brunch
매거진 개를 쓰다

# 사랑스러운 골든 리트리버가 아픈 이유

2018년 미국 누렁이 두 번째 이야기

by 라잇독

아프다는 건 말로 할 수 없이 힘들고 고통스러운 일이다. 자기 자신이 아픈 것도 괴롭지만, 자식이 아프면 부모는 차라리 대신 아팠으면 좋겠다는 말을 하는 것처럼, 사랑하는 사람이 질병의 고통 중에 있는 것은 주변 사람들에게도 크나큰 아픔이다. 이것은 비단 사람 사이에서 만의 문제는 아니다.


다른 운명을 가진 한국 누렁이도 있지만, 미국에도 누렁이가 많이 있다. brunch.co.kr/@writeadog/16

많은 사람들에게 사랑받는 품종 중 하나인 골든 리트리버 (Golden Retriever)가 대표적이다.


골든 리트리버는 정말 사랑스러운 동물이다. 너무나 착하고 사람을 좋아하는 품종이라 이 개의 성격을 찾아보면 이런 설명을 볼 수가 있다.


이 개는 다른 개와 다르게 어떻게 하면 다른 사람을 물지 않게 복종 훈련을 시키나의 개념이 아니라, 어떻게 하면 이 개를 화나게 해서 사람을 물거나 으르렁 거리게 할 수 있을까를 고민하게 만드는 개다.
가만히 보고만 있어도 기분이 좋아지는 품종의 개다

안타깝게도 이 사랑스러운 골든 리트리버라는 개는 암 (cancer)에 잘 걸린다. 미국에서의 조사에 따르면 이 품종의 무려 60%가 암으로 죽는다. 전체의 20%는 혈관육종 (Hemangiosarcoma)이라는 암으로 죽는데, 이는 곧 5마리 중에 한 마리가 이 병에 걸린다는 것을 의미한다. 혈관육종은 사람에게는 매우 드물지만, 개에서 이처럼 흔하게 발생한다.


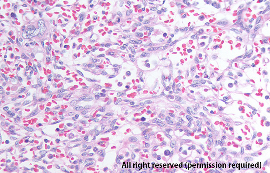
혈관육종은 혈관내피세포가 암세포로 변하여 무한정 증식하는 암으로서, 비정상적인 혈관이 무수히 생겨난다. 혈전 (blood clot)이 종양 내에 잘 발생하며, 종양조직이 파열되어 복강 장기로 혈액이 유출될 경우 응급 상황에 이르어 즉각적인 조치가 없으면 죽음을 맞이하게 된다.

개 혈관 육종의 조직학적 현미경 사진

이론적으로는 혈관이 있는 모든 곳에서 이 암이 발생할 수 있는데, 특히 개의 비장 (spleen)과 심장 (heart, 특히 우심방)에서 가장 흔하게 발생한다. 비장은 없어도 생명에 지장이 없기 때문에 외과적으로 비장 적출술을 진행해 암을 제거할 수 있다. 심장에 발생한 경우 수술이 가능하긴 하지만 위험부담이 크고 치료효과는 미미하다.


진단 후 수 일 내에 사망하는 경우도 많기 때문에 안락사가 진행되는 경우도 상당수다. 문헌에 따라 다르지만, 약 50%는 6개월 이내에 사망하고, 1년 이상 생존하는 경우는 10%에 불과하다.




올리버라는 이름의 골든 리트리버 한 마리가 캘리포니아에서 비행기를 타고 4시간을 날아 미네소타 대학 수의 메디컬 센터 (Veterinary Medical Center)에 도착했다. 새로운 약을 이용한 임상 실험에 참여하기 위해서였다.


보호자인 제이크 앤더슨 (가명)은 사랑하는 가족인 올리버의 비장에 발생한 종양이 혈관육종으로 진단되었다는 결과를 듣고 슬픔에 빠졌었다. 위와 같이 수의사로부터 예후가 불량하다는, 희망적이지 않은 정보를 들었다. 이미 비장 적출술을 시행했기 때문에 발견된 암은 제거된 상태이지만, 대부분은 수개월 내에 간이나 폐 등, 다른 내장 기관에 전이가 발생하여 예후가 매우 불량하다는 것이다. CT나 MRI, 혈액검사 등으로 잔여 암세포를 효과적으로 찾아낼 방법도, 치료할 방법도 없는 실정이다.


마침 미네소타 대학에서 새로 개발된 약물을 시험하는 임상 시험 (Dog Clinical Trial)이 진행되고 있다는 것을 알게 되었다. 조금이라도 생명을 연장하길 원하는 마음에 임상 실험에 참여 조건이 되는지를 문의했다.


임상 시험이 가능한 조건은

1) 비장 혈관육종 확진

2) 외과적 비장 적출술 실시

3) 영상 진단으로 전이 미확인 (암병기 1기 또는 2기)

4) 허브나 보조제 치료 경험이 없는 경우 였다.


올리버는 불행 중 다행으로 모든 조건이 충족되어 임상 연구에 참여할 수 있게 되었다. 치료방법은 새로 개발된 약을 첫 주에 이틀 간격으로 3회 정맥주사로 투여하고 21일째부터는 기본 화학요법인 독소루비신 (Doxorubicin)을 투여한다.


시험 단계이기 때문에 치료 효과가 있을지는 장담할 수 없다. 실험용 마우스에서는 다양한 암 종류에서 치료 효과가 있는 약물이라고 했다. 다른 방도가 없기에 제이크는 실낱같은 희망이라도 붙잡고 싶었고, 설령 결과가 좋지 않더라도 이 연구를 통하여 조금이라도 이 질병을 치료할 수 있는 방법이 개발되는데 기여하고 싶었다. 첫 주 시험 투여를 마치고 캘리포니아로 돌아가는 길에 개의 암 연구를 위해 수의과대학에 $20,000 (약 2천만 원)을 기부하였다.




혈관육종뿐 아니라 림프종 (lymphoma)도 매우 빈번하게 발생하기 때문에, 이 품종이 왜 암에 특히 잘 걸리는지 유전적 소인에 대한 연구가 활발하게 진행되고 있다. 이러한 연구가 가능한 데에는 평생 사람들에게 행복을 주다가 질병으로 고통당하는 동물들과 그들을 가족처럼 돌보고 사랑하는 보호자들, 그들에 의한 그들을 위한 금전적인 기부, 수의사 및 연구자들의 노력이 있기 때문이다 (다음 기회에는 구체적으로 어떤 기금을 통해 개를 연구하게 되는지 알아볼 예정이다).


한국에서도 노령견이 증가하면서 다양한 암을 비롯한 노령성 질환이 많이 발생한다. 악성인 암은 대부분 치료가 어렵고, 발견과 진단이 늦을 경우가 많다. 반려견에 깊은 관심을 가지지 않고 병원 검진을 소홀히 할 경우, 겉으로 보이지 않고 속으로 (흉강, 복강 내) 발생하는 암을 보호자가 발견하기 쉽지 않다.


대형견은 평균 수명이 비교적 짧다는 사실 때문에, 심지어 암에 걸렸는데도 수명을 다해서 죽은 것으로 착각할 수도 있다. 암을 포함해 다양한 질병으로 고통받는 동물들이 많은데, 2018년을 살고 있지만, 개인적으로는 여전히 92년 한국의 누렁이가 생각난다. brunch.co.kr/@writeadog/14


한국 반려동물 문화도 이제 변화의 물결 가운데 있기에 반려 동물 질병에 대한 연구도 증가하길 기대해 본다.




keyword