엄마가 된다는 것 #15

태반 MRI를 찍고, 두 번째 담당의와의 면담

by 마음의작가

2022.08.26(금) 태반 MRI 촬영을 하였다. 그리고 2022년 9월 8일(목) 두 번째 담당의와의 만남.

대학병원의 대기는 어마어마하지만 살짝 길이 막혀 늦는 바람에 한 20~30분 대기 후 담당의를 만날 수 있었다. 혹시나 늦어서 선생님을 못 만날까 봐 조마조마하며 병원으로 갔었다. 원래의 나면 뛰어갔을 텐데 임신 후의 나는 뛸 수가 없다. 혹시나 아기한테 안 좋을까 봐 혹시나 무슨 이슈가 생길까 봐 걱정이 되기 때문에...



최대한 긍정적으로 생각하려고 노력을 하고 있고, 최대한 좋은 생각을 하려고 노력하고 있다.

아직 일어나지 않은 일인데 미리 걱정하고 미리 염려하면서 스트레스를 받는 건 나에게도 다올이에게도 좋지 않은 영향이 미칠 것 같기 때문이다. 그래서 더욱 긍정적이고 밝게 지내려고 노력하고 있다.

그렇게 지난번에 찍었던 태반 MRI에 대한 면담이 시작되었다. 담당 선생님께서는 역시 전치태반이 맞다고 하셨고, 어느 부분은 혈류량이 많이 보여서 수술 시 출혈이 많이 날 수 있어 보인다고 하셨다. 하지만 유착태반? 심각하게 보이진 않는 건지 생각보단 무섭게 말씀하시지 않았다.

하지만 전치태반은 언제 터질지 모르는 시한폭탄과 같기 때문에 가능하면 최대한 빨리 제왕절개를 하는 편이 좋다고 하셨고 보통 38주가 되기 전 37주를 권한다고 하셨다. 선생님께서 수요일과 금요일을 제안하였고 인터넷에서 찾아본 결과 주말에는 의사분들이 많이 없기 때문에 응급 응대가 어렵다는 후기 주말 수술을 권하지 않는다는 후기들을 봤었기에 우리는 수요일을 선택하였다.

그렇게 갑자기 3주나 빨리진 다올이 와의 만남을 약속하고 왔다.


pregnancy-792742_1920.jpg



그래도 임신 덕에 태반 MRI를 찍을 수 있었고 새로운 사실도 알게 되었다. 모든 결과는 다 이치가 있다고 생각하고 임신을 한 것이 그리고 다올이에게 고맙게 생각한다.



이날은 초음파는 안 했고 의사 선생님께서 심장소리만 듣고 태반 MRI 찍었던 걸 보면서 이야기만 나누곤 헤어졌다. 그리고 3주 뒤 예약이 잡혔다. 대학병원이라 그런지 자주 부르지 않는 것 같다.






그 사이 궁금해서 남편과 함께 다른 병원을 방문했었다. 너무 오랫동안 다올이를 못 봤었기 때문에 얼마나 컸는지 궁금하기도 했고 어차피 백일해 주사를 맞으러 다른 병원을 갈 예정이었기 때문에 겸사겸사 다올이와 인사하고 왔다.


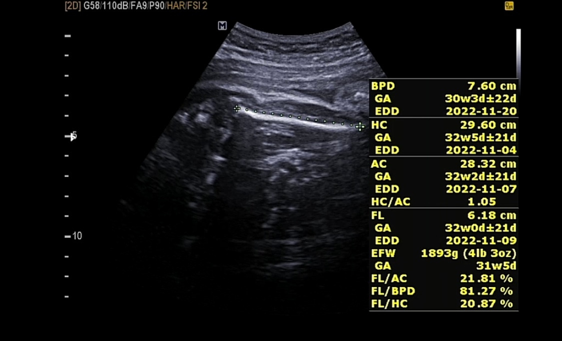
33주성장기록.png




그사이 열심히 커버린 우리 다올씨

기특하다 기특해



33주.jpg
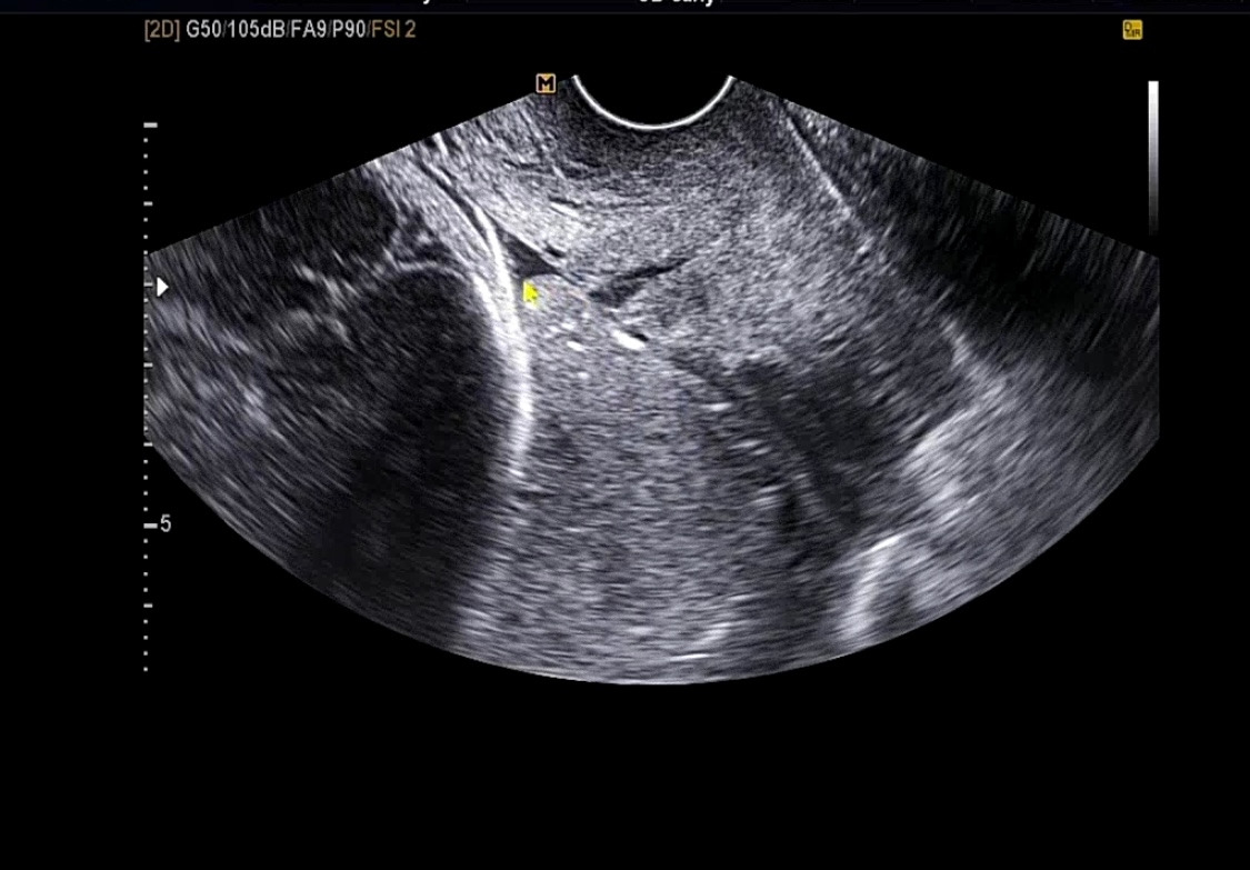
33주_태반.jpg


백일해를 맞기 위해 몇 곳의 병원에 연락을 했는지 모르겠다. 결국 못 찾았고 지인이 부천병원에서 맞았다고 알려줘서 부천까지 다녀왔다. 조금 멀었지만 아가에게 항체가 생성되려면 출산 4주 전에는 맞아야 한다고 하여 갑자기 출산 예정일이 빨라진 나로선 어쩔 수 없었다.



전치태반이기 때문에 경부 길이를 나는 질 초음파로 측정한다. 그리고 태반이 덮고 있는지 확인을 한다.

이 병원에서는 부분 전치태반이라고 하셨다. 살짝 덮고 있다고..

혹시 그사이 조금 올라간 건가? 이제 배가 살짝 나오기 시작했는데 그래서 조금 올라간 거가?라는 생각이 들었고 제발 그다음 대학병원 방문 시 산모님! 전치태반 이제 아니네요!!라는 소리를 너무너무 듣고 싶다.

그게 안되면 태반이 올라가서 부분 전치태반이에요!라는 소리만이라도...!



자궁 구석에 콕 박혀있는 다올이는 얼굴을 잘 보여주지 않았고,

잠깐 얼굴을 볼 수 있었다.


33주입술.jpg
33주얼굴.jpg
33주사이즈.jpg


그래도 잘 크고 있다는 소리에 안도감을 느끼는 시간이다.

아가를 품는다는 게, 임신을 한다는 게 생각보다 신경 쓸게 많고 조심할 것도 많고 힘들다는 것을 느끼고 있다.




소중한 다올이 심장소리 33주
소중한 다올이 얼굴


작가의 이전글엄마가 된다는 것 #14