brunch

40대 치아교정 증가 추세

벌어진 치아 때문에 치아 건강이 나빠질 수 있어요

by 김흥식

대한치과교정학회가 2010~2017년 5개 대도시 대학병원 및 종합병원 치과 환자를 분석했더니 우리나라 40대 이상 치아교정 환자가 늘어났다는 연구결과가 나왔습니다.


전체적인 치아교정 환자는 다소 줄었지만 10세 미만과 40세 이상 환자는 각각 증가했는데, 여전히 높은 비중을 차지하는 10~20대의 치아교정환자 가운데서 40대 이상 중장년층 환자가 늘어났다는 것은 시대적인 트렌드가 잘 반영된 결과가 아닐까요.


평균수명 및 중장년층의 사회활동 증가, 건강과 아름다움에 대한 관심이 높아지면서 잇몸 건강을 위해 치아교정이나 임플란트를 심기 위한 교정 등이 활발해지고 있다고 할 수 있는데요, 물론 여기엔 교정치료 기술 발달도 한몫을 했습니다.



GettyImages-1063370800.jpg


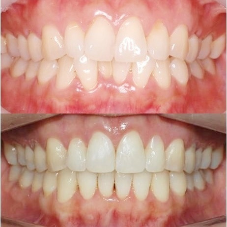
중장년층에서 치아교정을 고려하게 될 때는 앞니가 점점 삐뚤어지면서 틀어지는 경우로 특히 많이 노출되는 아랫니에서 더 두드러진 변화가 나타나게 됩니다.


이렇게 치열이 고르지 못한 상태에서 안쪽으로 밀려있는 치아는 더욱 더 안쪽으로, 바깥쪽은 더 바깥쪽으로 쏠리면서 불균형은 더욱 심해지고 심미적인 측면은 물론 구강위생관리도 더욱 어려워져 잇몸질환을 유발하죠.

또한 잇몸질환으로 치아 사이에 틈이 생기고 인접 치아들이 빈 곳을 향해 쓰러지면서 기능상 문제를 일으키기 때문에 치아 상태가 더욱 악화되기 전에 치아교정을 할 필요가 있습니다.



13-vert.jpg

# 치아교정 전 잇몸건강상태 점검 및 치료는 필수


단, 성인에서의 치아교정 시에는 반드시 잇몸건강상태도 체크해야 합니다. 치아교정은 치아와 잇몸뼈에 약한 힘을 계속적으로 주면서 잇몸뼈 주변의 세포변화로 움직이는데, 노화로 인해 점점 잇몸뼈가 내려가는 경우 치료방법 및 결과에 상당한 영향을 미칠 수가 있어요.


잇몸치료가 선행되지 않을 경우

블랙트라이앵글: 심미적으로도 좋지 않을 뿐만 아니라 음식물도 잘 끼는 등 블랙트라이앵글이 점점 더 커집니다.

심한 잇몸 퇴축: 잇몸상태가 좋지 않은 상태에서 치아 동요도가 커져 전체적으로 잇몸 퇴축이 심해질 수 있고 잇몸 염증이 급성으로 퍼질 수 있어요.


이런 점을 감안해 치아교정 전 잇몸치료를 통해 잇몸을 건강하게 만들고 문제점 등을 충분히 숙지한 후 치료를 결정하는 것이 중요합니다.



GettyImages-939681828.jpg

# 부분교정, 설측교정, 투명교정 등 다양한 치아교정방법


눈에 띄는 교정장치는 성인치아교정 시 가장 부담스러운 부분 중 하나이죠.가장 대중적이던 메탈교정이나 세라믹교정 등의 치아교정방법이 인비절라인과 같은 투명교정, 치아의 안쪽에 부착하는 설측교정 등으로 다양해지면서 심미적인 측면도 충분히 고려할 수 있게 됐습니다. 치아 일부만 치열이 고르지 못한 경우엔 부분교정도 가능하죠.


와이어 교체가 용이한 자가결찰 브라켓으로 교정기간 및 치과방문 횟수도 줄일 수 있어 각각의 장치가 갖는 장점들을 두루 고려해 자신의 치아상태, 예산 등에 맞는 치아교정방법을 선택하세요.


하지만 앞서도 말했듯이 성인치아교정은 잇몸에 대한 정확한 검진을 통한 잇몸치료로 건강을 회복해야 교정 후에도 원하는 결과가 나올 수 있는 만큼 임상경험이 많고, 진료 영역별 협진이 가능한 병원을 선택하는 것이 중요합니다.




심미적인 측면만이 아니라 치아 건강을 위해서라도 필요한 중장년층의 치아교정은 입 주위 근육의 변화로 안티에이징은 물론 대인관계에서도 좀 더 당당하고 자신감이 높아지는 효과를 누릴 수 있습니다.


40대 치아교정, 이제 부끄럽고 두려운 것이 아니라 치아건강을 회복하고 나를 조금 더 당당하게 표현할 수 있는 하나의 방법이 아닐까요.

keyword
작가의 이전글운동하다 이빠지면?