엄마가 된다는 것 #13

29주차2일 전치태반 그리고 대학병원 전원까지

by 마음의작가

29주 차 2일

한 달만에 다올이를 보러 갔다. 항상 바쁜 일정에도 시간 내서 같이 병원을 가주는 남편에게 감사를♡



다올이 심장소리,

심장소리를 들을 때마다 다올이가 잘 크고 있구나라는 생각과 안도감이 든다.

현재는 태동이 있기 때문에 사실, 계속 소통을 할 수 있어서 잘 있는지 확인하기 좋지만

태동이 없는 타이밍도 있기 때문에 그리고 여러 소식을 통해 안 좋은 기사를 봤었기 때문에 태동이 더욱 고맙게 느껴진다. 가끔 세게 쿡쿡 쳐서 윽윽 하지만 그래도 "엄마 나 여기 잘 있어요~~!" 하는 것 같아서 참 좋다.





급격히 몸무게가 많이 늘었고, 배가 많이 나오기 시작했다.

그리고 정말 많이 먹는다.


먹고 자고 먹고 자고를 반복하는 일상을 살고 있다.

8월 20일 두 번째로 쥐가 났다. 이번에는 종아리..

나의 울부짖음에 바로 일어나서 다리를 마구 주물러주는 남편이 옆에 있다는 사실에 또 고마움을 느꼈다.

이런 사소한 것들이 상대방이 나를 얼마나 위하고 생각하고 있는지를 느끼게 해 주는 것 같다. 나도 더 남편을 생각하고 위해야지.



여전히 방귀대장 뿡뿡이처럼 방귀를 엄청 뀌고, 변비는 여전히 힘들다.

다른 임산부 분들은 정면으로 누우면 힘들다고 하던데 아직 그 정도는 아니고 정면으로 누우면 가끔 배 뭉침이 느껴지는 것 같다. 확실히 28주부터 배뭉침이 시작되었다.

그리고 태동이 정말 활발해졌다.



이번 초음파 검사는 생각보다 대충(?) 봐주는 느낌이었다. 대학병원으로 전원시킬 예정이라 그런건...가 아니겠지! 뭔가 늘 신경 써주고 궁금한 거 있냐 먼저 물어봐주던 선생님이셨는데 이번에는 뭔가 빨리 보고 빨리 끝내려는 느낌이 강하게 들었다.


29주 차가 되었는데도 태반이 올라가지 않아서 의뢰서를 써줄 테니 대학병원으로 가라고 했고 이날 나는 대학병원 예약을 잡았다.

어디로 갈까 고민을 하다가 추천을 받아서 신촌 세브란스로 가기로 했다. 그리고 권자영 교수님으로 배치되었다. 유명한 분이라고 추천을 받아서 그냥 고민 없이 알겠다고 했다. 사실 남자 선생님과 엄청 고민했으나 (제왕은 남자 선생님이 더 좋다는 이야기들이 있어서..) 찾아보고 할 시간도 촉박했고 내가 원하는 선생님이 된다는 보장도 없기에 그냥 추천받은 분으로 예약을 했다. 일주일 내로 방문하라고 하여 스케줄이 조금 꼬였지만 항상 나의 병원 일정을 우선시해주고 같이 가주는 남편에게 참 고마웠다.

조금 미안한 마음이 들어서 나 혼자 가도 괜찮다고 그렇게 말했는데도 일정을 조정해서 같이 가자고 해줬다.

참 자상한 다올 아빠다.



현재 병원에서의 마지막 초음파

대학병원은 초음파를 꼼꼼하게 안 봐준다고 들었기에 초음파 보는 낙으로 사는 나는 조금 아쉬웠다.

영상도 안 준다고 하더라 그래서 병원마다 동영상을 찍게 해주는 곳이 있다기에 세브란스가 동영상을 찍게 해 주길! 하고 바라고 있다.



다올이 얼굴
29주 얼굴.jpg

잘 안 보이고 해골 같지만...ㅎㅎㅎ

얼굴 코 입이 살짝 보인다. 입체 초음파를 제외하고는 다 해골 같은 모습이다...ㅎㅎㅎ



다올이 발
29주 발.jpg

이건 아마 발? 이었던거 같은데..

다올이는 늘 발이 얼굴 쪽에 있다. 얼마나 유연한 거니 아가..!


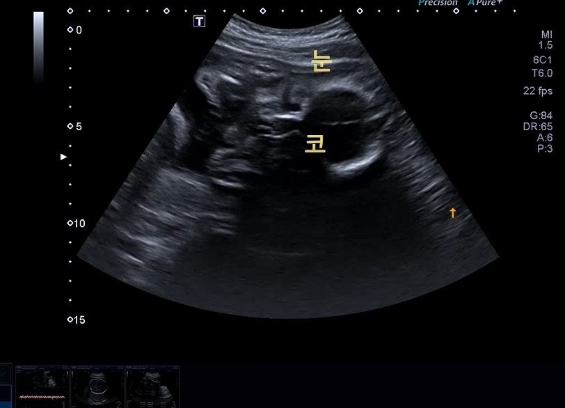
다올이 콧구멍
29주 코.jpg
다올이 얼굴(눈+코)
29주 얼굴 눈 코.jpg

선생님이 말씀해주지 않으면 사실 구별이 어렵지만,

확실히 예전보다는 어디 어디 부분인지 파악을 하기 시작했다. 이제 엄마도 다올이가 익숙해졌나 봐


다올이 머리카락
29주 머리카락.jpg

귀여운 다올이 머리카락이라니..! 선생님께서 벌써 다올이 머리숱 부자라고 말씀해주셨다.

아빠도 엄마도 머리숱이 많았어서 그런가 보다 신기신기


다올이 성장 기록
29주.png


큰 편은 아니고 오히려 작은 편(?)인 거 같지만 한 번도 작다는 말씀은 없었다.

주수에 맞게 잘 크고 있다고 하셨다.

엄마가 먹보라서 엄청 먹는데,,ㅎㅎ 내가 많이 먹는 것과 아가가 크는 건 다른가 보다. 신기하네!

그래도 다올아 기억하렴, 엄마는 정---말 많이 먹고 있었단다..ㅎㅎ




이렇게 마지막 병원에서의 진료를 마쳤고 4일 후에 대학병원으로 전원을 갈 예정이다.

대학병원은 대기도 길고 친절하지도 않다고 하여 조금 걱정이 된다.

하지만 나를 위해 다올이를 위해 큰 병원을 가는 게 맞다고 하니! 우리 화이팅 하자!


작가의 이전글임산부를 위한 지원 #4 휴직 전엔 몰랐던 육아휴직급여