brunch

치과의사가 말하는 하루 3번 양치해도 충치 생기는 이유

by 스위트웨이

대부분의 사람들은 치과 가는걸 싫어합니다. 하지만 정말 가기 싫어도 어쩔 수 없이 가는 곳이 치과죠. 그렇다보니 힘든 치료과정을 마치고나면 앞으로 양치를 더욱 열심히 해야겠다고 마음먹게 됩니다. 하지만 하루 3번 열심히 양치해도 충치가 생기는데 이럴 땐 정말이지 억울하기까지 하죠. 실제 치과의사들이 가장 많이 듣는 말중에 하나가 열심히 양치했는데 왜 충치가 생기냐는 하소연이라고 합니다. 그렇다면 열심히 양치했는데 충치가 생기는 이유는 뭘까요? 이에 대해 현직 치과가 말하는 하루 3번 양치해도 충치 생기는 이유에 대해 소개해드리겠습니다.


1. 열심히만 닦는다.

'양치질' 하면 떠오르는 장면이 있습니다. 바로 차인표씨가 보여준 분노의 양치질이죠. 이와 똑같지는 않더라도 정말 열심히만 닦는 사람이 있습니다. 하지만 열심히 닦는 것보다 중요한건 제대로 닦는 것이라고 하죠.


이미지 049.jpg

치아는 사각형의 큰 덩어리가 아니라 여러 구조로 이뤄진 복잡한 모양을 하고 있습니다. 그렇기 때문에 위와 같이 일반적으로 문지르는 방식으로는 칫솔이 닿는 면에 제한이 생겨 올바른 양치를 했다고 볼 수 없습니다.


6.jpg

2. 놓치는 부위가 많다.

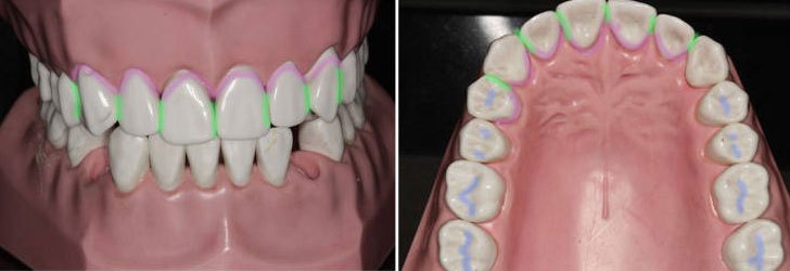
상단 이미지는 양치를 열심히 하기만 했을 때 놓치게 되는 부위입니다. 상단 좌측 사진의 분홍색으로 칠해진 부분은 1)잇몸과 치아가 만나는 부위고, 연두색으로 표시한 부분은 2)치아와 치아가 만나는 부위입니다. 그리고 우측 사진에서 파란색으로 표시한건 3)교합면쪽(위 치아와 아래 치아가 만나는 부위)에 있는 깊은틈을 표시한 사진입니다.


추천글

3. 집중해서 닦아야 할 곳이 있다.

일반적으로 문지르는 양치질 부위는 평상시 혀나, 볼 점막에 의한 자정작용 때문에 좀 더 관리가 쉬운편이지만 위에서 언급한 3곳은 집중 관리가 필요한 부위입니다. 하루 5번을 닦아도 이곳에 대한 관리가 제대로 안되면 별 의미가 없는 셈이죠.


이미지 053.jpg

4. 제대로 닦는법

앞서 1)번으로 표시한 잇몸과 치아가 만나는 부위는 치아와 칫솔모가 45도를 이루도록 하고 치솔모의 방향이 잇몸쪽을 향하도록 해서 닦아줘야 합니다. 이 때 잇몸이 아프도록 누르지 않아야 하는데 아프기도 하겠지만 세게 누를 경우 세균을 치은안으로 밀어 넣거나 치은이 손상되어 통증을 유발하게 됩니다. 이렇게 하나의 치아당 3~4회씩 부드럽게 진동을 주어 닦아야 합니다.


111.gif
이미지 054.jpg

두번째로 2)치아와 치아가 만나는 부위는 칫솔모가 치아와 치아 사이로 들어가도록 닦아야 하고 부드러운 힘으로 잇몸이 아프지 않게 넣어 닦아줍니다. 3)교합면의 깊은 틈은 기존 방식대로 하되 약간의 누르는 힘을 주어 닦아줘야 합니다.


7.jpg

5. 양치한 치아의 현실

상단은 치아에 생긴 세균막을 보라색으로 염색해주는 치면 착색제를 통해 살펴본 모습입니다. 전반적으로 세균이 존재하는 모습을 볼 수 있죠. 열심히 양치했는데 충치가 생겨 억울하다면 양치전에 치면 착색제를 사용한 후 보라색이 없어질 때까지 양치해보면 제대로 양치를 안했다는 생각을 갖게할 겁니다.

<출처 : 커뮤니티 사이트에서 DR_J>


this.jpg
keyword
작가의 이전글부끄러워하지 말고 시원하게 '트림' 하라는 이유