(난임일기) 내 속에 다른 심장이 뛰고 있었다.

첫번째 피검사 이후 일주일 동안 매일 새벽에 일어나 임신테스트기를 해보고 어제의 진하기와 비교하기를 반복했다.

인터넷에 있는 다른 사람들의 임테기 진하기와 비교하기를 수십번......

일주일 후 두번째 피검사를 했다.

9시에 피를 뽑았지만 결과는 12시에 나온단다.

12시까지 가슴 졸이며 기다리다 들은 결과는 믿을 수 없게도 2500이었다. 기준 수치보다 훨씬 높았다.

안정적으로 착상이 이루어지고 있다는 방증이었다. 순간 눈물이 핑 돌았다. 이런 결과를 듣는 날이 오는구나.

동일한 처방을 받고 다음 주에 아기집을 보러 병원에 내원하라는 얘기를 듣고 나왔다.

남편에겐 결과를 카톡으로 알렸다. 이번에 잘될거 같다고 하더니 진짜로 잘됐다며 기뻐했다.


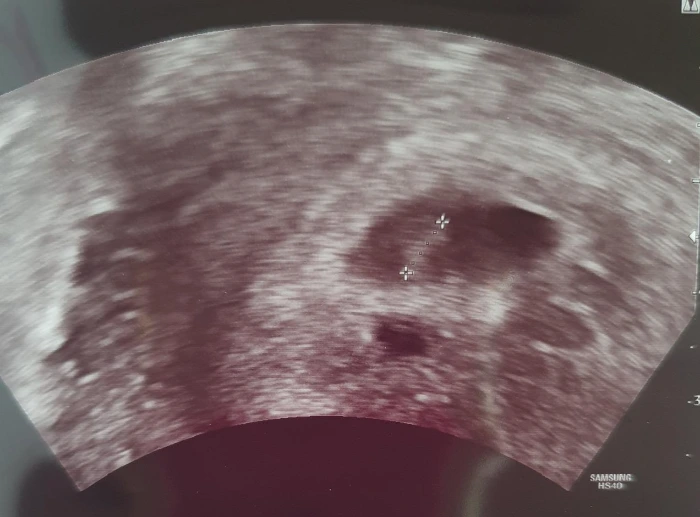
그렇게 일주일이 지나 처음으로 초음파로 반달모양의 아기집을 봤다.

사이즈도 적당하고 희미하게 작은 난황도 보인다고 했다. 난황은 계란으로 치면 노른자로 애기가 먹는 영양분이라고 간단히 설명을 들었다. 출산예정일도 나왔다. 2022년 1월 28일이란다.

믿기지가 않았다. 내년 초면 내가 엄마가 된다니......

구체적인 날짜를 듣고서도 실감이 나지 않는 이 묘한 기분이란.

그렇게 또 일주일이 지나 심장소리를 들으러 갔다.

이때가 가장 떨리고 걱정되는 날이었는데 초음파를 통해 우주 신호음 같은 소리를 듣는 순간 나도 모르게 눈물이 주루룩 흘렀다. 이게 심장소리구나......

네 작은 심장이 내 안에서 그렇게 힘차게 뛰고 있구나!

쉴새없이 깜빡이며 내게 너의 존재를 보여주고 있구나 싶었다.

그날이 임신한지 6주 3일이 되는 날이었다.

keyword
작가의 이전글(난임일기) 일곱번째 난자 채취