brunch

31살 레지던트가 60대 보호자에게 화를 낸 이유.

"어머님 수술은 하면 안 됐어요. 그런 질문은 대체 왜 하시는거예요?"

by 박지용


원제

"어머님 수술은 하면 안 됐어요. 그런 질문은 대체 왜 하시는거예요?"

2020.12.15.




'선생님 고맙습니다. 정말 고맙습니다'


서로 모르는 열명의 사람들이 어색하게 서있는 엘레베이터 안에서, 60대 중반 백발의 호리호리한 신사가 눈물을 펑펑 흘리며 30대 초반인 내게 허리 숙이며 말했다.


인생을 살다보면 마지막까지 최선을 다하지 못했음에 죄책감을 느낄 때가 있다. 그 대상이 내가 아니라 사랑하는 사람이라면 죄책감은 더욱 크다.







신경계중환자실에 입원 중이던 할머니가 있었다. 의식을 잃은 80대 후반 백발의 할머니. 정갈한 외모로 의식을 잃기 전까지만 해도 말짱한 모습이었을게 상상됐다. 자발성 뇌출혈이 심했고, 응급실에 도착했을 때는 이미 의식이 없었다. 내가 할머니를 보기 전에 응급의학과에서 이미 센스있게 기관삽관을 해놓은 상태였다.


출혈량이 너무 많았다. 뇌수술 적응증에 해당됐다. 두피와 두개골을 잘라내 뇌내출혈을 제거하는 수술. 하지만 가망이 없었다. 수술해도 의식이 돌아올 확률은 없었다. 이미 뇌사에 가까웠기 때문이다.


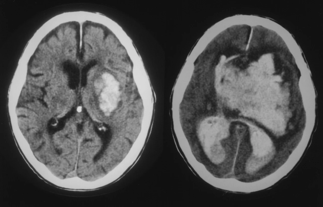
hs1053258001.jpeg 자발성 뇌출혈의 CT 영상. 우측 사진 정도면 수술해도 의식이 돌아올 가능성이 거의 없는데, 할머니는 더 심했다. 출처는 AHA Stroke 저널의 오리지널 아티클.


'ㅇㅇㅇ님 보호자분?' 보호자 대기실에서 초조하게 앉아있는 수십명의 어른들에게 외쳤다. 곧바로 너댓명 중후년의 보호자들이 벌떡 일어나 놀란 모습으로 내게 뛰어오며 물었다. '선생님, 저희 어머님은 괜찮으신가요?'


가망이 없다는 말을 해야했다. 솔직히 나는 별로 동요하지 않는다. 가망없는 수백명의 환자들을 봐왔기에. 하지만 내게는 충격받은 보호자들의 마음을 달랠 의무가 있었다.


'자발성 뇌출혈입니다. 어머님은 원래 괜찮으셨나요?' '네. 말도 잘하고 식사도 잘 하고 산책도 다니셨어요'


환자가 원래 치매였거나 보호자들과의 관계가 나빴으면 굳이 설명에 힘쓰지 않아도 된다. 하지만 보호자들의 표정과, 할머니의 이전의 상태로 미루어모아 할머니가 가망이 없다는 사실은 보호자들에게 큰 충격일 것임이 분명했다.


'저도 이런 설명 드리는것을 좋아하지는 않으나 .. 마음의 준비를 하셔야할것 같습니다. 뇌출혈이 아주 심합니다. 수술을 해도 가망이 없습니다. 수술은 두피와 두개골을 잘라내고 뇌내혈종(핏덩이)를 제거해서 뇌압박을 풀어주는 수술입니다. 하지만 어머님은 뇌손상이 이미 심해 뇌압박을 풀어주는게 의미가 없습니다. 수술을 무조건 하시겠다면 진행하겠습니다. 하지만 추천하지 않습니다. 제 가족이면 절대 수술하지 않을겁니다.





오랜 설명과 상의 끝에 너댓명 중후년의 보호자들은 수술을 안 하기로 결정했다. 할머니는 신경계중환자실로 이송되었고, 약물치료를 시작했다. 여명은 2주 정도로 예상되었다.


그러고 며칠뒤 중환자실 면회가 끝난 오후였다. 보호자들 설명을 마친 나는 엘레베이터에 탔고, 그 곳에서는 여러명의 보호자들이 같이 서있었다. 그런데 바로 옆에 서있던 60대 중반쯤, 코트 입은 호리호리한 백발의 신사가 내게 말을 걸었다. '선생님. ㅇㅇㅇ환자 보호자입니다. 뭐 하나만 여쭤봐도 되겠습니까?'


환자들이 워낙 많았기에 보호자들의 얼굴은 기억할 수 없다. 하지만 환자의 이름을 듣는 순간 응급실에서 설명했던게 떠올랐다. 아, 그 할머니? 가망이 없어서 내가 수술하지 말자고 했던 그 분?


'네 어떤게 궁금하세요?'


신사는 바로 대답을 못하고 머뭇거렸다. 얼굴이 새빨갛게 상기되었다. 이내 곧 입을 열었다.


'어머님을 정말로 수술 안 하는게 맞았을까요? 그래도 마지막까지 최선을 다 해서, 수술을 하는게 맞는건 아니었을까요?'


이 분은 죄책감을 느끼고 있다. 아주 강한 죄책감. 사랑하는 어머니를 떠나보내는 길에 끝까지 최선을 다하지 못한게 아닐까 하는. 나에게는 의식잃은 할머니이지만 이 신사에게는 그렇지 않다. 젖먹이시절 20, 30대의 젊은 모습. 같이 밥먹고 웃고 소풍가고 아들인 자신을 사랑하던 어머니이다. 그런 어머니를 수술도 안 해보고 떠나보낸다는데 죄책감을 느끼고 있는 것이다.


이런 보호자에게는 말을 세게 해야한다. 수술을 할 수도 있었다는 말은 하면 안 된다. 안그래도 빨개진 얼굴, 죄책감이 강한데 그 죄책감이 더욱 커지기 때문이다. 대답은 단호하게 해야한다. 동시에 까칠하고 날카롭게.


'보호자분. 제가 응급실에서 설명드린거 기억 나시죠? 어머님 수술 하시면 안 돼요. 왜 그런 말씀을 하세요? 수술을 왜 해요?'


내가 말한건데도 순간 당황했다. 말을 너무 세게 했나? 보호자가 화내는건 아닐까? 하지만 반응을 보니 그런 걱정할 필요는 없는 것이었다.


내 대답을 듣자 보호자는 상기된 얼굴이 더 빨개지며, 은근히 커다란 눈에 눈물이 맺히기 시작했다. 맺힌 눈물은 바로 굵은 물줄기가 되어 줄줄 흘러내리기 시작했다. 이어 목이 메이는 목소리로 내게 대답했다.


'선생님. 감사합니다. 정말 감사합니다.'


죄책감을 도려내는데 성공했다. 열명 넘는 사람들이 옹기종기 서있는 그 작은 엘레베이터에서 보호자는 감사하다며 한참 어린 내게 연신 허리를 숙였다. 송구스러운 마음에 나도 가볍게 허리를 숙였다. 내 설명이 조금이라도 위안이 되었기를 바라면서.


할머니는 1주일 뒤에 사망하셨다. 그 때 나는 오프였고 사망선고는 2년차 선생님이 했다. 마지막 자리를 함께하지 못 했기에 그 보호자는 다시 만나지 못했다.



keyword
매거진의 이전글신은 당연히 없는거잖아?