엄마가 된다는 것 #6

8주 차 6일 젤리곰을 만나다:)

by 마음의작가
임밍아웃, 태몽 이야기

두근두근 드디어 기다리던 젤리곰을 만나다.

안녕, 나의 귀여운 젤리곰♡

8주3.jpg




결혼을 한 뒤로 시간이 정말 빠르게 지나갔었는데, 임신을 한 뒤로 시간이 정말 느리게 가는 마법을 경험하고 있다. 아마도 너를 만나는 시간이 너무 기다려져서 하루하루가 더 길게 느껴지는 거겠지?


작은 생명체에서 심장소리를 들은 후 2주가 흘렀다. 그리고 알 수 없는 여러 검사를 한 후 2주가 지났다.

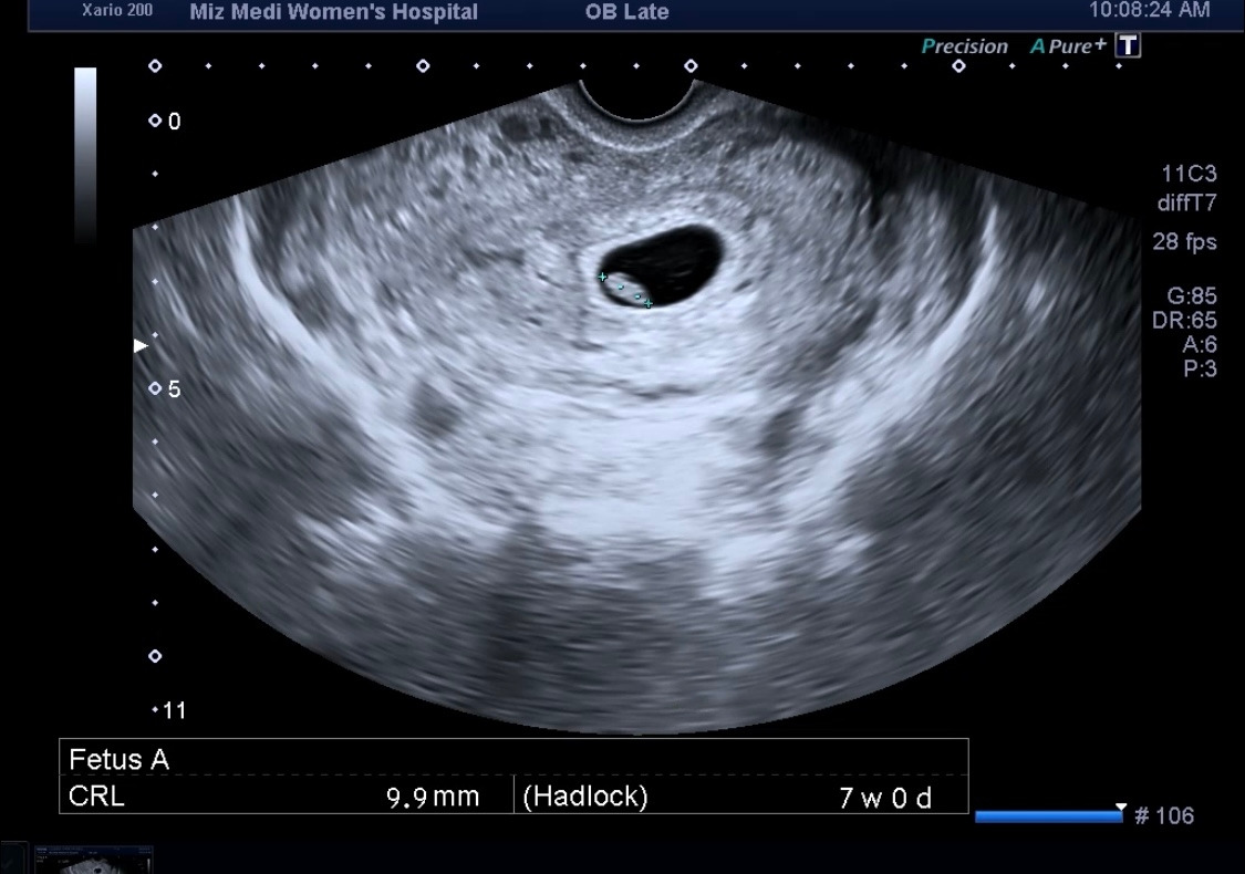
원래는 수요일이나 목요일에 방문을 했어야 하는데 업무상 해당 날짜가 안되어 조금 빠른 화요일에 방문하게 되었다. 그래서 8주 차 6일. 인터넷을 찾아보니 9주 차가 가장 젤리곰이 귀엽게 보인다고 해서 조금 아쉬웠으나 다름 귀여운 젤리곰을 만나고 왔다.



7주 차 그리고 약 9주 차의 변화
KakaoTalk_20220318_234719010.jpg
8주.png

7주 차 0일에 방문했을 때는 정말 콩알만 한 아가가 보였다. 10mm 저렇게 작은 생명체에서 들리는 심장소리란 그때의 느낌은 참으로 신기했었다. 그리고 2주 만에 이렇게 머리, 몸, 팔, 다리가 보이는 아가로 성장하다니!

엄마는 입덧으로 조금 힘든 시기를 보내고 있지만 의사 선생님을 통해 우리 아가는 정말 잘 자라고 있다고 하니 마음이 놓였다.

이제 2.3cm 정도 2배가 되었고 2등신이 되었다.

피 비침도 없고 양쪽 난소도 좋고, 이제 유산 가능성은 낮다고 말해주셔서 더더욱 마음이 놓였다.

몸이 힘들어서 거의 활동을 못하고 쉼을 많이 가졌는데, 그러한 행동이 너에겐 좋은 영향이 되었나 보다.



KakaoTalk_20220313_085434355_09.jpg
KakaoTalk_20220318_234644778.jpg
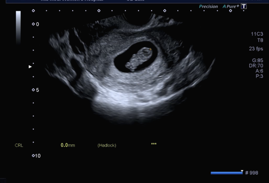
9주.jpg
KakaoTalk_20220402_060445498.jpg




베이비빌리를 통해 주차별 아가의 사이즈를 볼 수 있는데, 이렇게 귀엽게 과일로 설명을 해준다. 정말 작은 아가인데 내 배속에서 무럭무럭 자라고 있다는 게 참으로 신기하다.


심장소리는 더욱 크고 빨라진 거 같았다. 의사 선생님께서 너무 빠르니 놀라지 말라고 미리 말씀을 해주셨다. 아가들은 일반 성인보다 훨씬 심장박동이 빠르다고 하셨다. 아마도 몸이 작으니 그만큼 더 많이 움직여야 하나 보다라고 생각을 했다.


그리고 보여줬던 초음파 속 움직이던 아가의 모습.

이렇게 작은데 팔과 다리 그리고 머리가 꼬물거리는 게 정말 너무 신기했다. 확대 샷까지 보여줘서 자세히 볼 수 있었다. 빨리 태동을 느끼는 그날이 오면 좋겠다. 뭔가 더 다올이와 교류하고 있다는 느낌이 들 것 같다.




8주 차 6일 드디어 엄마에게 임신 소식을 알렸다.

사실은 주말에 보기로 되어 있었기 때문에 만나서 알리려고 나름 서프라이즈를 준비하고 있었는데, 코로나로 인하여 갑자기 일정이 변경되었다. 이것저것 묻고 싶은 것도 많았으나 얼굴 보고 이야기를 하고 싶어서 꾹 꾹 참았는데, 결국 카카오톡과 전화로 소식을 전하게 되었다. 짜잔!


다올이소식.jpg



그리고 뜻하지 않았던 엄마의 말,

"사실 2일 전에 태몽을 꿨었어. 근데 언니는 아직 공부 중이라 아니고 너도 조금 늦게 가진다고 해서 분명 태몽인데... 하고 연락해볼까? 하다가 임신이면 연락을 주겠지!" 하고 기다리고 있었다고 말씀을 하셨다.

뚜둔!!! "정말!! 엄마 정말 태몽을 꾼 거야??????? 와 신기하다!! 어떤 꿈을 꾼 거야??"

"알밤이랑 대봉 정말 큰 감 있잖아, 그걸 줍는? 따는 꿈!, 아들 꿈이야!" 엄마가 말했다. "그게 아들 꿈이야? 어떻게 알아??? 나 가졌을 땐 어떤 태몽 꿨었어???" 나는 물었다.


for-salary-3735318_1920.jpg 픽사 베이 무료 이미지



"너를 가졌을 땐 밤송이가 열렸는데 밤이 3개 든 거랑 마늘 값이 그때 엄청 비쌌는데 마늘을 줍는 꿈을 꿨었어. 마늘도 갈라지고 밤도 갈라지고 이건 딸 꿈이었지." "그리고 고추 꿈을 꿨는데, 엄청 작은 잘잘한 고추를 따는 꿈을 꿨었어." 엄마가 말했다. "오... 신기하다! 그럼 언니는?? 언니 태몽은 뭐였어?" 나는 또 물었다.


night-2809326_1920.jpg
garlic-3419544_1920.jpg
chili-664635_1920.jpg
픽사베이 무료이미지

"언니는 뱀꿈, 작은 뱀꿈을 꿨었던 거 같아. 작은 건 보통 여자아이를 의미한다고 하더라고" 엄마는 말했다. 그리고 나는 그날 몰랐던 사실을 알았다. 엄마는 나와 언니를 가졌을 때 아들 꿈을 꾸려고 엄청 노력을 했었다고 하셨다. ㅋㅋㅋㅋㅋ 그런데 딸 꿈만 꾼 거다. 그렇게 노력해서 고추 꿈을 꿨는데 고추 같지도 않은 작은 고추 꿈이라니... 그래서 아들 같은 딸이 태어났나 보다.


나는 엄마에게 물었었다. 혹시 할머니를 아들을 강요했었냐고, 옛날에는 대를 이어야 한다. 등등 아들을 강요하는 시어머니 사례를 종종 봤었기에,, 내가 기억하는 우리 친할머니는 정말 좋으신 분이지만 그래도 옛날 분이시니 궁금해서 물어보았고, 엄마는 그런 건 없었다고 한다. 그냥 엄마가 아들을 원했었나 보다. 괜히 칫-! 하는 생각이 들었다. 아들을 원했던 사람인지라 본인이 아들 태몽을 꾼 게 너무 좋았나 보다. 아직 성별을 알 수도 없는데..ㅎㅎ 무튼 그렇게 엄마에게 임밍아웃을 하고 태몽이야기를 듣고, 입덧 이야기도 듣고 했다.


이러한 신적인 영역(?)을 믿지는 않지만, 정말 뭐가 있는 건가?라는 생각이 들었다. 그리고 정말 신기했다.

엄마는 나에게 너나 남편은 태몽을 안 꿨냐고 물었고, 나는 꿈을(핑크돼지꿈) 꾸긴 했는데 태몽인지는 모르겠다고 했다. 어른들은 태몽인지 아닌지 바로 안다고 하더라 그리고 태몽은 엄청 강렬해서 머릿속에서 지워지지 않는다고 하더라. 참 신기하다.


나의 몸상태는

엄청 심한 편은 아니지만 속 더부룩함과 변비 그리고 열남을 계속 느끼고 있다.


남편은 더욱더 나를 잘 도와주고 챙겨주고 있고, 임신과 동시에 더욱 남편의 사랑을 받고 있음을 느끼고 있다.

고맙다.


heart-3147976_1920.jpg 픽사 베이 무료 이미지


작가의 이전글임산부가 된 후, 일하는 엄마의 변화 2