brunch

덧니 교정해야 할까?

by 김흥식
넌 웃을 때 살짝 드러나 보이는 덧니가 매력이야!



덧니는 상대방에게 귀여운 인상을 전해줄지 모르지만, 정작 본인에겐 치아 관리를 어렵게 만드는 불량 치아일 수 있습니다. 엄밀히 말하면 덧니는 부정교합 중의 하나라고 할 수 있죠. 덧니는 치아가 나올 공간이 부족해져 겹쳐져서 올라오는 것으로 대부분 송곳니 부분이 겹쳐진 형태가 많은 편입니다.


대부분 유치가 빠지고 영구치가 나는 시기인 6~13세 사이에 형성되는데, 성장기 턱뼈 부족으로 악궁이 좁아져 송곳니가 나올 공간이 부족해지거나 턱의 크기에 비해 치아가 너무 큰 경우, 유치가 일찍 빠져서 영구치 배열에 문제가 생기면서 나타납니다.


외관상 입이 튀어나온 것도 문제이지만, 치아가 겹쳐져 있어 음식물이 잘 끼는 등 구강질환을 유발하는 플라그 세균이 정상 치아보다 5배나 많아 충치나 잇몸질환이 발생하기 쉽습니다. 덧니 양 옆의 치아에도 손상을 줄 수 있죠. 그래서 구강건강을 위해서라도 덧니는 교정이 필요한데요, 잇몸뼈 상태나 골격 등을 고려해 발치나 비발치 교정이 이뤄집니다.


GettyImages-650142232.jpg

# 덧니 발치 교정

턱뼈가 작아 치아 이동공간이 많이 부족한 경우 발치 교정이 이뤄집니다.

상대적으로 씹는데 크게 영향을 주지 않는 치아를 발치하지만, 충치 등으로 손상된 치아가 있는 경우엔 해당 치아의 발치로 치아 이동 공간을 확보합니다.


# 덧니 비발치 교정

악궁이 좁거나 치아 이동 공간 확보가 가능한 경우가 해당되며 치아 사이를 갈아내는 치간 삭제나 미니스크류로 악궁을 전체적으로 뒤로 밀어 공간을 확보합니다. 치간 삭제로 치아의 크기를 줄이는 방법은 과도한 삭제 시 치아우식증이나 치아 민감증을 유발할 수 있어 덧니가 심한 경우에는 사용하지 않는 편입니다.


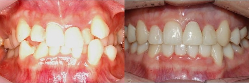
1-horz.jpg


미니스크류는 티타늄으로 만든 나사를 잇몸뼈에 심어 치아 이동을 돕는 장치로 부분 교정 시 많이 활용되지만, 아래 치열에는 한계가 있는 만큼 신중하게 판단해야 합니다. 성장기 아동에서는 치아를 감싸는 턱뼈인 치조골을 확장하는 방법도 있습니다.


덧니 교정은 얼굴의 전체적인 조화를 고려해서 진행하지 않으면 합죽이나 옥니 등의 부작용이 발생할 수도 있는 만큼 풍부한 치료 경험과 임상 증례, 환자의 만족도를 두루 살펴 병원을 선택하는 것이 중요하죠.




사람에 따라서는 덧니를 제외하고 전체적인 치열에 문제가 없어 덧니 교정의 필요성을 못 느낄 수도 있는데요, 이런 경우엔 남들보다 좀 더 꼼꼼하게 치아를 관리해야 합니다.


취침 전에는 좀 더 시간을 들여 칫솔질은 물론 치실, 치간칫솔 등으로 닦아주고 전동칫솔이나 워터픽 등으로 차이 사이사이 찌꺼기를 깨끗하게 제거해줍니다. 물론 정기적인 치과검진도 필수죠. 무엇보다 덧니 예방을 위해선 유치와 영구치가 나는 시기에 적극적인 구강검진과 관리가 더욱 더 중요하다는 사실, 잊지 마시기 바랍니다.


keyword
작가의 이전글내 이처럼 틀니 관리하는 법