brunch
매거진 기타

스테이크 해부학

등심, 안심 그리고 마블링

by 빛나리의사

소고기 하면 스테이크고 스테이크 하면, 등심안심이다.

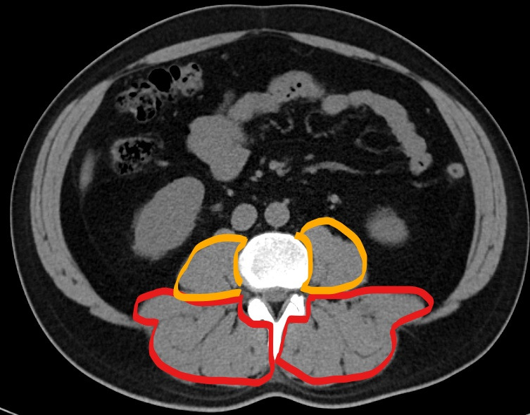
안심과 등심은 정확히 어디 부위일까?


붉은색: 등심, 오렌지색: 안심



등심은 말 그대로, 등에 있어 등심이다. 근육은 수축과 이완 두 가지밖에 할 수 없는데, 주 활동은 이완이 아니라 수축이다. 등심, 그러니까 저 등심이 수축하면, 짧아지면서 등을 꼿꼿이 세우게 된다. 그래서 척추 기립근 (ecector spinae muscle)이라고 한다.

정리, 등심=척추기립근=ecector spinae muscle

CT상에서 보이는 회색 근육이고, 검은색지방이다. 좌측 사진을 보면 근육 사이사이 검은색 선이 보이는데 지방이다. 물론 사람에서는 그렇고, 소고기에서 이 지방마블링이라 한다.

저런 등심은 보기는 좋아도, 근육뿐이라 지방이 없어 맛이 없다.

이제 안심이다. 배 안에 있어 안심이다.


CT상에서 보면, 이 안심은 복벽 안에 있는 요근(psoas muscle)이다. 이 근육이 수축 시, 허리가 ㄱ 자로 굽어진다. 등심(ecector spinae muscle, 척추 기립근)이 수축하면 허리가 펴지고, 안심(psoas muscle, 요근)이 수축하며 허리가 굽어진다. 등심이 동전의 앞면이라면, 안심은 동전의 뒷면이다.


등심은 복벽 밖에 있고, 길고 두꺼우며, 기름이 많다. 반대로 안심은 복벽 안에 있고, 얇고 가늘며, 기름이 적다. 운동으로 등심(ecector spinae muscle, 척추 기립근)은 부피를 키울 수 있지만, 안심(psoas muscle, 요근)은 키우기 어려워 육질이 훨씬 부드럽니다.


자, 그럼 T-bone 스테이크는?

척추를 반으로 절개해 뼈가 T 형태라 T bone 스테이크다. 등심안심을 동시에 맛볼 수 있다. 스테이크의 짬짜면이라고 할까? 단, 최소 600g 이상은 돼어야 그럴듯한 티본 스테이크를 맛 볼 수 있으니 먼저 지갑을 두둑히 채워야 한다.


참고로 소고기의 지방(마블링)이 좋으면 좋을수록 좋고,
사람 몸에는 지방이 적으면 적을수록 좋다.

글을 쓰다보니, 허기가 진다.


머리를 채웠으니, 이제 배를 채울 시간이다.




다음편으로 이어집니다.

https://brunch.co.kr/@sssfriend/488


keyword
매거진의 이전글왜 죽지 않고 살아야 하는가?