brunch

[수의사가 보는 동물 캐릭터] 리그오브레전드 탐켄치

by 삼삼한 수의사



001.png?type=w1





선생님들, 안녕하세요! 삼삼한 수의사입니다. 이번 포스팅에서는 현재 한국에서 어쩌면 전 세계에서 가장 인기가 많은 리그오브레전드라는 게임을 건드려 보았습니다. 얼마 전에 젠지 e-sports 팀이 MSI(Mid-Season Invitational) 대회를 우승했죠. 그래서 영감을 받은 저 삼삼한 수의사는 서포터 포지션에서 사랑받은 동물 챔피언을 분석하기로 했습니다. 바로 탐 켄치라는 캐릭터인데요. 탐 켄치는 룬테라의 수로를 타고 다니며 순진한 자들을 구슬려 잡아먹는 강의 폭군이라고 합니다. 탐 켄치는 긴 수염이 있어서 메기처럼 보이고 두꺼비처럼 보이기도 하는데요. 우연히 탐켄치와 닮은 동물을 찾다가 강의 폭군, 강의 괴물과 비슷한 이미지를 가진 한 동물을 찾았습니다. 자 과연 탐 켄치에 어울리는 동물은 뭘까요?





TahmKench_0.jpg?type=w1 강의 폭군 탐 켄치.




탐 켄치는 군치(Goonch) 메기일 것이다.





002.png?type=w1

사실 고민 많이 했습니다. 탐 켄치가 메기, 두꺼비 둘 중 어느 동물로 정하고 가는 게 맞는지 말이죠. 하지만 긴 수염을 보고 저는 메기로 우선 가닥을 잡았습니다. 두꺼비보다 메기가 훨씬 더 크게 성장할 수 있기도 하고 수염이 있으니 메기가 더 어울리다고 판단했죠. 하지만 하나의 문제점을 찾았죠. 일반적인 메기는 이빨이 발달하지 않고 사포처럼 되어 있는 것이 특징입니다. 그런데! 이빨이 발달한 메기가 있으니 바로 군치(Goonch)라는 메기입니다.




Giant-Catfish.jpg?type=w1 디스커버리 채널에서 방영하는 "리버 몬스터즈"에 나온 군치




군치라는 메기는 최대 2m에 90kg에 이를 수 있는 초대형 메기입니다. 워낙 커서 Giant devil catfish(거대악마메기)라고도 합니다. 어떠신가요? 악마라고 불리는 탐 켄치와 굉장히 어울리지 않나요? 그리고 군치는 다른 메기와는 다르게 이빨을 가지고 있어 탐 켄치와 너무 닮았습니다. 군치는 작은 물고기와 새우 등을 먹고산다고 하는데 일부에서는 작은 물소나 사람까지도 삼키기도 한다고 합니다. 낚시를 하다가 군치에 의해 강으로 끌려간 경우도 종종 있다고 할 정도로 힘이 좋다고 합니다. 강의 폭군 이미지 와도 어울릴 정도로 무서운 외모와 덩치를 가진 군치가 탐 켄치와 가장 어울린다고 봅니다.




SE-d69d2659-91fb-422a-94f4-a5c3d3b63895.jpg?type=w1


탐 켄치는 인도 출신일 수도 있다.




003.png?type=w1


앞서 탐 켄치는 군치 메기라고 말씀드렸습니다. 군치는 인더스강이나 갠지스강 같은 큰 강에서 서식하며 덩치가 워낙 크기 때문에 작은 개울이나 하천에서는 서식하기 어렵다고 합니다. 오래전부터 인류 문명의 젖줄인 인더스강과 갠지스강에서 강의 폭군으로 자리매김 한 군치 메기, 오래전부터 인류에게 강의 폭군으로 알려진 탐 켄치와 설정마저 상당히 유사하다는 느낌이 듭니다. 어쨌거나 군치는 남아시아의 큰 강에서 서식하는데 일반적으론 인도에서 많이 발견되나 봅니다.




강의 큰 물고기들을 낚시하는 프로그램인 "리버 몬스터즈"에서 군치 메기를 잡는 모습이 나왔는데요. 촬영한 장소가 인도의 한 강이라고 하니 대부분의 군치 메기는 인도에서 서식하는 걸로 보입니다. 어쩌면 탐 켄치 역시 인도 출신일 수도 있겠군요.




%ED%99%94%EB%A9%B4_%EC%BA%A1%EC%B2%98_2024-06-03_155955.png?type=w1 탐 켄치는 인도 출신일 가능성이 높다.









탐 켄치는 다른 메기들보다도 미각이 더 발달했을 것이다.




004.png?type=w1



다만 탐 켄치와 일반 메기들의 큰 차이점이 있습니다. 바로 탐 켄치는 엄청나게 긴 혀를 보유한 반면에 메기는 그렇지 못하다는 뜻이죠. 다른 얘기지만 혀의 기능은 뭔가요? 혀는 음식물이 급하게 들어가지 않도록 부드럽게 섞어주는 기능도 있으며 맛을 느끼는 중요한 기능을 하죠. 그런데 메기는 이미 수염에 미각세포가 있는 미뢰가 많다고 합니다. 사람이 10,000개의 미뢰를 가졌으면 메기는 무려 170,000개를 가질 수 있어서 메기 보고 살아있는 혀라고 부를 정도입니다. 메기는 나쁘지 않은 시력을 가졌지만 뛰어난 미각을 바탕으로 먹이의 위치를 추적할 수 있다고 합니다. 다만 메기는 혀가 없기 때문에 먹이를 섞지는 못하고 물과 먹이를 같이 빨아들여 삼키며 사냥한다고 합니다.



그런데 탐 켄치는 몸 만큼이나 긴 혀를 가졌습니다. 이렇게 긴 혀가 있으니 일반적인 메기보다도 더 많은 미뢰를 가질 수 있으니 미각이 더 예민할 것 같습니다. 협곡에 있는 강에 몸을 담그는 것으로도 탐 켄치는 챔피언의 위치를 추적할 수도 있겠군요. 또한 긴 혀를 가졌으니 먹이를 먹고 음식물이 잘 섞이도록 할 수도 있으니 일반적인 메기보다도 소화도 잘 시킬 수 있겠군요.






%EB%8B%A4%EC%9A%B4%EB%A1%9C%EB%93%9C.jpg?type=w1 메기는 저렇게 긴 혀를 가지지 않는다.







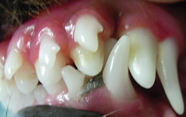
탐 켄치는 잔존 유치가 있는 것 같다.



005.png?type=w1


탐 켄치의 치아를 보시면 사람의 덧니처럼 겹쳐져 있는 치아가 많아 보입니다. 특히 윗니를 보시면 더 많은 이빨이 겹쳐져 있죠. 사람은 이빨이 날 공간에 비해 턱이 작은 경우가 있어 덧니처럼 나는 경우가 있죠. 근데 강아지 같은 경우는 유치가 빠지지 않아 남아있는 경우가 있는데 이를 잔존 유치라고 합니다. 빠져야 할 유치가 남아있으니 이빨이 마치 겹쳐져 있는 것처럼 보일 수 있습니다. 이러한 잔존 유치는 남겨두어도 생명에 지장은 없으나 영구치가 자리 잡는 것을 방해할 수 있고 치석이 더 빨리 끼는 경향이 있어 잇몸에 염증을 유발하기 쉽습니다. 그래서 1년이 지난 시점에서도 잔존 유치가 있다면 빼시는 걸 권하는 편입니다.




%ED%99%94%EB%A9%B4_%EC%BA%A1%EC%B2%98_2024-06-03_165716.png?type=w1 강아지 유치




탐 켄치는 나이가 굉장히 많은 메기일 것으로 보이는데요. 저렇게 치아가 겹쳐져 있는 걸 보니 어쩌면 유치가 빠지지 않은 잔존 유치들이 남아있는 것으로도 보입니다. 다행히 탐 켄치의 잇몸 염증이 보이지 않아서 유치 발치가 급하지는 않으나 평소에 양치질을 더 신경 써서 해야 할 것 같습니다.





%EB%8B%A4%EC%9A%B4%EB%A1%9C%EB%93%9C.jpg?type=w1 탐 켄치의 일부 이빨이 좀 겹쳐져 있는 것 같은 느낌이 든다.





마치며



006.png?type=w1



지금까지 탐 켄치에 대해 분석하였습니다. 탐 켄치는 군치 메기일 것이며 인도 출신일 가능성이 높고 다른 메기보다도 미각이 더 발달한 것으로 보이며 잔존 유치로 인해 일부 이빨이 겹쳐 보이는 것 같습니다. 탐 켄치와 가장 어울리는 군치 메기는 비록 강의 악마라고 불리지만 멸종 위기입니다. 주로 남획과 댐 건설로 인한 서식지 파괴가 원인이라고 하더군요. 어쩌면 거대한 강의 악마보다 더 무서운 존재는 사람이 아닐까요?








%EB%8B%A4%EC%9A%B4%EB%A1%9C%EB%93%9C.png?type=w1 탐 켄치는 멸종 위기 동물임








keyword
매거진의 이전글[수의사가 보는 동물 캐릭터] 토심이와 토뭉이