brunch

봉우리빗장관절 손상에 대해

갑자기 내 어깨에서 찌그덕 소리가 났다.

원래 근골격계 손상에 대한 글을 쓰기로 계획을 세웠을 때 첫 주제는 따로 있었다. 원래의 계획대로라면 우선 자세에 대해 이야기를 하고 싶었다. 자세에 대한 많은 정보가 있지만, 알면서도 쉽게 이해하기 힘든 것이 자세이다. 그것에 대해 개략적으로 쓰고 싶은 내용은 '올바른 자세란 무엇이고 어떻게 그것을 평가하며 유지할 수 있는가'에 대한 내용이었다.


그런데 지금 쓰는 첫 내용은 어깨에 대한 이야기이다. 더군다나 일반인들 입장에선 잘 들어보지도 못했을 만한 봉우리빗장관절(Acromioclavicular joint), 예전 의학용어로는 견쇄관절에 대해 이야기를 하고 있다. 내가 이 이야기를 첫 주제로 선택한 이유는 너무도 단순하게 지금 내 오른쪽 봉우리빗장관절이 아프기 때문이다. 단순히 통증이 발생한 수준을 벗어나 맨눈으로 살펴봐도 어깨 쪽이 두드러지게 솟은 걸 확인할 수 있다.


사실 이 관절 부위는 최근 갑자기 손상을 당한 것이 아니다. 약 2년 전 피트니스센터에서 운동을 시작하다 어느 날 무리하게 팔 운동을 한 것이 손상의 직접적 원인이 되었다. 그 후 오른쪽 어깨 손상으로 꽤 고생을 했다. 큰 맘먹고 3개월치 선납한 피트니스센터에서 운동을 제대로 할 수 없었던 건 물론이고, 팔을 제대로 쓰기가 참 어려웠다. 병원에 방문하였지만 항염증제와 진통제 외엔 딱히 도리가 없었다. 그때 손상 수준으론 수술을 할 정도도 아니니 어찌 보면 염증이 가라앉고, 통증이 줄어들길 기다리는 건 당연한 이야기다.


시간이 흐르며 희미해지는 통증에 익숙해질 때쯤, 다시 일상생활을 영위할 수 있었다. 다시 가볍게 운동을 시작할 수도 있었다. 그렇게 통증은 사라져 갔고, 나의 오른쪽 어깨에 대한 염려도 기억에서 사라졌다. 문제는 며칠 전이다. 코로나-19로 인해 한동안 쉬었던 운동을 다시 시작해보려 아령으로 가볍게 홈트레이닝을 시작할 무렵 어깨에서 갑자기 불쾌한 느낌의 찌그덕 소리가 들리는 것이다.

내 오른쪽 어깨(좌)의 봉우리빗장 관절 부위가 왼쪽 어깨(우)에 비해 튀어나와 있다.



봉우리빗장 관절 사이엔 디스크가 있다. 출처 Brunnstrom's Clinical Kinesiology 6판 중

이 불쾌한 찌그덕 소리의 원인은 바로 내 봉우리빗장관절 사이에 위치한 부분적 관절 원반(디스크)의 손상으로 인한 것으로 짐작하고 있다. 물론 이 관절을 둘러싼 관절 주머니나 봉우리빗장인대도 멀쩡할리 없다. 내가 방심한 것이다. 그때 통증이 좀 줄어들었을 때 제대로 관리해놓을 걸. 제대로 치료적 운동을 해놓을 걸.


시간이 흘러 이런 후회를 해봤자 아무런 의미가 없다. 이런저런 핑계로 관리하지 못한 게으름에서 기인한 내 잘못이다. 이제부터라도 제대로 봉우리빗장관절 어긋남에 대한 치료적 운동을 해보자.


어떻게 시작해야 할까? 이것이 내가 이 글을 쓰는 이유다.

검색을 통해 손상에 대한 정보는 쉽게 얻을 수 있지만, 어떻게 치료적 운동을 해야 하는지 구체적으로 알려주는 곳은 제대로 없었다. 간혹 정보를 제공하는 곳도 있었지만 신뢰성에 의심이 갔다. 원래 의심이 많은 성격이라 스스로 교차 검증하지 않으면 잘 신뢰하지 않는 편이다. 건강한 컨디션에 적용할 일반적 운동이라면 일단 따라 하고 보겠는데, 이렇게 어긋난 상태에서 자칫 잘못하면 손상을 악화시킬 수도 있으니 신중해야 할 것이다.

따라서 문헌과 정보를 바탕으로 글을 적어보겠다.


서론이 길었다. 그렇다면 봉우리빗장관절 손상에 어떻게 대처하면 될까?



봉우리빗장관절 손상에 대해


개요

봉우리빗장관절 손상은 여러 가지 형태로 나타날 수 있다. 관절면의 형태가 완전히 어긋난 탈구(dislocation)의 형태가 될 수도 있고, 부분적으로 어긋난 아탈구(subluxation), 그로 인해 야기되는 염좌(sprain)가 나타날 수도 있다.


손상 원인

직접적 외상(어깨로 넘어지거나 팔을 뻗은 상태로 낙상 등)

간접적 외상(무리한 운동 등) 특히 어깨의 움직임 범위의 끝 부분에서 무리한 동작 - 트라이셉 컬 동작(팔을 쭉 펴는 운동)을 하던 나의 경우

봉우리 빗장관절의 형태 및 역할

- 관절면의 형태는 평면 윤활 관절 형태로 불안정한 관절 원반은 손상을 야기하기 쉽다. 사체 연구를 통해 확인해 본 결과 10% 만이 완전한 원반 형태의 관절을 가지고 있었다.1 특정한 사람들을 제외한 대부분의 사람들은 봉우리빗장관절면이 완전한 원형을 띄고 있지 않기에 손상이 쉽게 발생한다고 볼 수 있다.

이 관절의 움직임은 자세를 만들어 내는 모든 면에서 발생하지만 상당히 제한적이다. 관절의 형태상 단독 움직임은 관찰되지 않는다. 주된 작용은 팔을 150도 이상 높이 들었을 때부터 빗장뼈에 안정성을 제공하는 역할이다. 팔 움직임에 있어 어깨 움직임의 끝 범위에서 미세한 조절을 담당한다.


- 팔은 우리 몸통 부분 중 빗장뼈에 의해 부착되어 있다. 팔은 어깨뼈(견갑골)에 넓은 관절면에 부착되어 있어 안정적으로 몸통에 부착되어있다 생각하기 쉬운데, 정작 어깨뼈 자체는 빗장뼈 하나에 의존하여 봉우리빗장관절에 직접 부착되어 있다. 안정적으로 보이는 어깨뼈 주변은 단지 근육으로 감싸져 있을 뿐이다. 그래서 봉우리 빗장관절은 아주 작은 관절면을 가지고 있지만, 손상 시 영향은 크다.

- 봉우리빗장관절의 손상은 어깨 움직임의 끝 범위까지 흔히 통증을 나타내는데, 예를 들면 아침에 머리를 빗을 때라던지, 출퇴근길 지하철 손잡이를 잡을 때 라던지 우리들 일상의 많은 부분에 영향을 미친다. 바쁜 생활 속 어깨에 대한 손상을 잊을만하면 일상 속에서 갑자기 찾아와 불쾌한 통증을 선사한다.


손상의 종류


봉우리빗장관절 손상 구분은 Rockwood 분류법을 따른다.2

봉우리빗장관절 손상에 따른 6가지 분류, 출처 Radiopedia org. Case courtesy of Andrew Murphy


손상 등급

1단계 - 관절주머니 삠, 팔을 움직일 때 부분적으로 통증이 있음.

2단계 - 관절주머니 손상, 주변인대 손상, 손상부위 돌출, 관절부위 누르면 통증이 있음.

3단계 - 주변인대파열, 손상부위 돌출이 상당함, 주변 근육(등세모근, 어깨세모근)도 손상.

4단계 - 주변인대 완전파열, 빗장뼈(쇄골) 뒤로 이동함. 이 단계 이후 수술 권유

5단계 - 3단계에서 빗장뼈가 위로 훨씬 더 상승함.

6단계 - 빗장뼈가 아래쪽으로 내려감(드문 경우).


봉우리빗장관절의 손상별 치료 가이드라인에 따르면 1~3단계 수준에서는 보존적 치료 방법을 따르고, 4~6단계에서는 수술적 치료를 권한다.3


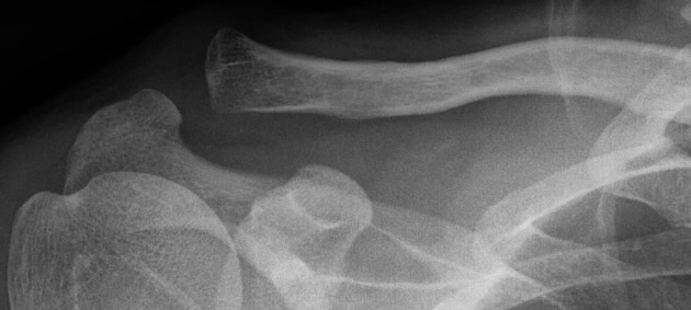
아마 내 단계는 이 중 II 단계쯤으로 짐작된다. 병원에 내원해서 엑스레이를 찍고 정확한 진단을 받아보지 않았으니 정확한 구분은 아니다. 어깨가 불편하지만 병원에 가기엔 뭔가 조금만 더 참으면 될 것 같은 정도. 아플 땐 병원 가야지 하다가 막상 시간이 나서 병원에 가려하면, '조금 더 참다가 많이 아프면 그때 가보지 뭐' 이런 정도의 상태다. 그래서 아직 병원에 가지 못했고, 불편함도 아직 가지고 있다. 일상생활은 무리 없이 하고 있다. 아마도 엑스레이 사진으로 보면 다음과 같을 것이다.

손상 단계 II. 출처 Radiopaedia.org. Case courtesy of Dr Varun Babu



검사

1. 오브라이언 검사(o'brien test) - 봉우리빗장 관절의 손상뿐 아니라 어깨관절테두리(관절와순)의 손상을 평가할 수 있는 간단한 검사법이다. 이 검사방법은 누군가의 간단한 조력이 필요한데, 팔을 위에서 눌러주는 정도면 충분하다.


검사법

1) 팔을 펴서 손바닥이 아래로 향하게 충분히 돌린 후 (엄지 손가락 끝이 바닥면을 볼 정도로) 팔을 아래로 눌러주는 압력을 주었을 때 통증 여부 확인.

2) 팔을 펴서 손바닥이 하늘로 향하게 충분히 돌린 후 팔을 아래로 눌러서 압박을 주었을 때 통증 여부 확인.


평가

1) 번 동작에서 통증이 나타나고, 2) 번 동작에서 통증이 나타나지 않으면 봉우리빗장 관절 혹은 어깨관절테두리의 손상을 의심해 볼 수 있다.


오브라이언 검사법 출처 Funk L., Monga P. (2015), Springer Link


잘 모르겠으면 동영상으로 봅시다(1분 미만)- 오브라이언 검사법


2. 봉우리빗장 관절 압박 검사 - 봉우리빗장 관절의 압박을 통해 상태를 살펴보는 검사법. 손상이 있다면 통증이 재현된다.


검사법

팔을 어깨 높이로 들고, 어깨를 안쪽으로 압박해서 통증 유무를 확인하는 검사이다.


평가

압박 시 통증이 나타나거나 증가하면 봉우리빗장 관절의 손상을 의심해볼 수 있다.


봉우리빗장 관절 압박 검사법, 출처 Chiropractic Online Continuing Education. au.


동영상으로 봅시다(1분 내외) - 봉우리빗장 관절 압박 검사법



중재


기본적 치료

부상 후 조심하면서 며칠이 지나면 통증이 감소하게 된다. 보통 6주의 보존적 치료가 필요하다. 특히 손상을 입고 통증이 나타나는 초기에 무리한 재활운동은 미성숙한 흉터 조직에 스트레스를 가해 만성적 손상으로 이어질 수 있다. 손상 후 보름 정도(최소 1주)는 특별한 운동을 하지 말고 충분한 휴식이 필수적이다. 통증이 없는 수준에서 일상생활은 해도 괜찮다.


평가와 기본적 치료는 당연히 전문의에게 받아야 한다. 언제든 활용할 수 있는 양질의 의료서비스를 최대한 활용하자. 내가 글을 통해 제공하고픈 정보는 일차적 치료가 끝나고 난 그 이후의 상황에 대한 이야기이다. 혹은 앞서 설명한 손상의 단계에 따르자면 1~2단계여서 증상이 심각하지 않아 병원에 갈 정도가 아니거나, 3단계 이후여서 병원에서 적절한 치료를 받고 난 후 (수술을 포함) 앞으로 어떻게 관리해야 하는지가 막막한 경우에 참고 삼길 바란다. 이 경우에 해당한다면 다음의 방법을 참고하길 바란다.



아직 통증이 있다면?


어느 날 통증으로 어깨가 불편한 정도이다. 뭔가 불편하지만 병원에 가기엔 뭔가 애매한 1~2 단계가 이에 속할 것이다. 이 경우 다음의 방법을 실행해보자.


기본적 치료(보존적 치료)

- 통증을 유발하는 자세와 활동을 피하라(최소 1~2주).

- 얼음주머니로 염증을 가라앉혀준다.

- 의자에 앉아 있을 때 팔 아래 쿠션 등을 놓아 관절에 가해지는 압력을 줄여라(봉우리빗장 관절이 중력에 늘어나지 않도록 한다).

- 수면 자세 살펴본다, 혹시 옆으로 누워 잘 때 아픈 쪽 어깨를 깔고 잔다면 눕는 방향을 반대로 바꾼다.

- 몸 베개를 활용하라.

자다 보면 나도 모르게 습관적으로 누워자던 쪽(보통 아픈 어깨 쪽)으로 누워 잘 가능성이 크다. 이때 몸 베개는 어깨에 가해지는 압력의 감소에 큰 도움을 준다. 내가 어느 쪽으로 눕던 몸 베개는 통증 감소에 도움이 된다. 또한 척추를 곧바로 유지하는 역할도 제공하므로 여러모로 유용하다.

- 근육 테이핑을 적용하는 것도 좋다. 기본적으로 이 관절을 감싼다는 느낌으로 적용하면 된다. 특별한 기술이 없어도 도움이 된다. 봉우리빗장 관절의 움직임을 제한하는 것이 목적인 테이핑이니 이 부위를 십(十) 자 형태로 감싸기만 해도 효과가 있다. 시중에 판매하는 근육 테이프, 마이오 테이프라고 하면 쉽게 인터넷으로 구매할 수 있다. 가격은 한 롤에 몇 천 원이면 구매가 가능하다. 다만 이때 유의할 것은 신축성이 있는 이 근육 테이프를 많이 늘려 붙이지 않는 것이다. 가볍게, 상당히 가볍게 당기듯 붙여준다. 정보를 얻으려면 유튜브 검색 등 활용, 키워드 AC joint taping로 검색하시면 된다. 유용한 정보는 영어로 검색하시면 충분히 다양한 자료를 확보할 수 있다.

- (통증이 없는 범위에서) 가볍게 어깨 움직인다. 이는 어깨에 혈액순환도 돕고, 근육이 유착되거나 짧아지는 것을 방지한다.


통증도 거의 사라지고, 염증도 가라앉았다면? 이제 치료적 운동을 실시해보자



이제 내 어깨를 다시 정상으로 회복시킬 운동을 실시해보자. 대부분의 경우 통증이 사라지니 다시 일상생활로 복귀하여 평소의 생활 습관을 유지하기 십상이다. 그러면 머지않아 나와 비슷한 경험을 하게 될 것이다. 그리고 그 통증은 상당히 오래갈 것이다. 그러니 나와 같은 어리석음을 피하기 위해 치료적 운동을 권한다.


이제 자신의 어깨에 관심을 가질 시간이다. 다시는 그런 손상이 내 어깨에 재발하지 않도록 치료적 운동을 시작하자.


봉우리빗장 관절 손상에 대한 운동법을 인터넷 검색으로 살펴보면 방법들이 상당히 다양하다. 예를 들면 맨손 체조부터, 세라밴드를 활용한 방법, 볼을 활용한 방법, 아령을 활용한 방법 등등 상당히 많은 방법들로 구성되어 있고 그 동작들도 다양하다. 그렇기에 어느 동작을 수행해야 할지 헷갈린다. 쉽게 운동을 따라 하기 위해 유튜브를 살펴보면 유튜버에 따라 아예 다른 동작(상반되는 동작들로 서로 반대의 근육을 강화시키는)을 소개하기도 하는데 이런 경우 어떤 사람의 의견을 따라야 할까? 소개한 방법들이 건강한 어깨를 만들기 위한 방법들이겠지만, 봉우리빗장 관절에 손상이 있는 분에게 부적절해 보인다.


그렇다면 어떤 기준으로 내게 맞는 운동을 살펴보아야 할까? 핵심은 봉우리빗장 관절을 안정적으로 유지하는 능력을 키우는 것이기에 이와 관련된 근육을 단련하면 된다. 첫 번째 봉우리빗장 관절 역할을 대신할 해부학적 위치에서의 안정성을 제공하는 근육, 두 번째 팔의 움직임 시 봉우리빗장 관절에 부담을 덜어주는 역할을 하는 근육 강화가 필요하다. 특히 팔 움직임의 끝 범위에서 봉우리빗장관절의 활동이 크기에 이 역할을 도와줄 수 있는 근육, 팔 움직임의 끝 범위에서는 어깨뼈의 움직임이 필수다. 어깨뼈의 움직임을 도와주는 근육이 두 번째 근육에 속한다. 세 번째 어깨뼈 움직임을 유연하게 하기 위해 근육을 스트레칭시킬 필요도 있다. 이는 평상시 내 행동 습관에서 기인했을 것이다. 컴퓨터 업무를 위해 어깨를 높이 유지해야 할 필요도 있고, 침침한 눈을 대신해 모니터를 가까이서 볼 경우도 많았을 것이다. 꼭 실내 업무뿐 아니라 실외 근무자들도 팔을 쓰기 위해 어깨를 움츠린다. 그러면 큰 가슴근(대흉근)이나 위팔두갈래근(상완이두근) 등의 근육 부착 위치가 가까워져 적은 에너지로도 힘을 쓰기 쉽기 때문이다. 업무를 위한 에너지 효율성 측면에선 좋은 것이지만, 어깨를 움츠리는 동작은 어깨뼈를 앞으로 기울이게 되고, 그동안 불쌍한 봉우리빗장 관절은 그 압박을 온몸으로 고스란히 받아들여야만 한다. 제대로 디스크도 갖추지 못한 그 작은 관절이 말이다.1


이 원칙만 유지한다면 어떠한 방법으로 운동을 해도 괜찮다. 이때 유의할 것은 운동 시 어떠한 경우에도 봉우리빗장 관절에 통증이 발생해선 안된다. 통증이 발생한다면 그 관절에 압박이 증가되고 있다는 증거이기에 그 동작은 수정이 필요하다. 다만 관절이 압박되어 통증이 발생하는 것과 안 쓰던 근육을 써서 발생하는 통증의 양상은 다르다. 전자의 통증은 찌르는 듯한 날카로운 형태로 봉우리빗장 관절 부위에 나타날 것이고, 후자의 형태는 뻐근한듯한 둔한 느낌으로 비교적 넓은 부위에 나타날 것이다. 이는 어깨 통증을 경험해 본 분이라면 쉽게 분간할 수 있을 것이다. 운동 시 통증 감소를 위한 한 가지 팁은 어깨를 펴고 운동하라는 것이다. 운동에 몰입하다 보면 나도 모르게 어깨를 구부정하게 만들 수 있는데 이는 봉우리빗장 관절의 압박을 증가시켜 손상을 야기한다.



움직임을 개선을 위해 강화시켜야 하는 근육

1. 어깨돌림근띠(회선근개)

2. 앞톱니근(전거근)

왼쪽이 돌림근띠(1,2,3,어깨밑근은 어깨뼈에 가려짐), 우측이 앞톱니근

어깨치료에 있어 빠질 수 없는 중요한 근육은 어깨돌림근띠(회선근개)이다. 어깨돌림근띠는 어깨뼈에서 위팔뼈 머리 쪽에 부착된 4개의 근육을 총칭한 것인데, 어깨돌림근띠는 위팔뼈 머리가 어깨뼈의 관절면에 제자리 잡도록 도와주는 역할을 하는 근육이다. 실험에 따르면 손에 25파운드(약 11.3kg) 무거운 가방을 들었을 때 어깨돌림근띠의 작용만으로도 이 동작을 수행할 수 있었다고 하니 이 근육의 평상시 작용 능력이 놀라울 따름이다. 어깨 주변의 큰 근육들은(어깨세모근, 위팔두갈래근, 위팔세갈래근)은 근전도(EMG, electromyo graphy) 상 변화가 나타나지 않았다고 한다.4,5 어깨돌림근띠의 강화는 팔을 쉬거나 움직일 때 관절면의 제 위치에 위치하도록 도와줄 것이다. 앞톱니근은 어깨뼈를 위쪽 돌림(화살표 방향)시켜주는 역할을 한다. 어깨뼈의 위쪽 돌림은 팔을 끝까지 드는데 필수적으로 동작이다. 봉우리빗장 관절의 손상은 팔의 움직임 끝에서 주로 통증을 야기시키므로 어깨뼈 위쪽 돌림에 도움을 제공하는 앞톱니근의 강화는 팔 동작의 개선과 통증 감소에 효과적 방법이다. 간략한 운동 방법은 다음과 같다.


스트레칭(이완) 시켜야 하는 근육

1. 작은 가슴근

2. 어깨올림근

왼쪽이 작은 가슴근, 오른쪽이 어깨올림근

작은가슴근은 어깨뼈를 부착 위치를 보면(어깨뼈 앞 부리돌기) 짐작할 수 있겠지만 아래쪽으로 내리는 역할을 한다. 봉우리빗장 관절의 손상시 어껴뼈의 봉우리는 빗장뼈에 비해 내려가 있는데 그걸 더욱 아래로 끌어내리는 역할을 하니 봉우리빗장관절 입장에선 눈물이 날 지경일지도 모른다. 어깨올림근은 이름만 들으면 내려가 있는 어깨뼈를 위로 올려줄 것 같지만 어깨뼈를 아래쪽 돌림(화살표)시킨 후에야 어깨뼈를 올려주는 역할을 하니 이는 아군도 적군도 아닌 상황이다. 오히려 아래쪽 돌림은 봉우리빗장 관절의 벌어짐을 증가시킨다. 작은가슴근과 어깨올림근 두 근육 모두 작용시 어깨뼈를 아래쪽 돌림 시키는 근육이니 어깨뼈의 위쪽 돌림이 절실한 봉우리빗장관절 손상시 이 두 근육의 과한 작용은 달갑지 않다. 또한 작은가슴근과 어깨올림근은 데스크 업무와 스마트폰이 익숙한 일상에서 과긴장하기 쉬운 대표적 근육이기도 하다. 이 근육들은 스트레칭이나 마사지를 통해 이완시켜주는 것이 필요하다. 그 위치를 정확히 찾지 못해도 좋다. 대충 위의 그림에 따라 어깨뼈를 따라 근육을 찾아 마사지해보라. 통증이 심한 곳을 금방 찾을 수 있을 것이다. 그곳을 부드럽게 마사지하면 된다. 간략한 이완 방법은 다음과 같다.



봉우리빗장 관절 안정을 위해 강화시켜야 하는 근육

1. 윗등세모근(상부승모근)

2. 어깨세모근(삼각근)

왼쪽이 윗등세모근, 오른쪽이 어깨세모근

이 근육들을 선택한 이유는 이 두 근육은 직접적으로 봉우리빗장 관절을 가로질러 안정성을 제공한다. 어깨세모근과 윗등세모근은 봉우리빗장 관절 손상시 함께 손상되는 대표적 근육이기에 회복은 안정성 강화에 필수적 요소이다. 가장 직접적이지만 가장 늦게 소개하는 이유는 앞서 소개한 근육들을 먼저 강화와 이완 후 적용하는 것이 순서상 적합하기 때문이다. 이 근육들은 팔에 큰 힘을 내는 근육들로서 팔의 안정성 강화에 필수적이지만, 통증이 없다고 섣부르게 웨이트 운동을 재개했다간 다시 통증에 시달릴지도 모른다. 그리고 재손상은 회복에 더 오랜 시간이 걸린다.

윗등세모근과 어깨세모근의 강화는 특별한 방법을 고려하지 않아도 된다. 그냥 아령을 들고 팔을 드는 동작이면(특히 옆으로 들기) 이 근육들이 알아서 작용할 것이다. 이 근육들의 영향 없이 아령을 들고 팔 운동을 하는 것은 불가능할 정도이니 그냥 능력이 되는대로 근력 운동을 하면 된다. 단 앞서 설명했듯 절대 통증이 야기되어선 안되므로 웨이트를 천천히 늘려가길, 웨이트를 든 채로 운동 범위를 천천히 늘려가길 바란다.


주의사항

1. 운동 시 어깨 통증이 발생하면 멈추고 운동 방법을 수정하라.

2. 운동 시 어깨를 구부정하게 하지 마라.


간략한 운동 방법은 다음과 같다.


번외) 탄탄한 어깨를 위해 어깨 강화 운동을 하려면 어깨 돌림근띠도 같이 운동해주세요. 어깨 움직임의 주 근육인 어깨세모근(삼각근)을 발달시키면 단단한 어깨의 외형을 갖추게 됩니다. 볼륨 있고 단단한 어깨는 강력한 팔의 상징일 뿐 아니라 옷을 입었을 때 핏을 살려주기도 합니다. 요즘은 여성의 경우에도 멋진 어깨세모근을 가진 경우가 많습니다. 하지만 이때 쉽사리 간과하기 쉬운 것이 어깨돌림근띠 운동입니다. 어깨돌림근띠는 어깨세모근과 같은 방법으로 운동해선 단련되지 않습니다. 근육의 부착 위치가 다르기에 운동 방법도 달라야 합니다. 또한 근육의 구성 성분상 표면에 위치한 어깨세모근은 흰색 섬유가 많은 운동형 근육이고(type I 섬유), 그 보다 속에 위치한 어깨돌림근띠는 붉은색 섬유가 많은 자세성 근육(type II) 입니다. 두 가지 특성을 고려할 때 근육 섬유 방향에 따른 운동 방향, 근섬유 구성성분에 따른 운동 지속 시간이 달라야 합니다. 즉 어깨돌림근띠 운동은 팔을 바깥쪽으로 돌리는 방향으로 천천히 운동해야 효과적으로 강화할 수 있습니다. 기본 원리는 윗 사진을 참조하시면 됩니다. 다만 천천히 적용하세요. 하나부터 열까지 천천히 세면서 1회 운동을 한다고 생각하시면 됩니다.


어깨돌림근띠는 어깨 재활 운동에 있어 약방의 감초처럼 등장을 합니다. 해답은 이 근육의 해부학적 부착 위치에서 찾을 수 있습니다. 만일 어깨돌림근띠 운동을 하지 않고 어깨세모근만 강화하게 된다면 어떻게 될까요? 아마 평소 문제 없던 어깨가 운동을 할수록 불편함을 느끼게 될지도 모릅니다. 무거운 웨이트를 들어올리려 어깨세모근은 날마다 그에 맞춰 강해지는데 어깨돌림근띠는 따로 운동을 하지 않아 그 힘을 감당할 수준이 되지 않는다면 말이죠. 그러면 어깨세모근의 근섬유 방향에 따라 위팔뼈가 어깨뼈에 부딪히게 되어 어깨 충돌증후군(shoulder impingement syn)이 발생될 수도 있습니다.




돌림근띠는 어깨세모근의 작용으로 인해 위팔뼈가 위로 올라가 충돌을 일으키는 것을 방지해준다. 출처 Brunnstrom's Clinical Kinesiology 6판 중




쓰다 보니 이야기가 길었다. 간략히 정리하자면


평가와 기본적 치료는 당연히 전문의에게 받아야 한다.

이 정보는 일차적 치료가 끝나고 난 그 이후의 상황에 대한 이야기이다.



움직임을 개선을 위해 강화시켜야 하는 근육

1. 어깨돌림근띠(회선근개)

2. 앞톱니근(전거근)


스트레칭(이완) 시켜야 하는 근육

1. 작은 가슴근

2. 어깨올림근


봉우리빗장 관절 안정을 위해 강화시켜야 하는 근육

1. 윗등세모근(상부승모근)

2. 어깨세모근(삼각근)


운동 중 통증이 발생하면 그 운동을 멈추고, 방법을 바꾸길 바란다.


운동에 대한 검색 키워드(구글, 유튜브 활용)

봉우리빗장관절 운동 - AC joint exercise, AC joint rehab

테이핑 - AC joint taping


참고 사이트

https://www.physio-pedia.com/Acromioclavicular_Joint_Disorders


참고문헌

1. DePalma, Anthony Frederick. Degenerative changes in the sternoclavicular and acromioclavicular joints in various decades. No. 309. Thomas, 1957.


2. Gorbaty, J. D., Hsu, J. E., & Gee, A. O. (2017). Classifications in Brief: Rockwood Classification of Acromioclavicular Joint Separations. Clinical orthopaedics and related research, 475(1), 283–287. https://doi.org/10.1007/s11999-016-5079-6


3. Reid, D., Polson, K., & Johnson, L. (2012). Acromioclavicular Joint Separations Grades I–III. Sports medicine, 42(8), 681-696.


4. Basmajian, J. V. (1985). Their function revealed by Electromyography. Muscle Alive, 212.


5. Berne, R. M., Levy, M. N., Koeppen, B. M., & Stanton, B. A. (1998). Physiology, Mosby, St. Louis, Mo, USA,.


keyword
작가의 이전글어떠한 글을 쓸 것인가?