brunch

아이가 생겼다

'아이를 낳았다'의 프리퀄 스토리

by 최예지

이 글은 '아이를 낳았다'의 프리퀄 스토리이며, 둘째 이야기가 아닙니다.

아기는 탄생과 동시에 무한 콘텐츠를 해금시키고,

임신 기간 동안 우리에게 여러 즐거운 이벤트와 콘텐츠를 선물해 주었다.


첫 번째 콘텐츠: 임밍아웃

2019년 11월 아이가 생겼다.

이 소식을 가장 처음으로 알게 된 건 나였다. (당연하게도ㅎ)

아이가 생겼다는 것을 알고 나서 얼마 뒤에 남편 생일이었기 때문에 일단 남편에게는 비밀로 했다.

그렇게 해서 두 번째로 소식을 알게 된 것은 회사 동료들이었다.


보통은 조기 유산의 위험(유전자 문제로 발생할 수 있는) 때문에 초기에는 잘 알리지 않는 편인데,

가족만큼 가깝고 내 미래에 항상 그려지는 동료들에게는 빨리 알리고 기쁨을 함께 하고 싶었다.

마침 그날 다른 팀 리드들과 런치 티타임이 있어서 냉큼 테스트기 사진을 내밀었다.

첫 번째 반응: 이게 뭐야? (나: 나 아기 가졌어!!)
두 번째 반응: 와 진짜 축하해요!!! 출산이 언제야 그럼?!
세 번째 반응: 헐 그럼 회사는 어떻게 되는 거지?(??)


그리고 며칠 뒤 남편 생일날, 저녁 식사를 하며 생일 선물로 임신 소식을 알렸다.

남편은 엄청 좋아했다. 그리고 우리는 너무 기뻐서 바로 시댁으로 달려가서 연이어 임밍아웃을 했다.

좀 더 멀리 있는 친정 집에는 초음파 사진이 나올 때까지 숨죽여 기다렸다가 깜짝 서프라이즈를 선사했다.


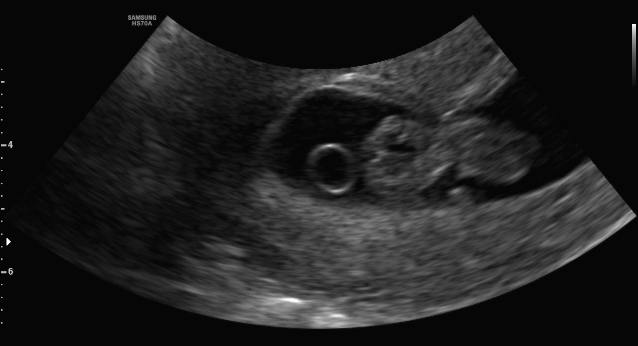
두 번째 콘텐츠: 초음파 사진에서 숨은 아기 찾기

임밍 아웃 이벤트가 끝날 무렵 초음파 이벤트가 다가왔다.

우리는 초음파 사진에서 아기집을, 천사 고리를, 젤리 곰을, 사람을 닮아가는 형체를 찾느라 매일 들떠있는 시간을 보냈다. 시간이 흐름에 따라 나의 초음파 보는 실력도 늘었다.

KakaoTalk_Photo_2024-07-28-12-24-16.jpeg 이쯤 많이들 찍는 아기 천사 사진

특히 태동이 있기 전까지는 초음파로만 아이가 잘 지내는지 알 수 있었기 때문에 초음파 사진을 보는 게 정기 이벤트로 자리 잡았다. 그리고 태동이 시작되면서 초음파 이벤트에 대한 열기는 숨은 아기 찾기보다는 잘 자라고 있는가를 측정하는 목적으로 변화하게 된다.


세 번째 콘텐츠: 성별 공개

첫 번째, 두 번째 콘텐츠가 끝나가고 세 번째 콘텐츠가 시작되기 전 잠깐의 지루한 나날이 온다.

그래서 사람들은 성별을 알 수 있는 시기가 정해져 있음에도 불구하고 이런저런 추측을 해보는 콘텐츠를 스스로 생성해 내는 게 아닌가 싶다.


우리 부부는 각자 동성을 원했다. 특히 나는 왠지 모르게 당연히 내 아기가 딸일 거라고 믿었는데(?),

그 때문에 생각지 못하게 아들이라는 얘기를 들었을 때 울음이 터졌다.

(예상치 못한 일인 데에 더해 남편의 장난에 약이 올라서 더 그랬던 걸 수도ㅎ)


하지만 성별이란 그런 것이다. 적어도 태어나는 순간에는 어떻게 해도 절대 저항할 수 없는 세상의 결정.

임신이라는 것은 이렇게 다양한 마음을 경험하게 해 준다.


네 번째 콘텐츠: 이름 짓기

이름 짓기가 네 번째 콘텐츠로 분류되어 있긴 하지만, 우리는 성별을 알게 되기 전 이름을 지었다.

사실 그것 보다도 훨씬 전에 지었다. 아이가 생겼다는 것을 알게 되었을 무렵이었나?

성별과 상관없는 이름을 짓고 싶었다.


성과 돌림자가 정해져 있어서 나에게 주어진 자유는 이름 석 자 중 한 자 밖에 없었다.

이름에 스토리가 있으면 좋겠다고 생각했고, 균형이 잡혀있기를 바랐다.

정해져 있는 돌림 자는 '연꽃 연'이었다. 왜 하필 '연' 중에서도 연꽃일까 아쉬웠지만, 그 안에서 어떻게든 해야 했다. 작명 어플에서 쭉 한자를 훑어보다가 '용맹할 호(범 호, )'를 발견했다.


용맹한 연꽃!


아름다운 꽃과 용맹한 호랑이는 이미지가 반대라서 오히려 균형 잡혀 보였다.

연꽃은 더러운 물속에서 자라면서도 때 묻지 않은 채 아름답고 향기로우며 깨끗한 꽃을 피워내기에 청렴을 상징한다고 하는데, 그렇게 살아가기 위해서는 용맹함이 필요하다고 생각했다.


엄마, 아빠는 네가 올바른 가치관을 가지고 너만의 길을 찾을 수 있도록 도울 테니,

세상의 유혹에도 언제나 너만의 길을 용기 있게 걸어갈 수 있기를.


다섯 번째 콘텐츠: 태동으로 아기와 소통하기

드디어 태동의 시기가 왔다. 엄마에게만 주어지는 특권이자 슬슬 아기의 존재를 실감하게 되는 시기.

모성애가 진짜로 존재한다면 분명 태동 때문일 것이다.

태동을 통해서 태어나기도 전에 아기의 성격을 예측해 보고, 아기랑 대화도 나누고, 다투기도 하는데(?) 그걸 엄마만 느낄 수 있기 때문이다.


처음에는 꿀렁꿀렁 대는 것이 귀엽고 잘 있구나 안심이 되어 좋았다면,

점점 몸집이 커지고 태동이 격해지면서 다양한 인터랙션이 생겨났다.

아기의 태동에 뭔가 대답을 하게 되고(잘 자다가 뱃속 펀치 맞고 깨면 "엄마 좀 자게 그만 때려 줄래?", 단 걸 먹었을 때 꿀렁이면 "ㅋㅋㅋ 맛있어?"), 하이파이브도 하고(빵빵한 배에 아기 주먹이 진짜로 삐죽 튀어나온다니요?!), 소통도 하게 된다("호연아~~", '꿀렁').


진짜 진짜 유니크한 리미티드 콘텐츠.


여섯 번째 콘텐츠: 아기 물품 구매하기 (feat. 두 번째 혼수)

아기 방 꾸미기는 두 번째 혼수라 했던가.

나에게 혼수란, 합리적으로 넉넉한 예산을 책정하고 사용할 수 있는 것을 의미한다.


태동 이벤트가 익숙해질 때쯤 또 평온한 시기가 온다. 나는 이때의 무료함을 아기 물건들을 구매하며 달랬다.

꼭 사야 하는 물건, 내가 사고 싶은 물건, 귀여운 물건, 신박한 물건, 뭐 그런 거.

특히 물건을 고르면서 어떤 육아 스타일이 나랑 잘 맞을지 고민해 보고 최적의 환경을 만들어가는 과정이 즐거웠다.


그렇게 탄생한 내 육아의 초기 원칙 중 가장 중요한 것은 이것이다.

부모가 먼저다.
부모가 행복하고 마음에 여유가 있어야 아기에게 사랑을 듬뿍 줄 수 있다.


거기서 파생되어 나온 육아 원칙들이 여러 개 있는데, 예를 들면 이런 것들이다.

- 분리 수면과 수면 교육: 부모와 아기 둘 다 수면의 질이 깨어있는 시간의 질을 결정하기 때문.

- 규칙적인 생활: 예측 가능한 생활을 통한 안정감 제공

- 분유 수유: 예측 가능한 생활과 나의 체력을 위해 (비슷한 수준의 영양을 제공한다는 전제 하에)

- 부모가 즐거워야 아기도 즐겁다: 아기도 부모도 즐거운 놀이 방법을 찾자.


이렇게 해서 자동 분유 제조기, 젖병, 식기 세척기, 아기 침대와 같은 것들이 나의 필수 구매 항목에 들어가게 되었다. 그 외 신박하고 귀여운 놀이 도구 다수와 함께ㅎ




나에게 9개월의 임신 기간은 좋은 시간으로 기억된다.

감사하게도 크게 아픈 곳이 없었고, 일과 야근으로 태교를 할 만큼 체력도 괜찮았다.

무엇보다 어딜 가나 늘 누군가 함께 있다는 그 든든함이 좋았다.


기분이 우울할 땐 갑자기, <아이가 생겼다>

총 평: 생명의 신비를 온몸으로 경험하고 싶을 때 추천하고 싶은 체험 콘텐츠.

- 기분 회복력: 200% (1+1의 든든함)

- 즐거움: ★★★★★

- 난이도: ★★☆☆☆ (극단적으로 주관적임)

- 총비용: 개인의 가치관과 상황에 따라 차이가 심함

- 색깔로 표현한다면: 파랑

- 코멘트: (주의) 콘텐츠 사용과 동시에 롤백이 불가능한 콘텐츠입니다.

keyword
매거진의 이전글갭 먼스(Gap Months)에 몸을 맡겨