스건 염이 발병하여 나와 같은 통증을 겪는다는 정보를 얻었다. 그들은 오래 걸으면 나아진다는 의견이 있는 반면, 더 심각해 지기 전에 빨리 병원에 가보라는 의견도 있었다. 걱정이 되기 시작했다.

IMG_73464A592799-1.jpeg


그나마 수술 한 발목 앞쪽 부위는 아무런 통증이 없어 다행이라는 생각도 했다. 아킬레스건 양옆의 통증은 걸을 때마다 지속적으로 생기는데 걷기 힘들 정도로 심해졌다. 그리고 이 통증은 피로감을 증폭시킨다. 찢어지는 고통은계속 되어서 병원에 전화해서 예약을 하려고 하니 일주일 후에나 가능하다고 답변을 받았다. 아킬래스건 염은 많이 걸으면 나아진다고도 하니 일단은 계속 걸어보려 한다. 심각한 증상이 아니길 바라는 수밖에 없다.

IMG_9076.jpg


keyword
이전 13화병중일기12