엄마가 된다는 것 #5

7주 차 너의 심장소리를 듣다.

by 마음의작가

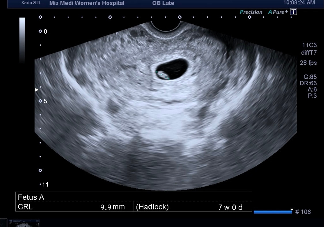
9.9mm 1cm가 겨우 되는 작은 몸에서 나오는

쿵쾅거리는 심장소리란,

정말 꽤나 감격의 순간이었단다.


어느덧 7주 차


KakaoTalk_20220318_234644778.jpg

7주 차의 아가는 블루베리 정도 크기라고 하더라,

7주 차 때 병원을 갔고 처음으로 다올이의 심장 소리를 들을 수 있었다.

7주 차 때는 심장소리 듣기, 분만 예정일 확인, 그리고 여러 검사를 진행한다.

(검사 진행 전에 설명 없이, 진행이 이루어지고 나중에 설명을 해줘서 조금 기분이 안 좋았다. 원래 이런 건가?)







드디어 7주 차가 되었다.

입덧으로 -1kg이 되었다.


사실 입덧이 조금 심해서(?) 내가 너무 힘들어해서 남편이 조금 더 일찍 병원에 가서 입덧 약을 받아보자고 권했었다. 하지만 너무 일찍 갔다가 여러 번 방문해야 할 것 같은 번거로움에 조금 버티다가 딱 7주 0일째에 우리는 반차를 쓰고 병원에 방문했다.

(사실 검진 휴가가 따로 있는데, 임산부 등록이 아직 안돼서,, 회사 결재 시스템이 어마어마해서 개인 반차를 사용하게 되었다. 이 내용은 다른 포스팅에서...)


당연 이전 방문과 비슷한 시간이 걸릴 줄 알았고, 남편과 나는 병원 이후 산후조리원 방문을 예약했던 상태였다.

병원에 갔고, 어디로 가야 한다 등등의 설명이 전혀 없어서 우왕좌왕했다. 첫 방문 때와 다르게 조금 불쾌한 느낌을 받았다. 그렇게 진찰을 받고, 의사는 약간의 바이러스 검사를 진행한다고 말해줬다. 딱 이 정도였다. 어느 검사를 하는지 따로 설명해주지 않았다. 나는 검사가 끝난 줄 알았으나 갑자기 채혈실에 가라고 했었고 피를 엄청나게 많이 뽑혔다. 그러고 나서 소변검사를 해야 하니 화장실을 가서 소변을 담아오라고 했다.

초음파 검사 때문에 이미 화장실을 다녀온 탓에 전혀 화장실이 가고 싶지 않았고, 물을 많이 마셔도 잘 나오지 않아 결국 다음 일정을 소화하고 다시 병원에 들려서 검사를 하기로 했다.


그때쯤 모르는 번호로 전화가 왔다. 02-*** , 병원이라고 했고, 나보고 어디냐고 물었다.

"?????????!!" 저 병원이고 소변검사하는 곳에 있다고 대답했다. 나보고 끝나고 오라고 해서 왜냐고 물으니 예약을 잡아야 한다고 설명했다. 예약을 인터넷으로 할 거라고 하니 간호사(?) 분이 내가 있는 곳으로 와서 검사 한 항목이 적힌 종이를 주고 갔다.


생각해보니 원래대로면 의사와 진찰을 마치고 -> 간호사 설명 -> 채혈실 가는 형태인 거 같았다.

하지만 내가 의사와 진찰을 마치고 나왔을 땐 아무도 없었고, 다른 쪽에 있던 간호사는 나에게 아무런 설명을 해주지 않았다... 그렇게 나는 우왕좌왕하다가 종이에 적혀있던 제혈실로 그냥 갔던 것이다.

설명을 잘 안 해주는 걸 싫어하는 데, 이날은 참 설명이 불친절하다고 느껴졌다. 매일 정기적으로 오는 사람이야 어떤 시스템이고 어떻게 진행되는지 알겠지만 나처럼 2번째 방문일 경우 첫 방문 때 아무런 설명을 듣지 못했으면 당연히 헤맬 수밖에..



무튼, 내가 받은 검사 항목 용지에는 (HbALC)

1. 풍진(항원)

2. 풍진(항체)

3. A형 간염(항체)

4. B형 간염(항원)

5. B형 간염(항체)

6. C형 간염(항체)

7. 수두 항체

8. 갑상선 기능

9. 매독 검사

10. 혈액형

11. 에이즈

12. 일반 혈액

13. 소변

14. 비타민 D

15. 비예기항체

16. 자궁경부암


이렇게 총 17개가 적혀있었고, 이 중 정기 검진 때 했던 자궁경부암 빼고 다 검사 여부에 표시가 되어있었다.

검사 전에 이런 걸 한다고 미리 설명을 해주고 이런 검사를 왜 하는지 보통 설명을 해줘야 하는 게 아닌가?..

원래 보통 이렇게 많이 검사를 하나요..?


뭐가 뭔지 모르겠는 여러 검사를 진행하였다. 결과는 7일 후 나오며, 다음 방문 때 이야기를 나누나 보다.

KakaoTalk_20220318_234656677.jpg



병원비 212,080원

약값 45000원 정도(2주 치 입덧 약)


많이 나온 병원비에 놀랬고, 돈 없으면 참 할 수 있는 게 없겠구나라는 씁쓸한 생각이 들었다.

다올아 그래서 엄마가 회사를 그만두지 못하나 보다..


사실 입덧 약을 먹을 정도로 입덧이 심한 편은 아니라고 하셨다.

보통 토를 하거나 아예 음식을 못 먹거나 하는 경우에 권한다고 하셨다.

나는 몸에 안 좋은지 여쭤보고 그게 아니라면 일하는데 힘들기에 약을 받고 싶다고 하였다.

그렇게 입덧 약을 받았다. 하지만 바로 먹지 못하였다. 아니 그냥 입덧 약이 있다는 것만으로 마음의 위안이 되었는지 조금 입덧이 완화되었다.


KakaoTalk_20220318_234719010.jpg


5주 차 때 아기집만 보였었는데, 10mm

7주 차에는 아가가 보였다. 9.9mm 아기집만큼 컸구나.

그리고 난황도 보여줬다.


주차는 생리가 일정해서 그런지, 어플과 100% 일치하였고, 예정일도 변함없이 고정되었다.

의사 선생님께 여쭤보니, 이제 예정일은 고정이며 바뀌지 않는다고 하더라.

다올아 남은 기간 동안 무럭무럭 자라나 보자!




조금은 불쾌했던 두번째 방문,

개복치엄마는 너무나 예민하다.




작가의 이전글임산부가 된 후, 일하는 엄마의 변화