brunch

간에 생기는 흉터

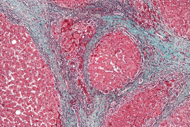
알코올성 간흉터(alcohol liver scar)

by 이정욱 교수
간에 생기는 흉터는 섬유증을 말한다.


누구나 크던 작던간에 흉터 하나쯤은 가지고 산다.

우리 몸은 상처가 생기면 스스로 치료를 하는 과정에서 흉터를 남긴다.

몸속의 장기도 같다.

특히, 간은 외부 상처(만성 알코올 섭취로 인한)에 반응하여 흉터를 남기는데
간에 남는 흉터는 '섬유증' 형태로 나타난다.


간에 남는 흉터(섬유증)는 만성 알코올 섭취로 인해 발생한 간 손상 결과 중 가장 심각하다.

간 섬유증은 가역적(다시 본래의 상태로 돌아갈 수 있지만)

진행성 알코올성 간 손상이 지속되면 비가역적인(본래 상태로 돌아갈 수 없는) 간경변증이 발생한다.


간경변증은 간을 가로지르는 섬유 띠가 수축하여 간경변의 특징인 간 구조의 심각한 왜곡을 초래한다.

섬유 띠 수축의 결과로 간의 크기가 줄어들고,

기능이 손상되어 혈류가 방해되며

약물과 이물질을 해독하는 화학적 분해 능력이 감소하며 단백질 합성이 손상된다.
간의 이러한 변화는 '간부전'을 초래하며 결국 간 이식을 대기해야 하는 상황이 벌어지게 된다.


간에는 '성상 세포'라는 특수 세포가 있는데

이 세포는 비타민 A를 저장하는 저장소 역할을 한다.


간이 회복할 수 있는 범위를 넘어서는 만성적인 알코올 섭취는

성상 세포가 활성화되는 과정을 거치게 되며 세포의 구조와 기능이 큰 변화가 발생한다.

활성화된 성상세포는 간 흉터를 만드는 주요 인자가 된다.


간에 지속적으로 반복되는 상처와 축적된 흉터는

간 기능 저하에 직접적 영향을 미치게 된다.

따라서, 알코올로 발생한 간 문제, 간 섬유증은 성상세포 활성화를 유발하는 원인을

억제하거나 제거함으로써 치료와 예방이 가능하다.

2024-05-19_11-20-01.jpg 빨간색 : 정상조직, 회색 : 간섬유화 조직



간에 흉터를 남기는 유형은 알코올만 있는 것은 아니다.

바이러스형 간염, 간에 독성을 일으키거나 부담을 주는 약물(메토트렉세이트)도

간섬유증을 남긴다.




알코올로 인한 간 섬유증은 한두 번 마셨다고 발생하는 건 아니다.

수개월에서 수 년동안 서서히 진행되며,

술을 많이 마시는 사람의 10~15%만이 알코올성 섬유증에 걸린다.

게다가 유전적 결정 요인과 보조 인자 모두 영향을 미친다.



http://link.inpock.co.kr/kwine911


keyword
작가의 이전글오줌발