brunch

내일 우리 아기를 떠나보내려 합니다...

소파술 전날 밤 울면서 밤새 쓴 일기

by 복주 엄마

임신 7주 차에 심장이 뛰지 않는 아기를 확인하고 계류유산 확정을 받아 내일 소파수술을 하게 되었다.


오늘은 병원에 입원해서 넓은 입원실에 나 혼자 잠 못 이루고 누워있다.


심란하고 외롭고 쓸쓸하고 슬프고 덧없는 이 밤에.. 잠시나마 우리 아가와 함께 했던 기억들을 적어본다.

아가는 가지만 나는 우리 아가를 잊지 않기 위해...


아가야 지켜주지 못해 미안해.... 더 좋은 곳에 태어나렴..




지난 12월 중순쯤 존재를 알게 됐던 우리에게는 크리스마스 선물과도 같았던 우리 첫 아가 미미..



처음 임테기 두줄 뜬 거 보고 사실 마냥 기쁘지만은 않았다. 결혼한 지 몇 개월 안돼서 좀 더 신혼을 즐기고 싶었는데 빨리 갖자는 남편한테 등 떠밀려 시작된 임신 시도..


어떻게 시도하자마자 한방에 이렇게 바로 생겼나.. 아직 임신이 좀 망설여져서 일부러 가임기도 피해서 딱 한 번만 했는데..


신혼의 끝남에 아쉬워서 좀 더 늦게 시도할걸 후회도 했지만 그래도 기쁘기도 하고 신기하기도 하고 설레기도 하면서 엽산제도 사고 비타민제도 사고 오메가 3도 사서 매일 챙겨 먹기 시작했고 태교 동화책도 사고 출산육아대백과책도 사서 남편이랑 공부하면서 행복해했다.


예쁘게 태어나라고 태명도 미미라고 지어줬다.


쑥스러워하는 남편을 졸라서 아빠가 들려주는 태교 동화책도 소리 내서 옆에서 읽게도 시키면서 즐거운 나날을 보냈다.


올해가 결혼도 하고 아기도 생긴 복 많은 해였구나 하면서 이런 행운의 해가 있었음에 감사했다.


그런데 며칠 안 있어서 속옷에 피가 비치기 시작했다. 혹시 내가 아기를 안 반기는 마음을 가져서 벌받았나 싶어 울며 후회하면서 제발 건강하게만 태어나줘 미안해 미미야를 속으로 몇 번이나 말했는지..


병원에 가니 소량의 갈색혈은 착상혈일 가능성이 높다면서 임신 호르몬 수치나 아기집 상태나 정상이라고 해서 다시 안심했다. 입덧도 조금씩 생기고 잠이 계속 쏟아져서 정상적으로 임신이 잘 됐다고 생각했다.


그런데 아주 소량이지만 멈추지 않는 출혈.. 그래도 집에서 쉬는 주말에는 좀 나았는데 직장에서 일할 때면 출혈량이 많아졌다.


결국 모성보호 시간 신청해서 출퇴근 시간을 늦추고 앞당겼는데 일이 바쁜 시즌이라 직장에서 눈치를 많이 주었다. 직장에는 미안했지만 우선 애부터 살리자 하고 신청을 고수했다.


그러던 어느 날 직장에서 일이 좀 많아서 계단도 여러 번 오르내리고 왔다 갔다 하고 조금도 누워서 쉴틈 없이(사실 임신 이후 자주 여자휴게실 가서 누워있었음) 오래 앉아서 일을 조금 많이 했던 어느 날.. 갑자기 생리 첫날처럼 많은 빨간 피가 나왔다.. 배에 통증도 생기고 너무 무서웠다.


조퇴하고 바로 병원에 갔더니 유산기가 있다고 유산방지 주사를 놔주었다. 정말 뻐근한 주사였다. 사람마다 다르다던데 나는 다다음날까지도 엉덩이 옆구리가 쑤셨다. 당일날 아픔은 말할 것도 없었고..


병원에서 절대 안정을 취하지 않으면 출혈에 아기집이 휩쓸려 사라질 수 있으니 직장에 병가를 내라고 권고해서 병가 내주기 어렵다는 직장에 우기고 우겨서 병가 신청을 했다.


그렇게 집에서 밥 먹고 화장실 가는 시간만 빼고 누워있기를 3일째..(남편이 이런 나를 병수발 하느라 진짜 고생했다ㅠ 직장 다니면서 집안일을 도맡아서 다했으니..)


직장에서 내 권한으로 꼭 처리해야 할 일이 있으니 나오라는 연락을 받아 할 수 없이 직장에 갔다. 서너 시간 정도 앉아서 일을 했는데 피가 울컥울컥 나오는 느낌이 들었다.


병원에 갔다. 진찰을 받으려고 팬티를 내리다가 엄청난 출혈량에 너무 충격을 받았다. 여태까지 중에 가장 많은 양이었다. 진찰을 받으러 산부인과 의자에 앉으러 가는 도중에도 핏물이 뚝뚝 흘러서 병원 바닥에 떨어졌다.


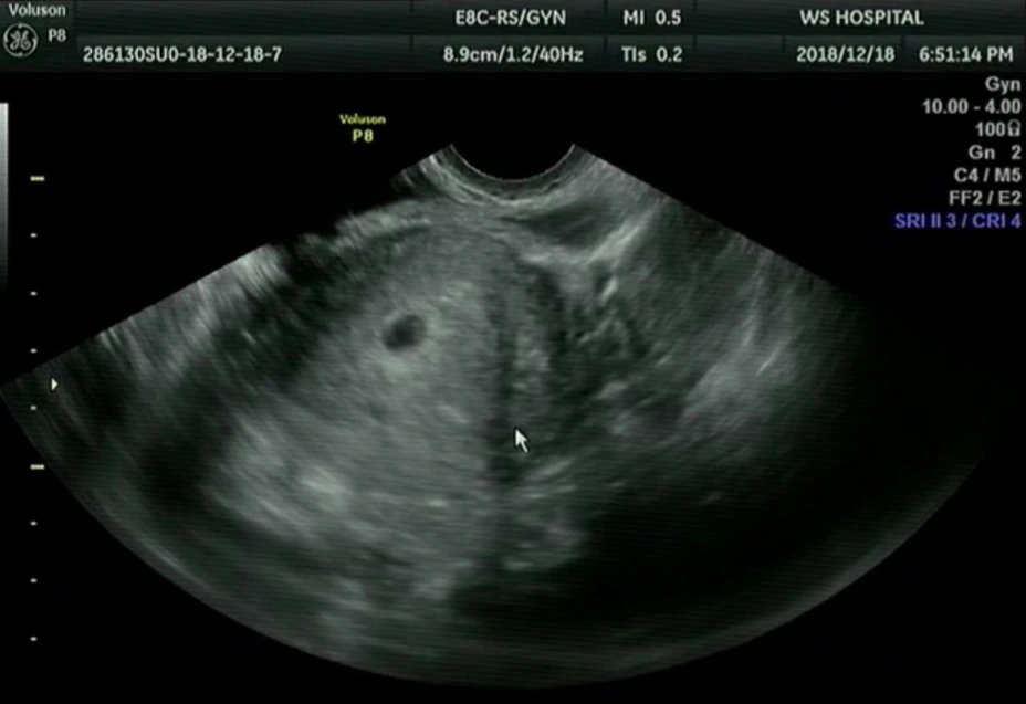
초음파로 보니 아기집도 더 커졌고 난황도 생겼고 그 전에는 안 보이던 하얀 아기 형상도 보였다.

"6주 차예요. 근데 아기 심장 소리가 안 들리네요."


청천벽력이었다. 다음 주에는 아기 심장소리를 들을 수 있고 들어야만 한다는 의사의 말을 지난주에 들었던 터라 아기 심장소리가 안 들린다는 말에 억장이 무너졌다.


"아직 너무 작아서 안 들리는 걸 수도 있어요. 유산이 진행되고 있는 중이라서 안 들리는 걸 수도 있고요. 다음 주 월요일 아침에 검사하러 오세요. 다음 주 월요일도 심장이 안 뛰면 안타깝지만 유산 확정입니다. 다음 주에는 꼭 남편분과 같이 오세요."


병원에서 집으로 가는 택시에서부터 줄줄 눈물을 흘렸다,

집에 와서는 혼자 꺼이꺼이 목놓아서 울었다. 지칠 때까지 소리 내서 울었다. 침대에 있던 강아지가 놀란 눈으로 쳐다보다가 와서 위로하듯이 핥아주었다..


그렇게 몇 시간을 울고 나니 어느 정도 마음이 진정되고 정리도 되었다. 아직 결과는 모르는 거니까 희망을 가지면서 절대 안정을 위해 계속 누워만 있었다.


그리고 마침내 월요일 아침.. 그렇다, 그게 바로 오늘이었다.


그저께 밤에는 이상한 꿈도 꾸었다. 커다란 호랑이가 와서는 내 손가락을 물고 한참을 있다가 갔다. 동물이 꿈에 나온 적이 거의 없던지라 태몽인 것만 같아서 혹시 미미가 건강하게 살아나려고 하나? 하면서 해몽을 인터넷 찾아보고 혼자 희망 느끼고 그랬다.


하지만 아무 소용없었다. 호랑이가 잠깐 손가락만 깨물었던 것처럼 미미는 잠깐만 나와 인연을 맺고 운명을 다했다.


오늘 병원에서 본 초음파에는 더 커진 듯한 아기와 전에는 못 봤던 꼬리같이 생긴 탯줄도 있었는데.. 심장이 여전히 뛰질 않았다.


의사는 담담하게 계류유산을 선언하고 하루라도 빨리 소파술을 하라고 말했다.


남편은 슬퍼하긴 했지만 나처럼 눈물을 보이거나 아주 힘들어하지는 않았고 약간은 덤덤해 보였다. 아빠와 엄마가 이렇게 다르구나 싶기도 하고 무덤덤해 보이는 남편에 조금은 서운함도 느꼈다.


"미미보다 더 건강한 애가 태어나게 될 거야."라는 남편의 말도 위로가 되지 않았다. 그 애는 미미가 아니잖아..



소파술과 약물 배출을 고민하다가 약물 배출이 좀 더 몸에 무리가 안 가고 자궁을 덜 다치게 한다는 말을 듣고 처음에는 약물 배출을 시도했으나, 출산 통증과 비슷한 자궁수축의 통증이 지속되자 너무 힘들어진 나는 결국 약물 배출을 포기하고 내일 소파술을 받기로 했다.


피검사, 소변검사, 엑스레이 등 많은 검사를 받고 자궁경부를 부드럽게 열리게 하는 질정제를 넣고 오늘 저녁부터 나는 대학병원 입원실에 혼자 누워 있게 되었다.


지금도 너무 무섭다. 수술 후 부작용은 없을지, 다음번 아기는 유산 없이 건강하게 낳을 수 있을지.. 한번 더 이런 유산을 겪는다면 더는 견딜 수 없을 것만 같은데..


건강한 아기 낳는 것을 당연하게 생각했는데 그것이 얼마나 귀하고 소중한 선물인지를 이제야 깨닫는다.


이런 아픔을 겪었으니까 다음번 아가를 훨씬 더 성숙한 엄마의 마음으로 환영하고 사랑해줄 수 있겠지..?


우리 미미... 심장도 뛰어보지 않은 우리 아가.. 잘 가렴.. 엄마가 미안해..




(2019년 1월 8일 새벽 한 시에 쓴 일기입니다.)

keyword