brunch

머릿속의 시한폭탄

뇌동맥류, 지주막하 뇌출혈의 진단과 치료에 관한 이야기.

by Bans
복상사(腹上死)

이 단어의 뜻은 "남녀가 잠자리를 하던 중에 여자의 배위에서 죽었다"라는 뜻이다. 예전 우리 조상들은 복상사라 하면 매우 부끄러운 죽음으로 치부했다. 또한 여자에게는 남자를 잡아먹은 여자라고 하여 많은 비난을 했는데... 머릿속의 시한폭탄이라는 제목을 써놓고 난데없이 왜 복상사 이야기를 하느냐고?


보통 성교 시에는 교감신경이 흥분되어 혈압이 올라가고 맥박이 빨라지는 등의 혈관에 가해지는 스트레스가 늘어나게 된다. 그래서 기저에 혈관질환을 앓고 있던 경우에는 증상이 악화되는 경우가 왕왕 있는데 가장 흔한 것이 심장질환으로 인한 심장마비와, 뇌혈관 질환으로 인한 뇌출혈이다. 오늘은 뇌출혈에 관한 이야기를 해보려고 한다.


아니 뗀 굴뚝에 연기 나랴?

떼지 않은 굴뚝에는 연기가 나지 않는다는 말처럼 모든 일에는 원인과 결과가 있다. 뇌출혈 역시도 원인이 있는데 그 중요한 것 중의 하나가 뇌동맥류라고 부르는 혈관 질환이다. 뇌동맥류는 뇌동맥꽈리라고도 부르며 영어로는 Cerebral aneurysm이라고 한다. 이것은 뇌혈관이 부풀어 오른 것으로 이러한 뇌동맥류는 정상 혈관에 비하여 터질 가능성이 매우 높다. 쉽게 고무호스의 한 부분이 부풀어 올라있는 위태위태한 상황을 생각하면 되겠다.



Cerebral_aneurysm-fr.svg.jpg
뇌동맥류.jpg


좌측 그림에서는 뇌로 올라오는 두 개의 혈관이 관찰된다. 그중에 우측 줄기에서 혈관이 분지 되는 부분에 부풀어 올라 늘어난 혈관이 관찰되고 있다. 저 부분이 바로 뇌동맥류이다. 그냥 보아도 다른 혈관에 비하여 터지기 쉽게 생기지 않았는가? 이러한 뇌동맥류를 혈관조영술을 통하여 보면 우측 사진과 같다. 까만 선들이 조영제에 의해 보이는 뇌혈관의 모습이고 사진의 중앙 부분에 혹 주머니 같이 보이는 커다란 것이 바로 뇌동맥류이다.



뇌동맥류의 유병율

미국에서 시행된 조사에 의하면 전체 인구의 1~5%가량이 뇌동맥류를 가지고 있다고 한다. 적어도 100명에 1명꼴로 뇌동맥류를 가지고 있는 것이니 그 비율이 결코 작지 않다. 하지만 그렇다고 해서 모두가 문제가 되는 것은 아니다. 뇌동맥류가 파열되어 나타나는 지주막하 출혈은 전체 인구를 기준으로 약 10,000명에 1명 정도의 빈도로 나타나는 것으로 보고되어 있다.



지주막하 뇌출혈

지주막하 뇌출혈은 뇌의 지주막하 공간에서 발생하는 출혈을 의미한다. 백문이 불여 일견, 그림을 보자.


지주막.jpg 뇌를 둘러싼 막의 구조 (경막/지주막/연질막)

뇌는 중요한 장기인만큼 단단한 두개골 안에서도 또 여러 겹의 막으로 싸여 있다. 뇌를 둘러싸고 있는 막들을 순서대로 경막(Dura mater), 지주막(Arachnoid mater), 연질막(Pia mater)이라 부른다. 지주막과 연질막의 사이를 지주막하 공간이라고 부르는데(그림에서 하얀 거미줄 같은 것이 있는 부분) 이 부분은 뇌척수액이 흐르는 통로이자 뇌동맥들이 위치해 있는 공간이다. 뇌동맥류의 경우에는 지주막하 공간에 위치하므로 파열되었을 때 지주막하 뇌출혈이 발생하게 된다. 파열된 뇌동맥류에 의한 지주막하 뇌출혈은 출혈량이 많을 뿐 아니라 지주막하 공간에서 흐르는 뇌척수액을 통하여 뇌 전반에 퍼진다. 따라서 뇌출혈 중에서도 위험한 뇌출혈에 속하고 합병증 역시 심각하다.


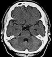
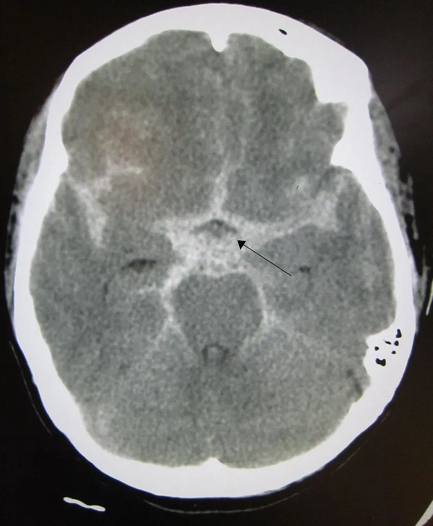
normal brain.jpg
844px-SAH1.JPG

화질이 조금 떨어지지만 좌측이 정상 뇌 CT 사진이고 우측이 지주막하 뇌출혈이 발생한 사진이다. 하얗게 보이는 부분이 (화살표) 출혈이 있는 부분으로 뇌 전반에 퍼져 있는 것이 관찰된다.


레지던트 시절 나의 은사님 중에서 지주막하 뇌출혈에 대하여 이렇게 설명하는 교수님이 있었다.

"지주막하 뇌출혈이 발생하면 1/3이 그 자리에서 죽고 1/3은 병원에 오면서 죽는데, 병원에 도착한 사람들도 1/3에서는 수술받다가 죽고 1/3에서는 수술 후에 치료받다가 죽고 나머지 1/3만이 생존한다."

물론 환자와 보호자가 얼마나 중한 병인지를 알게 하고 치료를 잘 받게 하기 위하여 하시는 말씀이었지만, 실제로 지주막하 뇌출혈은 매우 무서운 병임에는 틀림없다.


이러한 출혈을 일으키는 뇌동맥류 파열은 갑작스러운 뇌혈류의 변화와 혈압의 변화 등에 밀접한 관련을 가지게 되는데, 실제 병원에서 환자들의 병력을 조사하다 보면 무거운 물건을 드는 행위, 성교나 자위행위, 화잘실에서 볼일을 보던 중에 발생한 극심한 두통 혹은 의식소실을 주소로 오는 경우가 많다.


뇌동맥류의 위험요소

뇌동맥류가 생기는 명확한 기전은 밝혀져 있지 않으나 관련이 있다고 밝혀진 위험요소와 질환을 정리해본다.

위험요소

고혈압

흡연

과도한 음주

비만

코카인

(역시 술과 담배, 비만은 나쁜 데에는 빠지는 곳이 없다.)

질환은 흔한 병들이 아니라 생소할 수 있다. (잘 몰라도 된다.)

말판증후군

상염색체 우성 다낭성 신종

제 1형 신경섬유종증

제 1형 다발성 내분비 샘종

탄력 섬유성 가황색종

유전성 출혈 모세혈관 확장증

제 2형, 제 4형 엘러스-단로스 증후군


뇌동맥류의 치료

뇌동맥류의 치료는 파열되지 않은 경우와 파열되어 출혈이 발생한 경우가 각각 다르다.

먼저 동맥류가 파열되어 뇌출혈이 생긴 경우에는 환자가 생존의 가능성이 있는 한 수술적 치료가 우선이다. 수술의 방법에는 두개골을 열어 현미경을 보며 수술하는 뇌동맥류 결찰술이 있고, 혈관 내로 카테터를 넣어 수술하는 코일 색전술이 있다.


비 파열된 뇌동맥류의 경우에는 뇌동맥류의 크기와 모양, 그 위치에 따라 치료가 달라지는데 파열 위험성이 높은 동맥류의 경우 예방적으로 수술을 시행하기도 한다. 근본적으로 "뇌동맥류에 대한 약물 치료방법은 없다."라는 것이 올바른 말이며 비파열 동맥류의 경우 경우에 따라서는 혈압조절을 잘하면서 경과를 추적 관찰하여 그 치료 타이밍을 조절하기도 한다.

keyword
매거진의 이전글암이란 무엇인가?