왼쪽 오른쪽 얼굴 떨림 피로라고 생각했는데...

제발 저 믿고 병원 한번만 가보세요

by 콕 선생님

오늘 아침, 커피를 한 잔 마시며

어제 진료했던 한 환자분이 떠올랐습니다.



왼쪽 얼굴이 떨리고 아프다며

불안한 표정으로 들어오셨던 그분...



사실 얼굴 떨림과 통증으로 오시는 환자분들을 보면

항상 마음이 무거워집니다.



왜냐하면 대부분 이미 여러 곳을

전전하다가 저희에게 오시기 때문이거든요.



안녕하세요.

얼굴떨림과 신경질환으로 고생하는 환자분들을 보면

항상 마음이 아프면서도,

어떻게든 해결책을 찾아 다시 웃게 만들어 주고 싶습니다.

콕통증의학과 신경과 전문의 조성호입니다.



그림15.png


오늘은 최근 제가 직접 경험한

한 환자분의 치료 과정을 통해



왼쪽 얼굴 떨림부터 오른쪽 얼굴 떨림까지

안면마비에 대한 이야기를

솔직하게 나누고 싶어서 이렇게 글을 씁니다.



어느 날 갑자기 시작된 얼굴의 이상 신호



그 환자분은 40대 중반의 직장인이셨어요.



어느 날부터 갑자기 왼쪽 얼굴이 얼얼하고

귀까지 아픈 통증이 계속됐다고 하시더군요.



처음엔 단순한 근육 경직인 줄 알고

한의원에서 치료를 받으셨다고 했습니다.



하지만 치료를 받아도 나아지지 않고

점점 증상이 심해져서...

심지어 혀까지 얼얼해지기 시작했대요.



이때부터 뭔가 심각한 문제가 아닐까

걱정이 되기 시작하셨던 거죠.



그래서 안면마비 치료가 가능하다는

여러 병원을 찾아다니시다가

결국 저희 병원을 찾아오신 거였어요.



진료실에서 마주한 환자의 불안감



진료실 문을 열고 들어오시는 순간

그분의 표정에서 불안함이 그대로 느껴졌습니다.



왼쪽 얼굴을 손으로 만지작거리시면서

혹시 안면마비가 오는 건 아닌지,

이대로 얼굴이 굳어버리는 건 아닌지

계속 걱정스럽다고 하시더라고요.


그림16.jpg [진료는 환자의 불안감을 해소해 주는 것에서 시작한다고 생각합니다. 걱정스러운 부분을 해소할 수 있도록 노력하겠습니다.]




사실 이런 분들을 많이 봐왔지만

매번 느끼는 게 있어요.

환자분들은 정말 무서워하신다는 거예요.



특히 얼굴 관련 증상은

외모와 직결되다 보니 더 그렇죠 ;;



그래서 저는 먼저 환자분을 안심시켜드리면서

정확한 검사가 필요하다고 말씀드렸습니다.



안면신경마비 vs 삼차신경마비, 정확한 감별이 중요한 이유



얼굴 통증과 떨림 증상만으로는

정확히 어떤 문제인지 판단하기가 쉽지 않아요.



✅ 안면신경마비로 인한 얼굴근육의 근력저하

✅ 삼차신경마비로 인한 감각저하



이 둘은 증상이 비슷해 보이지만

완전히 다른 질환이거든요.



안면신경마비는 주로 얼굴근육을 움직이는

신경에 문제가 생긴 경우이고,

삼차신경마비는 얼굴의 감각을 담당하는

신경에 문제가 생긴 경우예요.


그림17.jpg 출처: Neurology clinic




이 환자분의 경우

얼굴이 얼얼하고 귀 통증까지 있으면서

혀까지 저린 증상을 보이니

안면신경마비 가능성이 높아 보였어요.



그런데 여기서 중요한 건

안면신경마비는 뇌의 기질적 문제를

동반할 수 있다는 점입니다.



뇌졸중이나 뇌종양 같은 심각한 질환의

초기 증상일 수도 있거든요 ㅠㅠ



골든타임을 놓치면 안 되는 이유



그래서 저는 환자분께

당일 바로 뇌 MRI 검사를 받으시라고 했어요.



사실 많은 분들이

MRI 검사를 부담스러워하세요.

시간도 오래 걸리고

비용도 만만치 않으니까요.



하지만 얼굴 떨림이나 안면신경마비는

정말로 골든타임이 중요한 질환이에요.



초기에 적절한 치료를 받지 못하면



✔️ 안면신경 후유증이 남을 수 있고

✔️ 얼굴 근육의 영구적 마비 가능성

✔️ 안면 비대칭이 지속될 수 있어요



특히 뇌혈관 문제가 원인이라면

더 큰 문제로 발전할 수 있으니까

빠른 진단과 치료가 정말 중요합니다.



다행히 저희 콕병원은 대학병원까지 가지 않아도

당일에 뇌 MRI 검사가 가능해서



환자분이 오래 기다리지 않고

바로 검사를 받으실 수 있었어요.



검사 결과를 기다리는 시간이

환자분에게는 정말 길게 느껴지셨을 거예요.



저도 솔직히 조금 긴장됐습니다.

혹시 뇌에 이상소견이 나오면 어떡하나 싶어서요.


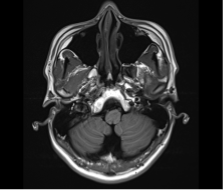
그림18.png 촬영 일시: 2025.05.17

<Fig 1. 정상 소견의 뇌 MRI>



다행히 MRI 영상을 확인해보니

뇌에는 특별한 이상이 없었어요.

정말 안도의 한숨이 나왔죠.



환자분께 결과를 알려드리니

그제서야 긴장이 풀리신 듯했어요.



하지만 증상은 여전히 있으니

이제 본격적인 치료를 시작해야 했죠.



뇌에 이상이 없다면

안면신경 자체의 염증이나 손상으로 인한

증상일 가능성이 높거든요.



안면신경마비 치료는

단기간에 끝나는 게 아니에요.



보통 3개월 정도는

꾸준히 약물치료를 받아야 해요.



이 환자분의 경우에도

여러 약물들을 조합해서 처방했습니다.

과연 결과는 어땠을까요?



점진적인 회복 과정



치료 4주차쯤부터

조금씩 변화가 느껴지기 시작했어요.



먼저 귀 통증이 줄어들기 시작했고,

얼굴의 얼얼한 감각도

서서히 개선되기 시작했어요.


그림19.jpg


8주차에 오셨을 때는

환자분 표정이 많이 밝아져 있었어요.



혀의 저린 감각도 거의 사라졌고,

왼쪽 얼굴의 움직임도

전보다 훨씬 자연스러워졌거든요.



이때 환자분이 하신 말씀이

지금도 기억에 남아 있어요.



처음엔 정말 절망적이었는데

이렇게 좋아질 줄 몰랐다고,

끝까지 포기하지 않고

치료해주셔서 고맙다고 하시더라고요.



의사로서 이런 순간이

정말 보람을 느끼게 해줍니다.



3개월이 지난 후

환자분은 거의 완전히 회복되셨어요.



얼굴 통증도, 귀 통증도 모두 사라졌고

혀의 저림 증상도 완전히 없어졌어요.



얼굴 떨림 병원 선택, 이것만은 확인하세요



이번 경험을 통해서 다시 한번 느낀 게 있어요.

얼굴 떨림이나 안면 통증이 있으실 때

어떤 병원을 선택하느냐가

정말 중요하다는 거예요.


그림20.jpg


✅ 뇌 MRI 검사가 당일 가능한 곳인지

✅ 신경과 전문의가 직접 진료하는 곳인지

✅ 충분한 치료 경험이 있는 곳인지



이 세 가지는 꼭 확인해보시길 바라요.

특히 왼쪽 얼굴 떨림이나

오른쪽 얼굴 떨림이 갑자기 시작됐다면



절대 혼자서 판단하지 마시고

전문의에게 정확한 진단을 받아보세요.



오늘 이 글을 쓰면서

그 환자분의 치료 과정을 다시 한번 되돌아봤어요.



처음 불안한 표정으로 오셨던 모습부터

마지막에 환하게 웃으며

감사 인사를 하시던 모습까지.

의사로서 정말 보람된 순간들이었습니다.



만약 지금 얼굴 떨림이나

안면 통증으로 고민하고 계신 분이 있다면



절대 혼자서 끙끙 앓지 마시고

전문의에게 정확한 진단을 받아보세요.



적절한 시기에 올바른 치료를 받으면

분명히 좋은 결과를 얻으실 수 있을 거예요.


그림21.jpg


저 역시 앞으로도

더 많은 환자분들께 도움이 될 수 있도록

끊임없이 공부하고 노력하겠습니다.



긴 글 읽어주셔서 감사합니다.

조성호 드림




keyword
매거진의 이전글목디스크 손가락 저림? 왼손가락 마디 찌릿 증상