brunch

우사인 볼트와 척추 측만, 그리고 카이로프랙틱

by WLE ATC

현재 지구 상에서 가장 빠른 사나이는 과연 누구일까?

리우 올림픽을 확인한 사람은 답이 어렵지 않다. 바로 자메이카의 육상 영웅 우사인 볼트다.


1.jpg 사진 출처 : 우사인 볼트 공식 홈페이지, http://usainbolt.com


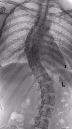
우리나라뿐 아니라 전 세계적으로 우사인 볼트에 대한 많은 이야기들과 그에 대한 기사, 분석 글들이 연일 쏟아진다. 또한 우사인 볼트가 척추 측만 Scoliosis을 가지고 있다는 이야기는 이제 누구나 알고 있는 사실이다.

일반인이라면 병원 치료까지도 고민해 볼 수 있는 척추측만을 가지고 있으면서도 그런 뛰어난 기록을 낸다고 하니 그의 이야기가 더욱 궁금해진다.


여기서 잠깐, 척추 측만이 무엇인가?


척추 측만은 선천적으로나 후천적으로 우리의 척추가 S 자형이나 C 자형으로 휘어진 상태를 말하고,


불균형한 골반과 비대칭적인 허리라인으로 인해 심한 경우에는 허리 통증은 물론 장기 압박까지도 올 수 있는 척추의 비정상적인 정렬 상태를 의미한다.


그렇다면 특히 운동선수에게 치명적인 문제들을 야기할 수 있는 척추 측만을 가지고 있는 우사인 볼트가 선택한 자기 관리 방법은 무엇일까?


우사인 볼트가 선택한 척추 측만 관리법은 크게 다음의 두 가지이다.

첫째, 좀 더 강한 몸통 근육을 위한 근력 강화 운동과

둘째, 전문적인 카이로프랙틱 요법이다.


실제로 대부분의 척추 측만증 환자들의 경우에는 수술적 치료법과 보호대 착용법만을 활용에 의존해왔다. 그러나 우사인 볼트는 기존의 관리법에 의존하지 않고 카이로프랙틱 케어를 선택했다. 왜일까?


"나는 척추 측만 관리뿐 아니라 경기력의 향상을 위해 카이로프랙틱을 선택했다."

위는 카이로프랙틱 케어를 선택한 우사인 볼트에게 많은 사람들이 묻는 질문에 대한 볼트의 답변이다.


실제로 남아프리카 공화국과 자메이카가 Dr. Michael Douglas라는 전담 카이로프랙터에게 각국의 국가대표팀 재활과 컨디셔닝에 대한 전권을 맡겨두고 있으며, 미국 국가대표팀의 경우에도 팀 전담 카이로프랙터를 두고 있다.


mug_obj_147156465615129645.jpg 사진 출처 : 우사인 볼트 공식 홈페이지, http://usainbolt.com


그렇다면 카이로프랙틱과 척추 측만 그리고 경기 성적 간의 관계는 어떨까?

실제로 많은 논문에서 카이로프랙틱 케어를 받는 척추 측만 선수들과 받지 않는 척추 측만 선수들과의 경기력(경기 결과) 상관관계에 대한 연구가 진행되었거나 진행 중이며, 그 유의미한 효과나 이점에 대해 하나 둘 밝혀지고 있다. 또한 세계적인 수준의 선수들 중 상당수가 이미 경기 전 혹은 경기 중간에 카이로프랙틱 케어를 받고 있다는 사실은 이미 낯선 소식이 아니다.


과학적 트레이닝과 선수 관리로 인정받는 팀 중, 단연 으뜸의 평가를 받고 있는 미국의 올림픽 팀, 그리고 다수의 프로, 아마추어 팀들의 경우에도 역시 선수들의 부상 관리와 경기력 향상을 지원하는 재활, 트레이닝팀에서 다수의 카이로프랙터들이 중요한 역할을 맡고 있다는 사실은 우리에겐 아직까지는 잘 알려지지 않은 팩트다.


12311304_1087373134620753_4623562910380234385_n.jpg 출처 : chiropractic AmpLIFEied.com


하지만 우리나라에서는 이러한 카이로프랙틱이 의료법에 의해 정식 의료 서비스로 인정받고 있지 못한 실정, 이는 프로나 아마추어 선수뿐 아니라 아마추어 스포츠 동호인, 일반인들에게 통증이나 부상 혹은 컨디션 관리에 이르는 다양한 관리 및 치료법에 대한 소비자의 다양한 선택을 제한하는 결과를 초래하고 있다.


더 큰 문제점은 미국과 캐나다, 호주와 같은 의료 서비스, 스포츠의학 선진국들의 카이로프랙틱 케어 시스템을 조사하고 연구하여 그 과학적인 근거와 효과에 대해 밝혀진 이후에 일부 검증되지 않은 교육기관의 단기 교육을 통해 실제 환자 치료와 교육이 이루어지는 자격을 남발하고 있는 단체나 기관이 많아지고 있다는 현실이다.


세계 보건기구 WHO에 의해 정해진 카이로프랙틱 전문가의 교육을 위한 기본 규정 시간은 7,200시간이다.

하지만 국내에서 카이로프랙틱을 한다고 하는 병원이나 한의사, 물리치료사들 중 해당 7200시간 이상의 교육 시간이나 커리큘럼을 마친 전문가는 정말 손에 꼽을 정도로 적다. 하물며 2박 3일의 교육만으로도 카이로프랙틱 관리 및 치료가 가능하다고 인정해주는 교육 기관들이 있을 정도이니 해당 전문 지식이나 기술의 수준을 평가는 가능한 건지 조차 의심스럽다.


오늘날 대한민국에도 많은 수의 유소년 운동선수들과 아마추어 선수들이 척추 측만을 포함하는 각종 척추, 신경의 문제를 안고 훈련에 임하고 있다. 세계에서 가장 빠른 사나이, 우사인 볼트의 척추측만과 카이로프랙틱 관리에 대한 뉴스들이 우리나라의 선수들에게도 좀 더 현실적인 법과 제도에 의해 검증되고 그 기준에 합당하게 교육된 전문가들에 의한 다양하고 효과적인 관리 기법들이 활용될 수 있는 내일, 나아가 스포츠 강국으로서의 대한민국을 꿈꿔본다.

keyword
매거진의 이전글장비 리뷰_Elastocalx Plus 발뒤꿈치 패드