엄마가 된다는 것 #9

12주 차 첫 입체 초음파 그리고 1차 기형아 검사

by 마음의작가


12주 차 과연 성별을 알 수 있을까?


KakaoTalk_20220504_095502348.jpg
KakaoTalk_20220504_095500099.jpg


12주 차가 되었고 1차 기형아 검사를 받으러 다녀왔다.

12주 차면 아직 생식기가 완전하게 발현한 상태가 아니라 아가의 성별을 알 순 없지만 가끔 두드러지게 발현할 경우 알 수도 있다고 후기들을 보았다. 그리고 각도 법을 통해 어느 정도 예측이 가능하다고 했었기에 나와 남편은 꽤나 12주 검사를 기대하고 있었다.


하지만 검사 당일 점심쯤부터 갑자기 컨디션 저하가 와서 나의 상태가 좋지 않았다. 멀미하듯이 몸이 안 좋고, 미열이 살짝 나서 정신이 없었다. 그러던 와중 차에 휴대폰도 놓고 내리고 갑자기 남편 번호는 기억도 안 나고... 아뿔싸! 이런 불상사가... 결국 남편과 연락을 할 수 없었고 입체 초음파를 혼자 보게 되었다.


계속되는 변비로 푸룬을 먹고 있었으나 가스가 너무 차는 바람에 고생을 하고 있었다. 초음파 역시 가스가 너무 많아서 잘 보이지 않는다고 선생님께서 말씀해 주셨다. 게다가 다올이가 자세를 잘 잡아주지 않았다.

선생님께서 조금 누르면서 봐야겠다고 했고, 다행스럽게도 다올이는 자세를 요리저리 바꿔주었다.



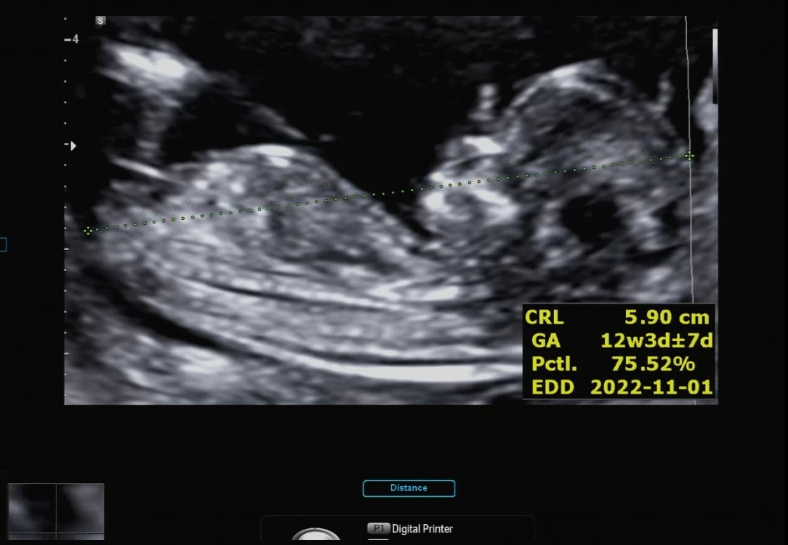
아가 사이즈 측정

머리에서 엉덩이까지의 길이

12주 차 3일 12주 차 4일이 나왔고, 원래 7일 정도의 차이는 존재한다고 알려주셨다.

사이즈는 6cm 정도로 컸더라 :)

딱 12주 차는 5.4의 자두 정도의 크기라고 베이비빌리를 통해 알고 있었다. 아마 12주 차 2일에 방문해서 아가가 조금 더 큰 거 같다. 하루하루 다르게 쑥 쑥 크고 있는 다올이의 모습이 참 신기하다.



남편과 동석하지 못하여서 그런지 4D 초음파를 봐주시는 선생님께서 엄청 열심히 봐주시고, 사진도 엄청 많이 찍어주셨다. (감사합니다!) 내가 현재 다니고 있는 병원은 타 병원보다 병원비가 조금 비싼데, 그만큼 더 신경을 써주는 느낌이 드는 곳이다.


12주 입체초음파.jpg


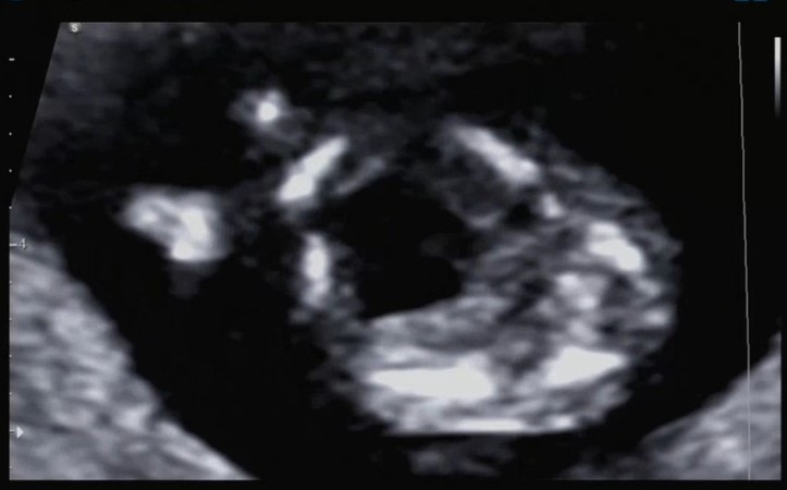
입체 초음파는 다른 건 없고 이런 식으로 아가의 모습을 입체로 바꿔서 보여주는 것을 말한다. 하지만 아직은 아가의 모습이 정확하지 않아서 처음에는 어디가 어디인지 나는 구별하기가 정말 힘들었다.

선생님께서 계속 보이시죠~ 여기가 어디고 여기가 어디예요~라고 설명해 주시는데 처음에는 전혀 모르겠더라... 그렇게 계속 보다 보니 조금씩 아가의 모습이 나도 보이기 시작했다. 12주 차의 입체 초음파는 ㅎㅎ 크게 별게 없다.

아가가 움직일 경우 순간의 스샷을 여러 개 찍어서 입체를 만드는 것이기 때문에 더 어렵다고 한다. 다올이는 계속 움직이고 자세를 바꾸는 바람에 예쁘게 입체 초음파를 찍기는 어려웠지만 선생님께서 많은 노력을 해주셨다. 입체 초음파는 4장 정도 찍어주셨다. 4장 모두 다른 모습으로 찍혔다. 하나의 포즈는 나와 똑같이 하고 있어서 선생님과 같이 엄청 웃었다.


KakaoTalk_20220504_095503477.jpg 엄마와 똑같은 자세를 하고 있는 다올이




12주 차 방문 시에는 평소와 다르게 입체 초음파를 먼저 하고 -> 이후 이전과 동일하게 혈압 측정 -> 상담(몸무게 측정, 혈압 제출) -> 이후 의사 선생님 상담을 진행한다. 원래는 오면 바로 혈압측정 -> 상담(몸무게 측정, 혈압 제출) -> 의사 선생님 상담(초음파 검사) 이렇게 진행을 한다. 이날은 의사 선생님과의 초음파 검사는 없었다. 그래서 남편은 영상으로만 다올이를 만나야 했다. 몸무게는 역시나 또 빠졌다. 입덧 때문에 몸무게가 계속 빠지고 있다. 그래도 열심히 먹고 있어서 큰 폭으로 빠지진 않고 조금씩 빠지고 있다. 조금 빠지는 건 심한 정도가 아니라 괜찮다고 하셨다. 의사 선생님께서 궁금한 게 뭐가 없냐고 했는데 컨디션이 안 좋아서 그런가 뭐 궁금한 것도 없었다. 그렇게 상담을 마치고 나왔는데 아 성별을 물어봤어야 했나?라는 생각이 들었다. 어차피 잘 보이진 않았으나 너무 궁금한 게 없던 엄마인가(?)라는 생각이 들었다. 그래서 남편과 다음번 방문 전에는 미리 질문 리스트를 만들어서 가자고 했다!


그렇게 의사 선생님과의 상담을 마치고 1차 기형아 검사를 위해 피검사를 하러 다녀왔다. 처음에 바늘을 찔렀는데 피가 안 나와서.... 다시 찔렸다. (으악!!!) 조금 아팠으나 참을만했다. 기형아 검사는 1차 2차를 두 번 다 완료한 후에 결과가 나온다고 하더라. 즉 2차까지 완료한 후 약 일주일 뒤에나 검사 결과가 나온다. 나는 기본 검사를 한 거고 그 외 니프티 검사 양수검사 등이 있는데 아마 검사에 따라 다를 수도 있다.

2차 검사는 4주 뒤에 진행한다. 4주를 어떻게 기다려....!!


그리고 성별 역시 찾아보니 12주까지는 남아와 여아 구분이 거의 어렵고 14주부터 조금씩 알아볼 수 있으며 16주에는 거의 90%의 확률로 알 수 있다고 하더라, 하지만 가끔 20주에도 반전이 나오기도 한다고 한다.

하지만 반전은 남->여 반전은 거의 없으며 대부분 여->남 반전이 있더라..

성별이 너무 궁금한 나와 남편은 열심히 서칭을 해 보았다.


12주.jpg


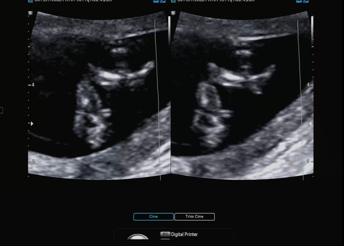
그나마 가랑이 사이를 보여 준 영상을 캡처 한 부분이다. 잘 안 보이는데 밋밋해 보여서 여아 같지만 뭔가 또 보이는 것 같기도 하고....ㅎㅎ 다올이는 남자일까 여자일까?




12주 각도 법에 의하면 옆으로 누워있는 사진을 봤을 때 남아는 약간 위쪽 각도로 생식기가 보이고 여아는 수평하게 일자로 생식기가 보인다고 하더라 (ㅎㅎㅎ) 정확한 건 아니다. 성별이 궁금한 엄빠들의 부단한 노력의 결과..

각도 법을 봐도 뭔가 딸아이 같다. 근데 태몽은 남아였는데...(?!) 남자 아이던 여자 아이던 나는 둘 다 좋지만 그냥 궁금하다. 성별이 ㅎㅎ 그리고 남아면 힘들다고 주변에서 하도 그래서 체력을 키우고 마음의 준비를 해야 할 것 같다.


KakaoTalk_20220504_095504768.jpg
KakaoTalk_20220504_095504420.jpg




12주 차 검사에서는 원래 손가락 개수, 발가락 개수 확인을 안 한다고 하셨다.

하지만 선생님께서 봐주셨다. 하나 둘 셋 넷 다섯.. :)

조곰한 다올이가 이제 형체가 하나하나 생겨가고 있다. 뇌도 보고 위도 보고 심장도 보고 심장소리도 듣고 왔다. 우리 아가를 자꾸 발을 꼬고 있는다. 내가 발을 잘 꼬고 있어서 (?) 그런 건가??라는 생각이 들었다.

엄마의 습관을 닮는 건가??라는 생각이 들면서 나의 행동을 더 조심해야겠다고 생각했다.

#이렇게엄마가된다.


KakaoTalk_20220504_095503078.jpg 손가락
KakaoTalk_20220504_095502668.jpg
KakaoTalk_20220504_095501433.jpg 허벅지 종아리 발


그리고 1차 기형아 검사에서 목 투명대를 봐준다. 다행히 정상범위에 있었다. 모든 게 다 정상범위에 있어서 다행이라고 생각했다 :)




12주 차 심장소리

아가의 심장소리는 일반 성인보다 매우 빠르게 뛴다.



12주 차에 활발하게 움직이는 다올이

꼬물꼬물 귀엽다. 엄청 활발해서 놀랐다. 날 닮은 걸까?? 남편은 얌전히 있어서 시어머니께서 죽는 줄 알고 자주 병원에 방문했다고 하던데... 하하하



성별이 너무 궁금해서 많은 다른 엄마의 아가들의 사진을 보며 각도 법을 연습하고 성별 맞추기를 같이 했었으나, 우리의 초음파 사진은 흐릿하여 정작 우리 아가의 성별을 유추할 수 없었다.

4주를 기다려야 하지만, 4주 뒤에는 꼭 알 수 있기를 바라며... 4주뒤에 만나자. 아가야

heart-3147976_1920.jpg


작가의 이전글임산부를 위한 지원 #1 임산부 교통비 지원 70만 원