그래도 아가는 너무 귀여워

임신에세이_빵빵한 보름씨와의 만남(7)

by 다라

임신 전 친구들이 초음파 사진을 보면 너무 귀엽다는 말을 이해하지 못했다. 시커먼 화면에 별로 잘 보이지도 않는데 도대체 뭐가 귀엽다눈 거지? 태어난 것도 아닌데...


그런데 내 자식은 다르다 ㅠㅠ(역시 겪어봐야 알아..) 내 새뀌는 심장소리를 듣는 첫 순간부터 너무너무 벅차고 감동적이었다. 처음엔 심장소리 외에 볼 수 있는 게 없었지만(아가집 뿐) 몇 주 지나니 꼬물거리는 올챙이 생명체가 보였고.. 또 며칠 지나니 젤리곰.. 그 뒤엔 팔다리 달린 아가가...!


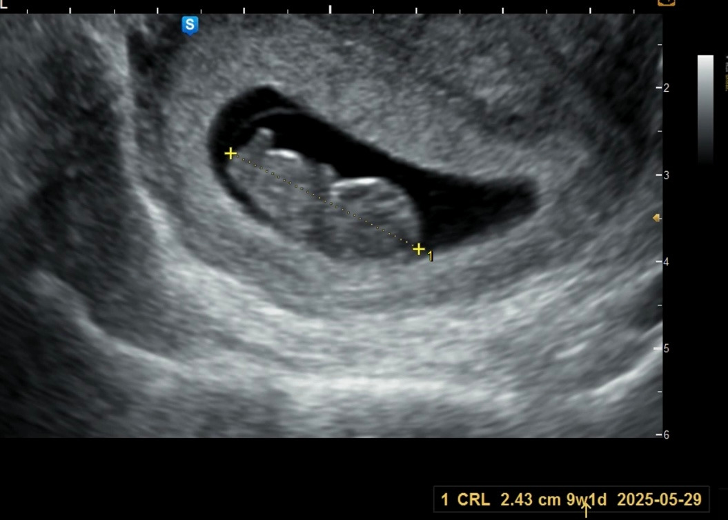
7주차: 아직 잘 안 보인다. 머리가 아니라 난황이라고 설명해 주셨지만 꼭 머리 같아...
9주차: 이때가 너무너무 귀여웠다 ㅠ 젤리곰처럼 꿈틀대던 우리 아기 ㅠㅠ
12주차: 조금 커서 꽤 인간처럼 되어버린 빵빵이


아기가 자라는 건 볼 때마다 감동이었다. 난 해주는 거 하나도 없는데 어쩜 저렇게 씩씩하게 혼자 잘 자랄까??

그리고 내가 젤 좋아하는 사진⬇️

16주차 ㅋㅋㅋ 애기가 좁은지 몸부림을 치고 있다. 너무 귀여워!!!!!! 머리에 두개 점은 눈 아니고 아마 뇌일 텐데.. 꼭 눈같아서 더 웃기다(눈 맞나? ㅋㅋㅋ)


21주차 우리 애기. 왼쪽이 눈 오른쪽이 코랑 입이다. 벌린 입이 너무너무 귀여워서 이 영상을 캡쳐해 여러 번 돌려봤다. 남편은 봐도 잘 모르겠다고 한다(왠지 서운 ㅠ) 그래도 엄마 눈엔 다 보여 빵빵아‪‪‬‪‪‬


21주차 우리 애기. 손으로 얼굴을 감싼 게 내눈에는 딱 보여서 너무 귀엽다고 남편 보내줬는데 남편은 또 잘 모르겠다고 한다 ㅠㅠ 답답한 마음에 붉은선으로 눈코입 손 표시해준 사진 ㅋㅋㅋㅋㅋㅋ 남편은 그래도 모르겠다고!!!! ㅋㅋㅋ 왜 저게 안 보여~~ 우리 애기 너무너무 순하게 자고 있는데! ㅋㅋㅋ


육아가 아무리 힘들어도 애기 웃는 얼굴 보면 풀린다는 선배들 말처럼 입덧이 아무리 힘들어도, 배가 무거워도, 초음파 사진을 보면 늘 벅차고 힘이 났다. 꼬물꼬물 잘 살고 있는 아기를 보면 대견하고ㅠ 얘가 더 행복할 수 있게 입덧 좀만 더 견뎌봐야지! 얼른 만나고 싶다! 는 기대감에 차오르던 임신 생활...


어느새 100일이 채 남지 않았다. 아직은 둘째 생각이 없기 때문에^^; 이대로 소중한 임신 생활이 마무리되어간다고 생각하니 시원 섭섭하다. 그래도 씩씩한 빵빵이 덕분에 견딜 수 있었다.


우리 조금만 더 힘내고 건강하게 만나쟈 그때까진 화면으로만 만나 빵빵아 시커멓고 어두운 초음파여도 엄마가 다 알아볼게!!!! 히히

keyword
작가의 이전글임신초기_입덧지옥에 시달리다(6주~20주)