술로만 지낸 환자, 결국

어렵게 짧은 수술을 마쳤습니다.

by 김욱곤
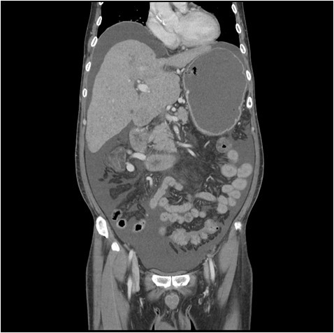
다운로드.jpg (이미지출처:능곡하나내과) 이 정도면 아주 심각하죠.


2018년도의 일입니다. 응급으로 들어온 환자가 제게 배정되었습니다. 나이도 나랑 동갑인데 열 살은 더 들어 보이는 환자분이 다리 열상(裂傷)으로 오셨지요. 마취 전 평가를 위해 훑어보다 보니 헤모글로빈도 낮아서 빈혈이 심하고 혈소판 수치도 정상보다 한참이나 낮았습니다. 이런 경우 십중팔구 간의 이상이라 짐작했습니다.

과거병력으로, 살아오는 동안 특별히 눈에 띄는 증상이 없어 검진은 안 받으며 지냈고 밥은 안 먹어도 소주는 반드시 1병을 마신 세월로 미루어 볼 때, 추정컨대 간경화(간경변)로 들어선 게 분명합니다.


사람을 외모로 평가하지 않아야 하지만 의사 생활 몇십 년이면 환자를 평가할 때 반드시 외모로도 평가가 되어야 합니다. 무슨 사정으로 술을 그리 마셔댔는지는 모르지만 일단 의사 입장에서는 답답해 보이기 마련입니다. 심하게 말하자면 미련해 보였습니다.


척추마취를 해야 맞지만 혹시라도 있을지 모를 출혈 소인 때문에 전신마취를 택했습니다. 수술 자체가 한 시간 이내의 수술인 데다 요즈음의 흡입마취제는 다행히 예전에 비해 간독성이 거의 없다고 보아도 무방합니다. 다행히 수술의 모든 과정을 잘 견뎌주었고 마취에서 잘 깨우고 지금 방으로 들어왔습니다.



세상의 모든 질병이야 내가 어쩔 수 없는 부분도 있고, 다치거나 사고 정도야 내가 어찌할 수 없는 불가항력이지만 생활 습관의 불량으로 인해 내 몸이 망가지는 건 본인의 책임입니다. 제아무리 항우장사라 한들, 계속되는 악습관에서 튼튼할 사람이 어디 있겠습니까?




내 영(靈)도 그러합니다. 습관의 잘못으로 인한 파괴는 어떻게 보면 내 책임입니다. 영적인 멘토나 기도, 성경으로 아무리 보듬어 주어도 내 결심으로 나를 망가뜨리는 일은 답이 없지요.


내 몸의 생리학적 나이는 몇 살입니까? 그리고 내 영의 나이는 몇 살이며 더불어 순수하다고 자부할 수 있습니까?


이전 20화차가 많아진 시대의 마트