brunch

자연치아 같은 심미성 원한다면 올세라믹

마치 치아교정한 줄...

by 김흥식
twi001t1992742.jpg


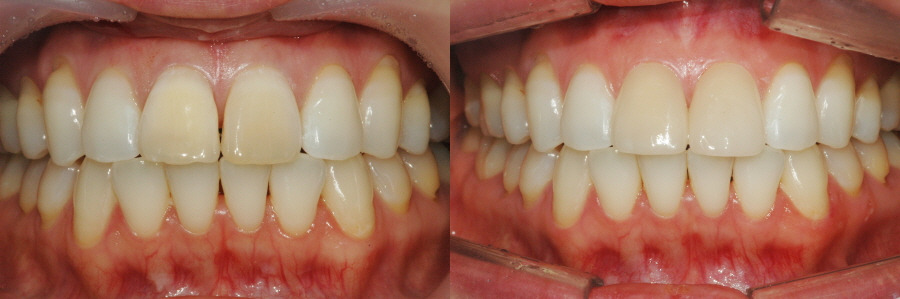
치아교정은 치아 이동 시간을 고려해야 하는 만큼 빠른 속도로 이루어지기 어려운 치과치료라고 한다면, 심미보철치료는 짧은 시간 안에 치아색과 형태를 바로잡는다는 면에서 보다 빨리 외형적인 변화를 원하는 사람들에게 인기가 높은 시술이라고 할 수 있습니다.


심미보철치료는 치아가 고르지 않거나 튀어나온 경우, 치아 사이가 벌어진 경우 등 비심미적으로 배치된 치아를 교정이 아닌 보철적인 방법을 통해 수정하는 치료로 변색된 치아도 보철을 통한 색조 수정으로 심미적인 효과를 기대할 수가 있죠.


심미보철치료 중에서도 올세라믹인체에 무해하고 자연스러운 느낌을 주는 재료로 자연치아와 가까운 심미성을 가지고 있고 라미네이트에 비해 적용범위도 넓은 편인데요, 하지만 치아 삭제량이 많다는 것은 단점으로 꼽힙니다.


1 (1).jpg



올세라믹 VS 라미네이트



올세라믹은 치아 전체를 삭제한 후 고강도 특수 세라믹을 치아에 씌우는 치료입니다.

금속이 전혀 들어가지 않은 반투명 소재라 빛이 투과해 잇몸에 검은 라인이 생기지 않는 등 심미적으로 우수하고 자연스러운 인공치아를 얻을 수 있죠.


치아 전체를 덮어 씌우기 때문에 신경치료를 하거나 치아 형태, 배열을 바꿔야 할 경우 치아 삭제를 통해 원하는 치열을 만들 수 있어 돌출된 앞니부터 부러진 앞니, 심하게 손상된 치아, 불규칙한 치열, 덧니 등의 치료에 두루 적용이 가능합니다.


하지만 치아 삭제량이 많다는 것은 염두에 둬야 하는데요, 이에 반해 라미네이트는 최소한의 치아 삭제로 시술 후 과민증이 상대적으로 적은 편입니다.



라미네이트는 치아 표면을 0.5~0.7mm 정도로 얇게 깎아낸 후 매우 얇은 도자기판을 표면에 붙이는 시술로 치아 전체를 덮어 씌우는 크라운 치료인 올세라믹과는 조금 차이가 있습니다.

치아 삭제량이 적은 만큼 신경치료도 할 필요 없이 치질을 보존하면서 간단하게 치열이나 형태를 개선할 수 있는 방법이죠.


치아의 앞면이나 옆면만을 소량 삭제하게 되므로 앞니가 깨지거나 모양이 틀어진 정도의 치열 불규칙, 치아 사이가 벌어진 경우, 착색이 심해 미백을 해도 나아지지 않는 경우 등 경미한 케이스에 한해 시술이 가능합니다. 올세라믹에 비해 적용 범위가 한정적이라고 할 수 있죠.


또한 라미네이트는 인조 손톱과 같은 얇은 보철물이라 강도가 약해 외부의 충격에 의해 쉽게 변색이나 부식, 깨짐 등이 발생할 수 있습니다.


1.jpg



올세라믹과 함께 하면 좋은 심미치료



올세라믹이나 라미네이트와 같은 심미보철치료 외에 치아미백, 주로 잇몸성형이라고 불리는 치은 성형 등이 심미치료에 속하는데요, 심미치료는 치아 일부의 형성이나 재건을 기본으로 하면서 심미적인 부분을 더해 기능적인 면뿐만 아니라 미용적으로도 손색없는 치료를 하는 것이 중요합니다.


치아 자체의 외형적인 면 외에도 치은 조직, 전체적인 입술 라인 등이 조화를 이뤄야 가장 최선의 결과가 만들어진다고 할 수 있습니다.


예를 들어 올세라믹을 했는데 치아만 하얗고 잇몸은 까맣다거나 치아와 잇몸은 하얀데 반해 웃을 때 잇몸이 훤히 드러나는 거미 스마일이라면 전체적으로 균형이 잘 맞지 않는 것은 물론 심미치료의 효과가 반감될 수 있죠.


그래서 라미네이트나 올세라믹 등과 더불어 치아미백, 잇몸성형 등을 하는 경우도 많습니다.


잇몸성형은 평소 이 악물기나 이갈이 습관으로 잇몸이 과대 성장된 경우, 잇몸질환이나 염증으로 잇몸이 붓고 충혈돼서 출혈이 자주 일어나는 경우 등에도 미용, 기능적인 측면에서 도움이 됩니다.


20791234.jpg




치아 콤플렉스로 인해 심미치료를 고민하고 있다면 다양한 심미치료 중 어떤 치료를 할 것인지, 내게 적합한 시술은 무엇인지를 찾아야만 치료의 완성도를 더욱 높일 수 있습니다.


치료별 장점 및 부작용 등을 잘 숙지하고 전문가와 상담을 통해 보다 자연스럽고 건강한 미소를 찾으세요!

keyword