촌각을 다투는 응급환자는 말이 없다.

-Broca's area infarction 환자와 함께.

by 여한솔

한 달여 전 이야기입니다.

아침 8시 이 시간은 전날 아침 9시부터 23시간째 근무라 졸음이 쏟아질 무렵입니다. 밤새 주취자 한 명, 가벼운 진상 한 명 때문에 2시간을 씨름했던지라 피곤이 쌓여 하루빨리 숙소에 가서 잠을 청하고 싶을 때였습니다. 말끔하게 옷을 입은 50대 중년남성이 배우자의 손에 이끌리어 걸어왔습니다. 먼저 KTAS(우리나라 응급실 내원객 모두 시행하는 중증도 분류 단계)를 분류하기 위해 나갔던 간호사가 환자의 요약된 정보를 말해 줍니다.

"과거력은 고혈압 말고는 없는 분인데 C.C(Chief complaint, 주 증상)가 말 못 함이래요."

Aphasia(실어증). 뇌졸중, 뇌종양, 뇌염, 뇌 손상 이것도 아니면 심리적인 이유로 환자들이 갑자기 말을 표현하지 않는 경우를 지칭합니다.

말이 없습니다. 이 환자는 중환입니다!

배우자에게 물었습니다.

"어떻게 응급실 오신 건지 상황 설명해 주시겠어요?"

"어젯밤 잠들기까지는 아무 이상 없이 잠들었는데 아침 7시에 배우자가 잠에서 깨어 거실에 갔더니 환자가 말없이 소파에 앉아있었어요.."

...

"잘 잤어요. 여보?
"...."
"왜요 잠잘 못 잤어요? 모기 때문에 잠을 못 잤나?"
"..."
"여보 왜 그래요!"
"..."

...??

다행히 배우자가 무언가 이상하다는 것을 빨리 깨닫고 환자를 응급실로 데려온 것입니다.

"환자분 어디가 불편하세요?"
"..."

실제로 말을 안 하고 있다는 것을 확인했으니 감별해야 할 것들부터 빠르게 물어보았습니다.

"여기가 어디인지 알겠으면 고개를 끄덕여 보세요"

(말없이 고개를 끄덕이는 환자)

말을 이해할 수는 없으나 말이 나오지 않는 상황임을 1초 만에 확인할 수 있습니다.


동공반사/사지 운동능력을 보니 문제가 없습니다.


그러면 뇌출혈 가능성은 굉장히 떨어지고 뇌의 언어구사를 지배하는 부분에 뇌경색을 강하게 의심할 수 있겠습니다. 앞서 이야기했던 감별 질환이 확 좁혀집니다.

기본 lab을 보면서 빨리 CT와 MR diffusion 오더를 내놓으면서 간호사에게 이야기했습니다.

"CT 찍고 환자 응급실로 다시 오지 말고 영상 업로드 하면 스테이션으로 전화 달라고 해주세요, 그리고 바로 MRI 찍게 준비해 주세요"

IV 라인 달자마자 다른 환자 다 제치고 그 환자부터 CT실에 들어갔고 영상이 업로드되었습니다. CT에는 특별한 문제가 보이지 않아 바로 MRI를 찍자고 지시했습니다.

영상프로그램 새로고침 한 3번 눌렀나? 환자가 응급실로 되돌아오기 전 영상이 먼저 올라오고 있었습니다.

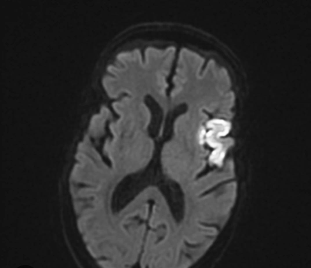
역시.. MRI에서는 예상했듯 Lt. frontal infarction(좌뇌 전두엽 뇌경색) 이른바'Broca's area' 뇌경색. 프랑스의 폴 브로카라는 의사가 간질환자의 뇌를 부검 후 발견한 뒤 명명된 뇌의 해부학적 위치입니다.

아스피린 처방을 마우스로 클릭하면서 배우자에게 환자 검사 결과를 설명하였습니다.

"환자는 말하는 능력을 담당하는 뇌의 부분에 혈액을 공급하는 어딘가가 혈관이 막힌 뇌경색입니다. 우리 병원에는 신경과 선생님이 안 계셔서 더 정확한 검사와 치료를 위해서는 상급병원으로 가셔서 치료받으셔야 할 것 같습니다."

상급병원 전원을 위해 응급진료의뢰서를 작성하고 나니 시간은 벌써 9시가 되었습니다. 출근하신 과장님께 앞서 있던 환자들을 인계 후 응급실 문밖을 나왔습니다. 한 달 한두 번을 제외하고 대부분 24시간 근무를 서고 있으니 출근할 때도 퇴근할 때도 속초 영랑호의 내리쬐는 아침햇살을 맛봅니다.

"아 오늘도 사고 없이 밥값은 했다. 오늘도 무사히 수갑은 피했다, 쩝." (요새 입에 달라붙은 수갑, 징역 드립입니다. 뉴스에 나오는 이야기가 남 일 같지가 않습니다. 조만간 이 부분에 대해서 짧은 생각을 적어보겠습니다.)…. 아래는 응급실에서 일주일에 두세 번은 항상 겪는 일화입니다.

"왜 나 좀 빨리 안 봐줘!" , "아파 죽겠다고!" , "내가 제일 응급환자야!"

물론 진짜 아파서 소리를 지르시는 거로 생각하기에 힘든 점이 이해는 갑니다. 하지만 그럴수록 그 사람들 대하는 것보다 더욱 응급하다고 판단 한 환자들을 보고 있는 경우가 90% 이상입니다.

정말 문제가 있는 응급환자의 경우는 대부분 '말'이 없습니다. 혹은 '말'할 힘도 없어 귀를 가까이 대지 않으면 잘 들리지 않을 정도입니다.


진짜 응급한 환자인 경우에는 본인이 말하지 않아도 알아서 응급실에서 모든 의료진이 달라붙습니다. 응급실에 내원하셨을 때 함께 온 보호자보다 의사 간호사가 더 많이 달라붙어 있다면 무언가 큰 문제가 있다는 것입니다.

의료진이 아무도 관심을 안 보이는 것 같은 경우에는 '내 생명에는 지장이 없구나'라 안심하시고 조금만 의료진을 이해해 주시고 배려해 주셨으면 감사하겠습니다.

응급실 근무를 서다 보면 제 생명의 긴 끈이 조금씩 짧아지는 느낌을 받습니다. 연휴 때 쉴 새 없이 몰려드는 환자들이 야속하게 느껴질 만큼 탈진이 되는 경우도 있습니다. 진상 환자 보호자 한 명 때문에 하루 기분을 완전히 망쳐버리는 경우도 있습니다. 문제는 이러한 순간들이 매번 '예상되는 일상'이고 이 기분이 무뎌지는 것 자체가 굉장히 기분 좋지 못한 일이라는 겁니다.

그런데도 제가 있어야 할 곳은 응급실이고, 다시 전공을 선택할 기회를 주더라도 저는 응급의학과를 선택할 것 같습니다. 심정지 환자를 살리고 의심되는 질환을 문진과 검사를 통해 찾아가고, 찢어진 환부를 꿰매고 어깨 턱 팔이 빠진 사람들 꿰맞춰 주는 재미가 있는 곳입니다. (사실 솔직하게 말씀드리면, 응급실 근무 말고는 딱히 적성에 맞는 과가 없습니다. 하하)

응급실에서 의료진이 다소 불친절하게 느껴질 수 있겠습니다만, 조금만 더 넓은 마음으로 이해해 주시기 바랍니다. 기다리고 계시면 최대한 빠르게 진료 봐 드릴 테니까요. 하하 이 글을 쓰면서 친절하지 못했던 제 모습이 떠올라 부끄럽습니다. 마음을 다잡으며 내일 하루도 열심히 근무하겠습니다.

keyword
작가의 이전글밤하늘 별이 되어 어두운 세상을 비춰 줄...