대장내시경 그리고 위장출혈

국가건강검진

by 신의손

지난주 연차를 내고 건강검진을 다녀왔다. 짝수 년마다 하는 국가건강검진이지만 여간 시간내기가 힘들다. 날씨가 추워지면 사람들이 몰리기 때문에 보통은 3~6월에 일찍 끝낸다. 위내시경과 대장내시경을 함께 하려니 온몸이 긴장이 되었다. 위내시경이야 금식정도만 하면 되지만 대장내시경은 4년 전 한차례 경험이 있어 몸으로 느껴지는 힘듦이 남달랐다.


약에 대한 민감도가 높아 다른 사람들과는 달리 마취도 늦고 마취에서 깨는 것도 늦다. 아무리 약한 용량의 약이라도 효과보다는 부작용이 더 커 긴장을 하고 조심을 하게 된다. 이번 건강검진도 그랬다. 위내시경은 늘 추가비용을 부담하고 수면으로 진행했었다. 대장내시경은 4년마다 한 번씩하고 있는데 속을 비우는 과정이 정말 힘들었다. 음식을 비워내는 과정도 과정이지만 물을 먹는 것도 고역이다. 4년 전 물에 타서 먹는 가루약을 받아와 먹었었다. 너무 힘들고 급기야 토하기까지 해서 이번엔 병원 진료까지 보고 오라팡이라는 알약을 받아왔다. 물에 타먹는 약은 대략 8천 원 정도의 비용이 들지만 이 알약은 비보험이라 38,000원과 진료비까지 내니 5만 원 정도의 비용이 들었다. 물에 타먹는 약은 2~3리터를 마셔야 했고 처음 1리터 정도는 마실 만하지만 점차 냄새와 구토증상이 나서 결국엔 다 먹지도 못했다. 알약인 오라팡은 14알씩 두 판이 들어 총 28알을 2회로 나누어 먹어야 한다. 그리고 물은 각 1리터씩 먹으면 된다.


2~3일 전부터 식이요법을 해야 했지만 전날 종일 금식을 했고 전전날 저녁은 고구마만 먹었다. 식사를 많이 하는 편은 아니었으니 고춧가루나 색이 찢고 섬유질이 많은 음식은 피해야 하는데 애매했다. 우유나 두부, 카스테라, 감자 같은 색이 희고 보드라운 음식을 먹으라고 친절히 설명도 듣고 안내 종이도 받아 왔지만 잊어버리고 검사 전날 금식에 들어갔다. 회사에 출근해서 커피 한잔 못 먹고 버티려니 힘들었지만 어쩔 수 없었다. 퇴근해 기운 없는 몸을 이끌고 저녁 7시부터 오라팡을 먹기 시작했다. 먹은 게 없어서인지 화장실신호도 늦었다. 검사 당일 새벽 4시에 일어나 또 오라팡 14알을 먹기 시작했다. 속이 완전히 비어서 인지 냄새가 없는 약이지만 냄새가 나기 시작했고 목구멍에 걸려 넘어가지 않았다. 생수에서도 냄새가 나 결국은 토하고 말았다. 전날 저녁에도 조금 토했지만 또 약을 먹을 것 이어서 큰 걱정은 없었지만 검사 당일 아침에 먹은 물 1리터와 약을 모조리 토했다. 나중에는 검은 피가 깨처럼 나오기도 했다. 그래도 변기 속 물 색은 맑아서 검사를 할 수 있을 것 같았다. 아침 8시 30분 첫 번째로 예약을 하고 병원의 검진센터로 갔다. 위와 대장내시경 후 다른 국가 건강검진 항목의 검사를 할 것이라 바쁘게 움직였다. 본래 수면내시경은 보호자가 동행해야 하지만 나는 보호자가 없었다. 보호자가 없다고 하니 2시간 이상 수면을 해야 한다고 했다. 몸무게와 허리둘레, 시력, 청력을 체크하고 탈의실로 갔다. 수면용 수액라인을 잡고 거품제거용 약을 하나 짜 먹고 내시경실로 가서 무릎을 안은 채 옆으로 누웠다. 이름과 생년월일을 확인하자 마취제가 들어간다는 말을 들었는데 누군가 내 이름을 불렀다. 검사는 끝났고 시간은 11시가 되었다. 완전한 숙면을 한 나는 몸이 너무 개운했다. 전날 잠을 거의 자지 못해 몸이 부었었는데 부기도 많이 빠져 있었다. 탈의실로 가 옷을 갈아입고 피검사와 산부인과검사를 마치고 소화기내과진료실 앞에서 대기했다. 어찌나 떨리는지.


KakaoTalk_20240409_150657438_02.jpg
KakaoTalk_20240409_150657438_03.jpg
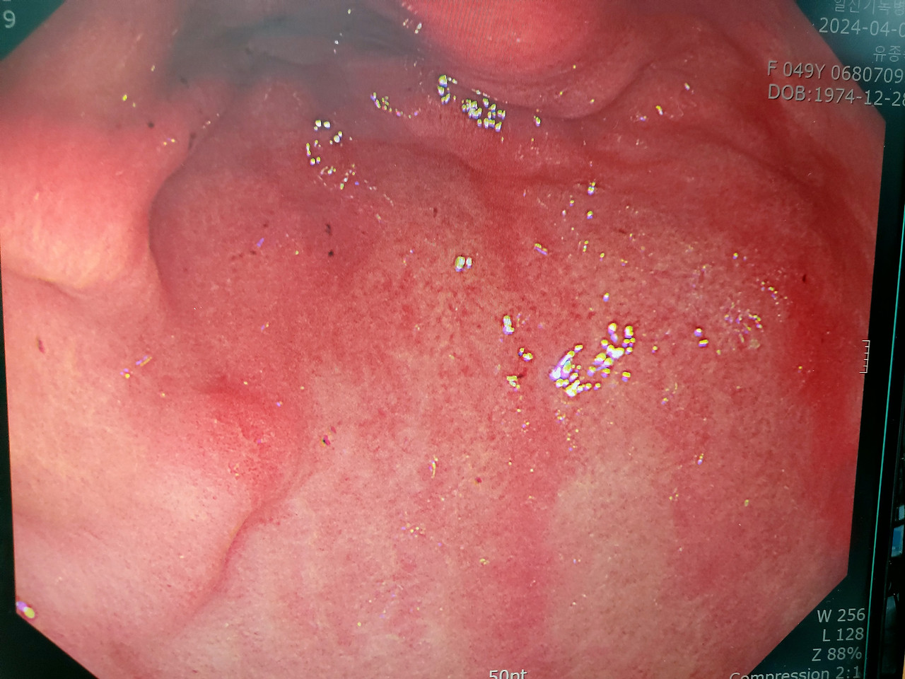
말리 비틀어진 나의 위와 출혈반점


4년 전에는 살 빼기 전이라 정말 나의 위장과 대장은 너무 반짝거렸다. 잘 씻겨져 오일을 발라 매끈거려 마치 아기 엉덩이 같이 통통하고 예뻤지만 살이 10kg 이상 빠졌으니 장기도 말라비틀어진 것이 아닌지 걱정이 되었다. 의사 선생님은 약간의 출혈이 있고 다른 이상 증상은 없다고 했다. 내가 너무 놀라 오라팡을 먹고 1리터 이상 토했지만 500ml 정도 토했다고 거짓말을 했다. 오라팡을 먹고 토하면 이런 경우가 가끔 있다고 했다. 다행이었다. 속이 아프면 약 처방을 내어 주겠다고 했지만 나는 아무렇지도 않아서 약 처방을 받지 않았다. 의사 선생님은 사진을 찍고 싶다고 하니 휴대폰을 건네받아 사진을 직접 찍어 주었다. 어쨌거나 검사는 다 했고 위와 대장도 별 이상이 없었다. 지하철을 타고 집으로 돌아와 죽을 먹고 뜨끈한 전기장판을 틀고 잠을 잤다. 눈을 뜨니 4시간 정도 지나 저녁이 되었다. 그때부터 속이 아파오기 시작했다. 뜨끈한 미역국을 먹고 일찍 잠이 들었다. 검사결과는 일주일 후 문자로 연락을 준다고 했다.


다음날 출혈이 있는 나의 위 사진을 들여다봤다. 4년 전 내가 봤던 모습이 아니었다. 너무 말라 있었다. 지쳐서 식욕은 없어도 아이들 밥은 해줘야 하고 청소며 빨래도 해야 했다. 바쁘게 움직이다 보니 아무것도 먹지 않은 게 생각났다. 뭐라도 속을 채우자 싶어 억지로 조금씩 먹었지만 체중이 올라가지 않았다. 건강검진을 마치고 집으로 돌아왔을 때 빈속인 나는 겨우 41kg을 넘겼다. 굶지 않고 있지만 그렇다고 많이 먹지도 않아서 주말에는 김밥도 싸 먹고 애정하는 고구마도 삶아 먹었다. 나이가 드니 먹는 것도 힘이 든다. 그렇게 먹었는데 45kg이 되지 않아 노력대비 헛수고를 했다.


KakaoTalk_20240409_150657438.jpg
KakaoTalk_20240409_150657438_01.jpg
노력대비 헛수고 ㅠㅠ



마음처럼 많이 먹히지 않아 양질의 음식을 조금이라도 더 먹으려 노력한다. 이제 대장내시경은 4년 뒤에 할 예정이다. 아무리 큰 결심을 해도 대장내시경은 무섭다. 대장내시경이라는 큰 산을 넘어서 기쁘다. 부디 아프지 말고 건강히 오래 살고 싶다. 나의 말라비틀어진 위를 보면서 반성의 시간도 가져본다. 끼니때마다 건강한 음식을 먹고 잘 자고 화장실만 잘 가도 좋을 텐데 이 기본적인 것이 힘들다. 매일 아픈 사람들만 보는 직장에서 있다 보니 건강은 절대 자만해서는 안 된다는 것을 눈으로 몸으로 느낀다.




내가 무엇을 위해 사는지 통찰의 시간도 가지게 된 2024년 국가건강검진 끝.

keyword
작가의 이전글추억의 맛_ 누룽지