brunch

본업이야기 두번째, 디스크 수술

by 박지용


30대 초반 젊은 남자분이 진료실로 들어오는데 다리를 절뚝이면서 오십니다.

저는 척추 위주로 진료를 보기 때문에 이런 분들은 대부분 디스크 때문에 오신거죠.

특히 젊은 분들이 방사통으로 제대로 걷기도 힘들어하시면 수술까지 필요한 경우가 많습니다.

(방사통 없이 허리만 아픈 분들은 수술 필요 없는 경우가 많습니다)


엑스레이 찍어보고, 문제 있어보이는 부분을 손가락으로 가리켜드리며 여기가 문제인거 같다

설명드리고 이어서 진행한 MRI 영상을 보니 터져나온 디스크 양이 굉장히 많습니다.


양이 적당히 많으면 통증주사나 아니면 시술로 해결해보자고 말씀드리는 편입니다.

하지만 신경이 꽉 낄 정도로 디스크 파열이 심하신 분들은

주사도 소용이 없고 시술까지 해도 며칠 괜찮다가 다시 아프셔서 수술하는 경우가 대부분입니다.


이 분께도 수술을 권유드렸고 생각 좀 해보겠다 하시면서 퇴원하셨습니다.

그리고 바로 다음날, 너무 아파서 잠도 못 주무셨다며 수술 원하신다고 말씀하셔서 내원 다음날 오후 바로 수술 진행했습니다.

massive_disc_3.png?type=w386
massive_disc_2.png?type=w386
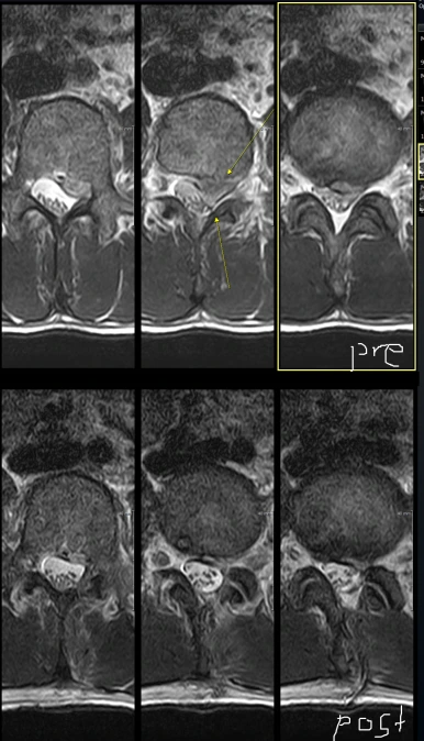
위에 사진 5장은 수술 전, 아래 5장은 수술 후입니다.



massive_disc.png?type=w773

내시경 보면서 터져나온 디스크를 제거하는 모습. 반짝거리는 금색 물질은 지방, 디스크 위 혈관이 덮인 밝은 핑크색 막은 신경과 뇌척수액을 담고있는 경막입니다. 사진 상방이 medial(내측, 가운데 쪽), 좌방이 cranial(머리 쪽). 30도 내시경으로 찍은 사진. (환자분 동의 받았습니다)


내시경으로 보면서 수술 깔끔하게 진행되었고, 디스크는 거의 다 제거되었습니다.

디스크가 up migrated 되어있어서 뼈를 많이 갈아낼 수도 있다고 생각되었는데 (hemilaminectomy 가능성) 지난번처럼 30도 내시경 덕분에 손상부위 거의 없이 안전하게 수술 진행됐습니다.


MRI 좌측 axial 영상 보시면 facet이 거의 온전히 보전된걸 볼 수 있습니다.

수술 전 항상 합병증 설명하면서 '불안정성'에 대해 말씀드리는데 이 정도로 손상을 줄이면 합병증 가능성이 굉장히 줄어듭니다.


수술 전에는 걷지도 잠들지도 못할 정도의 좌하지 방사통을 호소하셨는데, 수술 후에 통증 거의 다 좋아지셨습니다. 잠도 잘 주무시고, 걷기도 잘 걸으십니다. 약간 저린 느낌, 가끔 찌릿한 느낌이 남아계신 상태셔서 통증 주사 한두차례 더 진행할 예정입니다.


출혈량도 많지 않으셔서 입원 2일만에 퇴원하셨습니다. 불안정성 등 가능성이 낮아 합병증 발생은 거의 없을걸로 생각되고요. 다만 디스크가 재파열되는 경우는 수술여부와 관련 없이 5~10%에서 있을 수 있습니다. 관리 잘 하셔야한다고 설명드렸습니다. 이번엔 내시경 사진도 찍었는데, 개인 SNS에 올려도 괜찮을지 여쭤보니 괜찮다고 흔쾌히 동의해주셨습니다.


서전이 서전 나름대로 고충이 있긴 하지만 수술하고 드라마틱하게 좋아지는 케이스가 많아서 보람도 많은것 같습니다.




keyword
작가의 이전글본업 이야기