brunch

알레르기약 계속 먹어도 문제없는걸까?

항히스타민제에 우리가 알지 못하는 것들

by 신정민
알레르기에는 항히스타민제


쉴새없이 나오는 재채기, 코는 간질간질, 눈은 가려워서 붉어지고 눈물, 콧물이 주룩주룩


어떤 상황인지 아시겠죠?

알레르기 비염이 있는 분들 공감하시지 않을까 해요. 이거 한두번이지 증상이 지속되면 정말이지 괴롭답니다.


여러분들은 알레르기 반응이 생기면 어떻게 해결하시나요?

많은 분들이 일단 알레르기 약인 항히스타민제를 약국에서 구매해드실 거에요.

알레르기 증상을 완화시킬 수 있는 항히스타민제로 가장 쉽게 활용되고 있는 약은 바로 지르텍입니다.

여러분들 아시죠? 바로 요~ 약입니다.

지르텍은 졸음을 유발하는 1세대 항히스타민제의 부작용을 줄인 2세대 항히스타민제인 세티리진을 주성분으로 하는 항히스타민제입니다.

지르텍은 알레르기성 비염, 피부가려움증, 두드러기, 알레르기성 결막염, 습진, 피부염 등 알레르기 반응으로 발생하는 다양한 증상에 두루 활용될 수 있는 대표적인 항히스타민제입니다.


알레르기 트러블 메이커, 히스타민


여러가지 알레르기 반응의 중심에는 '히스타민'이라는 물질이 있습니다.

그래서 히스타민 이야기를 빼놓고 알레르기 이야기하기가 힘들어요.

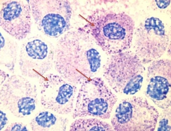
위 사진은 히스타민을 만들어내고 또 분비하는 비만세포를 확대한 현미경 사진인데요.

빨간 화살표가 가르키는 과립형 물질이 바로 히스타민입니다.


그러면 히스타민이란 어떤 기능을 하는 물질일까요?


히스타민은 즉시형 과민반응과 알러지 반응을 일으키는데 중요한 역할을 하는 물질로 비만세포(mast cell)호염구(basophil)와 기타 신경세포에서 각각 만들어지고 저장되어 있다가 외부 자극이 발생하면 밖으로 쏟아져 나와 인체를 보호하는 기능을 나타내는 물질이랍니다.

저장되어 있던 히스타민이 쏟아져 나오게 되면 혈관의 투과성이 증가하면서 혈관에 있던 혈장 등의 액체성분들이 조직으로 빠져나가 여러가지 반응들이 일어나게 된답니다.

이런 반응으로 인해 생기는 증상, 즉 알레르기 반응은 아래와 같습니다.

눈물, 콧물 줄줄, 반복되는 재채기

콧물, 재채기가 반복되는 알레르기성 비염

얼굴이 전체적으로 퉁중 붓는 맥관부종


액체성 물질의 누출로 인한 맥관부종

히스타민이 모세혈관의 투과성이 증가되면 혈액 단백이나 수액 성분이 혈관 외로 유출되면서 그 결과 조직의 부종현상이 일어납니다. 위 사진은 구글에서 검색한 사진인데요. 알레르기로 왼쪽 사진처럼 퉁퉁 부었던 사람이 호전된 후 원래 얼굴을 찾은 사람의 모습입니다. 맥관부종이 이 정도로 사람의 형체를 바꿀 수도 있습니다.


피부 발진,가려움

피부 알레르기 반응, 팽진 발적

피부에서 나타나는 팽진과 발적반응과 그로 인한 가려움 증상도 또한 히스타민에 의해 발생하는 알레르기 반응입니다.

히스타민은 모세혈관 투과성 증가로 혈장액이 혈관밖으로 누출되면서 발적, 팽진반응을 일으키고, 구심성 지각신경을 흥분시켜 가려움증을 일으키고 심하면 통증까지 유발할 수 있습니다.


기도가 좁아지면서 발생하는 호흡곤란

쌕쌕거리는 호흡음이 들리면서 숨이 가빠지면서 순식간에 호흡이 곤란해지는 응급 반응을 나타내는 천식도 히스타민이 기관지 평활근을 수축시켜 기도가 좁아지면서 호흡이 힘들어지는 증상입니다.


이 모든 것이 히스타민에 의해 생기는 반응이랍니다.

중요한 것은 히스타민의 이러한 반응은 외부 자극 요인으로부터 인체를 보호하기 위한 1차적인 방어 기전을 만들어지는 거라는 점이지요.

히스타민은 뇌를 중심으로 하는 중추신경계, 위장관 및 호흡기 점막 등 인체 여러 부분에서 세포 대사 및 염증반응을 활성화시키는 물질입니다.




항히스타민제는 어떤 약일까요?

항히스타민제를 복용하면 신기할 정도로 금방 재채기와 콧물이 안정되고 가려움증이 누그러지는 반응 경험하신 분들 많으시죠?

효과가 있으니 항히스타민제를 증상만 보이면 아무생각없이 계속 복용해도 되는걸까요?

외부의 자극에 의해 분비된 히스타민이 수용체와 결합하는 것을 경쟁적으로 막아서 알레르기 반응이 나타나는 것을 막아주는 것항히스타민제입니다.


그러나 이러한 항히스타민의 작용에 의해 우리의 몸은 여러가지 유해한 물질에 대한 저항력을 잃고 무장해제되는 반응이 일어나게 됩니다.


무슨 말이냐면 히스타민은 외부 자극으로부터 인체를 보호하기 위해 분비되는 물질입니다.

그런데 우리 몸을 보호해주는 기능이 있는 히스타민 분비가 줄어들게 되면, 당연히 이러한 병균이나 이물질등의 자극 인자가 우리 몸을 침범해 병을 키우는 상황이 생길 수 밖에 없는거지요.

이 과정을 통해 우리 몸의 병독이 커지는 결과가 생기게 됩니다.

또한 항히스타민제가 가진 부작용도 매우 다양합니다.

특히 중요한 부작용은 항히스타민제가 중추신경계에 영향을 준다는 것이지요.

콧물감기약이나 알레르기 약을 드시고 졸려서 업무에 지장이 있었던 경험 있지 않으신가요?

그래서 항히스타민제 복용 주의사항에 아예 복용 후 졸음이나 시력저하, 인지 저하 등의 증상이 생길 수 있으므로 운전이나 위험한 업무를 중단하라고 명시할 정도니깐요.


몇년전 일본의 한 대학에서 항히스타민제 복용 후 뇌영상을 분석한 결과 항히스타민제 복용 후 다음날까지는 뇌가 음주한 사람과 같은 숙취상태가 된다는 연구결과를 발표하기도 했습니다.

이렇듯 항히스타민제는 코증상만 억누르는 것이 아니라 우리 몸의 중추 신경계에도 작용해 무기력증, 우울증, 집중력저하 등 여러가지 뇌혈관신경계적 부작용을 발생시킬 수 있는 약입니다.


알레르기 치료에 중요한 건 면역력


상처가 생기거나 병균이나 이물질이 우리 몸에 침범하면 비만세포에서 히스타민이라는 물질이 방출되면서 알레르기 반응이 시작됩니다.

이러한 면역 반응은 외부의 이물질로부터 몸을 지키기 위한 자가치유 반응의 일종입니다.

히스타민은 혈관을 확장시켜서 혈관의 투과성을 증가시켜 혈액내 백혈구가 상처 조직으로 이동하도록 유도합니다. 이렇게 이동된 백혈구는 병균과 싸워서 손상된 조직을 회복하도록 하는 염증 치유 반응을 유도합니다.

이 과정에 히스타민은 혈관을 확장시키는 반응 외에도 위액과 위산을 분비량을 늘려 구강을 통해 들어오는 병독에 대해서도 대응할 준비를 동시에 합니다.

그런데 항히스타민제를 복용하게 되면 위액과 위산 분비가 저하되고 위산에 의해 1차로 사멸되어야 할 세균이 죽지 않고 소장까지 도달하는 상황이 만들어지게 되지요.

결국 이를 통해 이물질과 세균이 위장 내에서 1차적으로 걸러지는 작용이 일어나지 않아 이물질이나 세균이 몸 속 더 깊은 곳까지 침범하도록 하는 상황이 생기는 것입니다.

이런 과정을 거치면서 염증 반응은 더 넓은 범위까지 침범하게 되고 결국 알레르기 반응은 만성화되는 것입니다.


항히스타민제, 지르텍은 알레르기 치료약이 아니라 증상 완화제입니다.

삶의 질을 떨어뜨리는 알레르기 증상으로부터 자유로울 수 있도록 몸이 가진 면역력을 길러 주는 것~

그게 더 중요하지 않을까요?

알레르기 반응을 줄이기 위한 생활 속 TIP 4

1. 가공식품, 인스턴트 식품, 육류의 섭취를 줄이자

가공식품, 인스턴트 식품, 육류 등의 산성 식품을 많이 섭취하게 되면 이를 중화시키기 위해 알칼리성인 칼슘을 세포 내로 방출하는 반응이 일어나게 됩니다.

세포 내 칼슘 농도가 높아지게 되면 알레르기를 일으키는 히스타민 분비량이 늘어나게 되구요.

이런 음식 섭취만 안하셔도 알레르기 반응을 많이 줄일 수 있답니다.



2. 잠은 보약, 충분한 수면 중요해요.

우리는 잠을 통해 낮동안 만들어진 대사물질을 제거하고,손상되었던 조직을 회복시키고 있습니다. 그래서 질 높은 수면 상태를 지속적으로 유지하는 것은 건강한 몸을 위한 매우 중요한 요건입니다.

성인의 경우 7~8시간의 수면 시간을 확보하고, 잠을 줄여야 한다면 최적의 수면 환경을 만들어야 합니다.

잠자리 들기 최소 2시간 전에는 음식을 드시지 마시고, 카페인 섭취량을 줄여주세요.


3. 적당한 운동, 면역력 향상의 지름길

신체 활동이 부족하면 근육량이 줄어들고, 근력이 떨어집니다. 또한 그만큼 지방량은 늘어나게 되어 같은 양을 먹어도 쉽게 살이 찌는 비만형 몸으로 바뀔 수 있습니다.

적당한 운동은 면역 세포 생성을 자극하고 성장호르몬 분비를 자극해 조직 재생을 촉진하고 노화를 늦출 수 있습니다.


4. 적당한 실내 온습도 유지하기

추운 날씨가 연일 계속되면서 온풍기, 전열기구 사용이 증가하고 있습니다. 실내외 온도 차이가 너무 많이 나게 되면 우리 몸의 열손실이 커지고, 체온이 쉽게 떨어지게 되어 추위를 많이 타게 되고 면역력이 약해질 수 있습니다.

겨울철 실내온도는 18~20도 정도로 유지하고 실내 습도는 40% 정도를 유지하는 것이 건강에 좋습니다.



참고문헌/

1. 김경환.약리학 강의(제4판).의학문학사(1997)

2. 최용성외 4인. 항히스타민제의 올바른 사용법. 경희대학교 의과대학 소아과학교실 (2013)

keyword
매거진의 이전글스테로이드 사용설명서