brunch

Ep05. 정상 분만이란 그리고 정상과 비정상이란

임신 280일, 두렵고도 설레는 특별한 여행

by 팔랑심


임신하신 분들이 하나같이 바라는 것은 아무 이상이 없는 건강한 아기를 낳는 것, 그리고 출산 때 너무 힘들게 난산이 되지 말고 순산하는 것입니다. 즉 정상적인 아기를 정상 분만하기를 바랍니다.

그래서 오늘은 임신부들을 위하여 정상 분만이란 무엇인지, 임신 중이 아니신 분들을 위하여는 의학에서 정상이란 무엇이고 비정상 혹은 질병이란 무엇인지에 대한 내용을 간략하게 다루려고 합니다.


--당신은 정상입니까?--


normal.jpg

누군가 여러분에게 "당신은 정상입니까?" 하고 묻는다면 어떨까요? 아마 조금 당황스럽게 느껴질 것 같습니다. 신체 상태를 묻는 것인지 감정 상태를 묻는 것인지 아니면 경제 상황을 묻는 것인지 등 어떤 점에서 묻는 질문인지 이해하지 않는다면 대답하기 곤란할 것입니다. 그리고 무엇에 대한 정상이건 간에 정상이란 것에 대해 조금 깊이 생각하자고 들면 과연 정상이란 것이 무엇을 의미하는지 혼란스럽기도 할 것입니다. 과연 나는 정상인가?


신체적으로 정상적인 것. 즉 건강에 대하여 세계 보건 기구 (WHO)에서 정한 정의는 다음과 같습니다.

"건강이란 단순히 질병이나 장애가 없는 상태뿐만 아니라 신체적으로, 정신적으로, 사회적으로 양호한 상태"

양호하다는 말은 또 어떤 것을 말하는 것일까요? 정의가 너무 애매모호하기 짝이 없습니다.


--의료 분야에서 비정상의 기준 --


pixabay-bp.jpg

그렇다면 의료 분야에서 비정상의 기준은 어떻게 정할까요? 염색체 이상에 대한 위험도를 보는 기형아 검사는 270 분의 1이 기준선입니다. 양수 검사로 인한 파수 위험은 200 분의 1이므로 그보다 약간 높은 지점을 기준선으로 정했을 것으로 추정합니다. 자궁암 검사에서는 경부의 세포 중에 암세포나 이형 세포가 관찰되는 경우를 비정상으로 진단합니다. 이렇듯 정상의 기준은 병마다 천차만별이지만 대충 분류를 나누면 다음과 같습니다.

ㄱ. 전체 집단에서 특정 범위로 양극단일 경우

ㄴ. 컷 오프 (Cut Off) 선을 넘었을 경우

ㄷ. 특정 물질이나 세포가 관찰되는 경우

ㄹ. 생활에 불편을 끼치거나 생명을 위협하는 경우


물리학에서 자연계의 4가지 힘인 중력, 전자기력, 약력 그리고 강력 등 우주에 존재하는 모든 양식의 힘을 같은 공식으로 설명할 수 있는 통일장 이론이 아직 발견되지 않은 것처럼 의학에서 모든 질병 혹은 이상을 하나의 잣대로 설명하는 것도 아직 불가능한 일입니다.


--방광염의 진단--

비정상의 진단을 통해 정상으로 정하자고 하는 사람도 있으며 이런 생각으로 정상이 무엇인지가 더 모호해졌다고 주장하기도 합니다.

여성들에게 흔히 생기는 방광염은 배뇨통이나 빈뇨 같이 생활을 불편하게 하는 증상이 나타나는 질병입니다. 방광염의 진단은 소변 균 배양 검사를 하여 세균이 증식하는 것을 확인하거나 혹은 소변 검사에서 염증 세포가 한 고배율 시야에서 5 개 이상 발견될 때 내립니다.



pyuria.jpg

보시는 사진은 방광염 환자의 소변 검사의 현미경 사진입니다. 진하게 보이는 동그란 것들이 염증 세포인 임파구로 한 화면에 10개 이상 보입니다.

염증 세포가 전혀 발견되지 않는 경우는 당연히 방광염이 아닙니다. 그럼 염증 세포가 3개 혹은 4개가 발견된다면 무엇일까요? 방광염이 아닙니다. 4개는 방광염이 아니고 5개는 방광염이라는 것이 선뜻 이해가 가시나요? 이렇듯 질병의 진단 기준이라는 것은 절대적인 것이 아니며 변화될 수 있습니다. 고혈압 같은 경우는 시대에 따라서 그 기준이 달라지기도 합니다.


이런 혼란은 특히 정신과 영역에서 많이 생깁니다. 그래서 정신과 의사들이 정상이라는 것에 대하여 쓴 책들이 종종 있습니다. 미국의 정신과 의사인 오퍼(Daniel Offer)와 샙신(Melvin Sabshin)이 1984년에 출간한 "정상성과 인생주기(Normality and the Life Cycle)" 이라는 책도 그중 하나입니다. 저는 직접 읽어 보지는 못하였고 다른 정신과 선생님의 글에서 내용을 참고하였습니다.


--정신과 의사가 본 정상성의 기준--

그들은 정상성을 다음의 4가지 관점에서 분류하였습니다.


ㄱ. 건강으로서의 정상

ㄴ. 평균으로서의 정상

ㄷ. 과정으로서의 정상

ㄹ. 유토피아로서의 정상


각각에 대하여 조금 부연 설명을 하자면 다음과 같습니다.


ㄱ. 건강으로서의 정상

이 관점은 질병의 유무에 따라 질병이 없는 건강한 상태를 정상으로 판단하는 방법입니다.

즉 있어야 할 것이 있고, 없어야 할 것은 없을 때가 정상이라는 것입니다. 각종 악성 종양이나 사고로 인한 손상 등 많은 의료 분야의 비정상이 이 범주의 기준을 따릅니다.


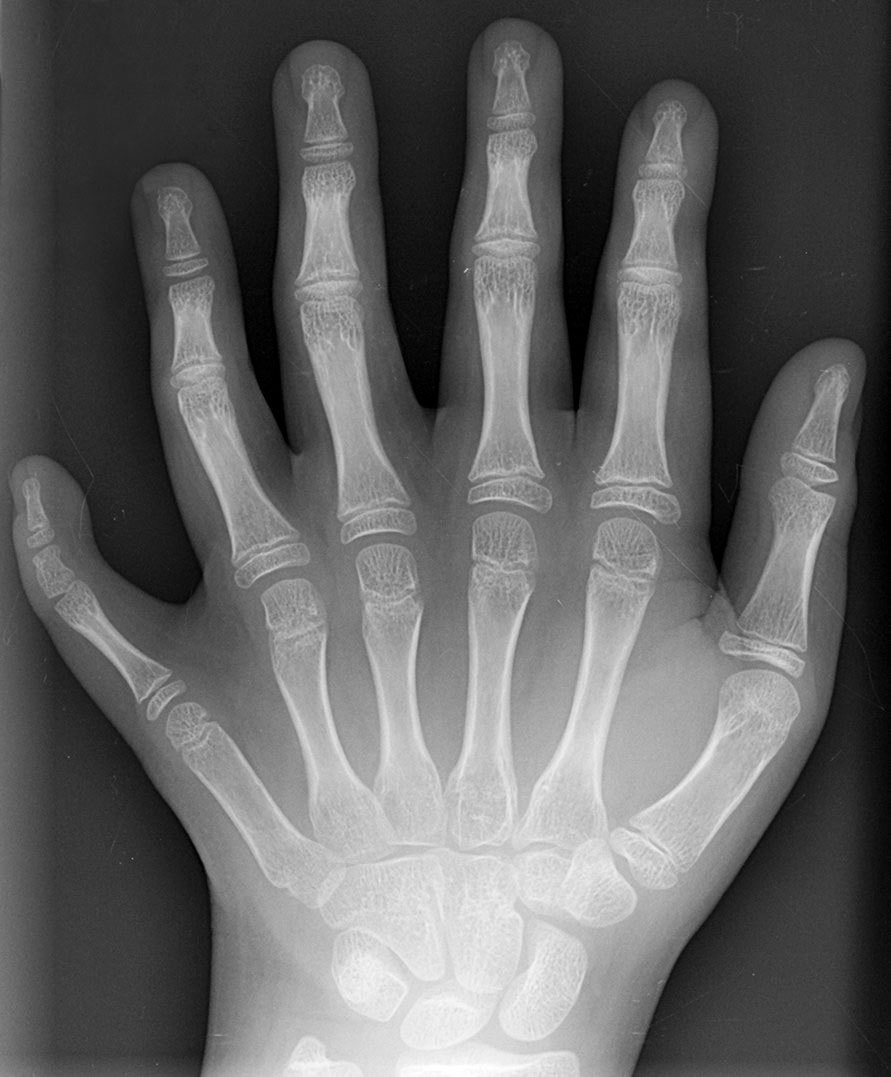
wiki-polydactyly.jpg

산부인과 관련해서는 구순열, 다지증 등 선천성 기형을 비정상으로 진단하는 기준입니다. 이런 기준점은 있고 없고라는 분명한 잣대가 있기 때문에 정상과 비정상에 대하여 구분하기가 그리 어렵지는 않습니다.


ㄴ. 평균으로서의 정상

인간의 행동, 발달, 신체적 정신적 능력 등 여러 가지를 통계를 내어 보면 종 모양의 정규 분포 곡선을 그립니다. 이 관점은 정규분포 곡선에서 어디에 위치하는가 하는 점으로 정상과 비정상을 가르는 방법입니다. 양극단에 속하는 것을 비정상으로 간주하고 중간 부분을 정상으로 판단하는 방법입니다.


의학 분야에서 적용해 보았을 때 고혈압이나 비만을 정하는 것이 이런 기준을 적용한 것입니다.

문제는 이 방법의 경우 경계선이 애매하다는 점입니다. 이 관점에서는 정상과 비정상이 연속선상에 있기 때문에 한 지점에서 분명하게 구별할 수 있는 기준점이 없습니다.

저체중아와 과체중아의 진단 기준은 이런 관점에서 판단하는 것입니다. 출산 시 아기 체중이 해당 주기의 하위 10% 정도 지점인 2.5kg 이하면 저체중아, 출산 시 체중이 해당 주기에서 상위 10%를 차지하는 경우 과체중아라고 하며 만삭일 경우 보통 3.8kg 정도입니다. 그러나 아기 체중이 2.49kg인 경우나 아기 체중이 3.81kg인 경우 과연 정상 체중 아기들과 예후가 많이 차이가 날까요?


ㄷ. 과정으로서의 정상

이 관점은 생애 발달 과정에서 보이는 소견이 적절한지 여부로 정상 비정상을 구분하는 방법입니다. 연령별로 기대하는 일을 잘 해내면 정상으로 보고, 제대로 하지 못한다면 비정상으로 본다는 관점입니다.

산부인과적으로는 8세 (여아) 혹은 9세 (남아) 이전에 이차 성징이 나타나는 성조숙증, 40세 이전에 월경이 완전히 끝나는 조기 폐경, 그리고 임신 37주 전에 출산이 되는 조산이 이런 관점으로 보았을 때 비정상이라고 할 수 있습니다. 즉 그 자체로는 정상 비정상을 가를 수 없지만 또래에 비하여 너무 일찍 성적 발달이 되거나 일정 시점보다 일찍 진통이 오면 비정상으로 보는 것입니다.


ㄹ. 유토피아로서의 정상

제일 애매한 판단 기준을 가지고 있는 정상과 비정상의 판단 관점입니다. 다양한 정신적 요소들이 통합되어 최적의 기능을 발휘하는 상태가 정상이라는 관점입니다. 말하자면 이상적인 것이 정상적인 것이라는 관점입니다.

이는 정신과학적으로 적용할 수 있을만한 관점이지만 그 외 신체를 다루는 의학 분야에 적용하기는 어려운 기준입니다.

다만 임신과 출산을 바라보는 자세에 있어서는 적용해 볼만하다고 생각합니다. 임신과 출산을 긍정적으로 바라보는지 혹은 부정적으로 바라보는지에 따라 결과와 대응이 모두 상당히 달라질 수 있습니다. 다만 부정적으로 바라보았다고 해서 꼭 비정상으로 보기는 어려운 점이 있습니다.


정상과 비정상의 혼란스러움 그리고 정상과 비정상을 구분하는 것의 의미에 대하여는 역시 정신과 교수인 조던 스몰러가 지은 "정상과 비정상의 과학"이라는 책에 있는 내용을 참고해 보면 좋을 듯싶습니다. 책의 내용을 일부 발췌하여 봅니다.


pixabay-evening-ocean.jpg

"정상과 비정상은 낮과 밤의 관계와 비슷하다.

즉 양쪽 모두, 누구나 서로 다르다고 인지하는 두 가지 상태를 의미심장하게 묘사하고 있다. 그런데 이 두 상태 사이의 경계를 뚜렷하게 구분하기란 불가능하다. 정확히 낮은 언제 밤이 되는가? 물론 일몰 때로 하자고 결정할 수도 있다. 일몰은 낮과 밤을 구조적으로 분리할 수 있는 시간대이며, 그렇기 때문에 특별한 순간이다. 하지만 이는 분명 어느 정도 임의적이다. 그럼에도 불구하고, 우리 모두는 낮과 밤을 뚜렷이 구분하는 게 의미 있고 현실적이라고 동의한다. 인간은 낮과 밤을 중심으로 삶의 일정을 잡는다. 즉 낮과 밤을 기반으로 계획을 짜는 것이다. 하지만 우리는 어느새 낮이 밤이 되는 순간에 대해 좀처럼 걱정하지 않는다. 황혼이 주는 흐릿함을 편안하게 여기기 때문이다.

정상과 비정상, 또는 장애와 비장애를 구분하는데도 이와 똑같은 원칙이 적용된다. 어떠한 장애라도 구체적으로 규정지으려면 신중한 판단이 있어야 한다. 하지만 이 말이 장애가 단순한 허구임을 뜻하지는 않는다. 사람들에게 해를 입히고 고통스럽게 하는 증상을 발견하는 것은 분명 가치가 있다.

즉 우리는 증상 발견을 통해 치료법을 개발할 수 있고 질병을 예측할 수 있으며, 심지어 질병을 예방할 수 있는 전략을 세울 수 있는 것이다."


--정상 분만의 기준--

정상과 비정상이 어떤 의미인지 하는 것을 아셨을 것으로 생각합니다. 그럼 이제 처음으로 돌아가서 의학적으로 정해 놓은 정상 분만의 기준은 무언지 알아보겠습니다.

정상 분만이라고 하려면 다음의 몇 가지 기준을 만족해야 합니다.

ㄱ. 제태 기간: 37주 0일부터 41주 6일까지

ㄴ. 흡입기, 겸자 등 출산 보조 도구를 사용 안 함

ㄷ. 수술적 분만법이 아닌 질식 분만


영어로는 자연 분만은 Normal Full term Spontaneous Vaginal Delivery라고 합니다. 약자로는 NFSD 혹은 NSVD라고 합니다. 여기서 노말이라는 의미는 질로 낳았다는 의미이고 풀텀은 말 그대로 정상 출산 기간에 포함되었다는 의미, 스폰테니어스는 기계적 분만을 하지 않고 전적으로 산모의 힘으로 출산했다는 의미입니다. 유도분만 촉진제의 사용 여부는 사실 정상 분만의 기준에는 포함되어 있지 않지만 엄밀한 의미에서는 유도분만 촉진제와 같은 약물의 사용도 정상 분만을 가르는 기준에 포함이 되어야 할 것입니다.


ㄱ. 조산 (preterm)

ㄴ. 지연 임신 (postterm)

첫 번째 제태 기간과 관련하여 일찍 낳는 것은 조산, 늦게 낳는 것은 지연 임신이라고 합니다. 조산의 경우 출산 예정일 기준에서 3주 전인 37주 이전으로 정해 두고 있는 것은 원래 마지막 생리 시작일을 기준으로 출산 예정일을 정하고 초음파로 예정일이 맞는지 확인을 하지만 어느 정도 오차가 있기도 하고 또 사람마다의 개인적 차이가 있어서입니다.

뒤로 2주까지를 정한 것은 조산보다 지연 임신의 경우 태아 돌연사 문제 등으로 조산보다 아기에게 더 위험성이 높은 경우가 많아 많이 경과하지 않도록 하는 의미로 그렇게 정했을 것이라 생각합니다.

요즘은 노산으로 인한 조산이 상당히 늘었으며 조산에 대하여는 차후 좀 더 자세히 말씀드릴 기회가 있을 것입니다.


forcep.jpg

흡입기나 겸자의 사용은 각각 흡입 분만, 겸자 분만이라고 하는데 기구를 이용한 분만법이라고 부릅니다. 이 둘은 질식 분만의 한 방법이기는 하지만 자연 분만이라고 하지는 않습니다.

ㄱ. 흡입 분만

ㄴ. 겸자 분만


정상 자연 분만과 가장 대척점에 있는 것이 제왕절개입니다. 그러나 항상 정상 분만이 낫고 제왕절개가 나쁜 것은 아닙니다. 또한 자연 분만을 할 수 있음에도 제왕절개가 더 안전한 분만법이라고 생각하고 선택하는 분들도 있는데 그것도 잘못된 생각입니다.

정상적으로 잘 진행이 되어 자연분만을 하던 혹은 기구의 도움을 받는 분만법을 택하든 아니면 제왕절개를 하던 각각의 경우들에서 생길 수 있는 위험과 그 선택으로 하여 얻는 이득을 잘 감안하여 결정해야 합니다.


출산 과정이 정상인지 아닌지 따지는 것은 낮과 밤의 경계를 따지는 것보다 훨씬 중요합니다.

비록 정상 분만과 그렇지 않은 경우의 경계는 정신과학의 영역만큼이나 모호한 것은 사실입니다. 조산이라고 정의한 기준에 속했다고 하여 아기가 폐성숙이나 기타 발달에서 다 문제가 되는 것이 아니며 조산이 되지 않고 태어난 아기라고 해서 폐성숙을 포함하여 발달에 아무 문제가 없는 것이 아닙니다.

과거에는 조산통이 올 경우 임신 36주까지 태아를 자궁 내에서 유지시키기 위해 각종 약물을 투여하여 진통을 억제하곤 했습니다. 그러나 지금은 어느 정도 발육이 되었다 싶으면 무리하게 자궁 내에서 유지하기보다 출산을 시켜서 인큐베이터에서 키우는 방법을 택합니다. 그 이유는 조산통이 온 원인이 자궁 내 감염을 포함하여 다양한 원인이 있는데 그 원인이 무엇인지 모르는 채로 자궁 내에 태아를 머무르게 하는 것은 태아의 건강 측면에서 위험할 수도 있기 때문입니다. 어쩌면 앞으로는 조산의 기준 시점이 37주에서 더 아래로 내려갈 수도 있을 것입니다.

그렇게 정상을 정해두면 비정상 과정에 속한 경우로 판단되었을 때 아무것도 하지 않는 것에 비하여 결과적으로 훨씬 더 적절한 조치를 취할 수 있습니다.


그러나 사람의 몸은 개인차도 있고 임신 중의 어느 시기인지 등 처한 상황에 따라 이런 선택이 나을 수도 있고 저런 선택이 나을 수도 있습니다. 모든 경우에 오직 한 가지만이 정답이라고 생각하는 것은 의료 분야에서는 매우 위험합니다.

또한 정상과 비정상의 기준도 절대적인 것이 아닙니다. 시대에 따라서 달라지기도 하고 개인 내에서도 달라지기도 합니다. 의학 분야에서의 판단은 수학처럼 영원불변의 확고한 기준에 바탕을 둔 것은 아닙니다. 또한 정상이란 옳은 것이고 비정상이란 틀린 것이라는 생각을 가지는 것도 위험합니다. 정상 분만을 하면 좋지만 정상 분만 이외의 경우에 해당하게 되었다고 잘못된 것이 아닙니다. 그 상황에서는 그 선택이 임신부와 아기를 위해 최선의 선택이며 잘한 결정입니다.


생물의 진화 과정을 보고 있자면 그리고 사람의 임신과 출산의 과정을 보고 있자면 그 오묘한 섭리와 기가 막히도록 잘 조화된 발달 과정이 놀랍기만 합니다. 정상 분만시의 진행 과정도 그렇고 난산 시의 여러 가지 개입 방법들도 그렇고 임신과 출산은 정말 알수록 오묘하고 신비롭기만 합니다. 그리고 그런 과정을 묵묵히 수행하는 모든 어머니들의 노고가 존경스럽기도 합니다.


오늘은 정상 분만과 정상과 비정상의 구분에 대하여 말씀드렸습니다. 모든 임신부들의 순산과 그리고 임신부였던 분들의 안녕을 기원합니다.


keyword
작가의 이전글Ep04. 산전진찰 방문 시기, 적정진료, 과잉진료