엄마가 된다는 것 #3

첫 초음파, 아기집을 보고 오다.

by 마음의작가

감격스러운, 첫 초음파

드디어 아기집을 보고 왔단다. 그리고 엄마는 '임신 확인서'라 불리는 건강보험 임신. 출산 진료비 지급 신청서를 받고 왔단다. 2주 뒤에 다시 만나자 아가야,



3월 4일 금요일, 엄마는 드디어 초음파를 보고 왔단다.

원래는 아빠의 일정이 안되어 3월 7일 월요일로 예약을 했었어, 그런데 아빠 일정이 변경되어 우리는 부랴부랴 금요일에 초음파를 보러 병원에 갔었단다.

(하지만, 급히 먹는 음식은 체한다고, 급히 준비하다가 투닥투닥 싸우게 되었었어, 약속시간 안 지키는 걸 극도로 싫어하는 엄마여서 아빠에게 화를 냈지 뭐람,,,ㅎ 결국 화해를 하긴 했단다. 미안해 아가야)


1분만 늦었어도 우리는 진료를 못 받을 뻔했었어, 1분 차이로 접수를 해줬고 드디어 첫 진료를 받을 수 있었단다. 원래는 아빠(남편)가 남의사는 싫다고 하여 여의사로 예약을 했었는데, 갑자기 간 산부인과에는 시간이 비는 여의사는 없었어, 그래서 결국 남의사 선생님께 진료를 받았단다.



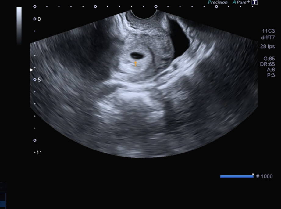
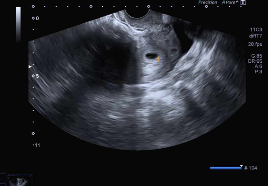
아직은 네가 너무 작은 존재라 배 초음파로는 너를 볼 수 없다고 하더라, 질 초음파를 통해 아기집을 처음 확인했단다.


의사 선생님께서 지금 아기집은 10mm 정도가 된다고 알려주셨어. (10mm 맞나?)

그리고 엄마 적정 체중은 12kg까지는 느는 게 좋다고 하더라고, 14주까지는 몸무게 변화가 없고, 그 이후 400g 정도씩 늘면 좋다고 하더라고, 어떤 약을 현재 복용하고 있는지 물어보았고 엄마는 밀크씨슬, 종합비타민, 엽산 등등을 말씀드렸더니 임산부용 비타민이 아니냐고 묻더니 중단하고 약을 처방해주신다고 하셨어.

순간 나를 위한 건가(?) 약을 팔려는 건가(?)라는 살짝 의심이 들었지만(엄마가 의심이 참,,, 많다) 초보 엄마는 의사 선생님 말을 "네네"하며 열심히 들었단다.


주차별로 어떻게 되는지 설명표가 있는 종이를 주셨어.




4-5주 : 아기집 확인, 자궁&난소

6-7주 : 아기 심박동 확인, 분만 예정일 확인

9주 : 아기 팔다리 나옴

11-13주 : 초기 정밀, 4D 입체 목 투명대&코뼈 (아기는 작은 오렌지 크기 정도)

16-18주 : 진료실(양수, 태반, 아기 크기) (아기는 망고 크기 정도)

20-22주 : 방사선과 정밀 초음파, 정밀 초음파의 한계 - 피부 점, 두피, 쇄항, 손가락 붙어 있는지, 심장기형증 일부분, 시력/청력, 근골격계 질환, 육손이 등등 100% 발견은 불가능, 70% 정도 가능

24주 : 진료실 초음파, 임당, 빈혈, 비타민 D 검사 (한 달에 1~1.5kg 증가가 좋음)

28주 : 진료실 초음파 (출산 길라잡이 수업 안내)

30주 : 진료실(양수, 태반, 아기 크기), 백일해 접종(27~36주)

32-34주 : 방사선과 후기 정밀 초음파

34주 : 진료실(양수, 태반, 아기 크기)

36주 : 막달 검사(채혈, 소변, 심전도, X-ray)

37주 : 태동 검사

38/39/40주 : 진료실(양수, 태반, 아기 크기)



초보 엄마에겐 이런 정리표가 너무 좋더라, 그리고 아가를 과일에 비유한 게 너무 귀엽더라고!

아직 엄마는 아기집밖에 보지 못했지만 2주 뒤에 오면 아가를 볼 수 있다고 알려주셨었어.

초반에는 2주 감격 그리고 4주 간격 그리고 다시 2주 간격 마지막 즈음에는 1주 간격으로 너를 보러 가야 하더라.


초음파를 보고 오고 아빠(남편)는 엄마에게 말했어, "우리 한방이 10달 동안 잘 부탁해♡"라고, 그리고 그 말에는 엄마를 향한 애정이 그리고 너를 향한 애정이 느껴졌었단다. 하지만 약간 부끄러웠던 엄마는 기분 좋게 "응!"이라고 대답을 못하고 그냥 회피해버렸어. 하지만 엄마는 10달 동안 너를 잘 보살필 거란다!



초기에 임신 사실을 알고, 엄마는 관련 어플을 다운했었어. 그랬더니 태명과 날짜(출산 예정일)등등을 적어야 하더라고 그래서 우선 너를 한방이라고 넣었었단다. 첫 시도에 딱 우리에게 찾아와서 ㅎㅎ

그랬더니 아빠도 너를 한방이라고 부르더라고ㅋㅋㅋ 그래서 첫 초음파를 보고 온 날 아빠와 엄마는 너의 태명을 짓기로 했단다.



태명을 어떻게 짓는 건지 유튜브를 통해 찾아봤었어.

태어나는 시간, 시기에 맞게 혹은 아가가 찾아온 날 장소에 맞게

혹은 엄마와 아빠 이름을 하나씩 따서 아니면 아가를 갖고 엄마의 변화 상황

아니면 좋은 뜻을 가진 우리나라 말 등등 여러 방법이 있더라고


그래서 우리는 좋은 뜻을 가진 우리나라 말을 열심히 찾아봤었단다.

좋은 뜻을 가진 단어로 계속 불러주면, 너에게 그런 좋은 일이 생길 거 같았어.


그중 후보군은 다올, 별하, 보담, 일비 이렇게 있었고

이름을 불러보고 뜻을 계속 확인해 보다가 같이 선택한 게 바로 '다올'이란다.


다올 : 하는 일마다 복이 들어온다


그래서, 다올아 이제 엄마는 다올이 엄마, 아빠는 다올이 아빠가 되었단다.

네가 하는 일마다 모든 일에 행복이 오기를 엄마와 아빠는 소망해, 2주 뒤에 건강한 모습으로 다시 만나자.

엄마가 아빠가 다올이를 많이 사랑해.


작가의 이전글임산부가 된 후의 코로나의 삶이란