brunch

병역판정에서 의료 인공지능 혁신으로

정형외과 병역판정 전담의사의 각도 측정 경험이 열어준 인공지능 연구의 길

by 의사과학자 류박사

#병무청 #병역판정전담의사 #평발판정 #각도측정 #의료인공지능 #병역판정 #의료AI #전문의커리어 #성장스토리 #역경극복 #의공학 #의료데이터 #X-ray각도 #정형외과의사 #병역검사 #병무청경험 #평발진단 #인공지능의사 #정형외과AI #병역판정기준 #의료딥러닝 #의학연구자 #의료분야AI #의사연구자 #의료인공지능연구 #병무청의사 #각도판정 #인생전환점



【 수치로 결정되는 병역: 각도 측정의 세계 】


병무청에서 정형외과 병역판정전담의사로 근무하다 보면 주된 업무 중 하나가 X-ray나 CT 등에서 길이나 각도를 측정하는 일입니다. 병역판정집을 살펴보면 각도나 길이를 기준으로 급수가 나누어지는 경우가 많기 때문입니다. 제가 근무한 3년 동안 단연코 평발 각도를 측정하는 것이 가장 주된 측정 업무였습니다.


가끔 수검자 중에서 대학병원에서 평발을 진단받아 '병무용 진단서'를 들고 오는 경우가 있습니다. 병무청에서 질병 판정을 위해서는 대체로 수검자가 '병무용 진단서'를 발급받아와야 하는데, 이것은 어느 정도 규모가 있는 병원에서 충분한 검사를 거친 다음에 발급해주는 진단서입니다. 이러한 경우에는 병역판정 전담의사가 어느정도 심한 평발인지를 판정해야 합니다.


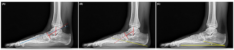
문진표에서 평발이 있다고 체크한 수검자가 저에게 오면, 먼저 족저경(거울)에 세워본 다음, 평발이 의심되면 X-ray를 촬영합니다. 그리고 X-ray에서 거골-제1중족골 각도종골경사각을 측정하여 현역 또는 4급 보충역 판정을 합니다. (그림 1) 대체로 많은 수검자들은 제가 내린 판정에 수긍하지만, 수긍하지 못하는 수검자가 있으면 X-ray를 보여주고 제가 각도를 측정하는 과정을 직접 보여주기도 했습니다. (그림 2)


그림 1. 족부 X-ray에서 확인되는 평발 각도 측정법: 정확한 병역판정의 기준점

(출처: Ryu, SM, et al. "Automated landmark identification for diagnosis of the deformity using a cascade convolutional neural network (FlatNet) on weight-bearing lateral radiographs of the foot." Computers in Biology and Medicine 148 (2022): 105914.)

(원문: https://pubmed.ncbi.nlm.nih.gov/35961089/)


그림 2. 정형외과 전담의사의 일상: X-ray 판독을 통한 평발 각도 판정을 수검자에게 설명하는 순간



【 병무청에서 마주한 그날의 목소리 】


병무청에 몇몇 수검자들은 부모님들과 함께 방문하기도 합니다. 도 단위 행정구역에 하나 있는 병무청이다 보니 거리가 멀어 태워주시기도 하기 때문입니다. 가끔은 부모님들이 병역판정전담의사의 판정을 수긍하지 못하고 병역판정검사장으로 올라오기도 합니다. 하지만 병무청의 규정상 수검자 부모와 병역판정전담의사가 직접 대면할 일은 거의 없습니다.


하루는 판정이 끝나고 점심시간이 다가와서 직원 식당으로 내려가는 길이었습니다. 한 수검자의 아버지가 병무청 공무원 직원분께 고성을 지르고 있는 것을 들었습니다. (그림 3) 저는 그 대화가 수 년이 지난 지금에도 귀에 생생합니다. 그때 느꼈던 그 복잡한 감정이 제가 수년간 이 연구를 해오게 된 원동력이 되었는지도 모릅니다.


"OOOO대학병원 교수가 평발이라고 했는데 저 새파란 의사가 뭔데 평발이 아니라고 합니까?"


아마도 그 새파란 의사는 저를 말하는 것 같았습니다. 그리고 그 대학병원은 전국적으로 유명한 빅5 대학병원이었습니다. 제가 각도를 측정해서 평발은 맞긴 하나 보충역에 해당하지 않는다고 판정한 수검자였습니다. 그 아버지의 말씀 때문에 밥 먹으면서 제가 무엇을 먹는지도 모를 정도로 깊은 생각에 잠겼습니다.


그림 3. 인생의 전환점: 병무청 복도에서 들려온 질문이 의료 AI 연구자의 여정을 시작하게 한 순간



【 병무청과 빅5 대학병원 사이 】


대한민국에는 학벌이 공고화되어 있습니다. 저는 전국적으로 봤을 때 그렇게 유명한 대학을 졸업하거나 유명한 대학병원에서 수련받지 못했습니다. 그렇다면 빅5 대학병원 정형외과 교수님이 평발이라고 하면 병무청 판정의사는 무조건 평발이라고 판정해야 하는 것일까요?


당연히 아니라는 사실을 알고 있지만, 그냥 기분이 좀 좋지 않았습니다. 그 아버지의 말씀은 "아 예, 제가 잘못 측정했네요. 교수님이 평발이라고 하시면 평발이죠."라는 대답을 원하셨을 것 같았습니다.


제가 대학병원에서 수련을 받고 있는 입장의 의사라면 저보다 더 많은 경험을 가지신 교수님께서 그렇게 말씀하신다면 그럴 수 있다고 생각했을 것입니다. 하지만 여기는 병무청이고, 병역법상에서 "방사선 사진의 경우 병무청 또는 군병원에서 촬영한 사진으로 판정한다"고 되어 있었습니다. 병무청에서 촬영한 X-ray에서 현역대상자로 판단되어 현역대상자로 판정했고, 제 판단은 문제가 없다고 생각했습니다. 저도 제 이름을 걸고 판정을 하는 것이고, 법적인 문제가 생기면 그건 제가 감당할 문제였습니다. 그 아버지의 말씀을 듣고 가만히 곱씹어 생각하니 요즘 말로 좀 긁혔습니다.



【 각도 측정의 마스터: 일상이 만든 전문성 】


사실 이건 조금 현실적인 이야기입니다. 저도 대학병원에서 전공의 수련을 받는 동안 교수님들께서 직접 진료를 보시는 것을 곁에서 많이 지켜봤습니다. 교수님들은 환자들의 증상에 더 관심이 많지, 이런 세세한 각도 측정에 상대적으로 관심이 적습니다. 왜냐하면 증상이 더 중요하지, 객관적인 각도 측정은 덜 중요하기 때문입니다.


제가 확신을 가지고 말씀드릴 수 있는 것은, 대학병원 의사들보다 병무청 병역판정의사들이 더 많이, 더 자주 측정 업무를 수행한다는 점입니다. 병무청 판정의사들은 이게 매일매일의 일상이기 때문에 본인의 측정 습관이 잘 학습되어 있습니다. 과학적인 용어로 풀어쓰자면, 관찰자 내 일치도가 높다는 말입니다. 정형외과 학문을 논하는 게 아니라 각도 측정만 논한다면 병역판정전담의사들이 더 전문가일 수 있다고 생각했습니다. 결론적으로, 저도 측정에 있어서는 누구보다도 뒤처지지 않는 전문가라고 생각했습니다.


이는 제가 '내가 쓴 AI논문리뷰'에서도 실증적으로 확인한 사실입니다. 관찰자로 참여한 실험에서 동일한 X-ray를 초기 측정 후 수 주가 지난 뒤 재측정했을 때, 점과 점 사이의 거리 차이가 평균 0.64mm에 불과했습니다. 1mm도 안 되는 오차는 의학 영상 측정에서는 놀라운 정밀도로, 반복적인 실무가 만들어낸 전문성의 증거라고 할 수 있습니다.

(리뷰: https://brunch.co.kr/@smryuphd/56)



【 긁힘에서 성장으로: 병무청에서 시작된 인공지능 연구의 길 】


저는 이 날 이 사건 이후로 측정 업무를 컴퓨터나 인공지능의 도움을 통해 해결해보고 싶다는 생각이 들었습니다. 이 날의 복잡한 기분 덕분에 이 연구를 꼭 완성시키겠다는 강력한 동기부여가 되었습니다. 이런 문제로 감정이 상할 일도 없도록 감정이 없는 인공지능의 기술을 꼭 차용해보고 싶다고 생각했습니다.


결론적으로 저는 병무청 복무가 끝나고 공학박사과정 풀타임 대학원에 진학하게 되었습니다. 저는 이 날의 강렬한 기억 때문에, 다른 건 몰라도 정형외과 전문의 중에서는 인공지능을 가장 잘 아는 사람이 되고 싶다는 생각을 했습니다.


이날 수검자 아버지의 목소리가 워낙 컸기 때문에, 주위의 판정의사들이 제 기분이 많이 상했을까 봐 저를 위로해주러 많이 와주었고 지금도 감사하게 생각합니다. 덤덤하고 괜찮은 척했지만, 정말 짧은 시간에 많은 생각을 했고, 그 생각들이 지금도 생생하게 기억납니다. 하지만 그 아버지 덕분에 저는 의료 인공지능 연구를 하는 프로페셔널한 연구자가 될 수 있었습니다. 지금 생각해보면 고마운 분인 것 같습니다.



“Turning lemons into lemonade”

"새파란 의사라는 비판을 의료기술 혁신의 원동력으로 바꾸다"



keyword