brunch

저 멀리 우주를 유영하는 내 소중한 아기

먼저 떠난 내 첫째 아이를 기리며

by 미니크

몇 년 전 시험관으로 어렵게 가진 아기를 임신 초기인 9주에 유산했다.


글로 써보니 참 간단하고 별거 아닌 거 같다.

그런데 그게 참 간단하지 않고 별거 아닌 게 아니다.


첫 번째 임신과 유산을 하고 참 많이 울었다.

그렇게 내 첫째는 쏟아지는 눈물을 타고 마음속 깊은 곳에 미끄러지듯 자리 잡아 내 평생의 눈물이 되었다.


유산 후 대부분은 자책감이 커서 운다는데 나는 난임휴가 중이라 일에 대한 스트레스도 없었고, 초기에 유산되는 건 건강하지 못한 배아임으로 내 잘못은 특별히 없다는 걸 알았기에 자책감은 크진 않았다.


그럼에도 불구하고 품었던 아기가 한순간에 사라진 충격 자체는 어마어마했다.


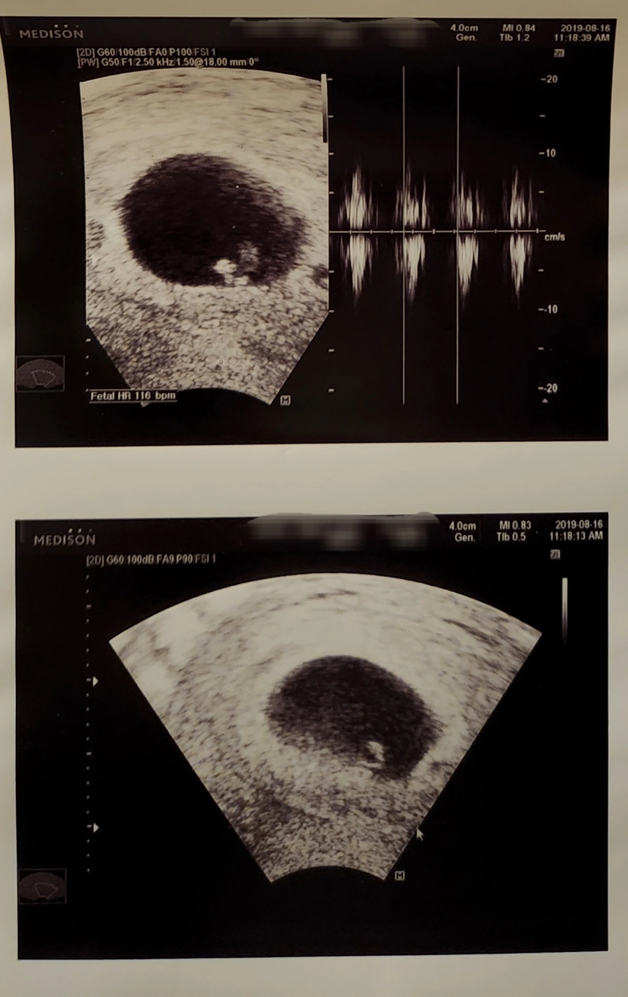
심장이 뛰지 않는데도 초음파 화면 속 양수에서 아무 일도 없다는 듯이 흔들리는 내 첫 번째 아기를 보고 영화 그래비티에서 고요한 우주를 홀로 정처 없이 유영하는 조지 클루니가 생각났다.


나는 직감했다.

이 몇 초의 기억은 나에게 평생 남을 거라는 걸...


의사 선생님은 이미 프린트된 그날의 초음파 사진을 주지 않으려고 했지만 나는 내 첫 번째 아기가 '잊히는 존재'가 아니라 '누군가가 기억해주는 존재'를 만들어주고 싶어서 받아왔고 집에서 그 사진을 끌어안고 하염없이 울다.


그날 회사에서 내 소식을 들은 남편은 회사 화장실에서 몰래 울었고, 헐레벌떡 조기 퇴근 후 서로 얼굴을 마주 후 함께 울고 또 울서 첫째를 애도했다.


사랑하는 내 영원한 첫째 리몽 1호야,

너를 떠나보낸 지 벌써 거의 3년이 됐어.

아픈 몸이라서 태어나더라도 엄마 아빠 힘들까 봐 얼굴 못 보여주고 떠난 걸 알기에 마음은 여전히 너무 아프지만 고맙다는 말을 먼저 전하고 싶어.

엄마는 여전히 네가 우주 속을 외로이 배회하고 있진 않은지 걱정될 때가 있어. 그럴 때 항상 네 곁에는 너를 기억하는 엄마와 아빠가 있으니 즐겁게 여행하되 외롭진 않았으면 해.

엄마가 너 동생 보내주면 감사해하며 잘 키울 테니 보내달라고 했던지 기억나지?

시간은 걸렸지만 엄마 더 힘들지 말라고 소원 들어줘서 정말 고마워. 너 덕분에 태어난 리몽 2호인 네 동생은 잘 먹고 잘 자면서 듬직하게 쑥쑥 자라고 있어. 하루가 다르게 커가는 네 동생을 보면서 너는 어떻게 생겼을까 어떻게 행동했을까 네 동생도 이렇게 사랑스러운데 너는 오죽했을까 너무 그립고 보고 싶어.

엄마가 네 몫까지 열심히 동생 잘 키울 테니 지켜봐 줘!

엄마의 남은 생이 다하는 날 꼭 너를 찾아서 있는 힘껏 안아줄 거니까 그때 꼭 보자.

원래 죽음이 두렵진 않지만 좋을지는 의문이었는데 임종을 앞두고 너를 만날 수 있다는 생각에 기쁨이 클 거 같아. 인생은 찰나이니 곧 볼 수 있으니까 덜 슬퍼할게.

평생 기억할게. 너무 고맙고 우주만큼 사랑해!




위 글에 언급했듯이 감사하게도 두 번째 시험관만으로 임신이 또 성공해서 현재 건강한 아기를 출산하고 육아 중이다.


둘째이자 태어나기로는 첫째를 임신했을 때 특히 9주까지는 아기가 어떻게 될까 매번 산부인과 검진 시 "심장은 뛰나요?"를 나도 모르게 가장 먼저 물어봤더랬다.


그리고 임신 중반까지도 아기가 잘못되더라도 충격을 덜 받도록 온전히 기뻐하지 못하고 기대를 덜한 노력까지 했다.


역시 인생은 새드엔딩과 해피엔딩이 공존한다.


태교일기 3주차
태교일기 5주차
태교일기 6주차
태교일기 8주차
태교일기 9주차
떠나보낸 날의 일기









keyword
매거진의 이전글제왕절개 수술 전 뒹굴뒹굴 중