brunch
매거진 주식명상

주식 명상 5

화살 맞은 붉은 하트

by 강산




붉은 장미 혹은 붉은 심장을 생각한다. 화살 맞은 붉은 하트를 생각한다. 심장의 춤을 생각한다. 우정이나 사랑을 상징적으로 표현할 때 사람들은 흔히 하트 모양의 그림을 그린다. 하트는 심장이라는 뜻이고 하트 모양의 그림은 심장의 모양을 단순하게 그린 그림이다. 어쩌면 사람들은 심장을 생명의 근원이라고 생각했을 것이다. 우리들의 몸 구석구석까지 피를 돌게 만드는 심장은 그 어느 장기 보다도 중요한 장기로 인식했을 것이다. 지금처럼 과학이 발전하지 않았을 때에는 더욱 그랬을 것으로 짐작된다. 지금도 많은 사람들은 심장이 정지 상태에 이르면 죽었다고 판단하는 기준으로 삼는 경우가 많다. 그만큼 심장은 우리들의 삶에서 가장 중요한 핵심이라고 말을 할 수 있을 것이다. 그리하여 많은 사람들은 옛부터 우리들의 삶에서 중요한 사랑을 하트 모양으로 그렸을 것이다. 그런데 그냥 하트 모양의 그림과 하트 모양에 에로스의 화살이 꽂혀 있는 모양의 그림은 또 다른 느낌이 들기도 한다. 심장을 상징하는 하트 모양과 큐피드의 화살의 만남은 참으로 절묘하다는 생각이 들기도 한다. 심장과 화살의 만남이면서 동시에 성기와 성기의 결합을 환기시켜 주기도 하기 때문이다.


나의 삶을 다시 한 번 생각하니 나는 너무 나의 심장에만 집착했다는 생각이 든다. 선천성 심장병 환자로 태어났던 나는 너무 아픈 심장에만 집착하느라고 더욱 중요한 다른 많은 것들을 미처 생각하지 못했다는 생각이 든다. 심장도 중요하지만 뇌를 비롯한 많은 다른 장기들 또한 너무나 소중한 것들이리라. 어느 것 하나라도 없으면 안 될 너무나 중요한 것들인데 나는 그동안 다른 많은 것들에 대하여 너무나 소홀히 생각했고 너무나 스스로를 보살피지 않았다는 생각이 든다. 어쩌면 사람이란, 아픈 손가락부터 챙기는 것이 인지상정 인지도 모른다. 이제와 다시 한 번 깊이 생각하니 참으로 많은 것들이 아쉽고 안타깝고 후회 되는 일들 투성이다.


지금도 나의 심장은 정상적인 사람들의 심장과는 많이 다르다. 비후성심근증 때문에 두꺼워진 심실사이막 일부를 잘라내야만 했기 때문이다. 대동맥판막이 막힐 정도로 두꺼워진 상태여서 대동맥판막 앞쪽을 특히 많이 잘라내야만 했다. 그 과정에서 어쩔 수 없이 많은 신경들도 함께 잘려나가고 말았다. 좌심실에 전기자극을 전달해주는 방실다발 신경도 함께 잘려나갔다. 우리 인간들의 심장은 우심방쪽에 있는 동방결절과 방실결절에서 전기신호가 발생하여 동방결절은 우심방과 좌심방에 전기 자극을 주어서 반응하게 되고, 방실결절은 우심실과 좌심실 근육에 전기 자극을 주어 심장을 뛰도록 만든다. 우리들이 병원에 가서 흔히 하는 심장 검사 중, 심전도 검사가 바로 이 전기 신호의 정상 유무를 판별하는 검사이다. 이 심전도 검사를 하면 나는 이제 좌각차단이라는 병명이 나온다. 좌각 즉, 죄심실로 가는 전기 신호가 끊어졌다는 말이다. 우리들의 심장, 2심방 2심실 중에서 가장 중요한 곳이 어쩌면 죄심실 일지도 모른다. 좌심실을 힘차게 수죽해야만 심장의 피들이 온몸으로 나갈 수 있기 때문이다. 그런데 나의 좌심실은 이제, 방실결절에서 직접 전기신호를 받아서 수축을 하는 것이 아니라 우심실의 전기신호를 간접적으로 받아서 눈치껏 수축과 이완을 하고 있는 실정이어서 정상이라고 말하기는 어렵다. 그럼에도 불구하고 나의 심장은 아직도 우심실과 우심방 그리고 좌심방의 전기신호에 의하여 아름답고 황홀하게 심장의 춤을 열심히 추고 있는 중에 있다. 나로서는 참으로 감사할 따름이다.


그리고 나는 나의 어리석음 때문에 아픈 심장을 너무 오래도록 방치하고 말았다. 아픔을 잘 참는 것은 인내심이 강한 사람이라고 창찬하기 보다는 너무나 어리석은 사람이라고 하루 빨리 깨우쳐주어야할 대상인 것이다. 나는 그 어리석음으로 인하여 좌심실의 공간이 거의 다 없어질 때까지 버티고 말았다. 나는 지난 1990년 6월 8일 1차 수술로 완치가 된 것으로 알고 있었다. 태어날 때부터 아픈 몸이었으니 그 정도의 아픔은 다른 사람들도 다 나처럼 참고 사는 줄로 착각하고 살았던 것이다. 또한 그 때는 의술이 지금처럼 발달하지 못하여 비후성심근증인 줄도 몰랐다. 그냥 대동맥판막 앞에 혹이 하나 있는 줄로만 알았다. 그래서 그 혹만 제거하면 정상이 되는 줄로만 알았다. 한 번 제거 한 혹은 다시는 자라지 못하는 죽은 혹으로만 알았다. 하지만 나중에 알고 보니 그것은 단순한 혹이 아니라 심실사이막이 언제라도 다시 두꺼워질 수 있는 무서운 병이라는 사실을 너무 늦게 알았다. 그래서 나는 멀쩡했던 대동맥판막과 승모판막까지 고장내고 말았다. 이것은 어느 누구의 탓도 아니고 전적으로 나의 책임일 것이다. 그런 좋지 못한 상황에서 심내막염까지 걸리고 말았으니 지금 이렇게 멀쩡하게 살아있는 것 만으로도 기적이 아닐 수 없다. 그래도 다행히 승모판막은 기계판막으로 교체하지 않고 원래 있던 나의 고장난 판막을 수리해서 쓸 수 있게 되었다. 그러니까 나의 좌심실로 들어가는 문인 이첨판 승모판막은 성형을 한 상태이고 좌심실에서 나가는 문인 대동맥판막은 기계판막으로 바뀌어 있는 상태인 것이다.


(밤이 가장 길다는 동짓날, 2017년 11월 22일) 2차 수술을 받을 당시에 내 옆 침대에는 대동맥을 통째로 바꾼 환자가 있었다. 대동맥이 갑자기 쫘악 찢어지는 바람에 인공 대동맥으로 통째로 바꾼 환자가 있었다. 그 환자는 나보다 훨씬 고생을 많이 하였고 회복도 잘 되지 않았다. 혹시, 살아서 퇴원을 하지 못했을지도 모른다는 생각이 들기도 한다. 그래서 나는 늘 가슴 한 쪽에 불안한 마음이 자리하고 있다. 혈전 관리를 잘 하지 못하여 뇌졸중으로 쓰러질 수도 있다. 그리고 대동맥판막의 자리에 새로 바꿔 끼운 기계식 금속판막에서 혹시 잘못 되어 두 날개 중에 하나라도 빠져나와서 대동맥으로 흘러가게 된다면 그 금속 날개는 칼이 되어 대동맥을 사정없이 갈라버릴 것이기 때문에 나는 늘 그 염려증으로 마음을 놓을 수가 없다. 어쩌면 이것이 더 큰 건강 염려증 일지도 모른다. 그래서 늘 병원에 가면 언제나 너무나 예민해서 신경성이라는 말을 듣곤 한다. 내 심장 안에 들어 있는 On-X 23mm 금속판막의 안부가 나는 오늘도 궁금하다. 째깍째깍째깍 쉬지 않고 열고 닫기를 반복하고 있을 두 개의 날개, 구 개의 문짝 안부가 너무나 궁금하다.




다운로드.png
1202-1.jpg


129323051_1947561318718846_1617629281229705437_o.jpg
129722219_1947561352052176_3685738884371551450_o.jpg
129115793_1947561308718847_1891595662474935155_o.jpg
i1_BB000132_1221.jpg
다운로드 (6).jpg
20201202-6.jpg
심장수술_10.jpg
심장수술_9.jpg
20201202.jpg 왼쪽 그림은 대동맥판막이 맞지만 오른쪽 그림은 대동맥판막이 아니라 승모판막을 인공판막으로 이식한 것
20201201-0.jpg



20201201-1.jpg
20201201-2.jpg
20201201-3.jpg




다운로드.jpg
다운로드 (2).jpg
다운로드 (1).jpg




서울대학교병원 의학정보

비후성 심근증 [ hypertrophic cardiomyopathy ]

좌심실 비후를 유발할만한 대동맥판 협착증이나 고혈압과 같은 다른 증세 없이 좌심실벽이 두꺼워지는 질환

관련 질병 : 돌연 심장사, 빈맥, 심부전


정의

좌심실 비후를 유발할만한 대동맥판 협착증이나 고혈압과 같은 다른 증세 없이 좌심실 벽이 두꺼워지는 심장 질환이다. 전체 인구 500명당 1명에서 발견되며, 다양한 형태의 좌심실 비후 소견이 관찰된다. 가장 흔하고 대표적인 특징은 비대칭적인 심실중격 비대(asymmetrical septal hypertrophy)와 변동성의 좌심실 유출로의 폐색(닫혀서 막힘)이다.

심실중격(심실을 좌우로 나누고 있는 사이의 벽) 비대를 보이는 환자의 약 30%에서 안정 시 좌심실 유출로의 폐색이 관찰되며, 발살바법(Valsalva maneuver, 배에 힘을 주어 복압을 높이는 행위를 말하는데 정맥환류를 감소시키게 됨) 등으로 폐색을 유발하면 30%의 환자에서 추가적으로 좌심실 유출로의 폐색이 관찰된다.

우리나라를 포함한 동아시아 지역에서는 심첨부(심장의 꼭지점 부분)의 비후를 보이는 심첨부 비후성 심근증이 흔하여 전체 환자의 30%를 넘는다. 이런 여러 증상의 환자에서 공통적으로 관찰되는 특징은 좌심실 비후에 의한 이완 기능의 장애로, 이는 환자의 증상을 결정하는 주요 원인이 된다.


i1_AA000557_878.jpg?type=w530_fst_n&wm=Y

비후성 심근증의 형태학적 분류


원인

비후성 심근증은 유전적 이질성(genetic heterogeneity)을 지닌, 가장 흔한 가족성 심장질환이다. 11개 이상의 근절 유전자(sarcomeric gene)의 돌연변이가 비후성 심근증의 발생과 관련된 것으로 알려져 있다. 가장 흔한 유전자가 베타 마이오신 중쇄(beta-myosin heavy chain)와 마이오신 결합 단백질 C(myosin-binding protein C)이다. 다른 9개의 유전자는 훨씬 드물며, 트로포닌(troponin) T와 I, 알파 트로포마이신(alpha-tropomyosin) 등이 이에 속한다.


증상

좌심실의 수축 기능이 유지되면서 심부전의 증상이 발생하는 것이 특징적이다. 운동 시 호흡곤란, 피로감, 앉아서 몸을 굽히지 않으면 숨쉬기가 힘든 기좌호흡(orthopnea), 발작성 야간성 호흡 곤란 등이 특징적인 증상이다. 협심증과 유사한 특징적인 흉통이 동반될 수 있는데 이는 주로 좌심실의 미세혈관 이상에 의한 허혈 때문으로 생각된다. 실신이나 어지럼증, 두근거림 등의 증상이 부정맥에 의해 나타날 수 있으며, 심장 돌연사가 발생할 수도 있다. 심부전 증상은 주로 좌심실의 이완 기능 장애에 의한 것이므로 좌심실 유출로의 폐색이 있는 환자와 없는 환자 사이에 증상의 차이는 별로 없다.


진단/검사

신체검사에서 좌심실 유출로의 폐색이 동반된 환자에서는 심첨 박동이 2개 또는 3개로 나타나는 것이 특징적이며, 이는 심실 수축과 항진된 심방 수축 그리고 이완 초기의 좌심실 충만에 의해 나타난다. 신체검사에서 심잡음이 청진되는 경우가 흔한데, 좌심실 유출로의 폐색이 동반된 환자에서는 수축기 잡음이 흉골좌연을 따라 청진된다. 또 그 소리 크기가 환자의 자세, 발살바법, 운동 등에 따라 다양하게 변화되는 것이 특징이다.

심첨부에서 범수축기잡음이 청진될 수도 있는데 이는 동반된 승모판 역류증에 의한 것이다. 좌심실 유출로 폐색이 있는 환자에서는 경동맥파가 두 개로 관찰된다. 그러나 좌심실 유출로 폐색이 없는 환자에서는 이런 특징적 신체검사 소견이 거의 동반되지 않는다.

95%의 환자에서 심전도 이상 소견을 보이고, 증상이 없는 가족에서도 심전도 이상이 흔히 관찰된다. 좌심실 비대, ST-T 변화, 좌심방 확장, 깊고 얇은 Q파, 외측유도에서 R파의 감소 등이 대표적이다. 하지만 어떤 심전도 소견도 향후 심혈관계 사건을 예측하는 데는 유용하지 못하다. 비후성 심근증의 진단에 가장 유용한 검사는 심초음파 검사로 특징적인 비대칭적 심실중격 비후나 심첨부 비후가 관찰되고 승모판막의 수축기 전방 이동과 그로 인한 좌심실 유출로의 폐색, 승모판 역류증과 같은 다양한 소견을 관찰할 수 있다.

또한 환자의 심부전 증상을 유발하는 좌심실의 이완 기능을 평가하는 데 있어서도 심초음파는 매우 유용하다. 최근 심장 자기공명영상(MRI), 심장 컴퓨터 단층촬영(CT)의 발전으로 비후성 심근증의 진단에 있어 도움이 된다.


i1_AA000557_880.jpg?type=w530_fst_n&wm=Y

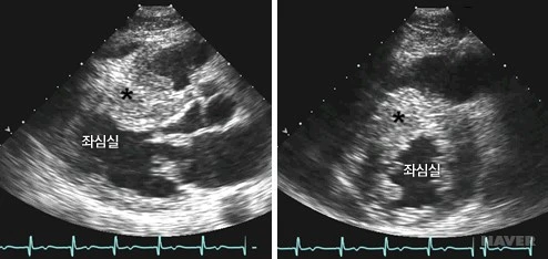
심실중격 비후성 심근증의 심초음파: 심실중격(*)이 좌심실 후벽에 비해 두꺼워져 있음


i1_AA000557_879.jpg?type=w530_fst_n&wm=Y

심첨부 비후성 심근증 검사


치료

급사를 예방하기 위해 삽입형 제세동기(ICD)가 효과적이다. 삽입형 제세동기는 심장마비나 심실 빈맥이 있었던 환자의 2차 예방을 목적으로 하는 경우 연간 11%의 심장마비를 예방할 수 있고, 한 가지 이상의 위험인자를 가진 환자에서 1차 예방을 목적으로 사용하는 경우 연간 4%의 심장마비를 예방할 수 있다. 따라서 급사의 위험인자를 가진 환자에서는 삽입형 제세동기를 적극 고려해야 한다.

증상이 없는 고위험군의 환자에서 아미오다론(amiodarone) 또는 베타차단제(beta blocker) 약물 치료가 시행되었으나 뚜렷한 효과가 증명되지 않았고, 무엇보다도 삽입형 제세동기와 같은 효과적인 대안이 있어 널리 사용되지 않는다. 심부전의 약물 치료에 대한 반응은 매우 다양하므로 각 환자에게 적당한 치료를 선택해야 한다. 베타차단제는 좌심실 유출로 폐색이 동반된 환자에서 널리 이용되었다. 심박수를 줄여 증상을 개선할 수 있고 좌심실 유출로 폐색도 완화시킬 수 있다.

베라파밀(verapamil)도 좌심실의 이완 기능을 호전시켜 증상 개선과 운동 능력 개선에 효과적이며 특히 좌심실 유출로 폐색이 없는 환자에서 효과적이다. 비후된 심실중격을 절제하는 심근절제술은 적절한 약물 치료에도 불구하고 심부전 증상이 지속되고 안정 시 50mmHg 이상의 좌심실 유출로 압력차가 있는 환자에서 적극 고려해야 한다.

심근절제술의 목적은 좌심실 유출로 폐색을 완화하여 심부전 증상을 개선하여 삶의 질을 향상하는 것이다. 실제로 95%의 환자에서 증상이 개선되고 25년 이상 장기 추적 관찰 결과 85%의 환자에서 증상이 개선되며 말 기심부전 등 심근절제술로 인한 합병증은 관찰되지 않았다. 또한 심근절제술이 장기 예후를 개선하고 급사도 줄인다는 보고도 있다. 하지만 증상이 없는 환자에서 심근절제술은 시행하지 않는다.

알코올을 이용한 심실중격 색전술이 심근절제술 대신 사용되기도 한다. 관상동맥을 통해 심실중격에 소량의 알코올을 주입하여 심근괴사를 유도하고 이에 따라 심실중격이 얇아지게 되고 좌심실 유출로 폐색을 완화시키는 치료법이다. 수술보다 비침습적이므로 흔히 사용되는데 아직까지 장기 예후에 미치는 영향 등 임상연구 결과가 필요한 실정이다.


경과/합병증

비후성 심근증의 연간 사망률은 약 1% 정도로 보고되고 있다. 임상 경과는 환자에 따라 매우 다양하다. 수십 년간 안정적인 상태를 유지하는 환자들도 있는데, 한 보고에 의하면 약 25%의 환자에서는 정상인과 다름없는 생활과 수명을 보인다. 하지만 일부 환자에서는 급사를 비롯한 심혈관계 사건들이 발생하며, 대표적인 심혈관계 사건들은 급사, 지속적인 심부전 증상의 악화, 말기 심부전, 심방세동과 그로 인한 전신 색전증이다.

특히 심실 부정맥에 의한 급사의 위험도를 평가하는 것이 중요하다. 비후성 심근증은 젊은 사람에서 급사의 가장 흔한 원인이다. 급사의 대표적인 위험인자들은 심실 빈맥 또는 심장마비가 있었던 환자, 급사의 가족력, 실신, 운동 시 혈압 저하, 홀터(Holter) 검사(24시간 동안 심전도 검사 장비를 부착하고 있으면서 그 동안의 심장박동의 상태를 측정하는 검사)상 비지속성 심실 빈맥, 30mm 이상의 심한 좌심실 비대 등이다.


예방방법

임상적으로 비후성 심근증 환자의 가족에 대한 검사는 유전자(DNA) 검사보다는 주로 심초음파 검사와 심전도 그리고 병력 청취와 신체검사를 시행한다. 대개 12~18개월마다 검사가 추천되며 12세부터 이런 선별검사를 시작한다. 21세 정도까지 비후성 심근증의 증거가 없는 경우 비후성 심근증을 유발하는 유전자 이상은 없는 것으로 결론 내릴 수 있다.


식이요법/생활가이드

무엇보다 의사의 지시에 따라 약물 치료를 꾸준히 지속하는 것이 중요하다. 과도한 운동은 심장의 부담을 증가시켜 급사 등 치명적인 결과를 초래할 수 있으므로 피해야 한다. 저염식이 심부전 증상을 완화하는 데 효과적이다.






keyword